Sinapsis adrenérgica
neuroefectora:
Eliminación
metabólica de
catecolaminas
AR: aldehido reductasa
AD: aldehido deshidrogenasa
DOPEG: 3,4-dihidroxifenilglicol
DOMA: ác. 3,4-dihidroximandélico
MOPEG: 3-metoxi, 4-hidroxifenilglicol

COMT: catecol-O-metiltransferasa
MOPGAL: aldehído inestable
ADH: alcohol deshidrogenasa
VMA: ác. vanillilmandélico
Selectividad del receptor:

• Dobutamina (beta1 > β2 >>>> α)
Clonidina,
Metilnoradrenalina • Isoproterenol (beta1 = β2 >>>> α)
(α2 > α1 >>>>> β)
• Terbutalina, metaproterenol y
albuterol (β2 >> β1 >>>> α)
Noradrenalina [(α1 = α2) > (β1 >> β2)]
Fenilefrina,
Metoxamina
(α1 > alfa2 >>>> β)

Adrenalina [(α1 = α2) < (β1 = β2)]

Agonistas de Dopamina:
• Dopamina (D1 = D2 >> β >> α)
• Fenoldopamina (D1 >> D2)
Feocromocitoma:

Paragangliomas:

Neoplasia neuroendocrina
de células cromafines
Neoplasias productoras
,que biosintetizan,
de catecolaminas en
almacenan, metabolizan y
cabeza y cuello, así
secretan concentraciones
como los tumores que
elevadas de
nacen del sistema
catecolaminas y sus
nervioso parasimpático
metabolitos, puede tener
y que secretan muy
localizaciones intraadrenal
y extraadrenal, y provenir pocas catecolaminas o
tanto del sistema simpático
no las secretan.
como del parasimpático.
ASPECTOS EPIDEMIOLÓGICOS









Afecta 2-8 de cada millón de personas al año.
Prevalencia en población hipertensa: 0,2 – 0,4 %.
Más frecuente: 30 - 50 años.
Raro después de los 60.
90%: tumor en médula suprarrenal (10%:
extrasuprarrenal).
25% de enfermos tienenmutaciones de líneas germinativas
de los genes RET, VHL, NF1, SDHB, SDHC o SDHD.

10 % son Bilaterales

Regla de
los dieces

10% son extrasuprarrenales
10% son cancerosos
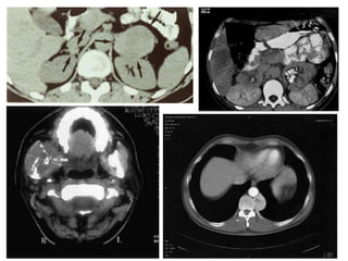
ANATOMÍA PATOLÓGICA:


Neoplasias muy vascularizadas que provienen de células
derivadas de paraganglios simpáticos (médula
suprarrenal) o parasimpáticos (cuerpo carotídeo o glomus
vagal).



Color oscuro de su parénquima ocasionado por la
oxidación cromafínica de catecolaminas.
En glándulas suprarrenales oscilan entre 3 y 5 cm; los
extrasuprarrenales, situados en el retroperitoneo,
alcanzan como promedio, un tamaño de 10 cm.


SIGNOS Y
SÍNTOMAS MÁS
FRECUENTES:

Cefaleas (50%)
Hiperhidrosis (50%)
Palpitaciones y taquicardia (50-80%)
Hipertensión sostenida (50%) o paroxística (45%)
Ataques de ansiedad y pánico
Rubor
Tremor
Dolor abdominal y/o torácico
Náusea
Intolerancia al calor
Palidez
Pérdida de peso
Poliuria y polidipsia
Vértigos
Hematuria, nicturia y tenesmo vesical

Cardiomiopatía
Respuesta paradójica a fármacos antihipertensivos
Estreñimiento
Fenómeno de Raynaud
Hipotensión ortostática
Miocardiopatía dilatada
Eritrocitosis
Hiperglucemia
Hipercalciemia
Crisis
catecolamínicas:
Duran menos de 1 hora.
Desencadenantes: cirugía, cambios de
posición, ejercicios, embarazo,
micción, fármacos (ADT, opiáceos y
metoclopramida).
DIAGNÓSTICO:
Método diagnóstico

Sensibilidad

Especificidad

++

++++

Nivel de catecolaminas

+++

+++

Metanefrinas fraccionadas

++++

++

Metanefrinas totales

+++

++++

Catecolaminas

+++

++

Metanefrinas libres

++++

+++

Cromogranina A

+++

++

TAC c/contraste

++++

+++

RMN

++++

+++

Metayodobenzilguanidina
/Gammagrafía
Gammagrafía de
receptores de
somatostatina

+++

++++

++

++

TEP con dopamina

++++

++++

Estudios de orina de 24 h
Detección de ácido
vanililmandélico

Estudios en plasma
Fármacos que producen falsos
positivos en plasma y orina:


Gammagrafia/MIBG



RMN
- Hipertensión esencial.
- Ataques de ansiedad.
- Cocaína o
anfetaminas.
- Síndrome de
mastocitosis.

- Síndrome carcinoide.
- Lesiones
intracraneales.
- Abstinencia de
clonidina.
- Epilepsia autonómica.
- Crisis facticias.

- Adenoma
suprarrenal
no funcional.
- Aldosteronoma.
- Adenoma productor
de cortisol (síndrome
de Cushing).

Masa suprarrenal asintomática:

Cuadro clínico similar:

DIAGNÓSTICO DIFERENCIAL
PREPARACIÓN PREOPERATORIA


Bloqueadores adrenérgicos (fenoxibenzamina) en dosis
relativamente pequeñas (p. ej., 5 a 10 mg orales tres
veces al día) e ir aumentando dosis por 10 a 14 días
(dosis final típica es de 20 a 30 mg de fenoxibenzamina
tres veces al día).

Ingestión abundante de sodio y la hidratación.
 Prazosin oral o fentolamina para corregir
paroxismos.
 Objetivo: PA>160/90 mmHg con ortostatismo
moderado.
 Usar bloqueadores α en caso de persistir
taquicardia, después de que el bloqueo α sea eficaz.
CRISIS HIPERTENSIVAS TRANSOPERATORIAS:
 Nitropusiato
Ayudan a control de PA: antagonistas de Ca++ o

Tratamiento:
Tratamiento:
TRATAMIENTO


Extirpar por completo el tumor:




Lapatotomía.
Cirugía laparoscópica transperitoneal o retroperitoneal.
Cirugía endoscópica atraumática (1995).
FEOCROMOCITOMA MALIGNO





5 – 10 %.
Envían metástasis a distancia:
Pulmón, huesos e hígado.
Supervivencia quinquenal: 30 - 60 %.
TRATAMIENTO:






Citorreducción de masa tumoral.
Bloqueadores α.
Radioterapia con radionúclidos.
Quimioterapia (Protocolo de Averbuch):


Dacarbazina (600 mg/m2 los días 1 y 2);
ciclofosfamida (750 mg/m2 el día 1) y
vincristina (1.4 mg/m2 el día 1) que se
repetirán cada 21 días durante tres a seis
ciclos.
SÍNDROMES




NEM 2A (síndrome de Sipple): Feocromocitoma,
carcinoma medular tiroideo y a adenomas paratiroideos.
NEM 2B: Carcinoma medular tiroideo, feocromocitoma y
neuromas de las mucosas (oral y ocular).
Asociación (10%) con la neurofibromatosis I(enfermedad
de Von Recklinghausen): neurofibromas, manchas café
con leche, pecas en piel de axila y nódulos de Lisch en
iris.


Feocromocitomas
pueden encontrarse
con
angiomas
retinianos,
hemangioblastomas
, carcinomas de
células
claras
renales, tumores de
las células de los
islotes pancreáticos,
tumores del saco
endolinfático,
del
oído
interno,
cistadenomas
del
epidídimo
y
el
ligamento ancho, y
múltiples quistes en

Enfermedad de
Von HippelLindau
MEN 2

VHL

PGL4

PGL3

PGL1

NF1

Media de edad en 34
la fecha del
diagnóstico

16

34

41

26

43

Multifocalidad

55%

12%

11%

48%

20%

Sitio
97/3%
suprarrenal/extras
uprarrenal de
abdomen

92/17%

42/58%

0

86/57%

94/6%

Tórax

5%

12%

0

29%

0

Paragangliomas
0
de cabeza y cuello

0

6%

100%

48%

0

Cánceres

3%

4%

24%

0

0

12%

Tumores
acompañantes

Carcinoma
medular tiroideo;
hiperparatiroidismo
primario

Hemangiomas
En una minoría
oculares,
carcinoma de
hemangioblastoma células renales
s del SNC;
carcinomas de
células claras
renales; tumores
de células de los
islotes
pancreáticos;
tumores del saco
endolinfático del
oído interno

No hay vinculación regular con otros
tumores

Neurofibromas,
manchas café con
leche, pecas en
axilas, tumores de
la vía óptica,
hamartomas de iris

Mecanismo de
herencia

Dominante
autosómico

Dominante
autosómico

Dominante
autosómico

Dominante
Dominante
autosómico y no
autosómico
hay manifestación
en los hijos de
madres afectadas

Dominante
autosómico

Nombre del gen

RET

VHL

SDHB

SDHC

NF1

65%

0

SDHD
Algoritmo:
Algoritmo:

Feocromocitoma

  • 4.
  • 5.
    Eliminación metabólica de catecolaminas AR: aldehidoreductasa AD: aldehido deshidrogenasa DOPEG: 3,4-dihidroxifenilglicol DOMA: ác. 3,4-dihidroximandélico MOPEG: 3-metoxi, 4-hidroxifenilglicol COMT: catecol-O-metiltransferasa MOPGAL: aldehído inestable ADH: alcohol deshidrogenasa VMA: ác. vanillilmandélico
  • 6.
    Selectividad del receptor: •Dobutamina (beta1 > β2 >>>> α) Clonidina, Metilnoradrenalina • Isoproterenol (beta1 = β2 >>>> α) (α2 > α1 >>>>> β) • Terbutalina, metaproterenol y albuterol (β2 >> β1 >>>> α) Noradrenalina [(α1 = α2) > (β1 >> β2)] Fenilefrina, Metoxamina (α1 > alfa2 >>>> β) Adrenalina [(α1 = α2) < (β1 = β2)] Agonistas de Dopamina: • Dopamina (D1 = D2 >> β >> α) • Fenoldopamina (D1 >> D2)
  • 11.
    Feocromocitoma: Paragangliomas: Neoplasia neuroendocrina de célulascromafines Neoplasias productoras ,que biosintetizan, de catecolaminas en almacenan, metabolizan y cabeza y cuello, así secretan concentraciones como los tumores que elevadas de nacen del sistema catecolaminas y sus nervioso parasimpático metabolitos, puede tener y que secretan muy localizaciones intraadrenal y extraadrenal, y provenir pocas catecolaminas o tanto del sistema simpático no las secretan. como del parasimpático.
  • 13.
    ASPECTOS EPIDEMIOLÓGICOS       Afecta 2-8de cada millón de personas al año. Prevalencia en población hipertensa: 0,2 – 0,4 %. Más frecuente: 30 - 50 años. Raro después de los 60. 90%: tumor en médula suprarrenal (10%: extrasuprarrenal). 25% de enfermos tienenmutaciones de líneas germinativas de los genes RET, VHL, NF1, SDHB, SDHC o SDHD. 10 % son Bilaterales Regla de los dieces 10% son extrasuprarrenales 10% son cancerosos
  • 14.
    ANATOMÍA PATOLÓGICA:  Neoplasias muyvascularizadas que provienen de células derivadas de paraganglios simpáticos (médula suprarrenal) o parasimpáticos (cuerpo carotídeo o glomus vagal).  Color oscuro de su parénquima ocasionado por la oxidación cromafínica de catecolaminas. En glándulas suprarrenales oscilan entre 3 y 5 cm; los extrasuprarrenales, situados en el retroperitoneo, alcanzan como promedio, un tamaño de 10 cm. 
  • 15.
    SIGNOS Y SÍNTOMAS MÁS FRECUENTES: Cefaleas(50%) Hiperhidrosis (50%) Palpitaciones y taquicardia (50-80%) Hipertensión sostenida (50%) o paroxística (45%) Ataques de ansiedad y pánico Rubor Tremor Dolor abdominal y/o torácico Náusea Intolerancia al calor Palidez Pérdida de peso Poliuria y polidipsia Vértigos Hematuria, nicturia y tenesmo vesical Cardiomiopatía Respuesta paradójica a fármacos antihipertensivos Estreñimiento Fenómeno de Raynaud Hipotensión ortostática Miocardiopatía dilatada Eritrocitosis Hiperglucemia Hipercalciemia
  • 16.
    Crisis catecolamínicas: Duran menos de1 hora. Desencadenantes: cirugía, cambios de posición, ejercicios, embarazo, micción, fármacos (ADT, opiáceos y metoclopramida).
  • 17.
  • 18.
    Método diagnóstico Sensibilidad Especificidad ++ ++++ Nivel decatecolaminas +++ +++ Metanefrinas fraccionadas ++++ ++ Metanefrinas totales +++ ++++ Catecolaminas +++ ++ Metanefrinas libres ++++ +++ Cromogranina A +++ ++ TAC c/contraste ++++ +++ RMN ++++ +++ Metayodobenzilguanidina /Gammagrafía Gammagrafía de receptores de somatostatina +++ ++++ ++ ++ TEP con dopamina ++++ ++++ Estudios de orina de 24 h Detección de ácido vanililmandélico Estudios en plasma
  • 19.
    Fármacos que producenfalsos positivos en plasma y orina:
  • 21.
  • 22.
    - Hipertensión esencial. -Ataques de ansiedad. - Cocaína o anfetaminas. - Síndrome de mastocitosis. - Síndrome carcinoide. - Lesiones intracraneales. - Abstinencia de clonidina. - Epilepsia autonómica. - Crisis facticias. - Adenoma suprarrenal no funcional. - Aldosteronoma. - Adenoma productor de cortisol (síndrome de Cushing). Masa suprarrenal asintomática: Cuadro clínico similar: DIAGNÓSTICO DIFERENCIAL
  • 23.
    PREPARACIÓN PREOPERATORIA  Bloqueadores adrenérgicos(fenoxibenzamina) en dosis relativamente pequeñas (p. ej., 5 a 10 mg orales tres veces al día) e ir aumentando dosis por 10 a 14 días (dosis final típica es de 20 a 30 mg de fenoxibenzamina tres veces al día). Ingestión abundante de sodio y la hidratación.  Prazosin oral o fentolamina para corregir paroxismos.  Objetivo: PA>160/90 mmHg con ortostatismo moderado.  Usar bloqueadores α en caso de persistir taquicardia, después de que el bloqueo α sea eficaz. CRISIS HIPERTENSIVAS TRANSOPERATORIAS:  Nitropusiato Ayudan a control de PA: antagonistas de Ca++ o 
  • 24.
  • 25.
  • 26.
    TRATAMIENTO  Extirpar por completoel tumor:    Lapatotomía. Cirugía laparoscópica transperitoneal o retroperitoneal. Cirugía endoscópica atraumática (1995).
  • 28.
    FEOCROMOCITOMA MALIGNO     5 –10 %. Envían metástasis a distancia: Pulmón, huesos e hígado. Supervivencia quinquenal: 30 - 60 %. TRATAMIENTO:     Citorreducción de masa tumoral. Bloqueadores α. Radioterapia con radionúclidos. Quimioterapia (Protocolo de Averbuch):  Dacarbazina (600 mg/m2 los días 1 y 2); ciclofosfamida (750 mg/m2 el día 1) y vincristina (1.4 mg/m2 el día 1) que se repetirán cada 21 días durante tres a seis ciclos.
  • 29.
    SÍNDROMES    NEM 2A (síndromede Sipple): Feocromocitoma, carcinoma medular tiroideo y a adenomas paratiroideos. NEM 2B: Carcinoma medular tiroideo, feocromocitoma y neuromas de las mucosas (oral y ocular). Asociación (10%) con la neurofibromatosis I(enfermedad de Von Recklinghausen): neurofibromas, manchas café con leche, pecas en piel de axila y nódulos de Lisch en iris.
  • 30.
     Feocromocitomas pueden encontrarse con angiomas retinianos, hemangioblastomas , carcinomasde células claras renales, tumores de las células de los islotes pancreáticos, tumores del saco endolinfático, del oído interno, cistadenomas del epidídimo y el ligamento ancho, y múltiples quistes en Enfermedad de Von HippelLindau
  • 31.
    MEN 2 VHL PGL4 PGL3 PGL1 NF1 Media deedad en 34 la fecha del diagnóstico 16 34 41 26 43 Multifocalidad 55% 12% 11% 48% 20% Sitio 97/3% suprarrenal/extras uprarrenal de abdomen 92/17% 42/58% 0 86/57% 94/6% Tórax 5% 12% 0 29% 0 Paragangliomas 0 de cabeza y cuello 0 6% 100% 48% 0 Cánceres 3% 4% 24% 0 0 12% Tumores acompañantes Carcinoma medular tiroideo; hiperparatiroidismo primario Hemangiomas En una minoría oculares, carcinoma de hemangioblastoma células renales s del SNC; carcinomas de células claras renales; tumores de células de los islotes pancreáticos; tumores del saco endolinfático del oído interno No hay vinculación regular con otros tumores Neurofibromas, manchas café con leche, pecas en axilas, tumores de la vía óptica, hamartomas de iris Mecanismo de herencia Dominante autosómico Dominante autosómico Dominante autosómico Dominante Dominante autosómico y no autosómico hay manifestación en los hijos de madres afectadas Dominante autosómico Nombre del gen RET VHL SDHB SDHC NF1 65% 0 SDHD
  • 32.
  • 33.