QUEMADURAS Y CUERPOS
EXTRAÑOS
Quemaduras
 Mecanismos de Lesión
 Tipo de sustancia
 Cantidad ingerida y concentración
 Tiempo de contacto con la mucosa
 Sustancias
 Alcalis.- Necrosis por licuefacción
 Acidos.- Necrosis coagulativa
 La ingesta puede causar.-
 Perforación
 Fibrosis
 Estenosis
Cada año se presentan entre 5,000 y 18,000
casos al año
Grupos de Edad Afectados
Grupo 1. niños de 5 años Grupo 2. 20-30 años de edad
Por ingesta accidental •Intento suicida
•En la mitad de los casos los
pacientes cuentan con
antecedentes psiquiatricos
•61% Pac. Femeninos
Productos domésticos con
componentes cáusticos
Alcalis Detergentes
 Liquido de plomería
 Tabletas de Clinitest
 Drano cristalino
 Drano liquido
 Liquido lavaplatos
 Detergente de lavadora
 Mr. Clean Liquido
 Top Job Liquido
 Limpiador Sanitario
Ácidos Blanqueadores
 Acído sulfurico (Mr.
Plumber)
 Limpiadores sanitarios
(Bisulfato de sodio)
 Limpiadores de metales
(Ac. Hidrofluorico)
 Limpiador Lysol ( Ac.
Hidroclorico)
 Peroxidos
 Limpiadores de azulejo
(Hipoclorito/ hidroxido de
sodio)
 Cloro liquido (Hipoclorito
de sodio 5.25%)
Lesión por álcalis
 Acción del solvente sobre el revestimiento
lipoproteico
 Necrosis por licuefacción con inflamación
intensa y saponificación de las capas mucosa,
submucosa y muscular
 Trombosis de vasos vecinos, colonización
bacteriana e intensa actividad fibroblastica
 Regurgitación violenta a nivel esofágico
Lesión por ácidos
 Necrosis por coagulación
 Formación de escara (retarda y limita la
penetración
 Medio alcalino y transito rápido limita la
lesión
 Puede provocar lesión a nivel del estomago
 Ayuno.- Lesión de la curvatura menor hasta el
antro
 No ayuno.- Lesiones difusas
 Espasmo pilórico
Manifestaciones Clínicas
 Curso clínico de la ingestión no complicada
tiene tres fases.-
Fase Aguda Dolor ardoroso en cavidad oral
Dolor torácico Retroesternal
Disfagia
Fase Latente Los síntomas son de intensidad
mínima
Fase de retracción cicatricial Comienza al termino
de la 2 semana tras la ingestión y se prolonga por
meses
 Exploración física de la boca.-
 Ulceras o membranas blancas en paladar, úvula o
faringe
 Quemaduras Orales
1. Álcalis.- Color amarillo o café
2. Ácidos.- Áreas necróticas color gris blanco
 La necrosis esofágica puede ser de tal
severidad que puede presentar
complicaciones.-
 Perforación de Esófago o estómago
 Mediastinitis
 Peritonitis
 Hemorragia
 Muerte
 Perforación esofágica o gástrica.-
 Ocurre durante las primeras dos semanas de
evolución
 Cambios como.-
 Empeoramiento del dolor torácico
 Signos francos de perforación
 Presencia de complicaciones en fase aguda
 La mayoría de las muertes ocurren en
enfermos con mediastinitis o peritonitis de
quemaduras de tercer grado
Lesiones de Tubo digestivo
Proximal
 1er Grado.- Hiperemia y edematosa puede haber
esfacelamiento superficial
 2do Grado.- Destrucción de las capas mucosa y
submucosa con penetración a la capa muscular,
exudados, erosiones y úlceras superficiales
 3er Grado.- Hay daño transmural con posible
extensión a pleura y mediatino
Evaluación diagnostica
Endoscopia.- establece la gravedad del daño agudo, la necesidad de hospitalización,
tx. antibiótico y predice las posibles complicaciones
Evaluación Inicial Fase temprana o Aguda
•EstablecerTipo y concentración del
compuesto ingerido
•Tiempo de evolución a partir del
evento agudo
•Determinar características del
compuesto
•Una vez estabilizado el paciente se
deben realizar
•Rx simple deTórax
•Rx simple de Abdomen
Finalidad de descartar
perforación
•RealizarTAC con medio hidrosoluble
V.O. para detectar perforaciones
Tratamiento
Fase Aguda FaseTardía o crónica
•Tx. Inicial.-Asegurarse de la
permeabilidad de la vía aérea y
estabilidad hemodinamica del paciente
•Mantener ayuno hasta normar la
conducta apartir de los hallazgos
radiologicos y endoscopicos
•Vigilancia de manera ambulatoria
•Ante la presencia de disfagia sasiedad
temprana y perdida de peso se debe
realizar estudio baritado
•En el caso de presentar estenosis se
debe realizar dilataciones
endoscopicas
Cuerpos Extraños
 Factores que favorecen la ingestión o
aspiración.-
 Edad.
 Estado mental del paciente:
 Psiquiátricos
 Retraso mental.
 Uso de prótesis dental.
 Intoxicación alcohólica.
 Convulsiones epilépticas y otros estados de
inconsciencia.
 Sueño profundo
 Preparación incorrecta de alimentos.
 Comer y beber de prisa.
 Hablar con la boca llena de alimentos.
 Permitir que los niños jueguen mientras ingieren
alimentos.
 Suministrar alimentos que requieren de masticación a
niños carentes de molares.
 No vigilar adecuadamente a los niños pequeños que
juegan cerca de los lactantes.
CUERPO EXTRAÑO EN
LARINGE
PEQUEÑO VOLUMINOSO
MANIOBRA DE
HEIMLICH
VÍA AÉREA PERMEABLE
VÍA AÉREA
COMPROMETIDDA
REMISIÓN
A.S.S
RESTABLECER VÍA
AÉREA
EXÁMEN DE LA LARINGE
- Tos Cruposa.
- Disnea. - Apnea
- Sibilancias.
- Ronquera o afonía.
CUERPOS EXTRAÑOS EN
OROFARINGE E HIPOFARINGE
Amígdalas Palatinas.
Base de Lengua.
Amígdala Lingual.
Valléculas.
Senos Piriformes.
-Sensación de hincada o
de cuerpo extraño que el
paciente señala con el
dedo.
-Tos.
-Náuseas.
-Vómitos.
-Si C/E Voluminoso:
-Salivación excesiva.
-Dificultad respiratoria
OROFARINGOSCOPÍA
LARINGOSCOPÍA
INDIRECTA
EXTRACCIÓN DEL CUERPO
EXTRAÑO
Localización
• Inmediatamente por debajo del músculo
cricofaringeo.
• Encima de la unión gastroesofágica.
• En los relieves que establecen el cayado de
la aorta y el bronquio principal izquierdo.
Síntomas
 Disfagia y dolor supraesternal
- Si el objeto es voluminoso puede producir
excesiva y dificultad respiratoria.
 Dolor retroesternal con irradiación a la
espalda (localización en tercio medio del
esófago.
 Regurgitación( localización tercio inerior)
Diagnostico
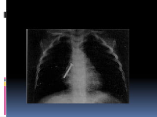
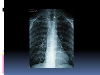
 Estudios Radiológicos.-
 Rx. Simple de Esófago Cervical vista Lateral.
 Fluoroscopía de Esófago con mota de algodón
 Embebida en bario.
 Rx. DeTórax AP. y Oblicuo.
 Exploración Endoscópica.
Quemaduras y cuerpos extraños
Quemaduras y cuerpos extraños
Quemaduras y cuerpos extraños
Quemaduras y cuerpos extraños
Quemaduras y cuerpos extraños
Quemaduras y cuerpos extraños
Quemaduras y cuerpos extraños

Quemaduras y cuerpos extraños

  • 1.
  • 2.
    Quemaduras  Mecanismos deLesión  Tipo de sustancia  Cantidad ingerida y concentración  Tiempo de contacto con la mucosa  Sustancias  Alcalis.- Necrosis por licuefacción  Acidos.- Necrosis coagulativa
  • 3.
     La ingestapuede causar.-  Perforación  Fibrosis  Estenosis Cada año se presentan entre 5,000 y 18,000 casos al año
  • 4.
    Grupos de EdadAfectados Grupo 1. niños de 5 años Grupo 2. 20-30 años de edad Por ingesta accidental •Intento suicida •En la mitad de los casos los pacientes cuentan con antecedentes psiquiatricos •61% Pac. Femeninos
  • 5.
    Productos domésticos con componentescáusticos Alcalis Detergentes  Liquido de plomería  Tabletas de Clinitest  Drano cristalino  Drano liquido  Liquido lavaplatos  Detergente de lavadora  Mr. Clean Liquido  Top Job Liquido  Limpiador Sanitario
  • 6.
    Ácidos Blanqueadores  Acídosulfurico (Mr. Plumber)  Limpiadores sanitarios (Bisulfato de sodio)  Limpiadores de metales (Ac. Hidrofluorico)  Limpiador Lysol ( Ac. Hidroclorico)  Peroxidos  Limpiadores de azulejo (Hipoclorito/ hidroxido de sodio)  Cloro liquido (Hipoclorito de sodio 5.25%)
  • 7.
    Lesión por álcalis Acción del solvente sobre el revestimiento lipoproteico  Necrosis por licuefacción con inflamación intensa y saponificación de las capas mucosa, submucosa y muscular
  • 8.
     Trombosis devasos vecinos, colonización bacteriana e intensa actividad fibroblastica  Regurgitación violenta a nivel esofágico
  • 9.
    Lesión por ácidos Necrosis por coagulación  Formación de escara (retarda y limita la penetración  Medio alcalino y transito rápido limita la lesión  Puede provocar lesión a nivel del estomago
  • 10.
     Ayuno.- Lesiónde la curvatura menor hasta el antro  No ayuno.- Lesiones difusas  Espasmo pilórico
  • 11.
    Manifestaciones Clínicas  Cursoclínico de la ingestión no complicada tiene tres fases.- Fase Aguda Dolor ardoroso en cavidad oral Dolor torácico Retroesternal Disfagia
  • 12.
    Fase Latente Lossíntomas son de intensidad mínima Fase de retracción cicatricial Comienza al termino de la 2 semana tras la ingestión y se prolonga por meses
  • 13.
     Exploración físicade la boca.-  Ulceras o membranas blancas en paladar, úvula o faringe  Quemaduras Orales 1. Álcalis.- Color amarillo o café 2. Ácidos.- Áreas necróticas color gris blanco
  • 14.
     La necrosisesofágica puede ser de tal severidad que puede presentar complicaciones.-  Perforación de Esófago o estómago  Mediastinitis  Peritonitis  Hemorragia  Muerte
  • 15.
     Perforación esofágicao gástrica.-  Ocurre durante las primeras dos semanas de evolución  Cambios como.-  Empeoramiento del dolor torácico  Signos francos de perforación  Presencia de complicaciones en fase aguda
  • 16.
     La mayoríade las muertes ocurren en enfermos con mediastinitis o peritonitis de quemaduras de tercer grado
  • 17.
    Lesiones de Tubodigestivo Proximal  1er Grado.- Hiperemia y edematosa puede haber esfacelamiento superficial  2do Grado.- Destrucción de las capas mucosa y submucosa con penetración a la capa muscular, exudados, erosiones y úlceras superficiales  3er Grado.- Hay daño transmural con posible extensión a pleura y mediatino
  • 19.
    Evaluación diagnostica Endoscopia.- establecela gravedad del daño agudo, la necesidad de hospitalización, tx. antibiótico y predice las posibles complicaciones Evaluación Inicial Fase temprana o Aguda •EstablecerTipo y concentración del compuesto ingerido •Tiempo de evolución a partir del evento agudo •Determinar características del compuesto •Una vez estabilizado el paciente se deben realizar •Rx simple deTórax •Rx simple de Abdomen Finalidad de descartar perforación •RealizarTAC con medio hidrosoluble V.O. para detectar perforaciones
  • 20.
    Tratamiento Fase Aguda FaseTardíao crónica •Tx. Inicial.-Asegurarse de la permeabilidad de la vía aérea y estabilidad hemodinamica del paciente •Mantener ayuno hasta normar la conducta apartir de los hallazgos radiologicos y endoscopicos •Vigilancia de manera ambulatoria •Ante la presencia de disfagia sasiedad temprana y perdida de peso se debe realizar estudio baritado •En el caso de presentar estenosis se debe realizar dilataciones endoscopicas
  • 21.
    Cuerpos Extraños  Factoresque favorecen la ingestión o aspiración.-  Edad.  Estado mental del paciente:  Psiquiátricos  Retraso mental.  Uso de prótesis dental.  Intoxicación alcohólica.  Convulsiones epilépticas y otros estados de inconsciencia.
  • 22.
     Sueño profundo Preparación incorrecta de alimentos.  Comer y beber de prisa.  Hablar con la boca llena de alimentos.  Permitir que los niños jueguen mientras ingieren alimentos.  Suministrar alimentos que requieren de masticación a niños carentes de molares.  No vigilar adecuadamente a los niños pequeños que juegan cerca de los lactantes.
  • 23.
    CUERPO EXTRAÑO EN LARINGE PEQUEÑOVOLUMINOSO MANIOBRA DE HEIMLICH VÍA AÉREA PERMEABLE VÍA AÉREA COMPROMETIDDA REMISIÓN A.S.S RESTABLECER VÍA AÉREA EXÁMEN DE LA LARINGE - Tos Cruposa. - Disnea. - Apnea - Sibilancias. - Ronquera o afonía.
  • 24.
    CUERPOS EXTRAÑOS EN OROFARINGEE HIPOFARINGE Amígdalas Palatinas. Base de Lengua. Amígdala Lingual. Valléculas. Senos Piriformes. -Sensación de hincada o de cuerpo extraño que el paciente señala con el dedo. -Tos. -Náuseas. -Vómitos. -Si C/E Voluminoso: -Salivación excesiva. -Dificultad respiratoria OROFARINGOSCOPÍA LARINGOSCOPÍA INDIRECTA EXTRACCIÓN DEL CUERPO EXTRAÑO
  • 25.
    Localización • Inmediatamente pordebajo del músculo cricofaringeo. • Encima de la unión gastroesofágica. • En los relieves que establecen el cayado de la aorta y el bronquio principal izquierdo.
  • 26.
    Síntomas  Disfagia ydolor supraesternal - Si el objeto es voluminoso puede producir excesiva y dificultad respiratoria.  Dolor retroesternal con irradiación a la espalda (localización en tercio medio del esófago.  Regurgitación( localización tercio inerior)
  • 27.
    Diagnostico  Estudios Radiológicos.- Rx. Simple de Esófago Cervical vista Lateral.  Fluoroscopía de Esófago con mota de algodón  Embebida en bario.  Rx. DeTórax AP. y Oblicuo.  Exploración Endoscópica.