EXANTEMAS EN
PEDIATRIA

   Jaione agirrezabal morgaetxebarria
                          Pac zarautz
                            2012-06-19
DEFINICION
► Erupción eritematosa difusa en la piel
► Extensión y distribución variable
► Habitualmente autolimitado
► Formado por amplia variedad morfológica de lesiones
       Eritematosas
       Purpúricas
       Maculares
       Papulares
       Vesiculares
       Pustulosas
CAUSAS
►   Agentes infecciosos: Virus y toxinas bacterianas

►   Medicamentos

►   Enfermedades inflamatorias

►   Efecto esperado de algunas vacunas virales (Sarampion,
    Rubeola, Parotiditis)
CUANDO URGE DIAGNOSTICO
► Peligra la vida del paciente → Enf. Meningocócica
                             → Enf. Kawasaki


► Emergencia epidemiológica → Sarampion


► Riesgo para los contactos → Eritema infeccioso


► Se requiere tratamiento específico → Escarlatina
                                    → Enf. Kawasaki
SARAMPION (1ª ENF)
► Familia Paramyxovirus, género Morbilivirus
► Incubación 10-14 d. Transmisión respiratoria
► Población de riesgo: Niños no vacunados/mal vacunados
► Clínica:
      Pródromos: Coriza + tos + conjuntivitis. Fiebre
      Manchas de Koplik
      Rash generalizado maculopapular confluente
► Complicaciones:
    Otitis media, Bronconeumonía, Encefalitis, Miocarditis, Pericarditis…
►   Tratamiento: Sintomático. Vit A, Atb (penicilina, clotrimoxazol)
►   Vacunación triple vírica. Notificación urgente
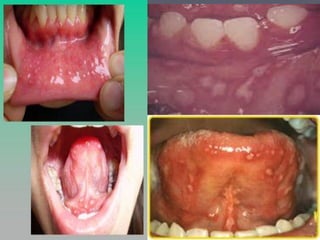
ESCARLATINA (2ª ENF)
►   Streptococo del serogrupo A

►   Clínica:
     Dolor garganta (amigdalitis estreptocócica + lengua en frambuesa)
     Fiebre
     Exantema micropapular a las 24-48h (papel de lija) desde cara,
      tronco superior hacia abajo. Lineas de Pastia. Remite en 6-9 d


►   Tratamiento atb: Penicilina o Amoxicilina. Macrólidos.
RUBEOLA (3ª ENF)
►   Familia Togaviridae, género Rubivirus
►   Incubación 14-21d. Transmisión aérea y fomites. (7-7)
►   Clínica:
     Pródromo: Febrícula, cefalea, malestar gral, tos, coriza…
     Afectación mucosa:
        ► Oral:Signo de Forscheimer
        ► Ocular: Inyección conjuntival
     Exantema maculopapular, distribución cefalo-caudal, duración 1-5d
     Adenopatías (retroauriculares, cervicales, suboccipitales)
     % subclínicos
►   Sd de rubeola congénita: Cataratas, Cardiopatía, Sordera
►   Dg con sospecha clínica y serología. Tto sintomático
DIAGNOSTICO DIFERENCIAL
La erupción de la ESCARLATINA es más áspera al
tacto, no aparece alrededor de la boca, y al palidecer,
aparece una descamación de la piel muy importante.
Además es mucho más pequeña que la del Sarampión
y aparece al 2º día de la fiebre y del dolor de garganta,
mientras que en el SARAMPION sale después de 4
días y con síntomas como de resfriado, con estornudos
y lagrimeo. En la RUBEOLA sale ya el 1er día y hay
poca fiebre.
ERITEMA INFECCIOSO (5ª ENF)
► Parvovirus B19. Incubación 4-10 d. Invierno y Primavera.
► Transmisión aérea y transplacentaria
► Cuadros clínicos
     Eritema Infeccioso. Niños. Exantema maculopapular bifásico.
      Curso fluctuante durante sem.
     Sd papulopurpúrico en guante y calcetín. Adolescentes y
      adultos jovenes. Eritema simétrico y edema de manos y pies →
      petequial. Artralgias
►   Cuadro banal, resolución espontanea, tto sintomático
►   No precisa aislamiento (>riesgo previo al exantema)
►   Población riesgo: - Embarazadas
                      - Inmunocomprometidos (tx)
                      - Pacientes con sobrevida eritrocitaria
                        acortada (talasemia)
EXANTEMA SUBITO (6ª ENF)
►   Herpes virus Humano 6 (7). P. Incubación 7-15 d
►   1era infancia: 6m-3a
►   Clínica:
     Fiebre alta 3-5d con BEG. Convulsiones febriles
     Descenso brusco de Tª + Rash maculoso rosa pálido st cuello y
      tronco. Desaparición espontanea en horas/1 o 2d
     Enantema → Pápulas rojas en paladar blando y úvula (Manchas de
      Nagayama). Ulceras en úvula, paladar o lengua.
►   No precisa tto específico (antitérmicos)
►   No precisa aislamiento
MONONUCLEOSIS INFECCIOSA
►   VEB (niños pequeños) / CMV (adolescentes)
►   Clínica:
     Sd Mononucleosido → Triada: - Fiebre
                                      - Linfadenopatía
                                      - Faringitis
     Exantema sinérgico papular rojo púrpura/cobrizo tras ingesta de
      atb (ampicilina, amoxicilina, betalactámicos). Tronco, cara, EEs.
      Prurito.
►   Tratamiento → Medidas de sostén con reposo y analgesia.
►   Evitar exceso de actividad física 1er mes (rotura esplénica)
ERITEMA MULTIFORME/POLIMORFO
►   Patológía aguda de carácter inmunológico (reacción HiperS)
►   Factores inductores
       Infecciones: >90%. VHS + frec
       Fármacos: Sulfamidas, Penicilina. 2-3 sem posterior al inicio del tto
       Neoplasias
       Enf. Autoinmunes
       Factores Hormonales
►   Lesiones en diana (iris) características, simétricas,
    superficies extensoras de EE, cara, cuello, tronco, palmas,
    plantas. Grados variables de prurito.
►   Tipos:
     EM Mayor → Erosiones/ampollas en mucosas (oral,genital,ocular)
     EM Minor → Mucosas respetadas
►   Tratamiento: Evitar desencadenantes, antiH1 oral, cc
PITIRIASIS ROSADA DE GILBERT
►   Causa desconocida. Sospecha VHH6 y VHH7
►   Niños y adultos jóvenes (10-35a, ♀). Primavera y Otoño.
►   Inmunidad de x vida
►   Clínica:
     Pródromos: Fiebre moderada, malestar gral, cefalea, artralgias
     Placa heraldo o madre en pecho o espalda (2-6cm anular)
     Erupción 2ª papuloescamosa al de días-sem. Poco pruriginosa.
      Resolución espontanea en 2-12sem sin lesiones permanentes.
►   Tratamiento dirigido a aliviar prurito → Antihistamínicos
    orales, glucocorticoides tópicos de potencia media.
VARICELA
►   Virus Varicela-Zoster. Muy contagioso.
►   P. incubación 10-21d. Niños 5-9a >frec
►   Contagiosos → 48h previo exantema,durante formación
    vesículas (4-5d), fase costra
►   Clínica:
     Exantema maculopapular + vesículas + costras. Estadíos #
     Lesiones mucosa faringea y vaginal
     Febrícula, malestar
►   Complicaciones:
     Frec → Sobreinfección bacteriana (Strept pyogenes, Staph au)
     Graves → Neumonía x Varicela (frec en adultos, + grave embarazo)
             → Varicela perinatal (↑ mortalidad 5d pre – 48h post)

►   Tratamiento: Evitar complicaciones. Prurito
ENF. MANO-PIE-BOCA
►   Virus Coxackie A16 o Enterovirus 71
►   P. Incubación 4-6d. Muy contagiosa
►   Clínica:
     Prodromo leve/ausente → Fiebre, anorexia, malestar
     Lesiones orales → Dolor de garganta, vesículas en mucosa de mejilla
      y lengua
     Lesiones cutáneas → Vesiculopústulas blanco grisaceas elípticas en
      palmas y plantas, tb gluteos y genitales. Asintomáticas/prurito.
      Resolución en 3-7d sin dejar cicatriz.
► Pronóstico favorable
► Complicación de la infección x Coxackie: Miocarditis,
  Neumonía, Meningoencefalitis
HERPANGINA
►   Erupción bucal causada x virus Coxackie A
►   Prevalencia estacional
►   Clínica:
     Fiebre de comienzo agudo
     Faringitis, disfagia
     Lesiones papulovesiculosas en cavidad oral posterior (sem), sin
      gingivitis
     Síntomas sistémicos moderados
►   Autolimitado
►   Gingivoestomatitis herpética → Ulceras múltiples
    superficiales generalizadas. Gingivitis marginal intensa.
SD DE GIANOTTI-CROSTI
► Enf. Cutanea reactiva a infección viral (CMV, EBV)
► Edad preescolar (1-6a). Primavera y Verano
► Clínica:
     BEG o síntomas constitucionales escasos.
     Linfadenopatías inguinales y axilares
     Lesiones papulares/papulovesiculares en mejillas, gluteos, EEs
      simétricas. Pueden ser pruriginosas.
►   Duración del cuadro 2-4 sem (excepc. 2m), remite con
    descamación
►   Tratamiento sintomático si precisa: antihistamínicos,
    metilprednisolona (1mg/Kg/d).
EAHI / ENF. DE FINKELSTEIN
►   Vasculitis leucocitoclástica de pequeños vasos
►   Edad 4m-2a (discreto predominio ♂)
►   Enf. mediada x complejos inmunes, etiología desconocida
►   Antecd → Infecciones de tracto resp sup, tracto urinario;
    exposición a Fs (atb, antiinflamatorios); inmunizaciones
    recientes; agentes infecciosos…
►   Clínica:
     Tríada → Lesiones equimóticas + Fiebre + edema simétrico
     Contraste entre aparente gravedad del cuadro y BEG del niño
►   Curso benigno, resolución espontanea (1-3 sem)
►   Tratamiento sintomático
►   Diagnóstico diferencial → Púrpura Shönlein Henoch; Eritema
    Multiforme; Sd del niño maltratado, Sepsis Meningocócica;
    Púrpura fúlminans, Enf de Kawasaki

              EAHI                             PSH
Edad         3m – 2a                         2a – 11a


Lesiones      Petéquias; Púrpura             Habones; Petequias; Púrpura
cutáneas      palpable; Edema distal         palpable y edema en superf.
              de EE, palpebral y             extensora de EEs (excep.
              escrotal. Lesiones             escrotal)
              hemorrágicas en escarapela
Síntomas      Febrícula                      Artralgias; Hematuria/proteinuria;
acompañ.                                     abdominalgias; Hemorragia GI…


Biopsia       Vasculitis leucocitoclástica   Vasculitis leucocitoclástica
ENF. DE KAWASAKI
►   Causa desconocida. 80% en <5a (frec max ≤2a)
►   Criterios clínicos (5/6):
       Fiebre ≥5d
       Conjuntivitis bilateral sin secreción
       Aftas orales, lengua aframbuesada, labios intensamente rojos
       Alts en EEs: eritema, edema duro o descamación
       Eritema polimorfo (cualquier exantema) tronco y EE
       Adenopatía cervical >1,5cm
►   Importancia del dg:
     Riesgo vital (mortalidad global varía de 0,5-2,8%)
     Secuelas graves
     Tto precoz evita secuelas cardíacas graves
►   Tratamiento → Ganmaglobulina ev + AAS
MENINGOCOCCEMIA
►   Patógenos + frec → Strept. Pneumoniae(50%), Neisseria
                      Meningitidis (25%)
►   Clínica:
       Tríada clásica: Fiebre + Cefalea + Rigidez de nuca
       >75% ↓ nivel de consciencia
       Síntomas comunes: Nauseas, vómitos, fotofobia
       Máculas eritematosas difusas que rapidamente se transforman en
        petequias, en tronco y EEs pélvicas
►   Urgencia médica
APROXIMACION DG ETIOLOGICO
►   ¿Qué debo averiguar?
       Edad
       Síntomas previos, pródromos, orden de aparición
       Síntomas concomitantes con el exantema
       Tiempo y forma de aparición del exantema
       Antcd. de exposición a otros enfermos, alérgenos, Fs, animales…
       Prurito…
►   ¿Qué debo observar?
       Características del exantema: morfología, distribución, nº, tamaño..
       Aspecto general del individuo
       Síntomas asociados
       Síntomas vitales
       Presencia de adenopatías
       Afectación de mucosas
       Signos por aparatos
Eskerrik asko

Exantemas en pediatría

  • 1.
    EXANTEMAS EN PEDIATRIA Jaione agirrezabal morgaetxebarria Pac zarautz 2012-06-19
  • 3.
    DEFINICION ► Erupción eritematosadifusa en la piel ► Extensión y distribución variable ► Habitualmente autolimitado ► Formado por amplia variedad morfológica de lesiones  Eritematosas  Purpúricas  Maculares  Papulares  Vesiculares  Pustulosas
  • 6.
    CAUSAS ► Agentes infecciosos: Virus y toxinas bacterianas ► Medicamentos ► Enfermedades inflamatorias ► Efecto esperado de algunas vacunas virales (Sarampion, Rubeola, Parotiditis)
  • 7.
    CUANDO URGE DIAGNOSTICO ►Peligra la vida del paciente → Enf. Meningocócica → Enf. Kawasaki ► Emergencia epidemiológica → Sarampion ► Riesgo para los contactos → Eritema infeccioso ► Se requiere tratamiento específico → Escarlatina → Enf. Kawasaki
  • 8.
    SARAMPION (1ª ENF) ►Familia Paramyxovirus, género Morbilivirus ► Incubación 10-14 d. Transmisión respiratoria ► Población de riesgo: Niños no vacunados/mal vacunados ► Clínica:  Pródromos: Coriza + tos + conjuntivitis. Fiebre  Manchas de Koplik  Rash generalizado maculopapular confluente ► Complicaciones: Otitis media, Bronconeumonía, Encefalitis, Miocarditis, Pericarditis… ► Tratamiento: Sintomático. Vit A, Atb (penicilina, clotrimoxazol) ► Vacunación triple vírica. Notificación urgente
  • 14.
    ESCARLATINA (2ª ENF) ► Streptococo del serogrupo A ► Clínica:  Dolor garganta (amigdalitis estreptocócica + lengua en frambuesa)  Fiebre  Exantema micropapular a las 24-48h (papel de lija) desde cara, tronco superior hacia abajo. Lineas de Pastia. Remite en 6-9 d ► Tratamiento atb: Penicilina o Amoxicilina. Macrólidos.
  • 16.
    RUBEOLA (3ª ENF) ► Familia Togaviridae, género Rubivirus ► Incubación 14-21d. Transmisión aérea y fomites. (7-7) ► Clínica:  Pródromo: Febrícula, cefalea, malestar gral, tos, coriza…  Afectación mucosa: ► Oral:Signo de Forscheimer ► Ocular: Inyección conjuntival  Exantema maculopapular, distribución cefalo-caudal, duración 1-5d  Adenopatías (retroauriculares, cervicales, suboccipitales)  % subclínicos ► Sd de rubeola congénita: Cataratas, Cardiopatía, Sordera ► Dg con sospecha clínica y serología. Tto sintomático
  • 19.
    DIAGNOSTICO DIFERENCIAL La erupciónde la ESCARLATINA es más áspera al tacto, no aparece alrededor de la boca, y al palidecer, aparece una descamación de la piel muy importante. Además es mucho más pequeña que la del Sarampión y aparece al 2º día de la fiebre y del dolor de garganta, mientras que en el SARAMPION sale después de 4 días y con síntomas como de resfriado, con estornudos y lagrimeo. En la RUBEOLA sale ya el 1er día y hay poca fiebre.
  • 20.
    ERITEMA INFECCIOSO (5ªENF) ► Parvovirus B19. Incubación 4-10 d. Invierno y Primavera. ► Transmisión aérea y transplacentaria ► Cuadros clínicos  Eritema Infeccioso. Niños. Exantema maculopapular bifásico. Curso fluctuante durante sem.  Sd papulopurpúrico en guante y calcetín. Adolescentes y adultos jovenes. Eritema simétrico y edema de manos y pies → petequial. Artralgias ► Cuadro banal, resolución espontanea, tto sintomático ► No precisa aislamiento (>riesgo previo al exantema) ► Población riesgo: - Embarazadas - Inmunocomprometidos (tx) - Pacientes con sobrevida eritrocitaria acortada (talasemia)
  • 25.
    EXANTEMA SUBITO (6ªENF) ► Herpes virus Humano 6 (7). P. Incubación 7-15 d ► 1era infancia: 6m-3a ► Clínica:  Fiebre alta 3-5d con BEG. Convulsiones febriles  Descenso brusco de Tª + Rash maculoso rosa pálido st cuello y tronco. Desaparición espontanea en horas/1 o 2d  Enantema → Pápulas rojas en paladar blando y úvula (Manchas de Nagayama). Ulceras en úvula, paladar o lengua. ► No precisa tto específico (antitérmicos) ► No precisa aislamiento
  • 28.
    MONONUCLEOSIS INFECCIOSA ► VEB (niños pequeños) / CMV (adolescentes) ► Clínica:  Sd Mononucleosido → Triada: - Fiebre - Linfadenopatía - Faringitis  Exantema sinérgico papular rojo púrpura/cobrizo tras ingesta de atb (ampicilina, amoxicilina, betalactámicos). Tronco, cara, EEs. Prurito. ► Tratamiento → Medidas de sostén con reposo y analgesia. ► Evitar exceso de actividad física 1er mes (rotura esplénica)
  • 30.
    ERITEMA MULTIFORME/POLIMORFO ► Patológía aguda de carácter inmunológico (reacción HiperS) ► Factores inductores  Infecciones: >90%. VHS + frec  Fármacos: Sulfamidas, Penicilina. 2-3 sem posterior al inicio del tto  Neoplasias  Enf. Autoinmunes  Factores Hormonales ► Lesiones en diana (iris) características, simétricas, superficies extensoras de EE, cara, cuello, tronco, palmas, plantas. Grados variables de prurito. ► Tipos:  EM Mayor → Erosiones/ampollas en mucosas (oral,genital,ocular)  EM Minor → Mucosas respetadas ► Tratamiento: Evitar desencadenantes, antiH1 oral, cc
  • 33.
    PITIRIASIS ROSADA DEGILBERT ► Causa desconocida. Sospecha VHH6 y VHH7 ► Niños y adultos jóvenes (10-35a, ♀). Primavera y Otoño. ► Inmunidad de x vida ► Clínica:  Pródromos: Fiebre moderada, malestar gral, cefalea, artralgias  Placa heraldo o madre en pecho o espalda (2-6cm anular)  Erupción 2ª papuloescamosa al de días-sem. Poco pruriginosa. Resolución espontanea en 2-12sem sin lesiones permanentes. ► Tratamiento dirigido a aliviar prurito → Antihistamínicos orales, glucocorticoides tópicos de potencia media.
  • 36.
    VARICELA ► Virus Varicela-Zoster. Muy contagioso. ► P. incubación 10-21d. Niños 5-9a >frec ► Contagiosos → 48h previo exantema,durante formación vesículas (4-5d), fase costra ► Clínica:  Exantema maculopapular + vesículas + costras. Estadíos #  Lesiones mucosa faringea y vaginal  Febrícula, malestar ► Complicaciones:  Frec → Sobreinfección bacteriana (Strept pyogenes, Staph au)  Graves → Neumonía x Varicela (frec en adultos, + grave embarazo) → Varicela perinatal (↑ mortalidad 5d pre – 48h post) ► Tratamiento: Evitar complicaciones. Prurito
  • 38.
    ENF. MANO-PIE-BOCA ► Virus Coxackie A16 o Enterovirus 71 ► P. Incubación 4-6d. Muy contagiosa ► Clínica:  Prodromo leve/ausente → Fiebre, anorexia, malestar  Lesiones orales → Dolor de garganta, vesículas en mucosa de mejilla y lengua  Lesiones cutáneas → Vesiculopústulas blanco grisaceas elípticas en palmas y plantas, tb gluteos y genitales. Asintomáticas/prurito. Resolución en 3-7d sin dejar cicatriz. ► Pronóstico favorable ► Complicación de la infección x Coxackie: Miocarditis, Neumonía, Meningoencefalitis
  • 40.
    HERPANGINA ► Erupción bucal causada x virus Coxackie A ► Prevalencia estacional ► Clínica:  Fiebre de comienzo agudo  Faringitis, disfagia  Lesiones papulovesiculosas en cavidad oral posterior (sem), sin gingivitis  Síntomas sistémicos moderados ► Autolimitado ► Gingivoestomatitis herpética → Ulceras múltiples superficiales generalizadas. Gingivitis marginal intensa.
  • 43.
    SD DE GIANOTTI-CROSTI ►Enf. Cutanea reactiva a infección viral (CMV, EBV) ► Edad preescolar (1-6a). Primavera y Verano ► Clínica:  BEG o síntomas constitucionales escasos.  Linfadenopatías inguinales y axilares  Lesiones papulares/papulovesiculares en mejillas, gluteos, EEs simétricas. Pueden ser pruriginosas. ► Duración del cuadro 2-4 sem (excepc. 2m), remite con descamación ► Tratamiento sintomático si precisa: antihistamínicos, metilprednisolona (1mg/Kg/d).
  • 47.
    EAHI / ENF.DE FINKELSTEIN ► Vasculitis leucocitoclástica de pequeños vasos ► Edad 4m-2a (discreto predominio ♂) ► Enf. mediada x complejos inmunes, etiología desconocida ► Antecd → Infecciones de tracto resp sup, tracto urinario; exposición a Fs (atb, antiinflamatorios); inmunizaciones recientes; agentes infecciosos… ► Clínica:  Tríada → Lesiones equimóticas + Fiebre + edema simétrico  Contraste entre aparente gravedad del cuadro y BEG del niño ► Curso benigno, resolución espontanea (1-3 sem) ► Tratamiento sintomático
  • 50.
    Diagnóstico diferencial → Púrpura Shönlein Henoch; Eritema Multiforme; Sd del niño maltratado, Sepsis Meningocócica; Púrpura fúlminans, Enf de Kawasaki EAHI PSH Edad 3m – 2a 2a – 11a Lesiones Petéquias; Púrpura Habones; Petequias; Púrpura cutáneas palpable; Edema distal palpable y edema en superf. de EE, palpebral y extensora de EEs (excep. escrotal. Lesiones escrotal) hemorrágicas en escarapela Síntomas Febrícula Artralgias; Hematuria/proteinuria; acompañ. abdominalgias; Hemorragia GI… Biopsia Vasculitis leucocitoclástica Vasculitis leucocitoclástica
  • 52.
    ENF. DE KAWASAKI ► Causa desconocida. 80% en <5a (frec max ≤2a) ► Criterios clínicos (5/6):  Fiebre ≥5d  Conjuntivitis bilateral sin secreción  Aftas orales, lengua aframbuesada, labios intensamente rojos  Alts en EEs: eritema, edema duro o descamación  Eritema polimorfo (cualquier exantema) tronco y EE  Adenopatía cervical >1,5cm ► Importancia del dg:  Riesgo vital (mortalidad global varía de 0,5-2,8%)  Secuelas graves  Tto precoz evita secuelas cardíacas graves ► Tratamiento → Ganmaglobulina ev + AAS
  • 54.
    MENINGOCOCCEMIA ► Patógenos + frec → Strept. Pneumoniae(50%), Neisseria Meningitidis (25%) ► Clínica:  Tríada clásica: Fiebre + Cefalea + Rigidez de nuca  >75% ↓ nivel de consciencia  Síntomas comunes: Nauseas, vómitos, fotofobia  Máculas eritematosas difusas que rapidamente se transforman en petequias, en tronco y EEs pélvicas ► Urgencia médica
  • 56.
    APROXIMACION DG ETIOLOGICO ► ¿Qué debo averiguar?  Edad  Síntomas previos, pródromos, orden de aparición  Síntomas concomitantes con el exantema  Tiempo y forma de aparición del exantema  Antcd. de exposición a otros enfermos, alérgenos, Fs, animales…  Prurito… ► ¿Qué debo observar?  Características del exantema: morfología, distribución, nº, tamaño..  Aspecto general del individuo  Síntomas asociados  Síntomas vitales  Presencia de adenopatías  Afectación de mucosas  Signos por aparatos
  • 58.