DIAGNÓSTICO DE EMBARAZO
Y
DIAGNÓSTICO DIFERENCIAL
1. El ciclo menstrual es reemplazado por
el ciclo gravídico
2. La presencia del huevo produce
modificaciones generales en el
organismo materno
3. El desarrollo del huevo produce
modificaciones locales del útero y
de las mamas
 ELEVACIÓN DE TEMPERATURA
COORPORAL
 CAMBIOS EN LA PIEL
 CAMBIOS MAMARIOS
 CRECIMIENTO ABDOMINAL
 CAMBIOS EN LA PELVIS
SINTOMASSINTOMAS
SUBJETIVOS
―Alteraciones de la micción
―Fatiga
―Percepción del
movimiento fetal
― Nauseas con vómitos
o sin ellos
Evidencia presuntiva de EmbarazoEvidencia presuntiva de Embarazo
NAUSEAS CON VOMITOS O SIN ELLOSNAUSEAS CON VOMITOS O SIN ELLOS
50% de los embarazos
“Enfermedad matinal del embarazo”
- Se presenta aprox. 2 a 12 semanas después
del ultimo periodo menstrual
- Desaparecen espontáneamente al 3er mes.
- Se pueden asociar a la HGC
(100 000mUI/ mL) si son muy extremos puede ser un embarazo
Evidencia presuntiva de EmbarazoEvidencia presuntiva de Embarazo
SINTOMAS SUBJETIVOS
ALTERACIONES DE LA MICCION
•Durante el 1er trimestre el útero en crecimiento,
ejerce presión sobre la vejiga y esto puede ocasionar
una micción frecuente.
• Infección del aparato urinario.
•Predisposición a B. A: en 7%
Evidencia presuntiva de Embarazo
SINTOMAS SUBJETIVOS
FATIGAFATIGA
Es una característica tan
frecuente del embarazo
temprano que brinda un
indicio diagnostico útil.
Evidencia presuntiva de EmbarazoEvidencia presuntiva de Embarazo
SINTOMAS SUBJETIVOS
•Crecimiento del abdomen
•Cambios en la forma, tamaño y
consistencia del útero.
•Cambios anatómicos del cuello uterino
•Contracciones de Braxton Hicks
•Delineación física del feto
•Resultados positivos para hCG
•Amenorrea
•Cambios anatómicos de las mamas
•Cambios de color de la mucosa vaginal
•Aumento de la pigmentación cutáneo
•Desarrollo de estrías abdominales
SIGNOS
PROBABLES
Evidencia probable de Embarazo
SIGNOS PROBABLES
 AntecedentesAntecedentes
 AmenorreaAmenorrea
 Trastornos digestivosTrastornos digestivos
 Trastornos urinariosTrastornos urinarios
 Examen externoExamen externo
 Forma abdomenForma abdomen
 Tamaño del úteroTamaño del útero
 Modificación de las mamasModificación de las mamas
 Cloasma gravídicoCloasma gravídico
Examen internoExamen interno
 Modificación de vaginaModificación de vagina
 Modificación cuello uterinoModificación cuello uterino
CAMBIOS ANATOMICOS DE LAS MAMASCAMBIOS ANATOMICOS DE LAS MAMAS
Los cambios son mas característicos en las primíparas
y menos en las multíparas.
•Las 1ras semanas se tornan turgentes con hipersensibilidad del
pezón.
•4ta. Semana aumentan de volumen.
•Hiperpigmentación de areola y pezón.
•Red venosa (signo de Haller).
•Hipertrofia de glándulas sebáceas alrededor de areolas
(folículos de Montgomery).
•Secreción de Calostro
SIGNOS PROBABLESSIGNOS PROBABLES
Evidencia probable de Embarazo
 Más común en primigestas
 Hipersensibilidad y turgencia
(sem1)
 Aumento de volumen (sem4)
 Hiperpigmentación de areola y
pezón
 Red venosa (signo de Haller)
 Hipertrofia de glándulas
sebáceas (folículos de
Montgomery)
 Secreción de calostro
AUMENTO DE LA PIGMENTACION CUTANEA Y
APARICION DE ESTRIAS ABDOMINALES
•Son comunes pero no diagnosticas de embarazo
•Pueden asociarse con la ingestión de anticonceptivos
que contengan estrógenos-progestagenos
•Cloasma semana 16
•Línea morena (melanóforos))
SIGNOS PROBABLESSIGNOS PROBABLES
Evidencia probable de Embarazo
. Signo de Chadwick:
color violáceo de vulva, vagina y cérvix,
notable en 8ª semana. Signos presuntivos
GOODELL- reblandecimiento del cuello uterino
HEGAR- elasticidad del itsmo
PISKACEK- asimetría del utero
LADIN- zona de reblandecimiento de la línea media
MACDONALD
NOBLE BUDIN- ocupación de los fondos de saco
Hegar I
Reblandecimiento
istmico que
permite alcanzar
paredes ant y post
del útero
Hegar II
Reblandecimiento
que permite
alcanzar el fondo
de saco ant y
maniobra
abdominal (6-8
sem)
Chadwick
Coloración violácea de
paredes vaginales
Piscasek
Asimetría a nivel del
cuerno
Osciander
Pulso palpable en
fondos de saco
laterales
Noble & Budin
Disminución de la
profundidad del fondo
de saco lateral
SIGNOS PROBABLESSIGNOS PROBABLES
Evidencia probable de Embarazo
Mc Donal
Fácil flexión del cuerpo
uterino sobre el cervix
(7-8sem)
 Sensación de blandura, elasticidad (8s)
y calor por la hiperemia.
 Signo de Chadwick: color violáceo de
vulva, vagina y cérvix, notable en 8ª
semana.
 Aspereza vaginal, várices vulvares.
 Aumento de tamaño del cuerpo uterino,
cambios en la forma y en la consistencia
(Signo de Noble-Budin)
Piscasek
Signo de Hegar:
Por reblandecimiento del istmo
DIAGNOSTICO CERTERO
(signos )
SIGNOS POSITIVOS DE CERTEZA
Movimientos fetales U.S. ( 4 – 5 semanas )
Latido cardiaco fetal Latido Cardiaco fetal
( 12 semanas )
Palpación de mov.
Fetales
( 16 semanas )
Reconocimiento de partes
DETECCION DE hCGDETECCION DE hCG
 Detección en sueroDetección en suero
 Pruebas inmunológicasPruebas inmunológicas
AglutinaciónAglutinación
ELISAELISA (ensayo inmunosorbente ligado a enzimas)
IFMAIFMA ( ensayo inmunofluoromètrico)
RIARIA
IRMAIRMA (ensayo inmunorradiomètrico)
Detectan la gonadotropina Corionica Humana
que puede ser detectada a los 7-10 días.
• Tipos de Pruebas:
 ORINA: Son las llamadas pruebas caseras
Determina si esta embarazada hasta 2 semanas después
de la ovulación.
 SANGRE hay dos tipos:
 CUALITATIVO solo da positivo o negativo y tiene la misma
exactitud que la prueba de orina.
 CUANTITATIVO mide la cantidad exacta de hGC en sangre.
 Determina si esta embarazada en 8 - 10 días después de la
ovulación.
PRUEBAS DE EMBARAZO
CONFIABILIDAD DE LA TECNICACONFIABILIDAD DE LA TECNICA
 Años atrás las pruebas en orina no presentabanAños atrás las pruebas en orina no presentaban
buena sensibilidad, determinandobuena sensibilidad, determinando 600 mUI/ml.
 Las técnicas actuales permiten detectarLas técnicas actuales permiten detectar
concentraciones deconcentraciones de 20-50 mUI/ml
como es el ELISA.como es el ELISA.
* Reacción cruzada Con LH ( fracción alfa semejante )
 Los niveles cuantitativos de hCG estánβ
relacionados al periodo del embarazo y a
datos ecográficos específicos.
 Estos niveles deben duplicarse cada 2-3
días durante la 4ta-8ava semana del
comienzo de la gestación.
 La relación hCG / USG provee la mayoríaβ
de la información sobre el estado del
embarazo.
 Cuando la hCG alcanza 1800 mLU/mL elβ
USG transvaginal debe de mostrar el saco
gestacional.
 Los niveles de progesterona también
pueden ayudar a predecir el desenlace
clínico del embarazo en las primeras 8 SDG.
 Los niveles séricos de progesterona
permanecen constantes durante las
primeras 9-10 SDG.
 Los niveles de progesterona de
<5ngr/mL tienen más probabilidades de
ser asociados a un mal desenlace clínico
del embarazo.
 Un nivel de progesterona >25ngr/mL
está asociado a un embarazo intrauterino
vivo.
RECONOCIMIENTO ECOGRAFICO
VAGINAL
SACO GESTACIONALSACO GESTACIONAL 16 días después de la ovulación16 días después de la ovulación
10 días después de la implantación.10 días después de la implantación.
CAVIDAD CORIONICACAVIDAD CORIONICA 2 semanas después de la concepción2 semanas después de la concepción
SACO VITELINOSACO VITELINO 3 semanas3 semanas
ACTIVIDAD CARDIACAACTIVIDAD CARDIACA 4 semanas post-concepción4 semanas post-concepción
SIGNOS POSITIVOS DE EMBARAZOSIGNOS POSITIVOS DE EMBARAZO
SIGNOS POSITIVOS DE EMBARAZOSIGNOS POSITIVOS DE EMBARAZO
Edad
gestacional
( FUM)
Indice de Ref.
transabdominal
Indice de Ref.
transvaginal
ΒhCG Sérico
mLU/mL
< 5 semanas ninguno Posible saco
gestacional
1800
5 – 7 semanas Embrión 5-10mm Saco gestacional,
saco vitelino
1800 - 3500
7 semanas Embrión 5-10mm Igual al
transabdominal
con actividad
cardiaca
>20,000
 Instrumento diagnóstico ideal.
 Cuando se aplica apropiadamente,
puede usualmente hacer un diagnóstico
rápido y definitivo.
 La ecografía de rutina al inicio del
embarazo hace que se efectúe una mejor
valoración de la edad gestacional.
 Entre la 5ta-7ma semana del embarazo, el
usg transvaginal revelará el saco
gestacional, saco vitelino y el embrión.
 Cuando es visible por 1ª vez, el saco
gestacional parece estar vacío y puede
ser semejante al “saco
pseudogestacional”.
 Algunas características precoces del
saco gestacional normal son:
• Forma redonda
• Localizados en el fondo uterino
• Un anillo ecogénico rodea al saco
 Durante la 6ta semana aparece el saco
vitelino, que posee una estructura
redonda dentro del saco gestacional.
 Durante la 5ta-6ta semanas, la edad
gestacional puede ser valorada a través
de medir el diámetro medio del saco
gestacional.
 El embrión es visible a la 6ta semana y la
edad gestacional puede ser valorada a
través de la medición directa de la
longitud cefalo-caudal.
Durante la 7ma semana, el embrión aparece
y la actividad cardiaca se hace visible.
El embrión es visto inicialmente como una
pequeña “mancha” en un borde del saco
vitelino y crece rápidamente.
Una proporción de 1 mm por día.
FCF: aparece siempre cuando embrión
mide 5mm.
Por F.U.R segura y confiable.
Por Ecografía precoz:
LCN ( 7 - 12 sem ) EG + 5 días 3.5
Femúr ( 12 – 22 sem ) EG + 7 días + / -
DBP ( 12 - 22 sem ) EG + 10 días 7 días
Cuando un embarazo tiene evolución
tórpida los niveles de hCGβ
se estabilizan o disminuyen
al igual que los síntomas de embarazo.
 Sangrado transvaginal.
 Dolor tipo cólico.
 Expulsión de productos de la
concepción.
INDICACIONES CLÍNICAS
Cualitativa
Cuantitativa
¿Orina o suero?
En orina:
Orina turbia
pH alto
Contaminación con flujo,semen.
Anticuerpos heterofílos.
para seguimiento en
embarazo molar.
Semanal hasta 3 medidas
consecutivas normales.
luego negativa cada mes
por uno a dos años
CUANTITATIVA
Regresión de la β-hCG
Días promedio
Aborto espontáneo 9 – 35 19
Aborto Inducido 16 – 60 30
Cirugía ectópico 1 – 31 8.5
CUANTITATIVA
Parto normal Dos semanas
FALSOS POSITIVOS
Por drogas:
Marihuana
No toda β-hGC positiva
significa
que habrá un nacimiento
Pero es evidencia de
Embarazo
Hasta que se demuestre lo
contrario
PROCEDIMIENTOS DIAGNÓSTICO
COMPLEMENTARIOS
 Pruebas biológicas
 Pruebas inmunológicas
 Prueba de la progesterona
 Examen ecográfico: desde 6 sem.
de amenorrea (saco gestacional)
Síntomas subjetivos:
  Percepción de los movimientos fetales:
17ª semana por las multíparas
y en la 20ª semana por las nulíparas.
  Palpación de partes fetales: a 18-20 sem.
si la mujer es delgada,
 Percepción de movimientos activos: más fácil
cuanto más avanzado, puede ser por inspección
o palpación.
 Provocación de movimientos fetales: al hacer
presión el feto responde con movimientos.
 Auscultación cardíaca: 20 sem.
También se pueden auscultar :
soplos funiculares (del cordón)
y soplos placentarios.
 1. leiomiomas
 2.quiste de ovario
 3.pseudociesis
 4.hematometra
 distintas formas de gestación patológica:
mola hidatiforme, embarazo ectópico.
 Endocrinopatías u otras patologías que
cursan con amenorrea.
 Tumoraciones abdominales o pelvianas,
que pueden ser uterinas o extrauterinas
fecundación
término
8 semanas 24 semanas 36 semanas40 semanas
Período embrionario
Período inmaduro
Período prematuro Término
Período fetal
Dura en promedio 40 semanas
 siendo de término entre 37 y 42 semanas
Si nace antes de las 37 semanas
pretérmino
Por encima de las 42 semanas
postérmino.
se forman durante el embarazo y se
expulsan cuando el mismo termina:
 Amnios
 Saco vitelino
 Alantoides
 Placenta
 Cordón umbilical
Es una membrana protectora que rodea al
embrión por completo, creando una cavidad
llena de líquido el líquido amniótico
Funciones:
 Protección mecánica y ante gérmenes
 Intercambios con la madre
 Regula temperatura corporal fetal
 Evita adherencia entre el feto y tejidos
circundantes.
 Se rompe durante el parto “bolsa de agua”.
 Se desprende en el parto , en la fase de
alumbramiento, después de la expulsión
del feto.
HCG entre 3.000 y 6.500 mUI con eco que
reporta ausencia de saco gestacional es
embarazo ectópico en un 905 de los
casos.
En las otras dos las determinaciones
seriadas de HCG muestran una
disminución o un aplanamiento en la rata
de aumento. Nos sirve para tomar
determinaciones inmediatas en
cardiópatas o diabéticas por ejemplo.
HCG entre 3.000 y 6.500 mUI
USO que reporta ausencia
de saco gestacional
es embarazo ectópico
en un 90.5 de los casos.
 La mitad de las concepciones terminan
en aborto espontáneo antes de las 12
semanas.
 El 80% de las pérdidas gestacionales
ocurren en el primer trimestre.
 El STV puede indicar:
• Aborto, embarazo ectópico, ETG, pólipos, cérvix
friable, cáncer de cuello uterino y/o traumas.
Diagnostico embarazo
Diagnostico embarazo
Diagnostico embarazo
Diagnostico embarazo
Diagnostico embarazo
Diagnostico embarazo
Diagnostico embarazo
Diagnostico embarazo
Diagnostico embarazo

Diagnostico embarazo

  • 1.
  • 2.
    1. El ciclomenstrual es reemplazado por el ciclo gravídico 2. La presencia del huevo produce modificaciones generales en el organismo materno 3. El desarrollo del huevo produce modificaciones locales del útero y de las mamas
  • 5.
     ELEVACIÓN DETEMPERATURA COORPORAL  CAMBIOS EN LA PIEL  CAMBIOS MAMARIOS  CRECIMIENTO ABDOMINAL  CAMBIOS EN LA PELVIS
  • 6.
    SINTOMASSINTOMAS SUBJETIVOS ―Alteraciones de lamicción ―Fatiga ―Percepción del movimiento fetal ― Nauseas con vómitos o sin ellos Evidencia presuntiva de EmbarazoEvidencia presuntiva de Embarazo
  • 7.
    NAUSEAS CON VOMITOSO SIN ELLOSNAUSEAS CON VOMITOS O SIN ELLOS 50% de los embarazos “Enfermedad matinal del embarazo” - Se presenta aprox. 2 a 12 semanas después del ultimo periodo menstrual - Desaparecen espontáneamente al 3er mes. - Se pueden asociar a la HGC (100 000mUI/ mL) si son muy extremos puede ser un embarazo Evidencia presuntiva de EmbarazoEvidencia presuntiva de Embarazo SINTOMAS SUBJETIVOS
  • 8.
    ALTERACIONES DE LAMICCION •Durante el 1er trimestre el útero en crecimiento, ejerce presión sobre la vejiga y esto puede ocasionar una micción frecuente. • Infección del aparato urinario. •Predisposición a B. A: en 7% Evidencia presuntiva de Embarazo SINTOMAS SUBJETIVOS
  • 9.
    FATIGAFATIGA Es una característicatan frecuente del embarazo temprano que brinda un indicio diagnostico útil. Evidencia presuntiva de EmbarazoEvidencia presuntiva de Embarazo SINTOMAS SUBJETIVOS
  • 10.
    •Crecimiento del abdomen •Cambiosen la forma, tamaño y consistencia del útero. •Cambios anatómicos del cuello uterino •Contracciones de Braxton Hicks •Delineación física del feto •Resultados positivos para hCG •Amenorrea •Cambios anatómicos de las mamas •Cambios de color de la mucosa vaginal •Aumento de la pigmentación cutáneo •Desarrollo de estrías abdominales SIGNOS PROBABLES Evidencia probable de Embarazo
  • 11.
    SIGNOS PROBABLES  AntecedentesAntecedentes AmenorreaAmenorrea  Trastornos digestivosTrastornos digestivos  Trastornos urinariosTrastornos urinarios  Examen externoExamen externo  Forma abdomenForma abdomen  Tamaño del úteroTamaño del útero  Modificación de las mamasModificación de las mamas  Cloasma gravídicoCloasma gravídico Examen internoExamen interno  Modificación de vaginaModificación de vagina  Modificación cuello uterinoModificación cuello uterino
  • 12.
    CAMBIOS ANATOMICOS DELAS MAMASCAMBIOS ANATOMICOS DE LAS MAMAS Los cambios son mas característicos en las primíparas y menos en las multíparas. •Las 1ras semanas se tornan turgentes con hipersensibilidad del pezón. •4ta. Semana aumentan de volumen. •Hiperpigmentación de areola y pezón. •Red venosa (signo de Haller). •Hipertrofia de glándulas sebáceas alrededor de areolas (folículos de Montgomery). •Secreción de Calostro SIGNOS PROBABLESSIGNOS PROBABLES Evidencia probable de Embarazo
  • 13.
     Más comúnen primigestas  Hipersensibilidad y turgencia (sem1)  Aumento de volumen (sem4)  Hiperpigmentación de areola y pezón  Red venosa (signo de Haller)  Hipertrofia de glándulas sebáceas (folículos de Montgomery)  Secreción de calostro
  • 14.
    AUMENTO DE LAPIGMENTACION CUTANEA Y APARICION DE ESTRIAS ABDOMINALES •Son comunes pero no diagnosticas de embarazo •Pueden asociarse con la ingestión de anticonceptivos que contengan estrógenos-progestagenos •Cloasma semana 16 •Línea morena (melanóforos)) SIGNOS PROBABLESSIGNOS PROBABLES Evidencia probable de Embarazo
  • 15.
    . Signo deChadwick: color violáceo de vulva, vagina y cérvix, notable en 8ª semana. Signos presuntivos GOODELL- reblandecimiento del cuello uterino HEGAR- elasticidad del itsmo PISKACEK- asimetría del utero LADIN- zona de reblandecimiento de la línea media MACDONALD NOBLE BUDIN- ocupación de los fondos de saco
  • 16.
    Hegar I Reblandecimiento istmico que permitealcanzar paredes ant y post del útero Hegar II Reblandecimiento que permite alcanzar el fondo de saco ant y maniobra abdominal (6-8 sem) Chadwick Coloración violácea de paredes vaginales Piscasek Asimetría a nivel del cuerno Osciander Pulso palpable en fondos de saco laterales Noble & Budin Disminución de la profundidad del fondo de saco lateral SIGNOS PROBABLESSIGNOS PROBABLES Evidencia probable de Embarazo Mc Donal Fácil flexión del cuerpo uterino sobre el cervix (7-8sem)
  • 17.
     Sensación deblandura, elasticidad (8s) y calor por la hiperemia.  Signo de Chadwick: color violáceo de vulva, vagina y cérvix, notable en 8ª semana.  Aspereza vaginal, várices vulvares.
  • 18.
     Aumento detamaño del cuerpo uterino, cambios en la forma y en la consistencia (Signo de Noble-Budin) Piscasek
  • 19.
    Signo de Hegar: Porreblandecimiento del istmo
  • 20.
    DIAGNOSTICO CERTERO (signos ) SIGNOSPOSITIVOS DE CERTEZA Movimientos fetales U.S. ( 4 – 5 semanas ) Latido cardiaco fetal Latido Cardiaco fetal ( 12 semanas ) Palpación de mov. Fetales ( 16 semanas ) Reconocimiento de partes
  • 22.
    DETECCION DE hCGDETECCIONDE hCG  Detección en sueroDetección en suero  Pruebas inmunológicasPruebas inmunológicas AglutinaciónAglutinación ELISAELISA (ensayo inmunosorbente ligado a enzimas) IFMAIFMA ( ensayo inmunofluoromètrico) RIARIA IRMAIRMA (ensayo inmunorradiomètrico)
  • 23.
    Detectan la gonadotropinaCorionica Humana que puede ser detectada a los 7-10 días. • Tipos de Pruebas:  ORINA: Son las llamadas pruebas caseras Determina si esta embarazada hasta 2 semanas después de la ovulación.  SANGRE hay dos tipos:  CUALITATIVO solo da positivo o negativo y tiene la misma exactitud que la prueba de orina.  CUANTITATIVO mide la cantidad exacta de hGC en sangre.  Determina si esta embarazada en 8 - 10 días después de la ovulación. PRUEBAS DE EMBARAZO
  • 24.
    CONFIABILIDAD DE LATECNICACONFIABILIDAD DE LA TECNICA  Años atrás las pruebas en orina no presentabanAños atrás las pruebas en orina no presentaban buena sensibilidad, determinandobuena sensibilidad, determinando 600 mUI/ml.  Las técnicas actuales permiten detectarLas técnicas actuales permiten detectar concentraciones deconcentraciones de 20-50 mUI/ml como es el ELISA.como es el ELISA. * Reacción cruzada Con LH ( fracción alfa semejante )
  • 25.
     Los nivelescuantitativos de hCG estánβ relacionados al periodo del embarazo y a datos ecográficos específicos.  Estos niveles deben duplicarse cada 2-3 días durante la 4ta-8ava semana del comienzo de la gestación.  La relación hCG / USG provee la mayoríaβ de la información sobre el estado del embarazo.
  • 27.
     Cuando lahCG alcanza 1800 mLU/mL elβ USG transvaginal debe de mostrar el saco gestacional.  Los niveles de progesterona también pueden ayudar a predecir el desenlace clínico del embarazo en las primeras 8 SDG.  Los niveles séricos de progesterona permanecen constantes durante las primeras 9-10 SDG.
  • 28.
     Los nivelesde progesterona de <5ngr/mL tienen más probabilidades de ser asociados a un mal desenlace clínico del embarazo.  Un nivel de progesterona >25ngr/mL está asociado a un embarazo intrauterino vivo.
  • 29.
    RECONOCIMIENTO ECOGRAFICO VAGINAL SACO GESTACIONALSACOGESTACIONAL 16 días después de la ovulación16 días después de la ovulación 10 días después de la implantación.10 días después de la implantación. CAVIDAD CORIONICACAVIDAD CORIONICA 2 semanas después de la concepción2 semanas después de la concepción SACO VITELINOSACO VITELINO 3 semanas3 semanas ACTIVIDAD CARDIACAACTIVIDAD CARDIACA 4 semanas post-concepción4 semanas post-concepción SIGNOS POSITIVOS DE EMBARAZOSIGNOS POSITIVOS DE EMBARAZO
  • 30.
    SIGNOS POSITIVOS DEEMBARAZOSIGNOS POSITIVOS DE EMBARAZO
  • 31.
    Edad gestacional ( FUM) Indice deRef. transabdominal Indice de Ref. transvaginal ΒhCG Sérico mLU/mL < 5 semanas ninguno Posible saco gestacional 1800 5 – 7 semanas Embrión 5-10mm Saco gestacional, saco vitelino 1800 - 3500 7 semanas Embrión 5-10mm Igual al transabdominal con actividad cardiaca >20,000
  • 32.
     Instrumento diagnósticoideal.  Cuando se aplica apropiadamente, puede usualmente hacer un diagnóstico rápido y definitivo.  La ecografía de rutina al inicio del embarazo hace que se efectúe una mejor valoración de la edad gestacional.
  • 33.
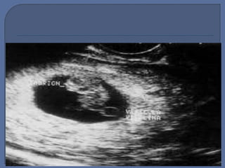
     Entre la5ta-7ma semana del embarazo, el usg transvaginal revelará el saco gestacional, saco vitelino y el embrión.  Cuando es visible por 1ª vez, el saco gestacional parece estar vacío y puede ser semejante al “saco pseudogestacional”.
  • 34.
     Algunas característicasprecoces del saco gestacional normal son: • Forma redonda • Localizados en el fondo uterino • Un anillo ecogénico rodea al saco  Durante la 6ta semana aparece el saco vitelino, que posee una estructura redonda dentro del saco gestacional.
  • 35.
     Durante la5ta-6ta semanas, la edad gestacional puede ser valorada a través de medir el diámetro medio del saco gestacional.  El embrión es visible a la 6ta semana y la edad gestacional puede ser valorada a través de la medición directa de la longitud cefalo-caudal.
  • 36.
    Durante la 7masemana, el embrión aparece y la actividad cardiaca se hace visible. El embrión es visto inicialmente como una pequeña “mancha” en un borde del saco vitelino y crece rápidamente. Una proporción de 1 mm por día. FCF: aparece siempre cuando embrión mide 5mm.
  • 37.
    Por F.U.R seguray confiable. Por Ecografía precoz: LCN ( 7 - 12 sem ) EG + 5 días 3.5 Femúr ( 12 – 22 sem ) EG + 7 días + / - DBP ( 12 - 22 sem ) EG + 10 días 7 días
  • 38.
    Cuando un embarazotiene evolución tórpida los niveles de hCGβ se estabilizan o disminuyen al igual que los síntomas de embarazo.  Sangrado transvaginal.  Dolor tipo cólico.  Expulsión de productos de la concepción.
  • 39.
  • 40.
    ¿Orina o suero? Enorina: Orina turbia pH alto Contaminación con flujo,semen. Anticuerpos heterofílos.
  • 41.
    para seguimiento en embarazomolar. Semanal hasta 3 medidas consecutivas normales. luego negativa cada mes por uno a dos años CUANTITATIVA
  • 42.
    Regresión de laβ-hCG Días promedio Aborto espontáneo 9 – 35 19 Aborto Inducido 16 – 60 30 Cirugía ectópico 1 – 31 8.5 CUANTITATIVA Parto normal Dos semanas
  • 43.
  • 44.
    No toda β-hGCpositiva significa que habrá un nacimiento Pero es evidencia de Embarazo Hasta que se demuestre lo contrario
  • 45.
    PROCEDIMIENTOS DIAGNÓSTICO COMPLEMENTARIOS  Pruebasbiológicas  Pruebas inmunológicas  Prueba de la progesterona  Examen ecográfico: desde 6 sem. de amenorrea (saco gestacional)
  • 46.
    Síntomas subjetivos:   Percepciónde los movimientos fetales: 17ª semana por las multíparas y en la 20ª semana por las nulíparas.
  • 47.
      Palpación departes fetales: a 18-20 sem. si la mujer es delgada,  Percepción de movimientos activos: más fácil cuanto más avanzado, puede ser por inspección o palpación.  Provocación de movimientos fetales: al hacer presión el feto responde con movimientos.  Auscultación cardíaca: 20 sem. También se pueden auscultar : soplos funiculares (del cordón) y soplos placentarios.
  • 48.
     1. leiomiomas 2.quiste de ovario  3.pseudociesis  4.hematometra
  • 49.
     distintas formasde gestación patológica: mola hidatiforme, embarazo ectópico.  Endocrinopatías u otras patologías que cursan con amenorrea.  Tumoraciones abdominales o pelvianas, que pueden ser uterinas o extrauterinas
  • 51.
    fecundación término 8 semanas 24semanas 36 semanas40 semanas Período embrionario Período inmaduro Período prematuro Término Período fetal
  • 52.
    Dura en promedio40 semanas  siendo de término entre 37 y 42 semanas Si nace antes de las 37 semanas pretérmino Por encima de las 42 semanas postérmino.
  • 55.
    se forman duranteel embarazo y se expulsan cuando el mismo termina:  Amnios  Saco vitelino  Alantoides  Placenta  Cordón umbilical
  • 56.
    Es una membranaprotectora que rodea al embrión por completo, creando una cavidad llena de líquido el líquido amniótico Funciones:  Protección mecánica y ante gérmenes  Intercambios con la madre  Regula temperatura corporal fetal  Evita adherencia entre el feto y tejidos circundantes.  Se rompe durante el parto “bolsa de agua”.
  • 57.
     Se desprendeen el parto , en la fase de alumbramiento, después de la expulsión del feto.
  • 61.
    HCG entre 3.000y 6.500 mUI con eco que reporta ausencia de saco gestacional es embarazo ectópico en un 905 de los casos. En las otras dos las determinaciones seriadas de HCG muestran una disminución o un aplanamiento en la rata de aumento. Nos sirve para tomar determinaciones inmediatas en cardiópatas o diabéticas por ejemplo.
  • 62.
    HCG entre 3.000y 6.500 mUI USO que reporta ausencia de saco gestacional es embarazo ectópico en un 90.5 de los casos.
  • 63.
     La mitadde las concepciones terminan en aborto espontáneo antes de las 12 semanas.  El 80% de las pérdidas gestacionales ocurren en el primer trimestre.  El STV puede indicar: • Aborto, embarazo ectópico, ETG, pólipos, cérvix friable, cáncer de cuello uterino y/o traumas.