Reunión Clínica Oncología
Dr. Daniel Agüero V
Residente Oncología Médica
Marzo 2017
• Entrega de Test
• Caso Clínico
• Biología Molecular
• Diagnóstico por
Imágenes
• Anatomía Patológica
• Tratamiento
Adyuvante
• Discusión
• Revisión Test
Hoja de Ruta
Caso Clínico
• Iniciales: E.R.V
• Sexo: Femenino
• Edad: 65 años
• Procedencia: Pirque
• Actividad: Dueña de Casa
• Casada
• Antecedentes personales:
o Médicos: Dm2 – HTA - Dislipidemia
o Quirúgicos: Colecistectomizada 2009
o Fármacos:
o Metformina 850 mg cada 8 horas
o Glibenclamida 5mg dia
o Nifedipino 20 mg cada 12 horas
o Furosemida 40 mg dia
o Ranitidina 50 mg dia
o Lorazepam 1 comprimido SOS
o Tabaco: 5 paquete/año OH: No Refiere Alergia: (-)
• Antecedentes Familiares:
o Hermana : Ca. Mama (56a)
Caso Clínico
2014
Dolor Abdominal tipo
Cólico
Agosto 2016:
Se asocia Fatiga y Baja
de Peso aprox.15 Kg y
Melena.
EDA: Septiembre
‘16
Lesión Subepitelial,
ulcerado 2cm en 3ª
porción duodeno.
Bp: GIST
Caso Clínico
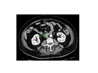
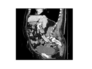
TAC TAP Septiembre
2016
Lesión 3ª porción
Duodeno 2-3cm
compatible con GIST.
Diseminación (-)
Laparotomía y Resección con
Buena Evolución.
Caso Clínico
Bp Qx:
- Tu. Fusocelular Ulcerado.
- Indice Mitotico: >5 en 50 CAM
- CD117, CD34, CD99 (+)
- CD31, S-100 Desmina (-)
- Ki67 (+) 25% cels.
- Bordes Qx (-). Sin compromiso
Serosa, Sin Tu. Residual
2014 Dolor
Abdominal
Cólico
08/16
Fatiga
Baja
Peso
Melena
EDA:
Lesión
Ulcerada
Bp:
GIST
Estudio
de
Extensión:
Negativo
Tratamiento
Qx.
Adyuvanci
a?
Caso Clínico
Caso Clínico
DISCUSIÓN
GIST Puntos a Discutir:
1.- Biología Molecular
2.- Diagnóstico por Imágenes
3.- Anatomía Patológica
4.- Tratamiento Adyuvante
GIST
• Neoplasia Mesenquimal GI más frecuente
• No hay diferencia en sexo.
• 75% >50 años.
Corless CL J Clin Oncol. 22:3813-3825 2004
Miettinen M J Arch Pathol Lab Med. 130:1466-1478 2006
Estructura Receptor KIT
− SCF Sitio Unión
− 5 IgG dominios
Membrana Cel.
Dominios
Tirosina kinasa
Taylor and Metcalfe. Hematol Oncol Clin North Am. 2000;14:517.
Señalización Normal KIT
PP P
ADP P
P
PP P
ATP
SIGNALING
Kinase
domains
Substrate
Effector
• Dominio Kinasa activa una
proteína sustrato
• Este sustrato activado inicia
Cascada de Señalización que
culmina en la Proliferación y
Supervivencia celular
Savage and Antman. N Engl J Med. 2002;346:683.
Scheijen and Griffin. Oncogene. 2002;21:3314.
Mutaciones en GIST
90% 5%-10%
67%
1%
1%
2.5%
0.5%
7%
10%
Joensuu H. Lancet 2013;382:973-83
Imágenes:
• TAC:
– Delimita las grandes masas
exofíticas.
– Compromiso Local o distancia
– Guía Biopsia de tejido
• RM:
– Mejor Sensibilidad Lesiones
Hepáticas, Peritoneales y
Rectales.
• PET:
– Diferencia entre tejidos y
evalúa Actividad Metabólica
tumoral
– Evaluación de la Respuesta
Temprana al Tratamiento
TAC
• GIST Menor Tamaño
– Bien circunscritas,
homogéneas,
• GIST Mayor Tamaño:
– Masas Heterogéneas con
necrosis o hemorragia
central, Bordes Irregulares y
Crecimiento Extraluminal
GIST: Patrones Morfológicos
Fusocelular (70%) Epitelioide (9%)
Otras-> Mixtos 21%
Immunohistoquímica
• ~ 95% GIST son (+) para KIT
(CD117)
• Otros marcadores a menudo
positivos en GIST:
– CD34: (+) 60% -70%
– Músculo liso actina (SMA) (+) 15% -60%
– S-100: (+) 10%
• GIST Raramente expresa Desmina.
Diferentes Patrones
Tinciones para KIT
Miettinen and Lasota. Virchows Arch. 2001;438:1.
Evaluación de Riesgo:
Miettinen M, Lasota J. Arch Pathol Lab Med 2006, 130(10):1466-1478
Tamaño Indice Mitotico Gástrico Yeyuno/Ileo Duodenal Rectal
RIESGO PROGRESIÓN: AFIP
Evaluación de Riesgo:
RIESGO PROGRESIÓN: NIH
http://nomograms.mskcc.org/GastroIntestinal/GastroIntestinalStromalTumor.aspx
http://gistrisk.com
Wozniak A et al. Clin. Cancer Res. Dec 1, 2014:6105-6116.
Imatinib : Mecanismo de Acción
P
PP P
ATP
SIGNALING
Imatinib
mesylate
Kinase
domains
• Imatinib ocupa Dominio
Kinasa ( Bolsillo que une ATP.)
• Esto evita la fosforilación del
sustrato y la señalización
• La falta de señalización inhibe
la proliferación y la
supervivencia
Savage and Antman. N Engl J Med. 2002;346:683.
Scheijen and Griffin. Oncogene. 2002;21:3314.
Adyuvancia:
1 año vs Placebo
De Matteo R. Lancet 2009; 373: 1097–104
Adyuvancia:
3a vs 1a
Joensuu H. JAMA. 2012;307(12):1265-.‐1272
Caso Clínico
Marzo 2017:
- Asintomática, inicia Imatinib
Reunión Clínica Oncología
Dr. Daniel Agüero V
Residente Oncología Médica
Octubre 2016
• 1. BIOLOGIA MOLECULAR: Nombre los dos oncogenes más
frecuentemente mutados en GIST. Entre paréntesis anote la
frecuencia en la que se encuentran mutados.
• 2. IMAGENES: En GIST, ¿Qué ventaja tiene la PET sobre los
otros métodos de imágenes?
• 3. ANATOMIA PATOLOGICA ¿Al microscopio, cuál es la
forma más frecuente de las células que componen un GIST?
Anote 2 (dos) marcadores Inmunohistoquímicos que
orientan a GIST.
• 4. TRATAMIENTO SISTEMICO: Anote 3 (tres) factores que
considera para estimar el riesgo de recurrencia de un
paciente con GIST (y con ello decidir la indicación de
tratamiento adyuvante).

GIST

  • 1.
    Reunión Clínica Oncología Dr.Daniel Agüero V Residente Oncología Médica Marzo 2017
  • 2.
    • Entrega deTest • Caso Clínico • Biología Molecular • Diagnóstico por Imágenes • Anatomía Patológica • Tratamiento Adyuvante • Discusión • Revisión Test Hoja de Ruta
  • 3.
    Caso Clínico • Iniciales:E.R.V • Sexo: Femenino • Edad: 65 años • Procedencia: Pirque • Actividad: Dueña de Casa • Casada
  • 4.
    • Antecedentes personales: oMédicos: Dm2 – HTA - Dislipidemia o Quirúgicos: Colecistectomizada 2009 o Fármacos: o Metformina 850 mg cada 8 horas o Glibenclamida 5mg dia o Nifedipino 20 mg cada 12 horas o Furosemida 40 mg dia o Ranitidina 50 mg dia o Lorazepam 1 comprimido SOS o Tabaco: 5 paquete/año OH: No Refiere Alergia: (-) • Antecedentes Familiares: o Hermana : Ca. Mama (56a) Caso Clínico
  • 5.
    2014 Dolor Abdominal tipo Cólico Agosto2016: Se asocia Fatiga y Baja de Peso aprox.15 Kg y Melena. EDA: Septiembre ‘16 Lesión Subepitelial, ulcerado 2cm en 3ª porción duodeno. Bp: GIST Caso Clínico TAC TAP Septiembre 2016 Lesión 3ª porción Duodeno 2-3cm compatible con GIST. Diseminación (-) Laparotomía y Resección con Buena Evolución.
  • 6.
    Caso Clínico Bp Qx: -Tu. Fusocelular Ulcerado. - Indice Mitotico: >5 en 50 CAM - CD117, CD34, CD99 (+) - CD31, S-100 Desmina (-) - Ki67 (+) 25% cels. - Bordes Qx (-). Sin compromiso Serosa, Sin Tu. Residual
  • 7.
  • 8.
  • 9.
    GIST Puntos aDiscutir: 1.- Biología Molecular 2.- Diagnóstico por Imágenes 3.- Anatomía Patológica 4.- Tratamiento Adyuvante
  • 10.
    GIST • Neoplasia MesenquimalGI más frecuente • No hay diferencia en sexo. • 75% >50 años. Corless CL J Clin Oncol. 22:3813-3825 2004 Miettinen M J Arch Pathol Lab Med. 130:1466-1478 2006
  • 11.
    Estructura Receptor KIT −SCF Sitio Unión − 5 IgG dominios Membrana Cel. Dominios Tirosina kinasa Taylor and Metcalfe. Hematol Oncol Clin North Am. 2000;14:517.
  • 12.
    Señalización Normal KIT PPP ADP P P PP P ATP SIGNALING Kinase domains Substrate Effector • Dominio Kinasa activa una proteína sustrato • Este sustrato activado inicia Cascada de Señalización que culmina en la Proliferación y Supervivencia celular Savage and Antman. N Engl J Med. 2002;346:683. Scheijen and Griffin. Oncogene. 2002;21:3314.
  • 13.
    Mutaciones en GIST 90%5%-10% 67% 1% 1% 2.5% 0.5% 7% 10% Joensuu H. Lancet 2013;382:973-83
  • 14.
    Imágenes: • TAC: – Delimitalas grandes masas exofíticas. – Compromiso Local o distancia – Guía Biopsia de tejido • RM: – Mejor Sensibilidad Lesiones Hepáticas, Peritoneales y Rectales. • PET: – Diferencia entre tejidos y evalúa Actividad Metabólica tumoral – Evaluación de la Respuesta Temprana al Tratamiento
  • 15.
    TAC • GIST MenorTamaño – Bien circunscritas, homogéneas, • GIST Mayor Tamaño: – Masas Heterogéneas con necrosis o hemorragia central, Bordes Irregulares y Crecimiento Extraluminal
  • 19.
    GIST: Patrones Morfológicos Fusocelular(70%) Epitelioide (9%) Otras-> Mixtos 21%
  • 20.
    Immunohistoquímica • ~ 95%GIST son (+) para KIT (CD117) • Otros marcadores a menudo positivos en GIST: – CD34: (+) 60% -70% – Músculo liso actina (SMA) (+) 15% -60% – S-100: (+) 10% • GIST Raramente expresa Desmina. Diferentes Patrones Tinciones para KIT Miettinen and Lasota. Virchows Arch. 2001;438:1.
  • 21.
    Evaluación de Riesgo: MiettinenM, Lasota J. Arch Pathol Lab Med 2006, 130(10):1466-1478 Tamaño Indice Mitotico Gástrico Yeyuno/Ileo Duodenal Rectal RIESGO PROGRESIÓN: AFIP
  • 22.
  • 23.
  • 24.
  • 25.
    Wozniak A etal. Clin. Cancer Res. Dec 1, 2014:6105-6116.
  • 26.
    Imatinib : Mecanismode Acción P PP P ATP SIGNALING Imatinib mesylate Kinase domains • Imatinib ocupa Dominio Kinasa ( Bolsillo que une ATP.) • Esto evita la fosforilación del sustrato y la señalización • La falta de señalización inhibe la proliferación y la supervivencia Savage and Antman. N Engl J Med. 2002;346:683. Scheijen and Griffin. Oncogene. 2002;21:3314.
  • 27.
    Adyuvancia: 1 año vsPlacebo De Matteo R. Lancet 2009; 373: 1097–104
  • 28.
    Adyuvancia: 3a vs 1a JoensuuH. JAMA. 2012;307(12):1265-.‐1272
  • 29.
    Caso Clínico Marzo 2017: -Asintomática, inicia Imatinib
  • 30.
    Reunión Clínica Oncología Dr.Daniel Agüero V Residente Oncología Médica Octubre 2016
  • 31.
    • 1. BIOLOGIAMOLECULAR: Nombre los dos oncogenes más frecuentemente mutados en GIST. Entre paréntesis anote la frecuencia en la que se encuentran mutados. • 2. IMAGENES: En GIST, ¿Qué ventaja tiene la PET sobre los otros métodos de imágenes? • 3. ANATOMIA PATOLOGICA ¿Al microscopio, cuál es la forma más frecuente de las células que componen un GIST? Anote 2 (dos) marcadores Inmunohistoquímicos que orientan a GIST. • 4. TRATAMIENTO SISTEMICO: Anote 3 (tres) factores que considera para estimar el riesgo de recurrencia de un paciente con GIST (y con ello decidir la indicación de tratamiento adyuvante).