Zimry Alejandro Amaya

LEPTOSPIROSIS
Leptospirosis
 Es producida por leptospiras patógenas y se
caracteriza por un amplio espectro de
manifestaciones clínicas que oscilan desde una

infección desapercibida hasta una enfermedad
fulminante y fatal.
 La leptospirosis leve se puede presentar como
un proceso seudogripal , es decir , con cefalalgias
y mialgias.
 La leptospirosis grave se conoce también como
síndrome de Weil y se carácter iza por ictericia
, alteraciones de la función renal y diátesis
hemorrágica.
MICROORGANISMOS CAUSALES
 Las leptospiras son espiroquetas que

pertenecen al orden Spirochaetales y a La
familia Leptospiraceae. Y se denomina L.
interrogans.

 Hoy en día se han identificado 17

especies genómicas de leptospiras
patógenas , con base en la similitud del
DNA .

 Las leptospiras son microorganismos

espirales, finos y dotados de gran
movilidad con extremos en forma de
gancho y dos flagelos periplasmáticos ,
miden de 6 a 20 pm de longitud y aprox
0.1 pm de anchura.
Epidemiologia
 La leptospirosis es una importante

zoonosis universal que afecta por lo
menos a 160 especies de
mamíferos, siendo el reservorio mas
importante las ratas, pero se pueden
encontrar en otros animales
domésticos o de granja.
 La leptospira establecen una relación
de simbiosis con el hospedador y a
veces persisten durante años en el
túbulo renal.
 La transmisión de las leptospiras en

humanos puede surgir después de
contacto directo con






la orina ,
la sangre o
el tejido de un animal infectado o
la exposición al entorno contaminado ;
rara vez ,la transmisión ocurre de un humano
a otro.

 Son excretadas en la orina de estos

animales y sobreviven varios meses en el
agua.
 Las epidemias a veces son consecuencia
de exposición a aguas de inundaciones
contaminadas.
Patogenia
Las leptospira se introducen a través de las heridas cutáneas o incluso
a través de la mucosa intacta, sobretodo la conjuntiva y la que cubre la
bucofarínge y la nasofaringe.
Una vez que penetran los microorganismos se produce una
leptospiremia y el patógeno se extiende por todos los órganos.

Se multiplica en la sangre y en los tejidos y puede aislarse tanto en la
sangre como en el LCR en los primeros 4 a 10 días.
El estudio de LCR en ese periodo de tiempo corrobora la presencia de
pleocitosis en la mayor parte de los casos, pero solo una pequeña
proporción de enfermos muestra sx y sg de meningitis.

Todos los tipos de leptospira pueden lesionar los vasos sanguíneos de
pequeño calibre; esta lesión da lugar a vasculitis con salida de
elementos celulares y otros elementos intravasculares, incluyendo los
eritrocitos .
Las propiedades patógenas mas importantes de las leptospiras son la
adhesión a las superficies celulares y la toxicidad celular.
La vasculitis es la responsable de las
manifestaciones más importantes de la
enfermedad. Las leptospiras infectan
fundamentalmente a los riñones y al hígado.
En el riñón, los microorganismos emigran al
intersticio, a los túbulos renales y a la luz tubular, y
originan una nefritis intersticial y una necrosis
tubular. La hipovolemia debida a la deshidratación y a los
trastornos de la permeabilidad capilar contribuye a la
insuficiencia renal.

En el hígado se observa necrosis
centrolobulillar con proliferación de las células
de Kupffer. Sin embargo, la necrosis hepatocelular grave
no representa un rasgo característico de la leptospirosis.

La lesión pulmonar es consecuencia de la
hemorragia y no de la inflamación. En músculo
estriado provocan tumefacción, degeneración
vacuolar de las miofibrillas y necrosis focal.
 Cuando se forman anticuerpos, las

leptospiras se eliminan de todos los
lugares del hospedador, excepto el
ojo, los túbulos proximales renales y
probablemente el cerebro, donde
pueden persistir durante semanas o
meses.

 La persistencia de las leptospiras en el

humor acuoso da lugar
ocasionalmente a uveítis crónica o
recidivante.

 Cuando se inicia el tratamiento

antimicrobiano de la leptospirosis
puede ocurrir una reacción de JarischHerxheimer, parecida a la que se
observa en otras enfermedades por
espiroquetas.
Manifestaciones Clinicas
 Muchas personas permanecen asintomáticas.
Entre un 15 y 40% de las personas expuestas
y que no padecen la enfermedad, muestran
pruebas serológicas de una infección previa

asintomática.
 En general, el período de incubación dura de

una a dos semanas, pero oscila entre 2 y 20
días. En los casos típicos, la fase de
leptospiremia aguda va seguida de una fase
de leptospiruria inmunitaria.
En los casos sintomáticos, las manifestaciones
clínicas de la leptospirosis varían desde leves
hasta graves o incluso letales.
 Más de 90% de los enfermos con síntomas sufren

la variante leve y por lo general anictérica de la
leptospirosis, con o sin meningitis asociada.
 La leptospirosis grave con ictericia profunda

(síndrome de Weil) aparece en un 5 a 10% de las
personas infectadas.
Leptospirosis anictérica


La leptospirosis puede presentarse como un
proceso seudogripal agudo con
fiebre, escalofríos, cefalalgia
intensa, náusea, vómito y mialgias. Otras
manifestaciones menos frecuentes son el
dolor de garganta y la erupción cutánea.



El dato más común en la exploración física es
la fiebre, junto a la conjuntivitis. Signos menos
frecuentes comprenden el dolor muscular a la
palpación, linfadenopatías, hiperemia
faríngea, erupción
cutánea, hepatoesplenomegalia e ictericia leve.



No es rara la afección pulmonar, que suele
manifestarse por tos y dolor precordial y, en
algunos casos, por hemoptisis.
 Los síntomas remiten en la mayoría de

los enfermos en una semana. El
comienzo de la fase (inmunitaria)
coincide con la aparición de los
anticuerpos.

 En general, los Sx duran sólo unos días

pero a veces persisten durante semanas.
La fiebre es menos acusada y las mialgias
menos intensas.

 En el período inmunitario aparece una

complicación importante, la meningitis
aséptica. Los Sg y Sx de meningitis se
observan en el 15% de los enfermos,
aunque muchos presentan pleocitosis del
LCR.
 La

iritis, uveitis, complicaciones
tardías que se prolongan en
ocasiones durante
años, pueden ocurrir ya en la
tercera semana aunque casi
siempre se manifiestan varios
meses después del proceso
inicial.
 La mortalidad es
prácticamente inexistente en
la leptospirosis anictérica.
Leptospirosis grave (Sd de
Weil)
 Es la forma más grave de leptospirosis, caracterizada

por ictericia, disfunción renal, diátesis hemorrágica y
una mortalidad de 5 a 15%.
 La enfermedad comienza del mismo modo que la

leptospirosis leve, pero a los 4 a 9 días suele aparecer
ictericia, alteraciones de la función renal y vascular.
 Después de la 1a semana disminuyen ligeramente los

sx, pero no se aprecia el patrón bifásico de la
leptospirosis anictérica. La ictericia del síndrome de
Weil, que puede ser intensa con un aspecto anaranjado
de la piel, no suele acompañarse de necrosis hepática
grave. La esplenomegalia aparece en 20% de los casos.
 La I Renal aparece casi siempre en la 2a semana. La necrosis tubular

aguda, con oliguria o anuria, contribuye a la hipovolemia y al
descenso de la perfusión renal. A veces se requiere diálisis, pero se puede
evitar esta intervención.

 La lesión pulmonar es frecuente y concurre con tos, disnea, dolor de

pecho y expectoración teñida de sangre o incluso hemoptisis e I.
respiratoria.
 El síndrome de Weil conlleva Mx hemorrágicas como

epistaxis, petequias, púrpura y equimosis, también se han descrito
rabdomiólisis, hemólisis, miocarditis, pericarditis, ICC, Shock
cardiógeno, síndrome apneico del adulto y fallo multiorgánico.
Datos analíticos y
radiológicos
 Pueden observarse desde alteraciones del sedimento urinario y

proteinuria leve en la Leptospirosis anictérica, hasta Insuficiencia renal y
azoemia en Sd de weil.
 VES elevada, leucocitos entre 3 000 y 26 000/ mm3 en la L. anictérica, la

leucocitosis es bastante llamativa en el Sd de Weil y hasta 50% presentan
trombocitopenia leve.
 A diferencia de la hepatitis viral, en la leptospirosis es característica el

aumento de






la bilirrubina
fosfatasa alcalina,
aminotransferasas,
TP y
la actividad de la cinasa de creatinina (esta ultima aumenta hasta en 50%

en
leptospirosis durante la primera semana, ayuda a diferenciar esta infección de la hepatitis vírica).
 Rx meningea, predominan al

principio los leucocitos PMN y, más
tarde, MN. La proteínas en el LCR
se eleva, pero la concentración de
glucosa es normal.

 El dato radiológico más común

consiste en un patrón alveolar
segmentario, que corresponde a la
hemorragia alveolar dispersa.

 En general, las anomalías

radiológicas afectan a las zonas
periféricas de los lóbulos inferiores
de los campos pulmonares.

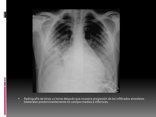
Radiografía de tórax 12 horas después que muestra
progresión de los infiltrados alveolares bilaterales
predominantemente en campos medios e
inferiores.
 Radiografía de tórax al ingreso que muestra un

infiltrado alveolointersticial bilateral


Radiografía de tórax 12 horas después que muestra progresión de los infiltrados alveolares
bilaterales predominantemente en campos medios e inferiores.
Diagnóstico
 El Dx probado de leptospirosis se basa en la

identificación del microorganismo en cultivo o el
incremento de anticuerpos. Los anticuerpos por lo
común no alcanzan niveles detectables hasta la segunda
semana de la enfermedad.
 Las leptospiras se pueden aislar en la sangre, en el LCR, o

en ambos, en los primeros 10 días de la enfermedad, y en
la orina durante varias semanas a partir de la primera.
Los cultivos con mayor frecuencia se hacen positivos al
cabo de dos a cuatro semanas.
Diagnóstico diferencial
 La leptospirosis se debe distinguir de otras enfermedades febriles

que conllevan cefalalgia y mialgias, como el paludismo, la fiebre
entérica, la hepatitis vírica, el dengue, las infecciones por Hantavirus y las
enfermedades causadas por rickettsias.

 Dada la gran similitud de la leptospirosis y las enfermedades por

Hantavirus, se recomienda efectuar pruebas serológicas para
detectar Hantavirus siempre que se sospeche leptospirosis.
 Ante un enfermo con un cuadro seudogripal aunado a mialgias

desproporcionadas e intensas o con meningitis aséptica, se debe
considerar el diagnóstico de leptospirosis.
Tratamiento
 Existe controversia sobre la eficacia del
tratamiento antimicrobiano en la leptospirosis
leve y febril; no obstante, el tratamiento está

indicado en las formas más graves. Ha de
iniciarse lo antes posible.

 El tratamiento no varia de acuerdo al serotipo.
 En casos raros puede ocurrir una reacción de
Jarisch-Herxheimer a las pocas horas de iniciado
el tratamiento antimicrobiano.
Pronostico
 La mayoría de los enfermos con leptospirosis se
recupera. La mortalidad es mayor entre los

enfermos ancianos o con síndrome de Weil. La
leptospirosis contraída durante el embarazo se
vincula con alta mortalidad fetal.
 El seguimiento prolongado de los enfermos con
insuficiencia renal y alteraciones de la función
hepática revela una buena recuperación de
ambos órganos.

Leptospirosis

  • 1.
  • 2.
    Leptospirosis  Es producidapor leptospiras patógenas y se caracteriza por un amplio espectro de manifestaciones clínicas que oscilan desde una infección desapercibida hasta una enfermedad fulminante y fatal.  La leptospirosis leve se puede presentar como un proceso seudogripal , es decir , con cefalalgias y mialgias.  La leptospirosis grave se conoce también como síndrome de Weil y se carácter iza por ictericia , alteraciones de la función renal y diátesis hemorrágica.
  • 3.
    MICROORGANISMOS CAUSALES  Lasleptospiras son espiroquetas que pertenecen al orden Spirochaetales y a La familia Leptospiraceae. Y se denomina L. interrogans.  Hoy en día se han identificado 17 especies genómicas de leptospiras patógenas , con base en la similitud del DNA .  Las leptospiras son microorganismos espirales, finos y dotados de gran movilidad con extremos en forma de gancho y dos flagelos periplasmáticos , miden de 6 a 20 pm de longitud y aprox 0.1 pm de anchura.
  • 4.
    Epidemiologia  La leptospirosises una importante zoonosis universal que afecta por lo menos a 160 especies de mamíferos, siendo el reservorio mas importante las ratas, pero se pueden encontrar en otros animales domésticos o de granja.  La leptospira establecen una relación de simbiosis con el hospedador y a veces persisten durante años en el túbulo renal.
  • 5.
     La transmisiónde las leptospiras en humanos puede surgir después de contacto directo con      la orina , la sangre o el tejido de un animal infectado o la exposición al entorno contaminado ; rara vez ,la transmisión ocurre de un humano a otro.  Son excretadas en la orina de estos animales y sobreviven varios meses en el agua.  Las epidemias a veces son consecuencia de exposición a aguas de inundaciones contaminadas.
  • 6.
    Patogenia Las leptospira seintroducen a través de las heridas cutáneas o incluso a través de la mucosa intacta, sobretodo la conjuntiva y la que cubre la bucofarínge y la nasofaringe. Una vez que penetran los microorganismos se produce una leptospiremia y el patógeno se extiende por todos los órganos. Se multiplica en la sangre y en los tejidos y puede aislarse tanto en la sangre como en el LCR en los primeros 4 a 10 días. El estudio de LCR en ese periodo de tiempo corrobora la presencia de pleocitosis en la mayor parte de los casos, pero solo una pequeña proporción de enfermos muestra sx y sg de meningitis. Todos los tipos de leptospira pueden lesionar los vasos sanguíneos de pequeño calibre; esta lesión da lugar a vasculitis con salida de elementos celulares y otros elementos intravasculares, incluyendo los eritrocitos . Las propiedades patógenas mas importantes de las leptospiras son la adhesión a las superficies celulares y la toxicidad celular.
  • 7.
    La vasculitis esla responsable de las manifestaciones más importantes de la enfermedad. Las leptospiras infectan fundamentalmente a los riñones y al hígado. En el riñón, los microorganismos emigran al intersticio, a los túbulos renales y a la luz tubular, y originan una nefritis intersticial y una necrosis tubular. La hipovolemia debida a la deshidratación y a los trastornos de la permeabilidad capilar contribuye a la insuficiencia renal. En el hígado se observa necrosis centrolobulillar con proliferación de las células de Kupffer. Sin embargo, la necrosis hepatocelular grave no representa un rasgo característico de la leptospirosis. La lesión pulmonar es consecuencia de la hemorragia y no de la inflamación. En músculo estriado provocan tumefacción, degeneración vacuolar de las miofibrillas y necrosis focal.
  • 8.
     Cuando seforman anticuerpos, las leptospiras se eliminan de todos los lugares del hospedador, excepto el ojo, los túbulos proximales renales y probablemente el cerebro, donde pueden persistir durante semanas o meses.  La persistencia de las leptospiras en el humor acuoso da lugar ocasionalmente a uveítis crónica o recidivante.  Cuando se inicia el tratamiento antimicrobiano de la leptospirosis puede ocurrir una reacción de JarischHerxheimer, parecida a la que se observa en otras enfermedades por espiroquetas.
  • 9.
    Manifestaciones Clinicas  Muchaspersonas permanecen asintomáticas. Entre un 15 y 40% de las personas expuestas y que no padecen la enfermedad, muestran pruebas serológicas de una infección previa asintomática.  En general, el período de incubación dura de una a dos semanas, pero oscila entre 2 y 20 días. En los casos típicos, la fase de leptospiremia aguda va seguida de una fase de leptospiruria inmunitaria.
  • 10.
    En los casossintomáticos, las manifestaciones clínicas de la leptospirosis varían desde leves hasta graves o incluso letales.  Más de 90% de los enfermos con síntomas sufren la variante leve y por lo general anictérica de la leptospirosis, con o sin meningitis asociada.  La leptospirosis grave con ictericia profunda (síndrome de Weil) aparece en un 5 a 10% de las personas infectadas.
  • 12.
    Leptospirosis anictérica  La leptospirosispuede presentarse como un proceso seudogripal agudo con fiebre, escalofríos, cefalalgia intensa, náusea, vómito y mialgias. Otras manifestaciones menos frecuentes son el dolor de garganta y la erupción cutánea.  El dato más común en la exploración física es la fiebre, junto a la conjuntivitis. Signos menos frecuentes comprenden el dolor muscular a la palpación, linfadenopatías, hiperemia faríngea, erupción cutánea, hepatoesplenomegalia e ictericia leve.  No es rara la afección pulmonar, que suele manifestarse por tos y dolor precordial y, en algunos casos, por hemoptisis.
  • 13.
     Los síntomasremiten en la mayoría de los enfermos en una semana. El comienzo de la fase (inmunitaria) coincide con la aparición de los anticuerpos.  En general, los Sx duran sólo unos días pero a veces persisten durante semanas. La fiebre es menos acusada y las mialgias menos intensas.  En el período inmunitario aparece una complicación importante, la meningitis aséptica. Los Sg y Sx de meningitis se observan en el 15% de los enfermos, aunque muchos presentan pleocitosis del LCR.
  • 14.
     La iritis, uveitis,complicaciones tardías que se prolongan en ocasiones durante años, pueden ocurrir ya en la tercera semana aunque casi siempre se manifiestan varios meses después del proceso inicial.  La mortalidad es prácticamente inexistente en la leptospirosis anictérica.
  • 15.
    Leptospirosis grave (Sdde Weil)  Es la forma más grave de leptospirosis, caracterizada por ictericia, disfunción renal, diátesis hemorrágica y una mortalidad de 5 a 15%.  La enfermedad comienza del mismo modo que la leptospirosis leve, pero a los 4 a 9 días suele aparecer ictericia, alteraciones de la función renal y vascular.  Después de la 1a semana disminuyen ligeramente los sx, pero no se aprecia el patrón bifásico de la leptospirosis anictérica. La ictericia del síndrome de Weil, que puede ser intensa con un aspecto anaranjado de la piel, no suele acompañarse de necrosis hepática grave. La esplenomegalia aparece en 20% de los casos.
  • 16.
     La IRenal aparece casi siempre en la 2a semana. La necrosis tubular aguda, con oliguria o anuria, contribuye a la hipovolemia y al descenso de la perfusión renal. A veces se requiere diálisis, pero se puede evitar esta intervención.  La lesión pulmonar es frecuente y concurre con tos, disnea, dolor de pecho y expectoración teñida de sangre o incluso hemoptisis e I. respiratoria.  El síndrome de Weil conlleva Mx hemorrágicas como epistaxis, petequias, púrpura y equimosis, también se han descrito rabdomiólisis, hemólisis, miocarditis, pericarditis, ICC, Shock cardiógeno, síndrome apneico del adulto y fallo multiorgánico.
  • 17.
    Datos analíticos y radiológicos Pueden observarse desde alteraciones del sedimento urinario y proteinuria leve en la Leptospirosis anictérica, hasta Insuficiencia renal y azoemia en Sd de weil.  VES elevada, leucocitos entre 3 000 y 26 000/ mm3 en la L. anictérica, la leucocitosis es bastante llamativa en el Sd de Weil y hasta 50% presentan trombocitopenia leve.  A diferencia de la hepatitis viral, en la leptospirosis es característica el aumento de      la bilirrubina fosfatasa alcalina, aminotransferasas, TP y la actividad de la cinasa de creatinina (esta ultima aumenta hasta en 50% en leptospirosis durante la primera semana, ayuda a diferenciar esta infección de la hepatitis vírica).
  • 18.
     Rx meningea,predominan al principio los leucocitos PMN y, más tarde, MN. La proteínas en el LCR se eleva, pero la concentración de glucosa es normal.  El dato radiológico más común consiste en un patrón alveolar segmentario, que corresponde a la hemorragia alveolar dispersa.  En general, las anomalías radiológicas afectan a las zonas periféricas de los lóbulos inferiores de los campos pulmonares. Radiografía de tórax 12 horas después que muestra progresión de los infiltrados alveolares bilaterales predominantemente en campos medios e inferiores.
  • 19.
     Radiografía detórax al ingreso que muestra un infiltrado alveolointersticial bilateral
  • 20.
     Radiografía de tórax12 horas después que muestra progresión de los infiltrados alveolares bilaterales predominantemente en campos medios e inferiores.
  • 21.
    Diagnóstico  El Dxprobado de leptospirosis se basa en la identificación del microorganismo en cultivo o el incremento de anticuerpos. Los anticuerpos por lo común no alcanzan niveles detectables hasta la segunda semana de la enfermedad.  Las leptospiras se pueden aislar en la sangre, en el LCR, o en ambos, en los primeros 10 días de la enfermedad, y en la orina durante varias semanas a partir de la primera. Los cultivos con mayor frecuencia se hacen positivos al cabo de dos a cuatro semanas.
  • 22.
    Diagnóstico diferencial  Laleptospirosis se debe distinguir de otras enfermedades febriles que conllevan cefalalgia y mialgias, como el paludismo, la fiebre entérica, la hepatitis vírica, el dengue, las infecciones por Hantavirus y las enfermedades causadas por rickettsias.  Dada la gran similitud de la leptospirosis y las enfermedades por Hantavirus, se recomienda efectuar pruebas serológicas para detectar Hantavirus siempre que se sospeche leptospirosis.  Ante un enfermo con un cuadro seudogripal aunado a mialgias desproporcionadas e intensas o con meningitis aséptica, se debe considerar el diagnóstico de leptospirosis.
  • 23.
    Tratamiento  Existe controversiasobre la eficacia del tratamiento antimicrobiano en la leptospirosis leve y febril; no obstante, el tratamiento está indicado en las formas más graves. Ha de iniciarse lo antes posible.  El tratamiento no varia de acuerdo al serotipo.  En casos raros puede ocurrir una reacción de Jarisch-Herxheimer a las pocas horas de iniciado el tratamiento antimicrobiano.
  • 25.
    Pronostico  La mayoríade los enfermos con leptospirosis se recupera. La mortalidad es mayor entre los enfermos ancianos o con síndrome de Weil. La leptospirosis contraída durante el embarazo se vincula con alta mortalidad fetal.  El seguimiento prolongado de los enfermos con insuficiencia renal y alteraciones de la función hepática revela una buena recuperación de ambos órganos.