HERNIA 
DIAFRAGMÁTICA 
Alejandro Maldonado Bé
• La hernia diafragmática congénita (HDC) es un defecto congénito de la formación 
y/o cierre del diafragma que permite el paso de parte o la totalidad de las vísceras 
abdominales a la cavidad torácica, lo que produce dos consecuencias que van a 
marcar la evolución del recién nacido (RN): 
Hipoplasia 
pulmonar 
ípsilateral Hipertensión 
pulmonar
La incidencia es variable: 1/2000-4000 RN vivos 
Relación hombre-mujer 1:1.8 
Afecta en el 80-90% de los casos al lado izquierdo 
Se asocian otros defectos congénitos en el 7% 
En 1804 se describió su presentación clínica y patología
• El primer médico en describir una hernia diafragmática congénita fue Lazarus Riverius. 
• La describió en un examen post Mortem de un hombre de 24 años 
• El caso sólo fue publicado después de su muerte en 1679 
• En 1769 Giovanni Battista Morgagni describió el defecto congénito de la parte ventral y 
lateral derecha del diafragma. 
• En 1848 Vincent Alexander Bochdalek describió la hernia de contenido intestinal a través 
del espacio lumbodorsal del diafragma
• La hernia diafragmática se clasifica de acuerdo al sitio donde se localiza el defecto: 
• 80 + 5% ocurre en la región posterolateral del diafragma en el orificio de 
Bochdaleck, 5 veces más frecuente del lado izquierdo. Son las más grandes y se 
asocian más frecuentemente con hipoplasia pulmonar severa. 
• 1% son bilaterales y son fatales. 
• 2% se presentan en el orificio anterior o de Morgagni. 
• Las restantes son hernias a través del hiato esofágico. 
• La etiología de la hernia diafragmática no es clara, han sido reportados casos 
familiares sugiriendo predisposición genética.
• Existen dos teorías acerca de la embriogénesis de la hernia diafragmática: 
Crecimiento pulmonar 
anormal que provoca 
desarrollo 
diafragmático anormal 
Defecto diafragmático 
primario con hipoplasia 
pulmonar secundaria
• Durante el primer mes de la vida fetal existe una cavidad pleuroperitoneal común. 
• Entre la 4a y 9a semanas de gestación se forma la membrana pleuroperitoneal 
creando cavidades pleural y abdominal separadas. 
• La porción posterolateral es la última porción en formarse y el lado izquierdo 
después del derecho. 
• El desarrollo del diafragma se completa a las 12 semanas de gestación. 
• La falta de desarrollo de la porción posterolateral del diafragma da por resultado 
la persistencia del agujero de Bochdalek por lo que las vísceras ocupan el tórax y el 
abdomen está subdesarrollado y excavado. 
• El desarrollo de la vía aérea y su ramificación empieza entre la 4a y 5a semanas de 
gestación y termina hacia la semana 17 cuando los bronquiolos terminales son 
formados.
Sx. Turner Sx. Down 
Sx. 
Edwards 
Sx. Patau
Factores que empeoran el pronóstico de la hernia diafragmática congénita 
Edad gestacional a la se establece el diagnóstico prenatal(peor pronóstico a mas 
temprana edad gestacional) 
Presencia de polihidramnios 
Asociación de malformaciones congénitas/ cromosomopatías 
Hipodesarrollo del ventrículo izquierdo(< 2g/kg) 
Grado de hipoplasia pulmonar 
Bajo peso al nacimiento 
Presencia de hígado en cavidad torácica
Clasificación I 
1. Hernia de 
Bochdalek 
2. Hernia de 
Morgagni 
3. Hernia del 
hiato 
esofágico
Clasificación II 
1. Hernia posteroexterna de Bochdalek izquierda 
2. Hernia posteroexterna de Bochdalek derecha 
3. Hernia del hiato esofágico 
4. Hernia retroesternal de Morgagni
• Se trata de paciente masculino de 50 años de edad, sin antecedentes 
importantes, quien acude al Hospital Universitario Dr. Ángel Larralde, 
Valencia, Edo. Carabobo, por presentar epigastralgia de moderada intensidad 
tipo urente sin irradiación y acalmia, concomitante vómitos múltiples de 
contenido alimentario, precedidos de nauseas durante 8 días de evolución.
• Al examen físico se evidencia hipoexpansibilidad torácica a predominio del 
hemitórax izquierdo, abolición de ruidos respiratorios con pectoriloquia y 
presencia de ruidos hidroaéreos del mismo lado; abdomen blando, depresible 
sin signos de irritación peritoneal y sin evidencia de visceromegalias.
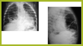
• Se realiza Rayos X de Tórax (vista lateral y posteroanterior) donde se evidencia 
invasión del estómago al hemitorax izquierdo a través del defecto 
diafragmático, compatible con la entidad clínica del paciente. 
• Además se confirma un área de atelectasia a nivel del tercio medio del campo 
pulmonar izquierdo
• Se indica a su vez una Tomografía de abdomen 
• con contraste oral y endovenoso donde se comprueba la presencia 
• de vísceras abdominales en la cavidad torácica, imagen 
• sugestiva de hernia diafragmática congénita.
• La hernia de Morgagni (H M) es una anomalía congénita poco frecuente que es 
causada por un defecto localizado en la región ántero-medial del diafragma. 
• Los pacientes con HM se diagnostican habitualmente en la edad adulta en 
forma incidental al examinar una radiografía de tórax por una patología 
diferente.
Especifícaciones 
• Cuando el hiato ocurre en la unión esternocostal derecha se le define como 
hernia de Morgagni, en cambio cuando el defecto es en la unión esternocostal 
izquierda se le llama de Larrey y si existe en ambos lados se trata de una hernia 
de Morgagni-Larrey
• Los pacientes con hernia de Morgagni se diagnostican a cualquier edad en 
forma accidental al efectuar un examen radiológico de tórax por otra 
patología, tal como infecciones respiratorias o molestias gastrointestinales 
• Un considerable número de pacientes se diagnostica en la edad pediátrica por 
presentar dificultad respiratoria
Hallazgos 
• En la radiografía de tórax se observa una opacidad del ángulo cardiofrénico, 
generalmente en el lado derecho cuando el saco herniario esta ocupado por el 
hígado, y si ésta no es homogénea es por la presencia de asas intestinales con 
contenido aéreo 
• En ese caso un enema baritado revelará la presencia de colon transverso 
situado en la parte alta del abdomen, en la proyección lateral de tórax las asas 
se observan por detrás del esternón.
• Las presentaciones en pacientes adultos muestran mayor sintomatología gastro-intestinal, 
y en la mayoría de ellos el diagnóstico se realizó después de varios 
ingresos al hospital y aún con radiografías de tórax previas en las cuales no existió 
sospecha suficiente para la patología 
• Algunas oportunidades es difícil de llegar al diagnóstico, ya que pueden pasar 
desapercibidas en todos los estudios, llegando a precisar incluso laparoscopía 
exploratoria para su diagnóstico 
• En pacientes mayores y ante imágenes dudosas en la radiografía de tórax se debe 
realizar el diagnóstico diferencial con linfoma o atelectasia del lóbulo medio
• El problema fundamental de los niños que nacen con hernia diafragmática 
congénita, es fisiológico, secundario a la hipoplasia pulmonar y a la 
hipertensión pulmonar. 
• Los esfuerzos terapéuticos están orientados básicamente hacia estos dos 
aspectos.

Hernia diafragmática

  • 1.
  • 2.
    • La herniadiafragmática congénita (HDC) es un defecto congénito de la formación y/o cierre del diafragma que permite el paso de parte o la totalidad de las vísceras abdominales a la cavidad torácica, lo que produce dos consecuencias que van a marcar la evolución del recién nacido (RN): Hipoplasia pulmonar ípsilateral Hipertensión pulmonar
  • 3.
    La incidencia esvariable: 1/2000-4000 RN vivos Relación hombre-mujer 1:1.8 Afecta en el 80-90% de los casos al lado izquierdo Se asocian otros defectos congénitos en el 7% En 1804 se describió su presentación clínica y patología
  • 4.
    • El primermédico en describir una hernia diafragmática congénita fue Lazarus Riverius. • La describió en un examen post Mortem de un hombre de 24 años • El caso sólo fue publicado después de su muerte en 1679 • En 1769 Giovanni Battista Morgagni describió el defecto congénito de la parte ventral y lateral derecha del diafragma. • En 1848 Vincent Alexander Bochdalek describió la hernia de contenido intestinal a través del espacio lumbodorsal del diafragma
  • 5.
    • La herniadiafragmática se clasifica de acuerdo al sitio donde se localiza el defecto: • 80 + 5% ocurre en la región posterolateral del diafragma en el orificio de Bochdaleck, 5 veces más frecuente del lado izquierdo. Son las más grandes y se asocian más frecuentemente con hipoplasia pulmonar severa. • 1% son bilaterales y son fatales. • 2% se presentan en el orificio anterior o de Morgagni. • Las restantes son hernias a través del hiato esofágico. • La etiología de la hernia diafragmática no es clara, han sido reportados casos familiares sugiriendo predisposición genética.
  • 6.
    • Existen dosteorías acerca de la embriogénesis de la hernia diafragmática: Crecimiento pulmonar anormal que provoca desarrollo diafragmático anormal Defecto diafragmático primario con hipoplasia pulmonar secundaria
  • 7.
    • Durante elprimer mes de la vida fetal existe una cavidad pleuroperitoneal común. • Entre la 4a y 9a semanas de gestación se forma la membrana pleuroperitoneal creando cavidades pleural y abdominal separadas. • La porción posterolateral es la última porción en formarse y el lado izquierdo después del derecho. • El desarrollo del diafragma se completa a las 12 semanas de gestación. • La falta de desarrollo de la porción posterolateral del diafragma da por resultado la persistencia del agujero de Bochdalek por lo que las vísceras ocupan el tórax y el abdomen está subdesarrollado y excavado. • El desarrollo de la vía aérea y su ramificación empieza entre la 4a y 5a semanas de gestación y termina hacia la semana 17 cuando los bronquiolos terminales son formados.
  • 9.
    Sx. Turner Sx.Down Sx. Edwards Sx. Patau
  • 10.
    Factores que empeoranel pronóstico de la hernia diafragmática congénita Edad gestacional a la se establece el diagnóstico prenatal(peor pronóstico a mas temprana edad gestacional) Presencia de polihidramnios Asociación de malformaciones congénitas/ cromosomopatías Hipodesarrollo del ventrículo izquierdo(< 2g/kg) Grado de hipoplasia pulmonar Bajo peso al nacimiento Presencia de hígado en cavidad torácica
  • 11.
    Clasificación I 1.Hernia de Bochdalek 2. Hernia de Morgagni 3. Hernia del hiato esofágico
  • 12.
    Clasificación II 1.Hernia posteroexterna de Bochdalek izquierda 2. Hernia posteroexterna de Bochdalek derecha 3. Hernia del hiato esofágico 4. Hernia retroesternal de Morgagni
  • 13.
    • Se tratade paciente masculino de 50 años de edad, sin antecedentes importantes, quien acude al Hospital Universitario Dr. Ángel Larralde, Valencia, Edo. Carabobo, por presentar epigastralgia de moderada intensidad tipo urente sin irradiación y acalmia, concomitante vómitos múltiples de contenido alimentario, precedidos de nauseas durante 8 días de evolución.
  • 14.
    • Al examenfísico se evidencia hipoexpansibilidad torácica a predominio del hemitórax izquierdo, abolición de ruidos respiratorios con pectoriloquia y presencia de ruidos hidroaéreos del mismo lado; abdomen blando, depresible sin signos de irritación peritoneal y sin evidencia de visceromegalias.
  • 15.
    • Se realizaRayos X de Tórax (vista lateral y posteroanterior) donde se evidencia invasión del estómago al hemitorax izquierdo a través del defecto diafragmático, compatible con la entidad clínica del paciente. • Además se confirma un área de atelectasia a nivel del tercio medio del campo pulmonar izquierdo
  • 18.
    • Se indicaa su vez una Tomografía de abdomen • con contraste oral y endovenoso donde se comprueba la presencia • de vísceras abdominales en la cavidad torácica, imagen • sugestiva de hernia diafragmática congénita.
  • 19.
    • La herniade Morgagni (H M) es una anomalía congénita poco frecuente que es causada por un defecto localizado en la región ántero-medial del diafragma. • Los pacientes con HM se diagnostican habitualmente en la edad adulta en forma incidental al examinar una radiografía de tórax por una patología diferente.
  • 20.
    Especifícaciones • Cuandoel hiato ocurre en la unión esternocostal derecha se le define como hernia de Morgagni, en cambio cuando el defecto es en la unión esternocostal izquierda se le llama de Larrey y si existe en ambos lados se trata de una hernia de Morgagni-Larrey
  • 21.
    • Los pacientescon hernia de Morgagni se diagnostican a cualquier edad en forma accidental al efectuar un examen radiológico de tórax por otra patología, tal como infecciones respiratorias o molestias gastrointestinales • Un considerable número de pacientes se diagnostica en la edad pediátrica por presentar dificultad respiratoria
  • 22.
    Hallazgos • Enla radiografía de tórax se observa una opacidad del ángulo cardiofrénico, generalmente en el lado derecho cuando el saco herniario esta ocupado por el hígado, y si ésta no es homogénea es por la presencia de asas intestinales con contenido aéreo • En ese caso un enema baritado revelará la presencia de colon transverso situado en la parte alta del abdomen, en la proyección lateral de tórax las asas se observan por detrás del esternón.
  • 23.
    • Las presentacionesen pacientes adultos muestran mayor sintomatología gastro-intestinal, y en la mayoría de ellos el diagnóstico se realizó después de varios ingresos al hospital y aún con radiografías de tórax previas en las cuales no existió sospecha suficiente para la patología • Algunas oportunidades es difícil de llegar al diagnóstico, ya que pueden pasar desapercibidas en todos los estudios, llegando a precisar incluso laparoscopía exploratoria para su diagnóstico • En pacientes mayores y ante imágenes dudosas en la radiografía de tórax se debe realizar el diagnóstico diferencial con linfoma o atelectasia del lóbulo medio
  • 26.
    • El problemafundamental de los niños que nacen con hernia diafragmática congénita, es fisiológico, secundario a la hipoplasia pulmonar y a la hipertensión pulmonar. • Los esfuerzos terapéuticos están orientados básicamente hacia estos dos aspectos.