Interpretación de radiología
de Tórax
Stephanie Patrizia Barbeito Pagliuca
MIR 1
Interpretación de radiología de tórax
“Todo médico debe tener un conocimiento básico de la anatomía y de la
patología visible en las radiografias”
Felson.
Felson, Principios de radiología torácica. Sociedad Española de Radiología
Médica - SERAM. Advanced Trauma Life Support ATLS, Colegio Americano
de Cirujanos.
Interpretación radiología de tórax
Densidades:
• Aire/ Gas Negro
• Grasa Gris oscuro
• Tejidos blandos/ órganos Gris claro
• Metal/hueso Blanco
Felson, Principios de radiología torácica. Sociedad Española de Radiología
Médica - SERAM. Advanced Trauma Life Support ATLS, Colegio Americano
de Cirujanos.
Interpretación de radiología de tórax
¿Qué debemos evaluar?
• Proyecciones:
 Postero-anterior
 Antero-posterior
 Lateral derecha o izquierda
 Lordótica
 Oblicua
 Decúbito lateral
• Características:
1. Inspiración
2. Rotación
3. Penetración
Felson, Principios de radiología torácica. Sociedad Española de Radiología
Médica - SERAM. Advanced Trauma Life Support ATLS, Colegio Americano
de Cirujanos.
Interpretación de radiologia de tórax
“La radiografia normal de tórax se hace siempre en inspiración”
Felson, Principios de radiología torácica. Sociedad Española de
Radiología Médica - SERAM. Advanced Trauma Life Support
ATLS, Colegio Americano de Cirujanos.
Interpretación de radiología de tórax
¿Cómo saber si es una proyección PA o AP?
PA
Ventajas:
 Menor magnificación de las estructuras
 Mayor nitidez de las imágenes
 Mayor inspiración Se ve mejor el pulmón y la pleura
Características:
 Clavículas oblicuas
 Omoplatos fuera de campos pulmonares
AP
Desventajas:
 Mayor magnificación de estructuras
 Menor nitidez de las imágenes
Indicaciones:
 Pacientes graves que no toleran bipedestación
 Lactantes
Características:
 Clavículas horizontales
 Omóplatos en superposición con el campo pleuropulmonarFelson, Principios de radiología torácica. Sociedad Española de Radiología
Médica - SERAM. Advanced Trauma Life Support ATLS, Colegio Americano
de Cirujanos.
Interpretación radiología de tórax
Proyecciónes laterales: Bipedestación Vs Decúbito
Lateral izquierda bipedestación
Visualizar “zonas ciegas”
Espacio retroesternal
Espacio retrocardiaco
Seno costo-frénico posterior
Columna vertebral
Bronquios
Aorta
Decúbito lateral
Útil para:
 Visualizar derrames pleurales (líquido
desciende)
 Aire intrapleural (aire asciende)
Felson, Principios de radiología torácica. Sociedad Española de Radiología
Médica - SERAM. Advanced Trauma Life Support ATLS, Colegio Americano
de Cirujanos.
Interpretación radiología de tórax
Proyecciónes laterales: Bipedestación
Felson, Principios de radiología torácica. Sociedad Española de Radiología
Médica - SERAM. Advanced Trauma Life Support ATLS, Colegio Americano
de Cirujanos.
Interpretación de radiología de tórax
Proyecciones complementarias
• Lordótica:
Visualizar ápices pulmonares
Lóbulo medio e inferior
• Oblicua:
Superposición de estructuras
Felson, Principios de radiología torácica. Sociedad Española de Radiología
Médica - SERAM. Advanced Trauma Life Support ATLS, Colegio Americano
de Cirujanos.
Interpretación de radiología de tórax
Características de una correcta Rx:
1. Penetración:
Adecuada
Ver las primeras 4 vertebras torácicas
Ver la tráquea hasta antes de la bifurcación
Excesiva
 Ver número excesivo de cuerpos
vertebrales
 Ver la bifurcación traqueal
Felson, Principios de radiología torácica. Sociedad Española de Radiología
Médica - SERAM. Advanced Trauma Life Support ATLS, Colegio Americano
de Cirujanos.
2. Rotación
Adecuada: Se debe formar un ángulo recto entre las clavículas y las apófisis espinosas de las
vertebras dorsales.
Interpretación de radiología de tórax
Características de una correcta Rx:
Felson, Principios de radiología torácica. Sociedad Española de Radiología
Médica - SERAM. Advanced Trauma Life Support ATLS, Colegio Americano
de Cirujanos.
3. Inspiración
Adecuada:
• Deben visualizarse hasta los arcos
costales anteriores 6-7
• Deben visualizarse hasta los arcos
costales posteriores 9-12
Interpretación de radiología de tórax
Características de una correcta Rx:
Felson, Principios de radiología torácica. Sociedad Española de Radiología
Médica - SERAM. Advanced Trauma Life Support ATLS, Colegio Americano
de Cirujanos.
Interpretación de radiología de tórax
Estructuras radiológicas:
Marco óseo:
Clavículas
Arcos costales
Esternón
Columna vertebral
Escápulas
Calcificaciones
Felson, Principios de radiología torácica. Sociedad Española de Radiología
Médica - SERAM. Advanced Trauma Life Support ATLS, Colegio Americano
de Cirujanos.
Partes blandas
Grasa
Aire Enfisema
Cuerpos extraños
Mamas
Interpretación de radiología de tórax
Estructuras radiológicas:
Felson, Principios de radiología torácica. Sociedad Española de Radiología
Médica - SERAM. Advanced Trauma Life Support ATLS, Colegio Americano
de Cirujanos.
Diafragma
• Altura: hemidiafragma derecho es más
alto que el izquierdo
• Identificar posibles lobulaciones del
diafragma
• Signos de perforación (Signo de
Chilaiditi)
Interpretación de radiología de tórax
Estructuras radiológicas:
Felson, Principios de radiología torácica. Sociedad Española de Radiología
Médica - SERAM. Advanced Trauma Life Support ATLS, Colegio Americano
de Cirujanos.
Hilios pulmonares y trama vascular
• Hilio pulmonar izquierdo está a mayor altura
• No debe medir más de 2cm longitudinal
• Evaluar signos de HTP
• Calcificaciones vasculares
Interpretación de radiología de tórax
Estructuras radiológicas:
Felson, Principios de radiología torácica. Sociedad Española de Radiología
Médica - SERAM. Advanced Trauma Life Support ATLS, Colegio Americano
de Cirujanos.
Mediastino-
Evaluar posibles ensanchamiento dado por:
Masas más Fr: (4 T)
1) Timoma
2) Tiroides
3) Teratoma
4) Terrible linfoma
Hernias diafragmáticas (Bochdalek o Morgagni)
Hernias hiatales
Lesiones: Ruptura diafragmática
Interpretación de radiología de tórax
Estructuras radiológicas:
Felson, Principios de radiología torácica. Sociedad Española de Radiología
Médica - SERAM. Advanced Trauma Life Support ATLS, Colegio Americano
de Cirujanos.
Corazón y grandes vasos
Evaluar tamaño de la silueta cardíaca (Indice cardio-torácico)
Interpretación de radiología de tórax
Estructuras radiológicas:
Felson, Principios de radiología torácica. Sociedad Española de Radiología
Médica - SERAM. Advanced Trauma Life Support ATLS, Colegio Americano
de Cirujanos.
Corazón y grandes vasos
Interpretación de radiología de tórax
Estructuras radiológicas:
Felson, Principios de radiología torácica. Sociedad Española de Radiología
Médica - SERAM. Advanced Trauma Life Support ATLS, Colegio Americano
de Cirujanos.
Aneurisma
de aorta
Posible disección
aórtica
Espacio pleural
• Líquido (sangre, pus, líquido inflamatorio)
Derrame pleural, hemotórax, quilotórax, empiema.
• Aire Neumotórax
Interpretación de radiología de tórax
Estructuras radiológicas:
Felson, Principios de radiología torácica. Sociedad Española de Radiología
Médica - SERAM. Advanced Trauma Life Support ATLS, Colegio Americano
de Cirujanos.
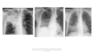
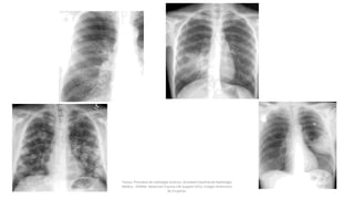
Parénquima pulmonar
 Aumentos de densidad:
• Patrón alveolar
• Patrón intersticial
• Masas y nódulos:
o Nódulos: Lesión menor de 3
cm
o Masa: Lesión mayor de 3 cm
Interpretación de radiología de tórax
Estructuras radiológicas:
Felson, Principios de radiología torácica. Sociedad Española de Radiología
Médica - SERAM. Advanced Trauma Life Support ATLS, Colegio Americano
de Cirujanos.
Felson, Principios de radiología torácica. Sociedad Española de Radiología
Médica - SERAM. Advanced Trauma Life Support ATLS, Colegio Americano
de Cirujanos.
Interpretación de radiología
de tórax
Estructuras radiológicas:
Parénquima pulmonar
Felson, Principios de radiología torácica. Sociedad Española de Radiología
Médica - SERAM. Advanced Trauma Life Support ATLS, Colegio Americano
de Cirujanos.
Felson, Principios de radiología torácica. Sociedad Española de Radiología
Médica - SERAM. Advanced Trauma Life Support ATLS, Colegio Americano
de Cirujanos.
Parénquima pulmonar
Pérdida de volúmen Atelectasias
Interpretación de radiología de tórax
Estructuras radiológicas:
Felson, Principios de radiología torácica. Sociedad Española de Radiología
Médica - SERAM. Advanced Trauma Life Support ATLS, Colegio Americano
de Cirujanos.
Parénquima pulmonar
Interpretación de radiología de tórax
Estructuras radiológicas:
Felson, Principios de radiología torácica. Sociedad Española de Radiología
Médica - SERAM. Advanced Trauma Life Support ATLS, Colegio Americano
de Cirujanos.
• Vía aérea, tráquea, bronquios
• Campos pulmonares, DP
•
• Mediastino, vasos, corazón
• Diafragmas, senos CF y CD
• Extras: cuerpos extraños, hueso
Interpretación de radiología de tórax
Evaluación radiología de urgencias.
Felson, Principios de radiología torácica. Sociedad Española de Radiología
Médica - SERAM. Advanced Trauma Life Support ATLS, Colegio Americano
de Cirujanos.
NO OLVIDAR: Siempre que se pueda, mirar
radiografias PREVIAS.
Felson, Principios de radiología torácica. Sociedad Española de Radiología
Médica - SERAM. Advanced Trauma Life Support ATLS, Colegio Americano
de Cirujanos.
Muchas gracias por su atención!!

Sesion radiologia de torax help

  • 1.
    Interpretación de radiología deTórax Stephanie Patrizia Barbeito Pagliuca MIR 1
  • 2.
    Interpretación de radiologíade tórax “Todo médico debe tener un conocimiento básico de la anatomía y de la patología visible en las radiografias” Felson. Felson, Principios de radiología torácica. Sociedad Española de Radiología Médica - SERAM. Advanced Trauma Life Support ATLS, Colegio Americano de Cirujanos.
  • 3.
    Interpretación radiología detórax Densidades: • Aire/ Gas Negro • Grasa Gris oscuro • Tejidos blandos/ órganos Gris claro • Metal/hueso Blanco Felson, Principios de radiología torácica. Sociedad Española de Radiología Médica - SERAM. Advanced Trauma Life Support ATLS, Colegio Americano de Cirujanos.
  • 4.
    Interpretación de radiologíade tórax ¿Qué debemos evaluar? • Proyecciones:  Postero-anterior  Antero-posterior  Lateral derecha o izquierda  Lordótica  Oblicua  Decúbito lateral • Características: 1. Inspiración 2. Rotación 3. Penetración Felson, Principios de radiología torácica. Sociedad Española de Radiología Médica - SERAM. Advanced Trauma Life Support ATLS, Colegio Americano de Cirujanos.
  • 5.
    Interpretación de radiologiade tórax “La radiografia normal de tórax se hace siempre en inspiración” Felson, Principios de radiología torácica. Sociedad Española de Radiología Médica - SERAM. Advanced Trauma Life Support ATLS, Colegio Americano de Cirujanos.
  • 6.
    Interpretación de radiologíade tórax ¿Cómo saber si es una proyección PA o AP? PA Ventajas:  Menor magnificación de las estructuras  Mayor nitidez de las imágenes  Mayor inspiración Se ve mejor el pulmón y la pleura Características:  Clavículas oblicuas  Omoplatos fuera de campos pulmonares AP Desventajas:  Mayor magnificación de estructuras  Menor nitidez de las imágenes Indicaciones:  Pacientes graves que no toleran bipedestación  Lactantes Características:  Clavículas horizontales  Omóplatos en superposición con el campo pleuropulmonarFelson, Principios de radiología torácica. Sociedad Española de Radiología Médica - SERAM. Advanced Trauma Life Support ATLS, Colegio Americano de Cirujanos.
  • 7.
    Interpretación radiología detórax Proyecciónes laterales: Bipedestación Vs Decúbito Lateral izquierda bipedestación Visualizar “zonas ciegas” Espacio retroesternal Espacio retrocardiaco Seno costo-frénico posterior Columna vertebral Bronquios Aorta Decúbito lateral Útil para:  Visualizar derrames pleurales (líquido desciende)  Aire intrapleural (aire asciende) Felson, Principios de radiología torácica. Sociedad Española de Radiología Médica - SERAM. Advanced Trauma Life Support ATLS, Colegio Americano de Cirujanos.
  • 8.
    Interpretación radiología detórax Proyecciónes laterales: Bipedestación Felson, Principios de radiología torácica. Sociedad Española de Radiología Médica - SERAM. Advanced Trauma Life Support ATLS, Colegio Americano de Cirujanos.
  • 9.
    Interpretación de radiologíade tórax Proyecciones complementarias • Lordótica: Visualizar ápices pulmonares Lóbulo medio e inferior • Oblicua: Superposición de estructuras Felson, Principios de radiología torácica. Sociedad Española de Radiología Médica - SERAM. Advanced Trauma Life Support ATLS, Colegio Americano de Cirujanos.
  • 10.
    Interpretación de radiologíade tórax Características de una correcta Rx: 1. Penetración: Adecuada Ver las primeras 4 vertebras torácicas Ver la tráquea hasta antes de la bifurcación Excesiva  Ver número excesivo de cuerpos vertebrales  Ver la bifurcación traqueal Felson, Principios de radiología torácica. Sociedad Española de Radiología Médica - SERAM. Advanced Trauma Life Support ATLS, Colegio Americano de Cirujanos.
  • 11.
    2. Rotación Adecuada: Sedebe formar un ángulo recto entre las clavículas y las apófisis espinosas de las vertebras dorsales. Interpretación de radiología de tórax Características de una correcta Rx: Felson, Principios de radiología torácica. Sociedad Española de Radiología Médica - SERAM. Advanced Trauma Life Support ATLS, Colegio Americano de Cirujanos.
  • 12.
    3. Inspiración Adecuada: • Debenvisualizarse hasta los arcos costales anteriores 6-7 • Deben visualizarse hasta los arcos costales posteriores 9-12 Interpretación de radiología de tórax Características de una correcta Rx: Felson, Principios de radiología torácica. Sociedad Española de Radiología Médica - SERAM. Advanced Trauma Life Support ATLS, Colegio Americano de Cirujanos.
  • 13.
    Interpretación de radiologíade tórax Estructuras radiológicas: Marco óseo: Clavículas Arcos costales Esternón Columna vertebral Escápulas Calcificaciones Felson, Principios de radiología torácica. Sociedad Española de Radiología Médica - SERAM. Advanced Trauma Life Support ATLS, Colegio Americano de Cirujanos.
  • 14.
    Partes blandas Grasa Aire Enfisema Cuerposextraños Mamas Interpretación de radiología de tórax Estructuras radiológicas: Felson, Principios de radiología torácica. Sociedad Española de Radiología Médica - SERAM. Advanced Trauma Life Support ATLS, Colegio Americano de Cirujanos.
  • 15.
    Diafragma • Altura: hemidiafragmaderecho es más alto que el izquierdo • Identificar posibles lobulaciones del diafragma • Signos de perforación (Signo de Chilaiditi) Interpretación de radiología de tórax Estructuras radiológicas: Felson, Principios de radiología torácica. Sociedad Española de Radiología Médica - SERAM. Advanced Trauma Life Support ATLS, Colegio Americano de Cirujanos.
  • 16.
    Hilios pulmonares ytrama vascular • Hilio pulmonar izquierdo está a mayor altura • No debe medir más de 2cm longitudinal • Evaluar signos de HTP • Calcificaciones vasculares Interpretación de radiología de tórax Estructuras radiológicas: Felson, Principios de radiología torácica. Sociedad Española de Radiología Médica - SERAM. Advanced Trauma Life Support ATLS, Colegio Americano de Cirujanos.
  • 17.
    Mediastino- Evaluar posibles ensanchamientodado por: Masas más Fr: (4 T) 1) Timoma 2) Tiroides 3) Teratoma 4) Terrible linfoma Hernias diafragmáticas (Bochdalek o Morgagni) Hernias hiatales Lesiones: Ruptura diafragmática Interpretación de radiología de tórax Estructuras radiológicas: Felson, Principios de radiología torácica. Sociedad Española de Radiología Médica - SERAM. Advanced Trauma Life Support ATLS, Colegio Americano de Cirujanos.
  • 18.
    Corazón y grandesvasos Evaluar tamaño de la silueta cardíaca (Indice cardio-torácico) Interpretación de radiología de tórax Estructuras radiológicas: Felson, Principios de radiología torácica. Sociedad Española de Radiología Médica - SERAM. Advanced Trauma Life Support ATLS, Colegio Americano de Cirujanos.
  • 19.
    Corazón y grandesvasos Interpretación de radiología de tórax Estructuras radiológicas: Felson, Principios de radiología torácica. Sociedad Española de Radiología Médica - SERAM. Advanced Trauma Life Support ATLS, Colegio Americano de Cirujanos. Aneurisma de aorta Posible disección aórtica
  • 20.
    Espacio pleural • Líquido(sangre, pus, líquido inflamatorio) Derrame pleural, hemotórax, quilotórax, empiema. • Aire Neumotórax Interpretación de radiología de tórax Estructuras radiológicas: Felson, Principios de radiología torácica. Sociedad Española de Radiología Médica - SERAM. Advanced Trauma Life Support ATLS, Colegio Americano de Cirujanos.
  • 21.
    Parénquima pulmonar  Aumentosde densidad: • Patrón alveolar • Patrón intersticial • Masas y nódulos: o Nódulos: Lesión menor de 3 cm o Masa: Lesión mayor de 3 cm Interpretación de radiología de tórax Estructuras radiológicas: Felson, Principios de radiología torácica. Sociedad Española de Radiología Médica - SERAM. Advanced Trauma Life Support ATLS, Colegio Americano de Cirujanos.
  • 22.
    Felson, Principios deradiología torácica. Sociedad Española de Radiología Médica - SERAM. Advanced Trauma Life Support ATLS, Colegio Americano de Cirujanos.
  • 23.
    Interpretación de radiología detórax Estructuras radiológicas: Parénquima pulmonar Felson, Principios de radiología torácica. Sociedad Española de Radiología Médica - SERAM. Advanced Trauma Life Support ATLS, Colegio Americano de Cirujanos.
  • 24.
    Felson, Principios deradiología torácica. Sociedad Española de Radiología Médica - SERAM. Advanced Trauma Life Support ATLS, Colegio Americano de Cirujanos.
  • 25.
    Parénquima pulmonar Pérdida devolúmen Atelectasias Interpretación de radiología de tórax Estructuras radiológicas: Felson, Principios de radiología torácica. Sociedad Española de Radiología Médica - SERAM. Advanced Trauma Life Support ATLS, Colegio Americano de Cirujanos.
  • 26.
    Parénquima pulmonar Interpretación deradiología de tórax Estructuras radiológicas: Felson, Principios de radiología torácica. Sociedad Española de Radiología Médica - SERAM. Advanced Trauma Life Support ATLS, Colegio Americano de Cirujanos.
  • 27.
    • Vía aérea,tráquea, bronquios • Campos pulmonares, DP • • Mediastino, vasos, corazón • Diafragmas, senos CF y CD • Extras: cuerpos extraños, hueso Interpretación de radiología de tórax Evaluación radiología de urgencias. Felson, Principios de radiología torácica. Sociedad Española de Radiología Médica - SERAM. Advanced Trauma Life Support ATLS, Colegio Americano de Cirujanos.
  • 28.
    NO OLVIDAR: Siempreque se pueda, mirar radiografias PREVIAS. Felson, Principios de radiología torácica. Sociedad Española de Radiología Médica - SERAM. Advanced Trauma Life Support ATLS, Colegio Americano de Cirujanos.
  • 30.
    Muchas gracias porsu atención!!

Notas del editor

  • #17 signos indirectos de hipertensión pulmonar como dilatación de las arterias pulmonares centrales y crecimiento del ventrículo derecho
  • #20 Aneurisma de aorta y diseccion aortica