Derrame pleural  Dr. Enrique Ortiz Quevedo  Cirujano oncólogo
 
Concepto Acumulación patológica de líquido en espacio plueral
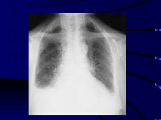
Derrame pleural izquierdo
 
Mecanismos Aumento de  la producción del LP Incremento de permeabilidad capilar. Incremento de  la presión hidrostática. Disminución de la presión oncótica Disminución de la reabsorción de LP Alteraciones en permeabilidad de la pleura. Alteraciones en el drenaje linfático
Diagnostico Rx St de tórax – Rx tórax decúbito lateral Ecografía pleural TAC de torax
 
Ecografía pleural
 
Toracocentesis Se realiza si el paciente  tiene mas de 1 cm de derrame pleural en Rx decubito lateral DP con compromiso respiratorio. DP con compromiso hemodinámico. DP  que desplace mediastino  Si no hay diagnostico etiológico del derrame
Toracocentesis Punción  con aguja de líquido pleural, puede ser guiada. Se obtiene muestras. Citología Bioquímica Cultivos
Toracocentesis
Toracocentesis
Caracteristicas del líquido pleural Aspecto Pajizo-TB, ICC. Pus-  empiema Lechoso- quilitorax Hematico- postraumatico o neoplásico Chocolate- abceso amebiano Negro – aspergillus. Olor pútrido –anaerobios Olor amoniacal.- Urinotorax
 
 
 
 
 
 
 
Liquido pleural  normal PH 7.55 – 7.64 Proteínas  < 2g / dl Leucocitos < 1000 por mm3. Glucosa -nivel plasmático DLH- 50%  del nivel plasmático. Amilasa – nivel plasmático
Trasudado Acumulación de líquido en espacio pleural cuando la superficie de las membranas  que lo limitan no están en directa relación con procesos patológicos. Ej. ICC
Trasudado PH 7.45 – 7.55 Glucosa > 60 mg / dl DLH <  1000 U/l
Exudado PH  menor de 7.45 Glucosa < 60 mg/ dl DLH  > 1000 U/l
Derrame pleural tuberculoso Es un exudado. Citología – predominio linfocitario. Cultivo – M. Tuberculoso Biopsia pleural- granulomas tuberculosos. ADA (adenosina desaminasa) Sensibilidad 100%. Especificidad 95%. PCR ( reacción en cadena de polimerasa)
Tubo de torax Empiema Hemotorax Gran neumotorax. Quilotorax DP maligno Derrame paraneumonico. Cultivo positivo. PH < 7.00 Glucosa < 40 mg/ dl
 
Pleurodesis Se utiliza en derrames pleurales malignos .

Derrame pleural

  • 1.
    Derrame pleural Dr. Enrique Ortiz Quevedo Cirujano oncólogo
  • 2.
  • 3.
    Concepto Acumulación patológicade líquido en espacio plueral
  • 4.
  • 5.
  • 6.
    Mecanismos Aumento de la producción del LP Incremento de permeabilidad capilar. Incremento de la presión hidrostática. Disminución de la presión oncótica Disminución de la reabsorción de LP Alteraciones en permeabilidad de la pleura. Alteraciones en el drenaje linfático
  • 7.
    Diagnostico Rx Stde tórax – Rx tórax decúbito lateral Ecografía pleural TAC de torax
  • 8.
  • 9.
  • 10.
  • 11.
    Toracocentesis Se realizasi el paciente tiene mas de 1 cm de derrame pleural en Rx decubito lateral DP con compromiso respiratorio. DP con compromiso hemodinámico. DP que desplace mediastino Si no hay diagnostico etiológico del derrame
  • 12.
    Toracocentesis Punción con aguja de líquido pleural, puede ser guiada. Se obtiene muestras. Citología Bioquímica Cultivos
  • 13.
  • 14.
  • 15.
    Caracteristicas del líquidopleural Aspecto Pajizo-TB, ICC. Pus- empiema Lechoso- quilitorax Hematico- postraumatico o neoplásico Chocolate- abceso amebiano Negro – aspergillus. Olor pútrido –anaerobios Olor amoniacal.- Urinotorax
  • 16.
  • 17.
  • 18.
  • 19.
  • 20.
  • 21.
  • 22.
  • 23.
    Liquido pleural normal PH 7.55 – 7.64 Proteínas < 2g / dl Leucocitos < 1000 por mm3. Glucosa -nivel plasmático DLH- 50% del nivel plasmático. Amilasa – nivel plasmático
  • 24.
    Trasudado Acumulación delíquido en espacio pleural cuando la superficie de las membranas que lo limitan no están en directa relación con procesos patológicos. Ej. ICC
  • 25.
    Trasudado PH 7.45– 7.55 Glucosa > 60 mg / dl DLH < 1000 U/l
  • 26.
    Exudado PH menor de 7.45 Glucosa < 60 mg/ dl DLH > 1000 U/l
  • 27.
    Derrame pleural tuberculosoEs un exudado. Citología – predominio linfocitario. Cultivo – M. Tuberculoso Biopsia pleural- granulomas tuberculosos. ADA (adenosina desaminasa) Sensibilidad 100%. Especificidad 95%. PCR ( reacción en cadena de polimerasa)
  • 28.
    Tubo de toraxEmpiema Hemotorax Gran neumotorax. Quilotorax DP maligno Derrame paraneumonico. Cultivo positivo. PH < 7.00 Glucosa < 40 mg/ dl
  • 29.
  • 30.
    Pleurodesis Se utilizaen derrames pleurales malignos .