Jackeline Vela Torrejón
MEDICINA 2016
FUNCIONES NORMALES
DEL PERICARDIO
 Pericardio visceral
 Pericardio parietal
 Líquido pericárdico: 15-50 ml
Funciones del Pericardio:
 Evita la dilatación brusca de las cavidades cardíacas durante ejercicio
e hipervolemia
 Restringe la posición anatómica
 Reduce la fricción
 Impide el desplazamiento del corazón y retorcimiento de grandes
vasos
 Retrasa la diseminación de las infecciones desde los pulmones y
cavidad pleural.
PERICARDITIS
 ES LA INFLAMACIÓN DEL PERICARDIO QUE TAMBIÉN
PUEDE AFECTAR EPICARDIO Y MIOCARDIO.
 LAS MANIFESTACIONES CLÍNICAS DEPENDEN DE
MUCHOS FACTORES:
 CAUSA DE LA ENFERMEDAD.
 PRESENCIA O AUSENCIA DE LÍQUIDO EN LA CAVIDAD
PERICÁRDICA.
 PRESENCIA O AUSENCIA DE FIBROSIS EN EL PERICARDIO.
 EXTENSIÓN O SEVERIDAD DE LA INTERFERENCIA
MECÁNICA CON EL LLENADO CARDIACO.
ETIOLOGÍAETIOLOGÍA
ETIOLOGÍA
1. INFECCIOSA: viral, bacteriana, TB, hongos
2. NO INFECCIOSA:
Infarto agudo de miocardio
Uremia
Neoplasias
Mixedema
Colesterol
Traumatismo
Disección de aorta
Posradiación
Idiopáticas
3. HIPERSENSIBILIDAD O AUTOINMUNE
Fiebre reumática
Colagenopatías
Fármacos
Secundaria a lesión cardíaca
ETIOLOGÍAETIOLOGÍA NN°° %%
TuberculosaTuberculosa 1414 53,953,9
InespecíficaInespecífica 77 26,926,9
PurulentaPurulenta 22 7,77,7
NeoplásicaNeoplásica 22 7,77,7
UrémicaUrémica 11 3,83,8
TOTALTOTAL 2626 100.0100.0
Fuente: Archivo de Historias Clínicas HNERM. Lima. 2006-2010
FISIOPATOLOGÍA
Lange R, et al. Acute Pericarditis. N Eng J Med. 2004; 351
CLASIFICACIÓN CLÍNICA
1.AGUDA: < 6 semanas
2.SUBAGUDA: 6 semanas a 6 meses
3.CRÓNICA: > 6 meses
PERICARDITISPERICARDITIS
 DIAGNÓSTICO :
Está basado en:
- La historia clínica.
- Exploración física.
- Rx de tórax.
- EKG seriados.
MANIFESTACIONES CLÍNICAS
 DOLOR TORÁCICO
 FROTE PERICÁRDICO
 PULSO PARADÓJICO
 ALTERACIONES ELECTROCARDIOGRÁFICAS
DOLOR TORÁCICO
 Frecuente en las causas inflamatorias agudas o autoinmunes
 Ausente : en TB, neoplásica, posradiación o urémica
Características del dolor torácico :
 Intenso, retrosternal, precordial izquierdo, irradiado a zona escapular.
 Tipo pleurítico, carácter agudo.
 Aumenta con la inspiración, tos y cambios de postura
 Puede ser opresivo e irradiar a hombros, semejando IAM
 Se alivia al sentarse inclinado con el tronco hacia adelante y se
intensifica con la flexión hacia atrás.
FROTE PERICÁRDICO
 Signo físico más importante de la pericarditis aguda.
 Ruido de tono alto, áspero y rasposo
 Auscultar con una presión firme del estetoscopio en el
borde esternal izquierdo de la pared costal .
 Suele oírse durante la ESPIRACIÓN, con el paciente
SENTADO e inclinado hacia adelante.
ELECTROCARDIOGRAMA
Traduce la pericarditis aguda y el derrame
pericárdico como reducción en el voltaje
de los complejo QRS y aplanamiento de
las ondas T.
En presencia de derrame pericárdico severo
puede observarse alternancia eléctrica
(cambios de la morfología y voltaje del QRS
a latidos alternos).
Elevación del ST
TRATAMIENTO
 La mayoría de la pericarditis agudas cursan sin
complicaciones y son autolimitadas,
respondiendo inicialmente al Tx médico.
 El Tx de primera línea deberían ser los AINEs:
 - Ibuprofeno : 600-800 mg vo. 3 v/d x 3 sem
 - Indometacina : 25-50 mg vo. 3 v/d x 3 sem
 - Prednisona : 40-60 mg /d vo. x 3 sem
 - Colchicina : 1mg/d x un año, retirada gradual
PERICARDITIS CONSTRICTIVA
 Limitación al llenado ventricular que impide la relajación
diastólica por la rigidez del pericardio
 Tipos:
– lenta-crónica
– aguda-días
– subaguda-semanas
– constricción cardíaca transitoria
PERICARDITIS CONSTRICTIVA
 50% diagnóstico patológico inespecífico
 TBC
 Neoplasia
 Purulenta
ETIOLOGIAETIOLOGIA
Engrosamiento pericárdico : 1-2 cmEngrosamiento pericárdico : 1-2 cm
Grosor normal : 1-2mmGrosor normal : 1-2mm
PERICARDITIS CONSTRICTIVA
NORMALNORMAL CONSTRICTIVACONSTRICTIVA
1-2mm1-2mm
1-2cm1-2cm
PERICARDITIS CONSTRICTIVA
PERICARDITIS CONSTRICTIVA
DERRAME PERICARDICODERRAME PERICARDICO
 Importante determinar tiempo de evolución por riesgo de
taponamiento cardíaco.
 Disminución de la intensidad de los ruidos cardiacos,
ruidos cardíacos hipofonéticos, desaparece el frote, se
desplaza choque de punta
 Disminución de la intensidad del pulso apical
 Signo de Ewart : zona de matidez por debajo del ángulo
de la escápula izquierda.
 Ortopnea, tos y disfagia
 Disminución de voltajes de QRS y onda T
 Depresión del segmento PR
 Cambios ST-T
 Alternancia eléctrica
ELECTROCARDIOGRAMAELECTROCARDIOGRAMA
ELECTROCARDIOGRAMAELECTROCARDIOGRAMA
Alternancia eléctrica
 Signo de la
cantimplora
ECOCARDIOGRAFÍA
 Es un excelente método para el
diagnóstico
 Confirma la presencia de derrame
pericárdico y brinda datos sugestivos de
taponamiento cardiaco
 La ausencia de pruebas ecocardiográficas
de derrame pericárdico excluye
virtualmente el dx de taponamiento
 El taponamiento es un continuum.
 Más que su presencia o ausencia lo que el
clínico debe valorar es su gravedad.
TAPONAMIENTO CARDIACO
 Acumulación de líquido en el pericardio en cantidad suficiente como
para producir obstrucción grave de la entrada de sangre en ambos
ventrículos.
 Causas:
– Neoplásica
– Idiopática
– Uremia
– Traumatismo: cirugía, perforación, etc
 Características:
– Aumentan presiones intracardíacas
– Limitación del llenado ventricular
– Reducción del gasto cardíaco
TAPONAMIENTO CARDIACO
 Cantidad de líquido necesaria:
 200 ml en casos agudos
 2000 ml en casos crónicos
 Directamente relacionado con el espesor del miocardio ventricular e inversamente
con el grosor del pericardio parietal.
 Hallazgos clínicos agudos:
 Disminución de la presión arterial
 Elevación de la presión venosa yugular
 Ruidos cardiacos débiles
 Hallazgos clínicos crónicos:
 Disnea
 Ortopnea
 Congestión hepática
 Hipertensión yugular
Los volúmenes de sangre necesarios
para producir taponamiento dependen
de la rapidez de instalación.
En casos de trauma agudo, pequeños
volúmenes pueden producir taponamiento
TAPONAMIENTO CARDÍACO
FISIOPATOLOGÍA
1. Incremento de las presiones intracardíacas.
2. Limitación progresiva del llenado ventricular
durante la diástole.
3. Disminución del gasto cardíaco.
CLÍNICA: TRIADA DE BECK
1. Incremento de la presión venosa yugular.
2. Hipotensión arterial.
3. Ruidos cardíacos poco audibles (apagamiento)
PULSO PARADÓJICO
 Disminución inspiratoria de la presión arterial sistólica > a lo
normal (10 mm Hg).
 Si es muy marcada se detecta palpando la debilidad o desaparición
del pulso arterial durante la inspiración.
 El incremento normal del volumen del ventrículo derecho con la
inspiración reduce de una forma excesiva y recíproca el volumen
ventricular izquierdo.
 Aparece también en la pericarditis constrictiva, choque
hipovolémico, EPOC y en el tromboembolismo pulmonar.
PULSO PARADÓJICO
ELECTROCARDIOGRAMAELECTROCARDIOGRAMA
Alternancia eléctrica
TAPONAMIENTO CARDÍACO
 En ausencia de derrame imposible
 Bamboleo cardíaco
 Colapso de VD ( Especificidad = 100%)
 Colapso de AD ( Sensibilidad = 100%)
ECOCARDIOGRAMAECOCARDIOGRAMA
TAPONAMIENTO CARDÍACO
TAPONAMIENTO CARDÍACO
 Rotura cardíaca tras IAM
 Traumatismo punzante
HEMOPERICARDIOHEMOPERICARDIO
Circunstancias especialesCircunstancias especiales
Rotura cardíacaRotura cardíaca
TRATAMIENTOTRATAMIENTO
TAPONAMIENTO CARDÍACO
TRATAMIENTOTRATAMIENTO
El cuadro clínico es crucial y dramático:
disnea, ingurgitación yugular, taquicardia,
hipotensión, palidez y ansiedad.
Constituye una emergencia médica en la
que hay que actuar lo más rápido posible.
Los procedimientos comúnmente indicados
son:
1.Pericardiocentésis.
2.Pericardiotomía más drenaje.
3.Pericardiectomía
PERICARDIOCENTESIS
Es la extracción de líquido pericárdico, mediante punción con
aguja; comúnmente se usa catéter angiocath N°14 ó 16, que
se inserta en el ángulo formado entre el xifoides y el reborde
costal izquierdo.
INDICACIONES:
1. Con fines diagnósticos en pericarditis efusiva
moderada.
2. Con fines terapeúticos en pericarditis efusiva
severa o taponamiento cardíaco.
CONTRAINDICACIONES:
1.Pericarditis fibrinosa y efusiva leve.
2.Pericarditis constrictiva.
3.Hemopericardio por trauma.
ANÁLISIS DEL DERRAMEANÁLISIS DEL DERRAME
PERICÁRDICOPERICÁRDICO
 Citología y marcadores tumorales: CEA, AFP,
CA 125, CA 72-4, CA 15-3, CA 19-9, CD-30,
CD-25, etc.
 Tuberculosis: cultivo mycobacterium o
BACTEC-460, ADA, IFN-gammma, lisozima
pericárdica, PCR.
 Pericarditis tuberculosa: PCR sensib. 75%,
especif. 100%, ADA 83%, 78%.
 Exudado Vs trasudado: proteina >3.0 g/dl,
fluido/suero > 0.5, LDH > 200mg/dl, > 0.6,
glucosa.
 Células blancas: altas en enfermedades
inflamatorias, bacteriana y reumatológica; bajas
mixedema.
 Monocitos: alta en efusiones malignas, e
hipotiroidismo
PERICARDIOTOMÍA
Consiste en hacer una abertura o ventana en el saco
pericárdico, para drenaje y/o biopsia.
Puede realizarse por toracotomía ántero-lateral, por abordaje
subxifoideo o por video toracoscopía.
INDICACIONES:
1. Para drenaje o biopsia en pericarditis efusiva
moderada o severa, generalmente pericardiotomía
subxifoidea o por video-toracoscopía.
2. Trauma cardíaco, por toracotomía ántero-lateral,
izquierda o derecha, para explorar ampliamente y
reparar la lesión cardíaca.
CONTRAINDICACIONES:
1. Pericarditis constrictiva.
PERICARDIECTOMÍA
Es la exéresis de pericardio, en forma parcial o total.
El abordaje de elección es la esternotomía media ;
esta incisión también se usa en caso de trauma
cardíaco.
Otra incisión empleada es la toracotomía unilateral o
bilateral con sección transversal del esternón.
INDICACIONES :
1.Pericarditis constrictiva.
2.Pericarditis purulenta.
3.Pericarditis efusiva moderada o severa.
Pericarditis  Aguda
Pericarditis  Aguda
Pericarditis  Aguda
Pericarditis  Aguda

Pericarditis Aguda

  • 1.
  • 4.
    FUNCIONES NORMALES DEL PERICARDIO Pericardio visceral  Pericardio parietal  Líquido pericárdico: 15-50 ml Funciones del Pericardio:  Evita la dilatación brusca de las cavidades cardíacas durante ejercicio e hipervolemia  Restringe la posición anatómica  Reduce la fricción  Impide el desplazamiento del corazón y retorcimiento de grandes vasos  Retrasa la diseminación de las infecciones desde los pulmones y cavidad pleural.
  • 6.
    PERICARDITIS  ES LAINFLAMACIÓN DEL PERICARDIO QUE TAMBIÉN PUEDE AFECTAR EPICARDIO Y MIOCARDIO.  LAS MANIFESTACIONES CLÍNICAS DEPENDEN DE MUCHOS FACTORES:  CAUSA DE LA ENFERMEDAD.  PRESENCIA O AUSENCIA DE LÍQUIDO EN LA CAVIDAD PERICÁRDICA.  PRESENCIA O AUSENCIA DE FIBROSIS EN EL PERICARDIO.  EXTENSIÓN O SEVERIDAD DE LA INTERFERENCIA MECÁNICA CON EL LLENADO CARDIACO.
  • 8.
  • 9.
    ETIOLOGÍA 1. INFECCIOSA: viral,bacteriana, TB, hongos 2. NO INFECCIOSA: Infarto agudo de miocardio Uremia Neoplasias Mixedema Colesterol Traumatismo Disección de aorta Posradiación Idiopáticas 3. HIPERSENSIBILIDAD O AUTOINMUNE Fiebre reumática Colagenopatías Fármacos Secundaria a lesión cardíaca
  • 10.
    ETIOLOGÍAETIOLOGÍA NN°° %% TuberculosaTuberculosa1414 53,953,9 InespecíficaInespecífica 77 26,926,9 PurulentaPurulenta 22 7,77,7 NeoplásicaNeoplásica 22 7,77,7 UrémicaUrémica 11 3,83,8 TOTALTOTAL 2626 100.0100.0 Fuente: Archivo de Historias Clínicas HNERM. Lima. 2006-2010
  • 11.
    FISIOPATOLOGÍA Lange R, etal. Acute Pericarditis. N Eng J Med. 2004; 351
  • 12.
    CLASIFICACIÓN CLÍNICA 1.AGUDA: <6 semanas 2.SUBAGUDA: 6 semanas a 6 meses 3.CRÓNICA: > 6 meses
  • 13.
    PERICARDITISPERICARDITIS  DIAGNÓSTICO : Estábasado en: - La historia clínica. - Exploración física. - Rx de tórax. - EKG seriados.
  • 15.
    MANIFESTACIONES CLÍNICAS  DOLORTORÁCICO  FROTE PERICÁRDICO  PULSO PARADÓJICO  ALTERACIONES ELECTROCARDIOGRÁFICAS
  • 16.
    DOLOR TORÁCICO  Frecuenteen las causas inflamatorias agudas o autoinmunes  Ausente : en TB, neoplásica, posradiación o urémica Características del dolor torácico :  Intenso, retrosternal, precordial izquierdo, irradiado a zona escapular.  Tipo pleurítico, carácter agudo.  Aumenta con la inspiración, tos y cambios de postura  Puede ser opresivo e irradiar a hombros, semejando IAM  Se alivia al sentarse inclinado con el tronco hacia adelante y se intensifica con la flexión hacia atrás.
  • 18.
    FROTE PERICÁRDICO  Signofísico más importante de la pericarditis aguda.  Ruido de tono alto, áspero y rasposo  Auscultar con una presión firme del estetoscopio en el borde esternal izquierdo de la pared costal .  Suele oírse durante la ESPIRACIÓN, con el paciente SENTADO e inclinado hacia adelante.
  • 20.
    ELECTROCARDIOGRAMA Traduce la pericarditisaguda y el derrame pericárdico como reducción en el voltaje de los complejo QRS y aplanamiento de las ondas T. En presencia de derrame pericárdico severo puede observarse alternancia eléctrica (cambios de la morfología y voltaje del QRS a latidos alternos).
  • 23.
  • 26.
    TRATAMIENTO  La mayoríade la pericarditis agudas cursan sin complicaciones y son autolimitadas, respondiendo inicialmente al Tx médico.  El Tx de primera línea deberían ser los AINEs:  - Ibuprofeno : 600-800 mg vo. 3 v/d x 3 sem  - Indometacina : 25-50 mg vo. 3 v/d x 3 sem  - Prednisona : 40-60 mg /d vo. x 3 sem  - Colchicina : 1mg/d x un año, retirada gradual
  • 27.
    PERICARDITIS CONSTRICTIVA  Limitaciónal llenado ventricular que impide la relajación diastólica por la rigidez del pericardio  Tipos: – lenta-crónica – aguda-días – subaguda-semanas – constricción cardíaca transitoria
  • 28.
    PERICARDITIS CONSTRICTIVA  50%diagnóstico patológico inespecífico  TBC  Neoplasia  Purulenta ETIOLOGIAETIOLOGIA Engrosamiento pericárdico : 1-2 cmEngrosamiento pericárdico : 1-2 cm Grosor normal : 1-2mmGrosor normal : 1-2mm
  • 29.
  • 30.
  • 31.
  • 37.
    DERRAME PERICARDICODERRAME PERICARDICO Importante determinar tiempo de evolución por riesgo de taponamiento cardíaco.  Disminución de la intensidad de los ruidos cardiacos, ruidos cardíacos hipofonéticos, desaparece el frote, se desplaza choque de punta  Disminución de la intensidad del pulso apical  Signo de Ewart : zona de matidez por debajo del ángulo de la escápula izquierda.  Ortopnea, tos y disfagia
  • 38.
     Disminución devoltajes de QRS y onda T  Depresión del segmento PR  Cambios ST-T  Alternancia eléctrica ELECTROCARDIOGRAMAELECTROCARDIOGRAMA
  • 39.
  • 40.
     Signo dela cantimplora
  • 45.
    ECOCARDIOGRAFÍA  Es unexcelente método para el diagnóstico  Confirma la presencia de derrame pericárdico y brinda datos sugestivos de taponamiento cardiaco  La ausencia de pruebas ecocardiográficas de derrame pericárdico excluye virtualmente el dx de taponamiento
  • 49.
     El taponamientoes un continuum.  Más que su presencia o ausencia lo que el clínico debe valorar es su gravedad.
  • 50.
    TAPONAMIENTO CARDIACO  Acumulaciónde líquido en el pericardio en cantidad suficiente como para producir obstrucción grave de la entrada de sangre en ambos ventrículos.  Causas: – Neoplásica – Idiopática – Uremia – Traumatismo: cirugía, perforación, etc  Características: – Aumentan presiones intracardíacas – Limitación del llenado ventricular – Reducción del gasto cardíaco
  • 52.
    TAPONAMIENTO CARDIACO  Cantidadde líquido necesaria:  200 ml en casos agudos  2000 ml en casos crónicos  Directamente relacionado con el espesor del miocardio ventricular e inversamente con el grosor del pericardio parietal.  Hallazgos clínicos agudos:  Disminución de la presión arterial  Elevación de la presión venosa yugular  Ruidos cardiacos débiles  Hallazgos clínicos crónicos:  Disnea  Ortopnea  Congestión hepática  Hipertensión yugular
  • 53.
    Los volúmenes desangre necesarios para producir taponamiento dependen de la rapidez de instalación. En casos de trauma agudo, pequeños volúmenes pueden producir taponamiento
  • 54.
    TAPONAMIENTO CARDÍACO FISIOPATOLOGÍA 1. Incrementode las presiones intracardíacas. 2. Limitación progresiva del llenado ventricular durante la diástole. 3. Disminución del gasto cardíaco. CLÍNICA: TRIADA DE BECK 1. Incremento de la presión venosa yugular. 2. Hipotensión arterial. 3. Ruidos cardíacos poco audibles (apagamiento)
  • 58.
    PULSO PARADÓJICO  Disminucióninspiratoria de la presión arterial sistólica > a lo normal (10 mm Hg).  Si es muy marcada se detecta palpando la debilidad o desaparición del pulso arterial durante la inspiración.  El incremento normal del volumen del ventrículo derecho con la inspiración reduce de una forma excesiva y recíproca el volumen ventricular izquierdo.  Aparece también en la pericarditis constrictiva, choque hipovolémico, EPOC y en el tromboembolismo pulmonar.
  • 60.
  • 61.
  • 63.
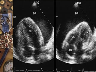
    TAPONAMIENTO CARDÍACO  Enausencia de derrame imposible  Bamboleo cardíaco  Colapso de VD ( Especificidad = 100%)  Colapso de AD ( Sensibilidad = 100%) ECOCARDIOGRAMAECOCARDIOGRAMA
  • 64.
  • 66.
    TAPONAMIENTO CARDÍACO  Roturacardíaca tras IAM  Traumatismo punzante HEMOPERICARDIOHEMOPERICARDIO Circunstancias especialesCircunstancias especiales
  • 67.
  • 68.
  • 69.
    TAPONAMIENTO CARDÍACO TRATAMIENTOTRATAMIENTO El cuadroclínico es crucial y dramático: disnea, ingurgitación yugular, taquicardia, hipotensión, palidez y ansiedad. Constituye una emergencia médica en la que hay que actuar lo más rápido posible. Los procedimientos comúnmente indicados son: 1.Pericardiocentésis. 2.Pericardiotomía más drenaje. 3.Pericardiectomía
  • 70.
    PERICARDIOCENTESIS Es la extracciónde líquido pericárdico, mediante punción con aguja; comúnmente se usa catéter angiocath N°14 ó 16, que se inserta en el ángulo formado entre el xifoides y el reborde costal izquierdo. INDICACIONES: 1. Con fines diagnósticos en pericarditis efusiva moderada. 2. Con fines terapeúticos en pericarditis efusiva severa o taponamiento cardíaco. CONTRAINDICACIONES: 1.Pericarditis fibrinosa y efusiva leve. 2.Pericarditis constrictiva. 3.Hemopericardio por trauma.
  • 84.
    ANÁLISIS DEL DERRAMEANÁLISISDEL DERRAME PERICÁRDICOPERICÁRDICO  Citología y marcadores tumorales: CEA, AFP, CA 125, CA 72-4, CA 15-3, CA 19-9, CD-30, CD-25, etc.  Tuberculosis: cultivo mycobacterium o BACTEC-460, ADA, IFN-gammma, lisozima pericárdica, PCR.  Pericarditis tuberculosa: PCR sensib. 75%, especif. 100%, ADA 83%, 78%.
  • 85.
     Exudado Vstrasudado: proteina >3.0 g/dl, fluido/suero > 0.5, LDH > 200mg/dl, > 0.6, glucosa.  Células blancas: altas en enfermedades inflamatorias, bacteriana y reumatológica; bajas mixedema.  Monocitos: alta en efusiones malignas, e hipotiroidismo
  • 86.
    PERICARDIOTOMÍA Consiste en haceruna abertura o ventana en el saco pericárdico, para drenaje y/o biopsia. Puede realizarse por toracotomía ántero-lateral, por abordaje subxifoideo o por video toracoscopía. INDICACIONES: 1. Para drenaje o biopsia en pericarditis efusiva moderada o severa, generalmente pericardiotomía subxifoidea o por video-toracoscopía. 2. Trauma cardíaco, por toracotomía ántero-lateral, izquierda o derecha, para explorar ampliamente y reparar la lesión cardíaca. CONTRAINDICACIONES: 1. Pericarditis constrictiva.
  • 89.
    PERICARDIECTOMÍA Es la exéresisde pericardio, en forma parcial o total. El abordaje de elección es la esternotomía media ; esta incisión también se usa en caso de trauma cardíaco. Otra incisión empleada es la toracotomía unilateral o bilateral con sección transversal del esternón. INDICACIONES : 1.Pericarditis constrictiva. 2.Pericarditis purulenta. 3.Pericarditis efusiva moderada o severa.