HIPERTENSIÓNHIPERTENSIÓN
ENDOCRANEANAENDOCRANEANA
Dr . Enrique DoradoDr . Enrique Dorado
Intensivista UTIIntensivista UTI
Hospital Obrero CNSHospital Obrero CNS
Oscar Quispe ChávezOscar Quispe Chávez
Residente NeurocirugíaResidente Neurocirugía
DEFINICIÓNDEFINICIÓN
 Elevación sostenida de la PIC por encimaElevación sostenida de la PIC por encima
de sus valores normales (0-15 mm HG)de sus valores normales (0-15 mm HG)
originada por la ruptura del equilibriooriginada por la ruptura del equilibrio
existente entre el cráneo y su contenido.existente entre el cráneo y su contenido.
Sindrome de hipertensión endocraneana
Presión Intracraneana NormalPresión Intracraneana Normal
NiñosNiños<<2a2a 5 mmHg5 mmHg
<<5a5a 10 mmHg10 mmHg
AdultosAdultos <15 mmHg<15 mmHg
P LCR por Punción lumbar: 60-180 mm HP LCR por Punción lumbar: 60-180 mm H22OO
anormalanormal >> 200 mm H200 mm H2200
HIPERTENSION ENDOCRANEANAHIPERTENSION ENDOCRANEANA
ValoresValores
 PIC normalPIC normal :: 0 - 10 mm Hg.0 - 10 mm Hg.
 PIC límite máximoPIC límite máximo :: 10 - 20 mm Hg.10 - 20 mm Hg.
 HTE moderadaHTE moderada :: > 20 mm Hg.> 20 mm Hg.
 HTE severaHTE severa :: > 40 mm Hg.> 40 mm Hg.
HIPERTENSION ENDOCRANEANAHIPERTENSION ENDOCRANEANA
MecanismosMecanismos
HTEHTE
Edema:
- Citotóxico
- Vasogénico
Comprensión
de arteriolas
- Isquemia
- Hipoxia
- Alteración BHE
HIPERTENSION ENDOCRANEANAHIPERTENSION ENDOCRANEANA
MecanismosMecanismos
HTEHTE
LCR:
 Volumen
 Presión
LCR : - Obstrucción
del flujo.
- Alteración de la
absorción
HIPERTENSION ENDOCRANEANAHIPERTENSION ENDOCRANEANA
MecanismosMecanismos
HTEHTE
 Presión
venosa
central
Obstrucción
drenaje venoso
de salida
Estasis
venoso
HIPERTENSION ENDOCRANEANAHIPERTENSION ENDOCRANEANA
MecanismosMecanismos
HTEHTE
Volumen
sanguíneo
cerebral
Presión
perfusión
cerebral
Vasodilatación
 Cualquier incremento del contenido de laCualquier incremento del contenido de la
cavidad craneana eleva la presióncavidad craneana eleva la presión
intracranealintracraneal
 Teoría de Monroe-KellieTeoría de Monroe-Kellie
 Aumento de volumen de los 3Aumento de volumen de los 3
componentes debe ser a expensas de loscomponentes debe ser a expensas de los
otros dosotros dos
COMPARTIMIENTOSCOMPARTIMIENTOS
INTRACRANEALESINTRACRANEALES
Volumen ENCEFALICOVolumen ENCEFALICO
80 %80 %
SangreSangre
10 %10 %
LCRLCR
10%10%
NormalNormal
PIC normalPIC normal
CompensadoCompensado
HE
MA
TO
MA
DescompensadoDescompensado
PIC aumentadaPIC aumentada
HEMAHEMA
TOMATOMA
Flujo sanguíneo cerebral yFlujo sanguíneo cerebral y
Presión intracraneanaPresión intracraneana
 El cerebro consume un 15 % del gastoEl cerebro consume un 15 % del gasto
cardíaco, necesita 45-55 ML/100cardíaco, necesita 45-55 ML/100 gg DEDE
CEREBRO/MINCEREBRO/MIN
 Los Cambios del FSC son importantes paraLos Cambios del FSC son importantes para
determinar la PICdeterminar la PIC
 La disminución del FSC es la vía final delLa disminución del FSC es la vía final del
daño cerebral por aumento de la PICdaño cerebral por aumento de la PIC
HIPERTENSION ENDOCRANEANAHIPERTENSION ENDOCRANEANA
Autoregulación del flujo sanguineo cerebralAutoregulación del flujo sanguineo cerebral
 La circulación cerebraltiene tres sitiosLa circulación cerebraltiene tres sitios
fundamentales de resistencia:fundamentales de resistencia:
Las grandes arterias (39mm de Hg)Las grandes arterias (39mm de Hg)
los vasos piales (21 mm de Hg)los vasos piales (21 mm de Hg)
las venas (40 mm de Hg), similar a las arterias,las venas (40 mm de Hg), similar a las arterias,
aspectos que determinan las respuestasaspectos que determinan las respuestas
fisiológicas.fisiológicas.
Gráfico de relación volumen-presión.Gráfico de relación volumen-presión.
 HIPERTENSION ENDOCRANEANAHIPERTENSION ENDOCRANEANA
 Los ajustes fisiológicos restablecenLos ajustes fisiológicos restablecen
temporalmente la PPC y tienen unatemporalmente la PPC y tienen una
acción limitada, ya que al aumentar elacción limitada, ya que al aumentar el
VSC, producen nuevo aumento de la PIC.VSC, producen nuevo aumento de la PIC.
5050 150150100100
Presión mm HgPresión mm Hg
100100
5050
FSCFSC
ml/100gr/mml/100gr/m
PaO2PaO2
PAMPAM
PaCO2PaCO2
FLUJO SANGUINEO CEREBRALFLUJO SANGUINEO CEREBRAL
100
200
% FSC
normal
0
100 200
Presión arterial mmHg
AUTOREGULACION DEL FSCAUTOREGULACION DEL FSC
rango entre 50 y 150 mm Hgrango entre 50 y 150 mm Hg
Flujo sanguíneo cerebral yFlujo sanguíneo cerebral y
Presión intracraneanaPresión intracraneana
PPCPPC == PAM - PICPAM - PIC
PAM - PICPAM - PIC
RVCRVC
F S CF S C ==
FACTORES QUE MODIFICAN EL FSCFACTORES QUE MODIFICAN EL FSC
Aumenta Disminuye
Hiperemia Hipert. Endocraneal
Hipoventilación Hiperventilación
Hipertermia Hipovolemia
Hipoxia HIPOTENSION
Dolor Hipotermia
Convulsiones > de presion itratoraxica
Trastornos que producen Hipertensión EndocraneanaTrastornos que producen Hipertensión Endocraneana
Volumen cerebral aumentadoVolumen cerebral aumentado
- Lesiones ocupantes de espacioLesiones ocupantes de espacio
como hematomas epidurales ycomo hematomas epidurales y
subdurales, tumores, abscesos osubdurales, tumores, abscesos o
aneurismas.aneurismas.
- Edema cerebral relacionado conEdema cerebral relacionado con
traumatimo craneano, parotraumatimo craneano, paro
cardiorrespiratorio ycardiorrespiratorio y
encefalopatías toxicas.encefalopatías toxicas.
Volumen sanguíneo aumentadoVolumen sanguíneo aumentado - Obstrucción del sistema venoso.Obstrucción del sistema venoso.
- Hipercapnia - hiperemiaHipercapnia - hiperemia
- Estados de enfermedadEstados de enfermedad
asociadas con aumento deasociadas con aumento de
volumen sanguíneovolumen sanguíneo
Aumento del LCRAumento del LCR -Producción aumentada de LCR.-Producción aumentada de LCR.
-Absorción disminuida de LCR.-Absorción disminuida de LCR.
-Obstrucción al flujo de LCR.-Obstrucción al flujo de LCR.
Hipertensión endocraneanaHipertensión endocraneana
CAUSAS :CAUSAS :
Infarto cerebral hemisféricoInfarto cerebral hemisférico
Tumores intracraneanosTumores intracraneanos
Hemorragia intracraneanaHemorragia intracraneana
falla hepatica agudafalla hepatica aguda
Encefalitis ViralEncefalitis Viral
Meningitis y Abcesos intracerebralesMeningitis y Abcesos intracerebrales
TraumaTrauma
HidrocefaliaHidrocefalia
Otras : Pseudotumor cerebralOtras : Pseudotumor cerebral
Tipos de Edema Cerebral:Tipos de Edema Cerebral:
Edema VasogénicoEdema Vasogénico
Edema CitotóxicoEdema Citotóxico
Edema IntersticialEdema Intersticial FISHMANFISHMAN añadeañade
*Principios de Neurología - Adams y Víctor - 7ma Edición*Principios de Neurología - Adams y Víctor - 7ma Edición
KLATZO
Tipos de Edema CerebralTipos de Edema Cerebral
Edema VasogénicoEdema Vasogénico (+ común)(+ común)
Complicación frecuente de:Complicación frecuente de:
 Trauma craneoencefálicoTrauma craneoencefálico
 TumoresTumores
 InfeccionesInfecciones
 InflamaciónInflamación
Edema CitotóxicoEdema Citotóxico
EDEMA CEREBRALEDEMA CEREBRAL
SOGENICOOGENICO
ño endotelial mayor,con pérdida de plasma.
meabilidad vascular aumentada
sma filtrado ,incluyendo proteínas plasmáticas.
mento del extracelular;
rera hematoencefálica rota :puede ser localizada.
cado principalmente en la sustancia blanca.
chazón de los
cesos astrocitarios perivasculares.
El aumento de laEl aumento de la
permeabilidad depermeabilidad de
las célulaslas células
endoteliales de losendoteliales de los
capilares cerebralescapilares cerebrales
para laspara las
macromoléculas.macromoléculas.
EdemaEdema
VasogéniVasogéni
coco
EDEMA CEREBRALEDEMA CEREBRAL
CITOTOXICOCITOTOXICO
Trastorno de la membrana celular: bomba Na+ y K+.Trastorno de la membrana celular: bomba Na+ y K+.
Hinchazón de varias células o sus procesos.Hinchazón de varias células o sus procesos.
Sustancia grisSustancia gris
Extracelular disminuido o cambios mínimos.Extracelular disminuido o cambios mínimos. ..
Alteración menor de la B.H.EAlteración menor de la B.H.E
EDEMA CEREBRALEDEMA CEREBRAL
INTERSTICIAL ( HIDROCEFÁLICO )INTERSTICIAL ( HIDROCEFÁLICO )
•La presión intraventricular hidrodinámicaLa presión intraventricular hidrodinámica
provoca desgarros del epéndimo.provoca desgarros del epéndimo.
•Esencialmente LCR.Esencialmente LCR.
•Extracelular aumentado en S. blanca peri-Extracelular aumentado en S. blanca peri-
ventricular con hinchazón de astrocitos.ventricular con hinchazón de astrocitos.
•Permeabilidad vascular no alterada.Permeabilidad vascular no alterada.
 Elimina productos de desecho de metabolismoElimina productos de desecho de metabolismo
cerebralcerebral
 Ayuda a preservar el ambiente químico estableAyuda a preservar el ambiente químico estable
para las neuronaspara las neuronas
 Volumen intracraneal: 1700 mlVolumen intracraneal: 1700 ml
 Encéfalo: 1200-1400 mlEncéfalo: 1200-1400 ml
 Sangre :Sangre : 150 ml150 ml
 LCR:LCR: 70-160 ml70-160 ml
CirculaciónCirculación
 «Tercera circulación»«Tercera circulación»
 La presión va disminuyendo….La presión va disminuyendo….
 Pulsaciones coroidalesPulsaciones coroidales
El líquidoEl líquido
cerebroespinalcerebroespinal
se infiltra haciase infiltra hacia
los tejidoslos tejidos
periventricularesperiventriculares
HidrocefaliaHidrocefalia
ObstructivaObstructiva
EDEMAEDEMA
INTERSTIINTERSTI
CIALCIAL
*Merritt Neurología – Lewis P. Rowland – 10ma Ed
Aspectos clínicos de laAspectos clínicos de la
Hipertensión EndocraneanaHipertensión Endocraneana
EVOLUCION AGUDAEVOLUCION AGUDA
Cefalea (Cefalea ( frontal, occipitocervical, matutinofrontal, occipitocervical, matutino ))
Vómitos explosivosVómitos explosivos
EDEMA DE PAPILAEDEMA DE PAPILA
Parálisis VI nervio cranealParálisis VI nervio craneal
Compromiso de concienciaCompromiso de conciencia
Respuesta de Cushing : tríadaRespuesta de Cushing : tríada
(HTA, bradicardia, alt. Respiratorias)(HTA, bradicardia, alt. Respiratorias)
Herniaciones cerebrales : SindromesHerniaciones cerebrales : Sindromes
IMAGENEOLOGÍAIMAGENEOLOGÍA
en la Hipertensión Endocraneanaen la Hipertensión Endocraneana
Rx simple:Rx simple: Separación de suturasSeparación de suturas
Impresioness digitiformesImpresioness digitiformes
TomografíaTomografía DILATACION DEL SIST. VENTRICULARDILATACION DEL SIST. VENTRICULAR
Desplazamiento de línea mediaDesplazamiento de línea media
RMNRMN Compresión ventricularCompresión ventricular
Borramientos de surcosBorramientos de surcos
corticalescorticales
Hernias y desplazamientosHernias y desplazamientos
(1) Impresiones cerebriformes o
digitiformes. (2) Diastasis de suturas
craneales
(1) TAC cerebral dilatación de las cavidades ventriculares secundarias
a un astrocitoma. (2)TAC cerebral: hemorragia en núcleos basales con
invasión ventricular
(1) Tumor Quístico del cerebelo con compresión del IV ventrículo con
dilatación del III ventrículo y ventrículos laterales. (2) RM-T2 Tumor
parietal izquierdo y gran edema peritumoral
TRANSTORNO RESPIRATORIOTRANSTORNO RESPIRATORIO
Tipo de respiración:Tipo de respiración: Nivel de injuria:Nivel de injuria:
Cheyne StokesCheyne Stokes DiencefaloDiencefalo
HiperventilaciónHiperventilación MesencefaloMesencefalo
Ataxia respiratoriaAtaxia respiratoria ProtuberanciaProtuberancia
Apnea, paro respiratorioApnea, paro respiratorio BulboBulbo
HERNIACIONESHERNIACIONES
Efecto de masa expansiva intracraneal queEfecto de masa expansiva intracraneal que
ocupa espacio.ocupa espacio.
1.- Hernia del cíngulo.
2.- Hernia transtentorial
central (dicenfálica)
3.- Hernia transtentorial
lateral (uncal)
4.- Hernia cerebelosa
(amigdalar)
HERNIACIONESHERNIACIONES
Hernia del cíngulo:Hernia del cíngulo:
Rara vez produce efectos clínicos, puede comprimir laRara vez produce efectos clínicos, puede comprimir la
Art. cerebral anterior.Art. cerebral anterior.
Hernia tentorial centralHernia tentorial central::
Trastorno conciencia, pupila miótica luegoTrastorno conciencia, pupila miótica luego
moderadamente midriática, parálisis de la miradamoderadamente midriática, parálisis de la mirada
arriba.arriba.
Hernia tentorial lateral:Hernia tentorial lateral:
Trastorno conciencia, parálisis III par, hemiparesiaTrastorno conciencia, parálisis III par, hemiparesia
Hernia amigdala cerebelosa:Hernia amigdala cerebelosa:
Rigidez de nuca, Trastorno Conciencia,Rigidez de nuca, Trastorno Conciencia,
Trastorno Respiratorio: ataxia, apnea y paro respiratorio.Trastorno Respiratorio: ataxia, apnea y paro respiratorio.
TUMOR CEREBRALTUMOR CEREBRAL
Manifestaciones clínicas según topografía de lesiónManifestaciones clínicas según topografía de lesión
Supratentorial:Supratentorial:
Signos focales tempranosSignos focales tempranos
Hipertensión intracraneal tardíaHipertensión intracraneal tardía
Infratentorial:Infratentorial:
Signos de pares craneales y cerebeloSignos de pares craneales y cerebelo
Hipertensión intracraneal tempranaHipertensión intracraneal temprana
Ventricular:Ventricular:
Hipertensión intracraneal tempranaHipertensión intracraneal temprana
HIPERTENSION ENDOCRANEANAHIPERTENSION ENDOCRANEANA
OBSTRUCCION DEL DRENAJE VENOSOOBSTRUCCION DEL DRENAJE VENOSO
Causas:Causas:
-- Trombosis del seno sagital superiorTrombosis del seno sagital superior
- Trombosis del seno lateral- Trombosis del seno lateral
-- Trombosis de la v. yugularTrombosis de la v. yugular
-- Trombosis de la v. cava superiorTrombosis de la v. cava superior
-- Tumor intratoráxicoTumor intratoráxico
-- Insuficiencia cardiaca derechaInsuficiencia cardiaca derecha
TUMORES MAS FRECUENTESTUMORES MAS FRECUENTES
GliomaGlioma : 56 %: 56 %
Glioblastoma (40 %)Glioblastoma (40 %)
Astrocitoma (16 %)Astrocitoma (16 %)
LinfomaLinfoma : 2%: 2%
OtrosOtros : 10 %: 10 %
OligodendrogliomaOligodendroglioma
EpendimomaEpendimoma
MeduloblastomaMeduloblastoma
NeuroblastomaNeuroblastoma
Hipertensión EndocraneanaHipertensión Endocraneana
PRINCIPIOS DEL MANEJO BASICO :PRINCIPIOS DEL MANEJO BASICO :
* Controlar factores que agravan la HEC* Controlar factores que agravan la HEC
Posición de la cabezaPosición de la cabeza
FiebreFiebre
Tos y esfuerzos respiratoriosTos y esfuerzos respiratorios
Presión arterialPresión arterial
Dolor y estímulosDolor y estímulos
Crisis convulsivasCrisis convulsivas
No administrar sustancias hipoosmolaresNo administrar sustancias hipoosmolares
Hipertensión endocraneana :Hipertensión endocraneana :
tratamiento médicotratamiento médico
Terapia hiperosmolarTerapia hiperosmolar
ManitolManitol
Osmolaridad 300-310 , >315 IRA porOsmolaridad 300-310 , >315 IRA por
deshidrataciondeshidratacion
DiuréticosDiuréticos
FurosemidaFurosemida
Hipertensión endocraneana :Hipertensión endocraneana :
tratamiento médicotratamiento médico
HiperventilaciónHiperventilación
Maximo 48 horasMaximo 48 horas
PCO2 – 25 mmHgPCO2 – 25 mmHg
Frecuencia 20/minFrecuencia 20/min
Volumen tidal 12 ml/kgVolumen tidal 12 ml/kg
CorticoidesCorticoides
Hipertensión endocraneana :Hipertensión endocraneana :
tratamiento médicotratamiento médico
Anestesia barbitúricaAnestesia barbitúrica
Pentobarbital 10mg/kg pasar en 30Pentobarbital 10mg/kg pasar en 30
min. Mantenimiento: 1-3 mg/kg/hmin. Mantenimiento: 1-3 mg/kg/h
infusion EVinfusion EV
Swan-Ganz con P cuña 12-14 mmHgSwan-Ganz con P cuña 12-14 mmHg
P.A. generalmente con apoyo deP.A. generalmente con apoyo de
Dopamina. PPC > 70 , PIC < 20Dopamina. PPC > 70 , PIC < 20
Mantener 2-3 dias, retirar 50 % de laMantener 2-3 dias, retirar 50 % de la
infusion c/24 hinfusion c/24 h
Hipertensión endocraneanaHipertensión endocraneana
TRATAMIENTO QUIRÚRGICOTRATAMIENTO QUIRÚRGICO
Drenaje de L C RDrenaje de L C R
Evacuación quirúrgica del volumen adicionalEvacuación quirúrgica del volumen adicional
patológico:patológico: tumores, hematomas, quistes, etc.tumores, hematomas, quistes, etc.
HEMATOMA EPIDURALHEMATOMA EPIDURAL
GRACIAS

Hipertension endocraneana

  • 1.
    HIPERTENSIÓNHIPERTENSIÓN ENDOCRANEANAENDOCRANEANA Dr . EnriqueDoradoDr . Enrique Dorado Intensivista UTIIntensivista UTI Hospital Obrero CNSHospital Obrero CNS Oscar Quispe ChávezOscar Quispe Chávez Residente NeurocirugíaResidente Neurocirugía
  • 2.
    DEFINICIÓNDEFINICIÓN  Elevación sostenidade la PIC por encimaElevación sostenida de la PIC por encima de sus valores normales (0-15 mm HG)de sus valores normales (0-15 mm HG) originada por la ruptura del equilibriooriginada por la ruptura del equilibrio existente entre el cráneo y su contenido.existente entre el cráneo y su contenido.
  • 3.
    Sindrome de hipertensiónendocraneana Presión Intracraneana NormalPresión Intracraneana Normal NiñosNiños<<2a2a 5 mmHg5 mmHg <<5a5a 10 mmHg10 mmHg AdultosAdultos <15 mmHg<15 mmHg P LCR por Punción lumbar: 60-180 mm HP LCR por Punción lumbar: 60-180 mm H22OO anormalanormal >> 200 mm H200 mm H2200
  • 4.
    HIPERTENSION ENDOCRANEANAHIPERTENSION ENDOCRANEANA ValoresValores PIC normalPIC normal :: 0 - 10 mm Hg.0 - 10 mm Hg.  PIC límite máximoPIC límite máximo :: 10 - 20 mm Hg.10 - 20 mm Hg.  HTE moderadaHTE moderada :: > 20 mm Hg.> 20 mm Hg.  HTE severaHTE severa :: > 40 mm Hg.> 40 mm Hg.
  • 5.
    HIPERTENSION ENDOCRANEANAHIPERTENSION ENDOCRANEANA MecanismosMecanismos HTEHTE Edema: -Citotóxico - Vasogénico Comprensión de arteriolas - Isquemia - Hipoxia - Alteración BHE
  • 6.
    HIPERTENSION ENDOCRANEANAHIPERTENSION ENDOCRANEANA MecanismosMecanismos HTEHTE LCR: Volumen  Presión LCR : - Obstrucción del flujo. - Alteración de la absorción
  • 7.
    HIPERTENSION ENDOCRANEANAHIPERTENSION ENDOCRANEANA MecanismosMecanismos HTEHTE Presión venosa central Obstrucción drenaje venoso de salida Estasis venoso
  • 8.
  • 9.
     Cualquier incrementodel contenido de laCualquier incremento del contenido de la cavidad craneana eleva la presióncavidad craneana eleva la presión intracranealintracraneal  Teoría de Monroe-KellieTeoría de Monroe-Kellie  Aumento de volumen de los 3Aumento de volumen de los 3 componentes debe ser a expensas de loscomponentes debe ser a expensas de los otros dosotros dos
  • 10.
    COMPARTIMIENTOSCOMPARTIMIENTOS INTRACRANEALESINTRACRANEALES Volumen ENCEFALICOVolumen ENCEFALICO 80%80 % SangreSangre 10 %10 % LCRLCR 10%10% NormalNormal PIC normalPIC normal CompensadoCompensado HE MA TO MA DescompensadoDescompensado PIC aumentadaPIC aumentada HEMAHEMA TOMATOMA
  • 11.
    Flujo sanguíneo cerebralyFlujo sanguíneo cerebral y Presión intracraneanaPresión intracraneana  El cerebro consume un 15 % del gastoEl cerebro consume un 15 % del gasto cardíaco, necesita 45-55 ML/100cardíaco, necesita 45-55 ML/100 gg DEDE CEREBRO/MINCEREBRO/MIN  Los Cambios del FSC son importantes paraLos Cambios del FSC son importantes para determinar la PICdeterminar la PIC  La disminución del FSC es la vía final delLa disminución del FSC es la vía final del daño cerebral por aumento de la PICdaño cerebral por aumento de la PIC
  • 12.
    HIPERTENSION ENDOCRANEANAHIPERTENSION ENDOCRANEANA Autoregulacióndel flujo sanguineo cerebralAutoregulación del flujo sanguineo cerebral  La circulación cerebraltiene tres sitiosLa circulación cerebraltiene tres sitios fundamentales de resistencia:fundamentales de resistencia: Las grandes arterias (39mm de Hg)Las grandes arterias (39mm de Hg) los vasos piales (21 mm de Hg)los vasos piales (21 mm de Hg) las venas (40 mm de Hg), similar a las arterias,las venas (40 mm de Hg), similar a las arterias, aspectos que determinan las respuestasaspectos que determinan las respuestas fisiológicas.fisiológicas.
  • 13.
    Gráfico de relaciónvolumen-presión.Gráfico de relación volumen-presión.  HIPERTENSION ENDOCRANEANAHIPERTENSION ENDOCRANEANA
  • 14.
     Los ajustesfisiológicos restablecenLos ajustes fisiológicos restablecen temporalmente la PPC y tienen unatemporalmente la PPC y tienen una acción limitada, ya que al aumentar elacción limitada, ya que al aumentar el VSC, producen nuevo aumento de la PIC.VSC, producen nuevo aumento de la PIC.
  • 16.
    5050 150150100100 Presión mmHgPresión mm Hg 100100 5050 FSCFSC ml/100gr/mml/100gr/m PaO2PaO2 PAMPAM PaCO2PaCO2 FLUJO SANGUINEO CEREBRALFLUJO SANGUINEO CEREBRAL
  • 17.
    100 200 % FSC normal 0 100 200 Presiónarterial mmHg AUTOREGULACION DEL FSCAUTOREGULACION DEL FSC rango entre 50 y 150 mm Hgrango entre 50 y 150 mm Hg
  • 18.
    Flujo sanguíneo cerebralyFlujo sanguíneo cerebral y Presión intracraneanaPresión intracraneana PPCPPC == PAM - PICPAM - PIC PAM - PICPAM - PIC RVCRVC F S CF S C ==
  • 19.
    FACTORES QUE MODIFICANEL FSCFACTORES QUE MODIFICAN EL FSC Aumenta Disminuye Hiperemia Hipert. Endocraneal Hipoventilación Hiperventilación Hipertermia Hipovolemia Hipoxia HIPOTENSION Dolor Hipotermia Convulsiones > de presion itratoraxica
  • 20.
    Trastornos que producenHipertensión EndocraneanaTrastornos que producen Hipertensión Endocraneana Volumen cerebral aumentadoVolumen cerebral aumentado - Lesiones ocupantes de espacioLesiones ocupantes de espacio como hematomas epidurales ycomo hematomas epidurales y subdurales, tumores, abscesos osubdurales, tumores, abscesos o aneurismas.aneurismas. - Edema cerebral relacionado conEdema cerebral relacionado con traumatimo craneano, parotraumatimo craneano, paro cardiorrespiratorio ycardiorrespiratorio y encefalopatías toxicas.encefalopatías toxicas. Volumen sanguíneo aumentadoVolumen sanguíneo aumentado - Obstrucción del sistema venoso.Obstrucción del sistema venoso. - Hipercapnia - hiperemiaHipercapnia - hiperemia - Estados de enfermedadEstados de enfermedad asociadas con aumento deasociadas con aumento de volumen sanguíneovolumen sanguíneo Aumento del LCRAumento del LCR -Producción aumentada de LCR.-Producción aumentada de LCR. -Absorción disminuida de LCR.-Absorción disminuida de LCR. -Obstrucción al flujo de LCR.-Obstrucción al flujo de LCR.
  • 21.
    Hipertensión endocraneanaHipertensión endocraneana CAUSAS:CAUSAS : Infarto cerebral hemisféricoInfarto cerebral hemisférico Tumores intracraneanosTumores intracraneanos Hemorragia intracraneanaHemorragia intracraneana falla hepatica agudafalla hepatica aguda Encefalitis ViralEncefalitis Viral Meningitis y Abcesos intracerebralesMeningitis y Abcesos intracerebrales TraumaTrauma HidrocefaliaHidrocefalia Otras : Pseudotumor cerebralOtras : Pseudotumor cerebral
  • 22.
    Tipos de EdemaCerebral:Tipos de Edema Cerebral: Edema VasogénicoEdema Vasogénico Edema CitotóxicoEdema Citotóxico Edema IntersticialEdema Intersticial FISHMANFISHMAN añadeañade *Principios de Neurología - Adams y Víctor - 7ma Edición*Principios de Neurología - Adams y Víctor - 7ma Edición KLATZO
  • 23.
    Tipos de EdemaCerebralTipos de Edema Cerebral Edema VasogénicoEdema Vasogénico (+ común)(+ común) Complicación frecuente de:Complicación frecuente de:  Trauma craneoencefálicoTrauma craneoencefálico  TumoresTumores  InfeccionesInfecciones  InflamaciónInflamación Edema CitotóxicoEdema Citotóxico
  • 24.
    EDEMA CEREBRALEDEMA CEREBRAL SOGENICOOGENICO ñoendotelial mayor,con pérdida de plasma. meabilidad vascular aumentada sma filtrado ,incluyendo proteínas plasmáticas. mento del extracelular; rera hematoencefálica rota :puede ser localizada. cado principalmente en la sustancia blanca. chazón de los cesos astrocitarios perivasculares.
  • 25.
    El aumento delaEl aumento de la permeabilidad depermeabilidad de las célulaslas células endoteliales de losendoteliales de los capilares cerebralescapilares cerebrales para laspara las macromoléculas.macromoléculas. EdemaEdema VasogéniVasogéni coco
  • 26.
    EDEMA CEREBRALEDEMA CEREBRAL CITOTOXICOCITOTOXICO Trastornode la membrana celular: bomba Na+ y K+.Trastorno de la membrana celular: bomba Na+ y K+. Hinchazón de varias células o sus procesos.Hinchazón de varias células o sus procesos. Sustancia grisSustancia gris Extracelular disminuido o cambios mínimos.Extracelular disminuido o cambios mínimos. .. Alteración menor de la B.H.EAlteración menor de la B.H.E
  • 28.
    EDEMA CEREBRALEDEMA CEREBRAL INTERSTICIAL( HIDROCEFÁLICO )INTERSTICIAL ( HIDROCEFÁLICO ) •La presión intraventricular hidrodinámicaLa presión intraventricular hidrodinámica provoca desgarros del epéndimo.provoca desgarros del epéndimo. •Esencialmente LCR.Esencialmente LCR. •Extracelular aumentado en S. blanca peri-Extracelular aumentado en S. blanca peri- ventricular con hinchazón de astrocitos.ventricular con hinchazón de astrocitos. •Permeabilidad vascular no alterada.Permeabilidad vascular no alterada.
  • 29.
     Elimina productosde desecho de metabolismoElimina productos de desecho de metabolismo cerebralcerebral  Ayuda a preservar el ambiente químico estableAyuda a preservar el ambiente químico estable para las neuronaspara las neuronas  Volumen intracraneal: 1700 mlVolumen intracraneal: 1700 ml  Encéfalo: 1200-1400 mlEncéfalo: 1200-1400 ml  Sangre :Sangre : 150 ml150 ml  LCR:LCR: 70-160 ml70-160 ml
  • 30.
    CirculaciónCirculación  «Tercera circulación»«Terceracirculación»  La presión va disminuyendo….La presión va disminuyendo….  Pulsaciones coroidalesPulsaciones coroidales
  • 31.
    El líquidoEl líquido cerebroespinalcerebroespinal seinfiltra haciase infiltra hacia los tejidoslos tejidos periventricularesperiventriculares HidrocefaliaHidrocefalia ObstructivaObstructiva EDEMAEDEMA INTERSTIINTERSTI CIALCIAL
  • 32.
    *Merritt Neurología –Lewis P. Rowland – 10ma Ed
  • 33.
    Aspectos clínicos delaAspectos clínicos de la Hipertensión EndocraneanaHipertensión Endocraneana EVOLUCION AGUDAEVOLUCION AGUDA Cefalea (Cefalea ( frontal, occipitocervical, matutinofrontal, occipitocervical, matutino )) Vómitos explosivosVómitos explosivos EDEMA DE PAPILAEDEMA DE PAPILA Parálisis VI nervio cranealParálisis VI nervio craneal Compromiso de concienciaCompromiso de conciencia Respuesta de Cushing : tríadaRespuesta de Cushing : tríada (HTA, bradicardia, alt. Respiratorias)(HTA, bradicardia, alt. Respiratorias) Herniaciones cerebrales : SindromesHerniaciones cerebrales : Sindromes
  • 36.
    IMAGENEOLOGÍAIMAGENEOLOGÍA en la HipertensiónEndocraneanaen la Hipertensión Endocraneana Rx simple:Rx simple: Separación de suturasSeparación de suturas Impresioness digitiformesImpresioness digitiformes TomografíaTomografía DILATACION DEL SIST. VENTRICULARDILATACION DEL SIST. VENTRICULAR Desplazamiento de línea mediaDesplazamiento de línea media RMNRMN Compresión ventricularCompresión ventricular Borramientos de surcosBorramientos de surcos corticalescorticales Hernias y desplazamientosHernias y desplazamientos
  • 37.
    (1) Impresiones cerebriformeso digitiformes. (2) Diastasis de suturas craneales
  • 38.
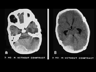
    (1) TAC cerebraldilatación de las cavidades ventriculares secundarias a un astrocitoma. (2)TAC cerebral: hemorragia en núcleos basales con invasión ventricular
  • 39.
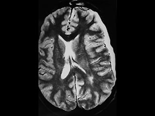
    (1) Tumor Quísticodel cerebelo con compresión del IV ventrículo con dilatación del III ventrículo y ventrículos laterales. (2) RM-T2 Tumor parietal izquierdo y gran edema peritumoral
  • 42.
    TRANSTORNO RESPIRATORIOTRANSTORNO RESPIRATORIO Tipode respiración:Tipo de respiración: Nivel de injuria:Nivel de injuria: Cheyne StokesCheyne Stokes DiencefaloDiencefalo HiperventilaciónHiperventilación MesencefaloMesencefalo Ataxia respiratoriaAtaxia respiratoria ProtuberanciaProtuberancia Apnea, paro respiratorioApnea, paro respiratorio BulboBulbo
  • 43.
    HERNIACIONESHERNIACIONES Efecto de masaexpansiva intracraneal queEfecto de masa expansiva intracraneal que ocupa espacio.ocupa espacio. 1.- Hernia del cíngulo. 2.- Hernia transtentorial central (dicenfálica) 3.- Hernia transtentorial lateral (uncal) 4.- Hernia cerebelosa (amigdalar)
  • 44.
    HERNIACIONESHERNIACIONES Hernia del cíngulo:Herniadel cíngulo: Rara vez produce efectos clínicos, puede comprimir laRara vez produce efectos clínicos, puede comprimir la Art. cerebral anterior.Art. cerebral anterior. Hernia tentorial centralHernia tentorial central:: Trastorno conciencia, pupila miótica luegoTrastorno conciencia, pupila miótica luego moderadamente midriática, parálisis de la miradamoderadamente midriática, parálisis de la mirada arriba.arriba. Hernia tentorial lateral:Hernia tentorial lateral: Trastorno conciencia, parálisis III par, hemiparesiaTrastorno conciencia, parálisis III par, hemiparesia Hernia amigdala cerebelosa:Hernia amigdala cerebelosa: Rigidez de nuca, Trastorno Conciencia,Rigidez de nuca, Trastorno Conciencia, Trastorno Respiratorio: ataxia, apnea y paro respiratorio.Trastorno Respiratorio: ataxia, apnea y paro respiratorio.
  • 45.
    TUMOR CEREBRALTUMOR CEREBRAL Manifestacionesclínicas según topografía de lesiónManifestaciones clínicas según topografía de lesión Supratentorial:Supratentorial: Signos focales tempranosSignos focales tempranos Hipertensión intracraneal tardíaHipertensión intracraneal tardía Infratentorial:Infratentorial: Signos de pares craneales y cerebeloSignos de pares craneales y cerebelo Hipertensión intracraneal tempranaHipertensión intracraneal temprana Ventricular:Ventricular: Hipertensión intracraneal tempranaHipertensión intracraneal temprana
  • 46.
    HIPERTENSION ENDOCRANEANAHIPERTENSION ENDOCRANEANA OBSTRUCCIONDEL DRENAJE VENOSOOBSTRUCCION DEL DRENAJE VENOSO Causas:Causas: -- Trombosis del seno sagital superiorTrombosis del seno sagital superior - Trombosis del seno lateral- Trombosis del seno lateral -- Trombosis de la v. yugularTrombosis de la v. yugular -- Trombosis de la v. cava superiorTrombosis de la v. cava superior -- Tumor intratoráxicoTumor intratoráxico -- Insuficiencia cardiaca derechaInsuficiencia cardiaca derecha
  • 47.
    TUMORES MAS FRECUENTESTUMORESMAS FRECUENTES GliomaGlioma : 56 %: 56 % Glioblastoma (40 %)Glioblastoma (40 %) Astrocitoma (16 %)Astrocitoma (16 %) LinfomaLinfoma : 2%: 2% OtrosOtros : 10 %: 10 % OligodendrogliomaOligodendroglioma EpendimomaEpendimoma MeduloblastomaMeduloblastoma NeuroblastomaNeuroblastoma
  • 48.
    Hipertensión EndocraneanaHipertensión Endocraneana PRINCIPIOSDEL MANEJO BASICO :PRINCIPIOS DEL MANEJO BASICO : * Controlar factores que agravan la HEC* Controlar factores que agravan la HEC Posición de la cabezaPosición de la cabeza FiebreFiebre Tos y esfuerzos respiratoriosTos y esfuerzos respiratorios Presión arterialPresión arterial Dolor y estímulosDolor y estímulos Crisis convulsivasCrisis convulsivas No administrar sustancias hipoosmolaresNo administrar sustancias hipoosmolares
  • 49.
    Hipertensión endocraneana :Hipertensiónendocraneana : tratamiento médicotratamiento médico Terapia hiperosmolarTerapia hiperosmolar ManitolManitol Osmolaridad 300-310 , >315 IRA porOsmolaridad 300-310 , >315 IRA por deshidrataciondeshidratacion DiuréticosDiuréticos FurosemidaFurosemida
  • 50.
    Hipertensión endocraneana :Hipertensiónendocraneana : tratamiento médicotratamiento médico HiperventilaciónHiperventilación Maximo 48 horasMaximo 48 horas PCO2 – 25 mmHgPCO2 – 25 mmHg Frecuencia 20/minFrecuencia 20/min Volumen tidal 12 ml/kgVolumen tidal 12 ml/kg CorticoidesCorticoides
  • 51.
    Hipertensión endocraneana :Hipertensiónendocraneana : tratamiento médicotratamiento médico Anestesia barbitúricaAnestesia barbitúrica Pentobarbital 10mg/kg pasar en 30Pentobarbital 10mg/kg pasar en 30 min. Mantenimiento: 1-3 mg/kg/hmin. Mantenimiento: 1-3 mg/kg/h infusion EVinfusion EV Swan-Ganz con P cuña 12-14 mmHgSwan-Ganz con P cuña 12-14 mmHg P.A. generalmente con apoyo deP.A. generalmente con apoyo de Dopamina. PPC > 70 , PIC < 20Dopamina. PPC > 70 , PIC < 20 Mantener 2-3 dias, retirar 50 % de laMantener 2-3 dias, retirar 50 % de la infusion c/24 hinfusion c/24 h
  • 52.
    Hipertensión endocraneanaHipertensión endocraneana TRATAMIENTOQUIRÚRGICOTRATAMIENTO QUIRÚRGICO Drenaje de L C RDrenaje de L C R Evacuación quirúrgica del volumen adicionalEvacuación quirúrgica del volumen adicional patológico:patológico: tumores, hematomas, quistes, etc.tumores, hematomas, quistes, etc.
  • 53.
  • 55.

Notas del editor

  • #23 Klatzo.- neuropatologo Fishman.- neurologo pediatra
  • #26 Algunas de estas prolongaciones están en contacto con un vaso sanguíneo (capilar) formando podocitos (también llamados procesos pediculares o pies perivasculares), o también pueden rodear las sinapsis nerviosas. Albumina.- El rango normal es de 3.4 a 5.4 gramos por decilitro (g/dL). Inulina.- glucido en tuberculos
  • #31 Ventriculos laterales Agujero de monroe Tercer ventriculo Acueducto de silvio Cuarto vendrituculo Agujeros de luschka y magendie Base de bulbo espacios perobulbar y periespinal Sentido ascendente a cisterna de tallo encefalico Espacio subaracnoideo en seno frontal
  • #32 Los ventriculos laterales están conectados al tercer ventrículo a través del orificio interventricular o de Monro(entre la columna del fórnix y el extremo rostral y medial del tálamo). El tercer ventrículo es una delgada cavidad aplanada situada entre los tálamos y atravesada por la comisura intertalámica. Está conectado con el cuarto ventrículo a través del acueducto cerebral o Silviano. Finalmente el cuarto ventrículo está situado entre el tronco cerebral y el cerebelo. Del cuarto ventrículo sale el líquido cefalorraquídeo (LCR) al espacio subaracnoideo a través de los agujeros de Luschka y el agujero de Magendie. En caso de obstrucción del acueducto de Silvio, el ultrafiltrado se acumula en los ventrículos laterales, produciéndose hidrocefalia. obstructiva (no comunicante): es producida por un bloqueo proximal a las granulaciones aracnoidales (GA). En la TC o la RM, se observa dilatación de los ventrículos proximales al bloqueo (p. ej., obstrucción del acueducto de Silvio —&amp;gt; dilatación desproporcionada del tercer ventrículo y de los ventrículos laterales en relación con el cuarto ventrículo, denominada &amp;quot;hidrocefalia triventricular&amp;quot;)2. no obstructiva (comunicante): la circulación del LCR está bloqueada en las cisternas circunpedunculares, la reabsorción del LCR está entorpecida a nivel de las GA o hay hiperproducción de LCR. Hidrocefalia tetraventricular.