Incrustar presentación



























































































































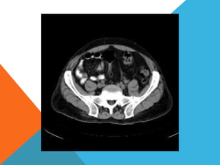
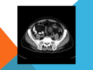
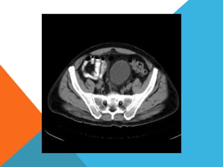
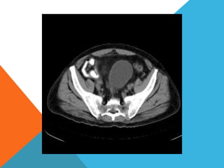
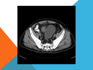
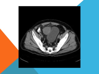
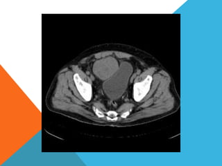
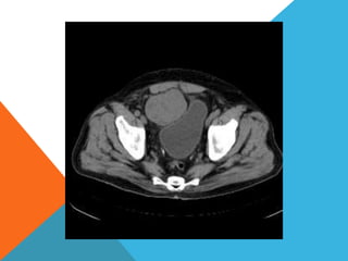
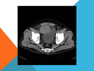
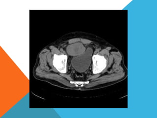
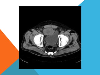
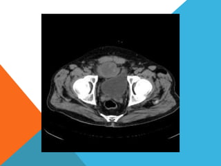
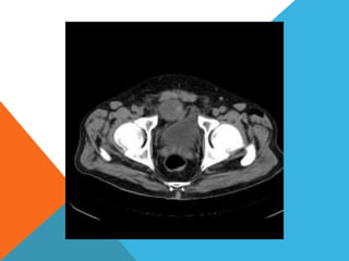
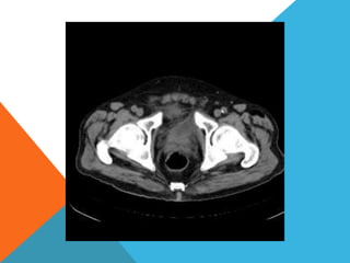
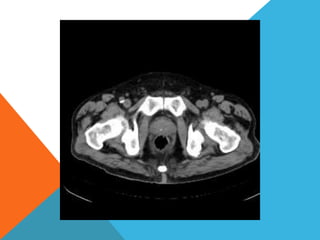
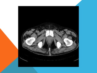
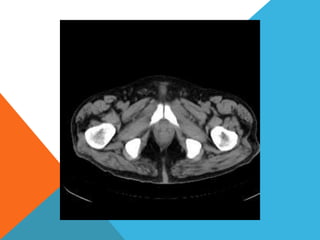
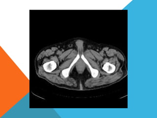
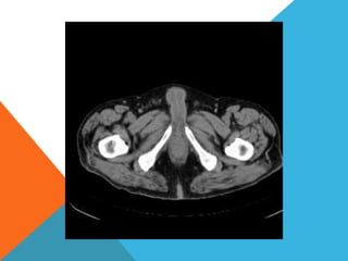
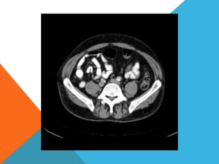
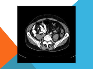
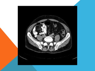
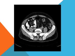
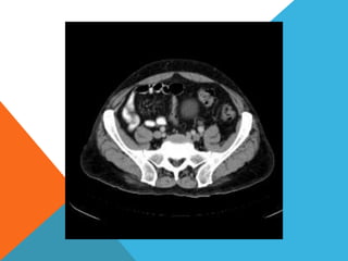
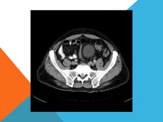
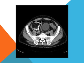
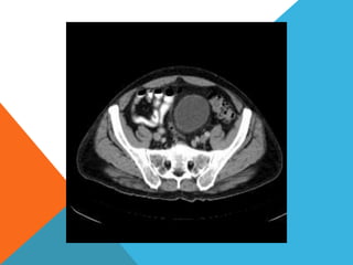
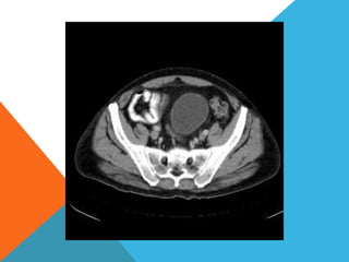
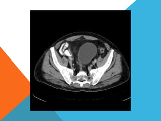
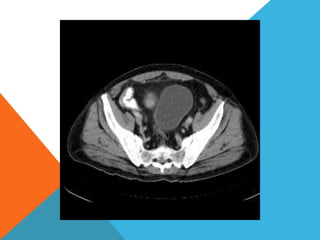
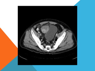
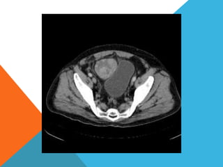
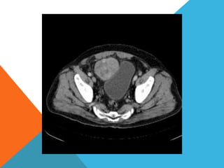
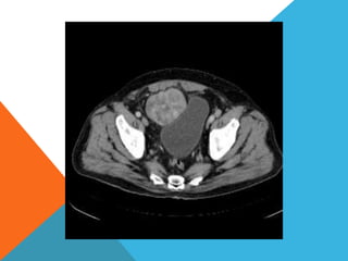
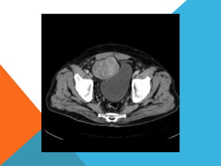
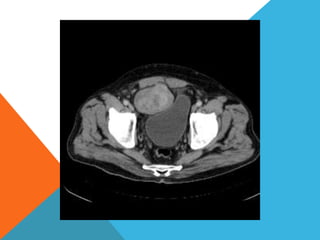
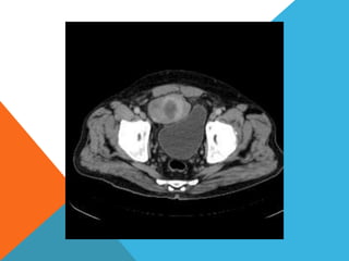
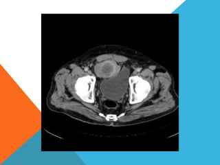
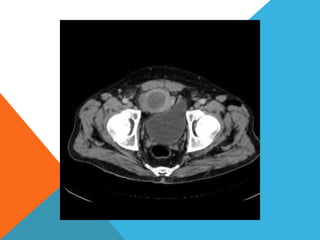
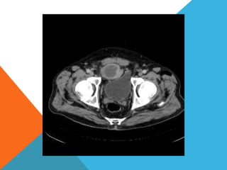
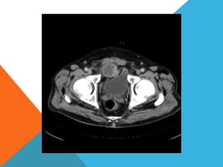
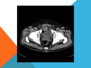
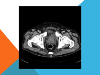
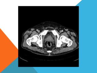
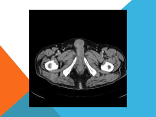
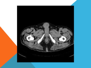
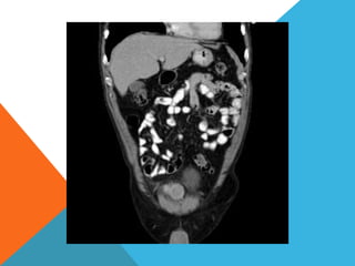
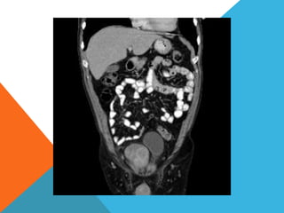
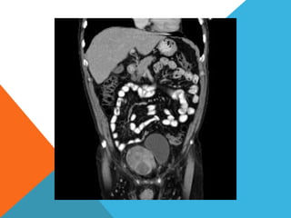
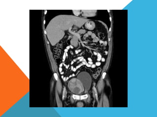
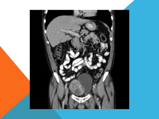
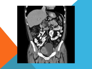
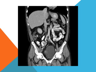
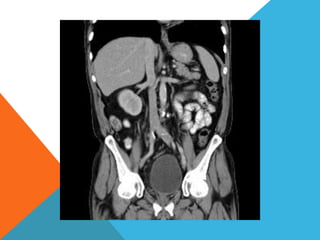
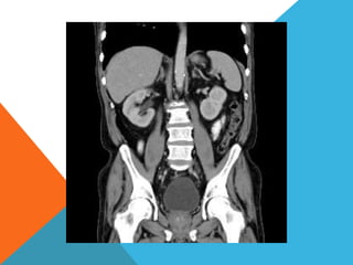
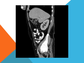
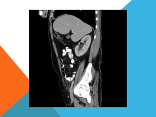
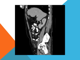
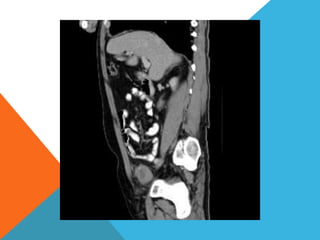
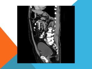
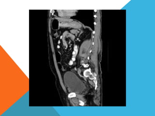
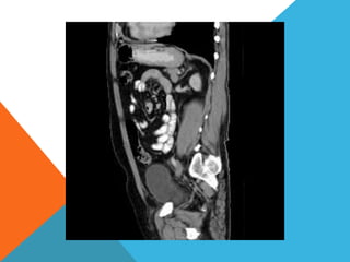
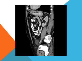
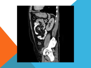
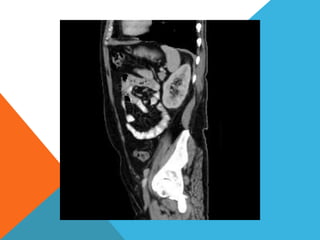
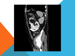
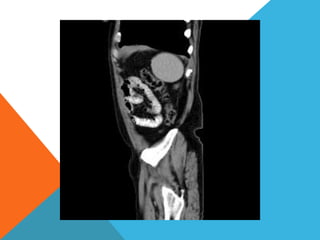
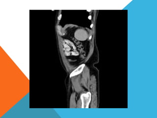
El paciente presentó síntomas de sangrado digestivo y pérdida de peso. Exámenes revelaron gastritis crónica asociada a H. pylori. Un tumor fue descubierto en una colonoscopia normal. La cirugía removió un tumor fibroide solitario, una rara neoplasia mesenquimal que usualmente crece lento y tiene bajo potencial de malignidad. El pronóstico después de la remoción quirúrgica es generalmente bueno.

























































































































