COARTA C ION  DE LA  AORTA D ra. Ma. Celina Preciado Limas Jefe Depto. Cardiología, Facultad de Medicina, UAG
PRE-LECTIO: Femenina de 18 años con linfedema congénito, disgenesia gonadal, talla baja, cuello alado y pecho en escudo.  PA 150/110 mmHg, soplo sistólico en mesocardio y en espalda. Pulsos pedios disminuidos y radiales intensos.
Prevalencia: Ocupa el  5° lugar  de todas las cardiopatías congénitas en México
Coa rtación de la  Aorta  Postductal o del Adulto : Estrechamiento congénito en el arco aórtico, distal a la arteria subclavia izquierda y opuesta al conducto arterioso, tambien llamada  Y UXTADUCTAL.
 
 
Coartación Aórtica Infantil o Pre-ductal: También se denomina   PREDUCTAL. Oc urre en el primer mes de vida, cursa con insuficiencia cardiaca y está asociada a otros defectos   como   h ipoplasia del istmo de la aorta.
Lesiones asociadas a la Coartación infantil: P C A CIV Transposi ción de grandes vasos Valvulopatia m itral Anomal ía s  del arco aórtico :   Corazón izquierdo hipoplásico, hipoplasia de la raíz aórtica , atresia  aórtica , aneur ismas de la raíz aórtica
Interrupción del arco Aórtico:
 
Seudocoartación: Se denomina así a la  Arteritis de   Takayasu, Enfermedad sin pulso o Coartación Invertida , debido a una  aortiti s inflamatoria que produce estenosis y aneurismas en el arco aórtico.
 
Historia Natural: Se desarrolla gradualmente La p resenta ció n  suele ocurrir entre  los  15  y  30  años La lesión más asociada es la   aorta bivalva   desde un 50% hasta un 80%. Más común en el sexo masculino En mujeres puede sugerir   Síndrome de  Turner .
 
Aorta bivalva
Cuadro Clínico: Los niños en edad pre-escolar o escolar pueden ser asintomáticos y tener buena condición física Cefalea y epistaxis por hipertensión Cansancio en piernas con ejercicio vigoroso
Cuadro Clínico: Insuficiencia cardiaca en la forma  preductal  Claudicación intermitente H emorrag ia subaracnoidea E ndocarditis  infecciosa Falla ventricular izquierda Angina de pecho
Examen Físico: Hipertensión arterial en brazos Hipotensión arterial en miembros inferiores, con pulsos débiles P ulsaciones intensas en carótidas Colaterales p alpable s en tórax Hi pertro fia ventricular izquierda Soplo sistólico expulsivo en espalda
 
Electrocardiogram a : Hipertrofia ventricular izquierda Sobrecarga sistólica del V.I. Bloqueo de rama derecha del haz de His
ECG: Hipertrofia V. Izquierda
Rayos X: Muescas costales   ( Signo de  Roesler ) Corazón de tamaño n ormal Arco aórtico doble   (sign o del  “3”) Cardiomegal ia y congestión pulmonar en fases tardías
 
RX: Signo de Roesler
 
Ecocardiogram a : Puede evitar el cateterismo en casos característicos Es de importancia para diagnosticar  Aorta bivalva.
 
ECO: Aorta bivalva
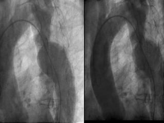
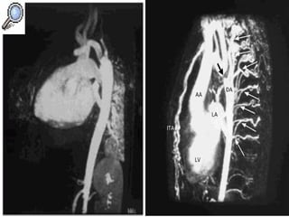
Cateterismo cardiaco: En casos atípicos o con lesiones asociadas El aortograma se realiza en proyección OIA Un gradiente de  40mmHg   ó más es significativo Determina circulación colateral
 
Angioplast ía con balón : No es un tratamiento de primera elección Es difícil en  segment os largos Puede haber re-e stenosis Existe el riesgo de aneurisma sacular en el sitio de la  dilata c i ó n Es más electiva en re-estenosis   postquirúrgica
 
 
Cirugía: Sin cirugía el pronóstico es pobre Se puede realizar a los  5-10  años, o mejor aún, al hacer el diagnóstico
Aortoplastía con parche de dacron :
Postoperatorio: Puede esperarse hipertensión en el postoperatorio que requiera de manejo con  Nitroprus iato , Labetalol, Trimeta f an , etc.
Seguimiento: Es común la hipertensión crónica En el seguimiento es importante evaluar:     a)  Hipertensión continua   b)  Cardiopatía isquémica prematura   c) Posible  gradiente  residual
CASO CLÍNICO: Fenotipo femenino en genotipo 45X0, lo que corresponde a un  Síndrome de   Turner  entre cuyas manifestaciones se encuentra la Coartación Aórtica en conjunto con Aorta Bivalva.
CONCLUSIONES: La Coartación Aórtica es una causa de Hipertensión Arterial Secundaria, asociada en el 50% de los casos a Aorta Bivalva. Es un padecimiento corregible y la hipertensión arterial es curable en la mitad de los casos.
Bibliografía: SWANTON, Cardiology pocket book, Blackwell Scientific Publications . ESPINO VELA, Cardiología pediátrica, Ed. Méndez Oteo.

20 coartacion de la aorta

  • 1.
    COARTA C ION DE LA AORTA D ra. Ma. Celina Preciado Limas Jefe Depto. Cardiología, Facultad de Medicina, UAG
  • 2.
    PRE-LECTIO: Femenina de18 años con linfedema congénito, disgenesia gonadal, talla baja, cuello alado y pecho en escudo. PA 150/110 mmHg, soplo sistólico en mesocardio y en espalda. Pulsos pedios disminuidos y radiales intensos.
  • 3.
    Prevalencia: Ocupa el 5° lugar de todas las cardiopatías congénitas en México
  • 4.
    Coa rtación dela Aorta Postductal o del Adulto : Estrechamiento congénito en el arco aórtico, distal a la arteria subclavia izquierda y opuesta al conducto arterioso, tambien llamada Y UXTADUCTAL.
  • 5.
  • 6.
  • 7.
    Coartación Aórtica Infantilo Pre-ductal: También se denomina PREDUCTAL. Oc urre en el primer mes de vida, cursa con insuficiencia cardiaca y está asociada a otros defectos como h ipoplasia del istmo de la aorta.
  • 8.
    Lesiones asociadas ala Coartación infantil: P C A CIV Transposi ción de grandes vasos Valvulopatia m itral Anomal ía s del arco aórtico : Corazón izquierdo hipoplásico, hipoplasia de la raíz aórtica , atresia aórtica , aneur ismas de la raíz aórtica
  • 9.
  • 10.
  • 11.
    Seudocoartación: Se denominaasí a la Arteritis de Takayasu, Enfermedad sin pulso o Coartación Invertida , debido a una aortiti s inflamatoria que produce estenosis y aneurismas en el arco aórtico.
  • 12.
  • 13.
    Historia Natural: Sedesarrolla gradualmente La p resenta ció n suele ocurrir entre los 15 y 30 años La lesión más asociada es la aorta bivalva desde un 50% hasta un 80%. Más común en el sexo masculino En mujeres puede sugerir Síndrome de Turner .
  • 14.
  • 15.
  • 16.
    Cuadro Clínico: Losniños en edad pre-escolar o escolar pueden ser asintomáticos y tener buena condición física Cefalea y epistaxis por hipertensión Cansancio en piernas con ejercicio vigoroso
  • 17.
    Cuadro Clínico: Insuficienciacardiaca en la forma preductal Claudicación intermitente H emorrag ia subaracnoidea E ndocarditis infecciosa Falla ventricular izquierda Angina de pecho
  • 18.
    Examen Físico: Hipertensiónarterial en brazos Hipotensión arterial en miembros inferiores, con pulsos débiles P ulsaciones intensas en carótidas Colaterales p alpable s en tórax Hi pertro fia ventricular izquierda Soplo sistólico expulsivo en espalda
  • 19.
  • 20.
    Electrocardiogram a :Hipertrofia ventricular izquierda Sobrecarga sistólica del V.I. Bloqueo de rama derecha del haz de His
  • 21.
  • 22.
    Rayos X: Muescascostales ( Signo de Roesler ) Corazón de tamaño n ormal Arco aórtico doble (sign o del “3”) Cardiomegal ia y congestión pulmonar en fases tardías
  • 23.
  • 24.
    RX: Signo deRoesler
  • 25.
  • 26.
    Ecocardiogram a :Puede evitar el cateterismo en casos característicos Es de importancia para diagnosticar Aorta bivalva.
  • 27.
  • 28.
  • 29.
    Cateterismo cardiaco: Encasos atípicos o con lesiones asociadas El aortograma se realiza en proyección OIA Un gradiente de 40mmHg ó más es significativo Determina circulación colateral
  • 30.
  • 31.
    Angioplast ía conbalón : No es un tratamiento de primera elección Es difícil en segment os largos Puede haber re-e stenosis Existe el riesgo de aneurisma sacular en el sitio de la dilata c i ó n Es más electiva en re-estenosis postquirúrgica
  • 32.
  • 33.
  • 34.
    Cirugía: Sin cirugíael pronóstico es pobre Se puede realizar a los 5-10 años, o mejor aún, al hacer el diagnóstico
  • 35.
  • 36.
    Postoperatorio: Puede esperarsehipertensión en el postoperatorio que requiera de manejo con Nitroprus iato , Labetalol, Trimeta f an , etc.
  • 37.
    Seguimiento: Es comúnla hipertensión crónica En el seguimiento es importante evaluar: a) Hipertensión continua b) Cardiopatía isquémica prematura c) Posible gradiente residual
  • 38.
    CASO CLÍNICO: Fenotipofemenino en genotipo 45X0, lo que corresponde a un Síndrome de Turner entre cuyas manifestaciones se encuentra la Coartación Aórtica en conjunto con Aorta Bivalva.
  • 39.
    CONCLUSIONES: La CoartaciónAórtica es una causa de Hipertensión Arterial Secundaria, asociada en el 50% de los casos a Aorta Bivalva. Es un padecimiento corregible y la hipertensión arterial es curable en la mitad de los casos.
  • 40.
    Bibliografía: SWANTON, Cardiologypocket book, Blackwell Scientific Publications . ESPINO VELA, Cardiología pediátrica, Ed. Méndez Oteo.