Ca. Pulmonar Células Pequeñas
Dr. Daniel Agüero V
Residente Oncología Médica
2017
Hoja de Ruta
- CASO CLINICO
- EPIDEMIOLOGIA
- ENFERMEDAD LOCALIZADA (EL)
- ENFERMEDAD EXTENDIDA (ED)
- CONCLUSIONES
Caso Clínico
• Iniciales: B.B.V.L
• Sexo: Masculino
• Edad: 66 años
• Procedencia: Maipú
• Actividad: Taxista
• Divorciado, 3 hijos
• Antecedentes personales:
o Médicos: HTA
o Quirúgicos: Apendicectomia 1973//Colecistectomia 2007//Drenaje
Absceso Hepático 2009
o Fármacos:
o Losartan 50 mg/día
o Tramal 5 gotas SOS
o Paracetamol 750 mg cada 12 horas
o Clonazepam 1 mg/noche
o Tabaco: 16/paq año $ 1987 OH: (ocasional) Alergia: Metamizol
• Antecedentes Familiares:
o Hermana Ca. Mama
Caso Clínico
Marzo 2016 :
Disnea, Tos, Hemoptisis
TAC Tórax : 08/16
Masa Pulmonar
Derecho (Lesión
Broncogénica 1ª)
LN Mediastinicas
PET CT: 09/16
Lesión Broncogénica 1ª
LN Mediastinico, Hiliar,
Cervical, Implante Pleural.
Compromiso oseo.
Caso Clínico Extra UC
Agosto 2016
FBC: 09/16
Lesión Endoluminal
LSD.
Biopsia: 09/16
Carcinoma Células
Pequeñas
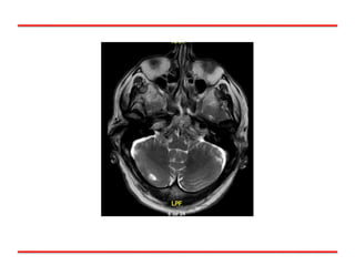
RM Cerebro: 09/16
Lesión Cerebelosa Dª.
Caso Clínico
Diagnósticos
Cáncer Pulmonar Células Pequeñas
Etapa IV compromiso Oseo, Cerebral,
Pleural, Ganglionar
Caso Clínico
Caso Clínico UC
Inicia QMT:
- Etoposido + Cisplatino. 6 Ciclos (2016 Septiembre-Diciembre)
- Sin Toxicidad.
Ca. Pulmonar Células Pequeñas
Dr. Daniel Agüero V
Residente Oncología Médica
2017
Introducción
– Representa aprox. 12-15% de todos los Ca. De
Pulmón.
– Al Diagnóstico 2/3: Enfermedad Diseminada
CARACTERISTICAS:
PRINCIPALES
 Corto tiempo de Duplicación
 Gran fracción de crecimiento
 Metastatis Precoz
 Sobrevida: 5 s sin tratamiento
 QT como tratamiento habitual
 Mediana de Sobrevida 9-12 meses
 Sobrevida a 2 años < 5%
ETIOLOGIA
95%
Epidemiología
• La Incidencia parece presentar una tendencia a
disminuir:
- Menor consumo de tabaco
- Cambio composición de los cigarrillos
- Aumento Adenocarcinoma.
• Pero hay aumento mujeres:
- Incorporación al hábito tabáquico más tardía
(80 y 90)
- Proporción de mujeres pasó del 18% en 1973 al
50% en el 2002
- Ratio hombre:mujer de 1:1.
CLINICA Caracteristicas
Tos y Disnea 50% - 40%
Sd. Vv Cava Superior 10%
Sd. Paraneoplásicos 15%
Metastasis Caracteristicas
Oseas 30% - 40%
Hepáticas 20% -35%
SSRR 5% - 30%
Cerebro 15% al Dg
Enfrentamiento:
ENF. LOCALIZADA (EL) 30% . Hemitórax
EN. EXTENDIDA (EE) 70%. Enf. Mx
Imagen Caracteristicas
TAC Tórax-Abdomen Linfonodos: S: 60%; E: 80%
PET CT SUV, LN : S80% E:90%
RM cerebro Mx Cerebrales (80% a lo largo Enf)
✔
Evolución del Tratamiento EL
Meta-análisis de 19 estudios
N: 4504
Combinaciones que contenían Cisplatino vs NO Cisplatino
Incremento del 4.4% de supervivencia a 1 año
Beneficio en respuestas
QMT basada en PLATINO representa el pilar del tratamiento del
Cáncer Pulmonar Células Pequeñas.
Pujol et al Br J Cancer 2009
Meta analisis 21 estudios
Cisplatino vs No Cisplatino
Mediana Sobrevida 9.5 vs 7.1 meses, p: 0.002
QMT basada en Cisplatino, factor independiente de Sobrevida p: 0.04
Chute et al, JCO 1999
Metaanalisis Cochrane 29 estudios
5530 pacientes
Cisplatino vs No Cisplatino:
“BUENO”:
Mejor respuesta para los esquemas con platino (odds ratio 1.26)
Respuestas completas (odds ratio 1.39)
Sobrevida, sólo es significativa a los 6 meses (odds ratio 1.19).
“MALO”
(-) Sobrevida al año ni a los 2 años.
Toxicidad :
CISPLATINO: náuseas-vómitos, anemia y trombopenia
NO CISPLATINO: neutropenia
No hubo diferencias en cuanto a las muertes tóxicas.
Sólo 3 estudios incluidos valoraron la calidad de vida por lo que no se
introdujo en el meta-análisis.
Amarasena et al Cochrane Library 2009
CICLOFOSFAMIDA-EPIRRUBICINA-VINCRISTINA vs CISPLATINO – ETOPOSIDO (EP)
N: 436
EP CEV p
Sobrevida 10.2 7.8 0.0004
EL 14.5 9.7 0.01
EE 8.4 6.5 ns
EP
CEV
SundtrØm et al, JCO 2002
Carboplatino
• Alternativa razonable en
Pacientes con Mal
Pronóstico.
• Menos Toxicidad que
Cisplatino
• Mediana Sobrevida EP es
comparable con EC en EE
Skarlos et al Ann Oncol 1994
Enfermedad Localizada
• De momento llevamos solo QMT con lo cual
CPCP Responde.
• Pero ¿Recaída?
• SI  80%
• Entonces?
– Radioterapia Torácica
– Considerando Alta Radiosensibilidad
Metanaanalisis:
Demostraron beneficio al añadir RDT torácica a la quimioterapia en pacientes con
enfermedad limitada
Beneficio en Sobrevida a los 2 años 5.4%
Reducción en Recaida loco-regional del 25%.
• Aun así, la terapia combinada no consigue
evitar que las recurrencias locales sean del 30-
60%.
Resumen:
Pacientes (EL) : 4-6 ciclos de cisplatino/etopósido + RT torácica precoz, Fraccionada y
quizás Hiperfraccionada
ECOG 2 o + : Secuencial o tardía.
Recomendación :
Realizar RDT forma precoz y concurrente con la QT,
Aclaración:
Todavía son necesarios más estudios fase III para conocer cuál es el mejor
fraccionamiento y otros aspectos para la integración optima de la QT y la RT torácica.
Conclusión:
Por lo tanto, diferentes estudios parecen indicar que es mejor el tratamiento
concurrente, precoz y quizás hiperfraccionado.
RDT Craneal Profiláctica en EL
• El CPCP es el tumor de pulmón que desarrolla
más metástasis cerebrales, observándose
hasta en el 80% de los casos a lo largo de la
evolución de la enfermedad.
• Surge la interrogante podriamos evitarla?
• Profilaxis?
Incidencia Mx Cerebral:
Sin Diferencias
Enfrentamiento:
ENF. LOCALIZADA (EL) 30% . Hemitórax
EN. EXTENDIDA (EE) 70%. Enf. Mx ✔
• mSG: 8 a 10 m
• Sobrevida 5 a es inferior al 2%.
 Buen estado general
 Edad joven
 Género mujer
 Ausencia de metástasis en el hígado,
médula ósea y SNC.
FACTORES
PRONOSTICOS
FAVORABLES
Doblete NO ha demostrado
diferencias en Sobrevida vs
Triplete, SI ha demostrado ser
menos tóxica.
La duración óptima del QMT es
incierta, pero la recomendación
actual es de 4-6 ciclos.
Se acepta la sustitución de cisplatino por carboplatino, con similares tasas de
respuesta, SLP y SG.
¿ Quimioresistencia ?
Estrategias en Quimioresistencia
Esquemas alternantes con diferentes
fármacos.
Asociación de múltiples fármacos (aportan un
ligero beneficio en supervivencia, alrededor
de 1.5 meses, pero con gran toxicidad)
Aumento de la intensificación de dosis.
Aumento del número de ciclos
Quimioterapia intensiva con trasplante de
células progenitoras hematopoyéticas
Quimioterapia de Mantención
Combinaciones con nuevos fármacos.
Ninguna ha sido Superior a
Tratamiento Estándar:
Cis/Carboplatino +
Etopósido x 4-6 ciclos.
Estudio Japonés
Combinaciones:
¿Serían estos Resultados Trasladables a
Población Occidental?
Estudio Americano
Conclusión:
Combinaciones de platino + camptotecinas en Población
Occidental demuestran IGUALDAD DE EFICACIA
Que Cisplatino/Etopósido con diferente perfil de toxicidad y
podrían considerarse regímenes alternativos en determinados
pacientes.
RDT Profiláctica Enfermedad Extendida
Conclusión:
Se considera que el tratamiento de RT holocraneal ha de iniciarse no
más allá de los primeros 6 meses después del diagnóstico y ha de
realizarse en pacientes que mantengan un buen ECOG, sin
comorbilidades ni afectación mental.
¿Ancianos?
Conclusión:
- Mal PS y Ancianos que podamos prever Alto Riesgo de
toxicidad:
- Es más efectivo dar dosis plenas de fármacos con soporte con
Factores Estimulantes de Colonias que dar Dosis Atenuadas, al
ser menor la eficacia, cumplimiento y toxicidad.
Segunda Línea
Generalidades
- Finalidad: Paliativa, mejorar los síntomas. Tener en cuenta
: Sobrevida de 4-6 meses
- Máximo Riesgo de Recaída: durante el primer año.
- Más se benefician: Respuesta Completa a la Primera Línea.
IMPORTANTE
Decisión 2ªL
 Estado general
 Estadío al diagnóstico
 Comorbilidad
 Respuesta
 Esquema de tratamiento
 Toxicidades derivadas de la quimioterapia
de primera línea
 El intervalo libre de progresión desde el fin
de tratamiento
Platinos y Respuesta:
Retomando Caso
Inicia QMT 1ºL: (2016 Septiembre-Diciembre)
- Etoposido + Cisplatino. 6 Ciclos Sin Toxicidad.
Control con Imágenes :
- PET CT Nov 2016
- RM Cerebro Enero 2017
Caso Clínico
Entre el 06.02.17 – 17.02.17
Recibió 30 Gy en 10 Fx en 2s.
Concomitante RDT VMAT con CBCT diario al Tu. Pulmonar residual y
Esternon 25 Gy en 5 Fx en 2s.
Baseline Septiembre 2016 Abril 2017
Diagnósticos
Cáncer Pulmonar Células Pequeñas etapa IV
1ª Progresión Cerebral
Platino Resistente
Caso Clínico
Caso Clínico
Se presenta a Comité de Oncología para
inicio de Paclitaxel Semanal
mS : 5.8m
Sobrevida 1 año: 13.4%
Respuesta 23.8%
Respuesta Parcial 29%
mS: 100 dias
mTiempo a Progresion: 65 dias
mDuración Respuesta: 108 días
Otros Agentes
Conclusiones:
• Poco Progreso en estos últimos años en el
Tratamiento la sobrevida continúa siendo pobre.
• Retos más importantes: Biología Molecular para
poder hallar nuevas dianas terapéuticas
• Analizar de forma prospectiva los nuevos
marcadores moleculares junto con los clínicos
para poder estratificar mejor a los pacientes en
grupos pronósticos lo que permitiría una
comparación válida de los resultados del
tratamiento así como una planificación más
racional del mismo.

CPCP

  • 1.
    Ca. Pulmonar CélulasPequeñas Dr. Daniel Agüero V Residente Oncología Médica 2017
  • 2.
    Hoja de Ruta -CASO CLINICO - EPIDEMIOLOGIA - ENFERMEDAD LOCALIZADA (EL) - ENFERMEDAD EXTENDIDA (ED) - CONCLUSIONES
  • 3.
    Caso Clínico • Iniciales:B.B.V.L • Sexo: Masculino • Edad: 66 años • Procedencia: Maipú • Actividad: Taxista • Divorciado, 3 hijos
  • 4.
    • Antecedentes personales: oMédicos: HTA o Quirúgicos: Apendicectomia 1973//Colecistectomia 2007//Drenaje Absceso Hepático 2009 o Fármacos: o Losartan 50 mg/día o Tramal 5 gotas SOS o Paracetamol 750 mg cada 12 horas o Clonazepam 1 mg/noche o Tabaco: 16/paq año $ 1987 OH: (ocasional) Alergia: Metamizol • Antecedentes Familiares: o Hermana Ca. Mama Caso Clínico
  • 5.
    Marzo 2016 : Disnea,Tos, Hemoptisis TAC Tórax : 08/16 Masa Pulmonar Derecho (Lesión Broncogénica 1ª) LN Mediastinicas PET CT: 09/16 Lesión Broncogénica 1ª LN Mediastinico, Hiliar, Cervical, Implante Pleural. Compromiso oseo. Caso Clínico Extra UC
  • 6.
  • 9.
    FBC: 09/16 Lesión Endoluminal LSD. Biopsia:09/16 Carcinoma Células Pequeñas RM Cerebro: 09/16 Lesión Cerebelosa Dª. Caso Clínico
  • 11.
    Diagnósticos Cáncer Pulmonar CélulasPequeñas Etapa IV compromiso Oseo, Cerebral, Pleural, Ganglionar Caso Clínico
  • 12.
    Caso Clínico UC IniciaQMT: - Etoposido + Cisplatino. 6 Ciclos (2016 Septiembre-Diciembre) - Sin Toxicidad.
  • 13.
    Ca. Pulmonar CélulasPequeñas Dr. Daniel Agüero V Residente Oncología Médica 2017
  • 14.
    Introducción – Representa aprox.12-15% de todos los Ca. De Pulmón. – Al Diagnóstico 2/3: Enfermedad Diseminada CARACTERISTICAS: PRINCIPALES  Corto tiempo de Duplicación  Gran fracción de crecimiento  Metastatis Precoz  Sobrevida: 5 s sin tratamiento  QT como tratamiento habitual  Mediana de Sobrevida 9-12 meses  Sobrevida a 2 años < 5%
  • 15.
  • 16.
    Epidemiología • La Incidenciaparece presentar una tendencia a disminuir: - Menor consumo de tabaco - Cambio composición de los cigarrillos - Aumento Adenocarcinoma. • Pero hay aumento mujeres: - Incorporación al hábito tabáquico más tardía (80 y 90) - Proporción de mujeres pasó del 18% en 1973 al 50% en el 2002 - Ratio hombre:mujer de 1:1.
  • 18.
    CLINICA Caracteristicas Tos yDisnea 50% - 40% Sd. Vv Cava Superior 10% Sd. Paraneoplásicos 15% Metastasis Caracteristicas Oseas 30% - 40% Hepáticas 20% -35% SSRR 5% - 30% Cerebro 15% al Dg
  • 19.
    Enfrentamiento: ENF. LOCALIZADA (EL)30% . Hemitórax EN. EXTENDIDA (EE) 70%. Enf. Mx Imagen Caracteristicas TAC Tórax-Abdomen Linfonodos: S: 60%; E: 80% PET CT SUV, LN : S80% E:90% RM cerebro Mx Cerebrales (80% a lo largo Enf) ✔
  • 20.
  • 21.
    Meta-análisis de 19estudios N: 4504 Combinaciones que contenían Cisplatino vs NO Cisplatino Incremento del 4.4% de supervivencia a 1 año Beneficio en respuestas QMT basada en PLATINO representa el pilar del tratamiento del Cáncer Pulmonar Células Pequeñas. Pujol et al Br J Cancer 2009 Meta analisis 21 estudios Cisplatino vs No Cisplatino Mediana Sobrevida 9.5 vs 7.1 meses, p: 0.002 QMT basada en Cisplatino, factor independiente de Sobrevida p: 0.04 Chute et al, JCO 1999
  • 22.
    Metaanalisis Cochrane 29estudios 5530 pacientes Cisplatino vs No Cisplatino: “BUENO”: Mejor respuesta para los esquemas con platino (odds ratio 1.26) Respuestas completas (odds ratio 1.39) Sobrevida, sólo es significativa a los 6 meses (odds ratio 1.19). “MALO” (-) Sobrevida al año ni a los 2 años. Toxicidad : CISPLATINO: náuseas-vómitos, anemia y trombopenia NO CISPLATINO: neutropenia No hubo diferencias en cuanto a las muertes tóxicas. Sólo 3 estudios incluidos valoraron la calidad de vida por lo que no se introdujo en el meta-análisis. Amarasena et al Cochrane Library 2009
  • 23.
    CICLOFOSFAMIDA-EPIRRUBICINA-VINCRISTINA vs CISPLATINO– ETOPOSIDO (EP) N: 436 EP CEV p Sobrevida 10.2 7.8 0.0004 EL 14.5 9.7 0.01 EE 8.4 6.5 ns EP CEV SundtrØm et al, JCO 2002
  • 24.
    Carboplatino • Alternativa razonableen Pacientes con Mal Pronóstico. • Menos Toxicidad que Cisplatino • Mediana Sobrevida EP es comparable con EC en EE Skarlos et al Ann Oncol 1994
  • 25.
    Enfermedad Localizada • Demomento llevamos solo QMT con lo cual CPCP Responde. • Pero ¿Recaída? • SI  80% • Entonces? – Radioterapia Torácica – Considerando Alta Radiosensibilidad
  • 26.
    Metanaanalisis: Demostraron beneficio alañadir RDT torácica a la quimioterapia en pacientes con enfermedad limitada Beneficio en Sobrevida a los 2 años 5.4% Reducción en Recaida loco-regional del 25%. • Aun así, la terapia combinada no consigue evitar que las recurrencias locales sean del 30- 60%.
  • 29.
    Resumen: Pacientes (EL) :4-6 ciclos de cisplatino/etopósido + RT torácica precoz, Fraccionada y quizás Hiperfraccionada ECOG 2 o + : Secuencial o tardía. Recomendación : Realizar RDT forma precoz y concurrente con la QT, Aclaración: Todavía son necesarios más estudios fase III para conocer cuál es el mejor fraccionamiento y otros aspectos para la integración optima de la QT y la RT torácica. Conclusión: Por lo tanto, diferentes estudios parecen indicar que es mejor el tratamiento concurrente, precoz y quizás hiperfraccionado.
  • 30.
    RDT Craneal Profilácticaen EL • El CPCP es el tumor de pulmón que desarrolla más metástasis cerebrales, observándose hasta en el 80% de los casos a lo largo de la evolución de la enfermedad. • Surge la interrogante podriamos evitarla? • Profilaxis?
  • 33.
  • 34.
    Enfrentamiento: ENF. LOCALIZADA (EL)30% . Hemitórax EN. EXTENDIDA (EE) 70%. Enf. Mx ✔ • mSG: 8 a 10 m • Sobrevida 5 a es inferior al 2%.  Buen estado general  Edad joven  Género mujer  Ausencia de metástasis en el hígado, médula ósea y SNC. FACTORES PRONOSTICOS FAVORABLES
  • 37.
    Doblete NO hademostrado diferencias en Sobrevida vs Triplete, SI ha demostrado ser menos tóxica. La duración óptima del QMT es incierta, pero la recomendación actual es de 4-6 ciclos.
  • 38.
    Se acepta lasustitución de cisplatino por carboplatino, con similares tasas de respuesta, SLP y SG.
  • 41.
    ¿ Quimioresistencia ? Estrategiasen Quimioresistencia Esquemas alternantes con diferentes fármacos. Asociación de múltiples fármacos (aportan un ligero beneficio en supervivencia, alrededor de 1.5 meses, pero con gran toxicidad) Aumento de la intensificación de dosis. Aumento del número de ciclos Quimioterapia intensiva con trasplante de células progenitoras hematopoyéticas Quimioterapia de Mantención Combinaciones con nuevos fármacos. Ninguna ha sido Superior a Tratamiento Estándar: Cis/Carboplatino + Etopósido x 4-6 ciclos.
  • 42.
  • 44.
    ¿Serían estos ResultadosTrasladables a Población Occidental?
  • 45.
  • 47.
    Conclusión: Combinaciones de platino+ camptotecinas en Población Occidental demuestran IGUALDAD DE EFICACIA Que Cisplatino/Etopósido con diferente perfil de toxicidad y podrían considerarse regímenes alternativos en determinados pacientes.
  • 48.
  • 51.
    Conclusión: Se considera queel tratamiento de RT holocraneal ha de iniciarse no más allá de los primeros 6 meses después del diagnóstico y ha de realizarse en pacientes que mantengan un buen ECOG, sin comorbilidades ni afectación mental.
  • 52.
  • 55.
    Conclusión: - Mal PSy Ancianos que podamos prever Alto Riesgo de toxicidad: - Es más efectivo dar dosis plenas de fármacos con soporte con Factores Estimulantes de Colonias que dar Dosis Atenuadas, al ser menor la eficacia, cumplimiento y toxicidad.
  • 56.
    Segunda Línea Generalidades - Finalidad:Paliativa, mejorar los síntomas. Tener en cuenta : Sobrevida de 4-6 meses - Máximo Riesgo de Recaída: durante el primer año. - Más se benefician: Respuesta Completa a la Primera Línea. IMPORTANTE Decisión 2ªL  Estado general  Estadío al diagnóstico  Comorbilidad  Respuesta  Esquema de tratamiento  Toxicidades derivadas de la quimioterapia de primera línea  El intervalo libre de progresión desde el fin de tratamiento
  • 57.
  • 67.
    Retomando Caso Inicia QMT1ºL: (2016 Septiembre-Diciembre) - Etoposido + Cisplatino. 6 Ciclos Sin Toxicidad. Control con Imágenes : - PET CT Nov 2016 - RM Cerebro Enero 2017
  • 69.
    Caso Clínico Entre el06.02.17 – 17.02.17 Recibió 30 Gy en 10 Fx en 2s. Concomitante RDT VMAT con CBCT diario al Tu. Pulmonar residual y Esternon 25 Gy en 5 Fx en 2s.
  • 70.
  • 71.
    Diagnósticos Cáncer Pulmonar CélulasPequeñas etapa IV 1ª Progresión Cerebral Platino Resistente Caso Clínico
  • 72.
    Caso Clínico Se presentaa Comité de Oncología para inicio de Paclitaxel Semanal
  • 73.
    mS : 5.8m Sobrevida1 año: 13.4% Respuesta 23.8%
  • 74.
    Respuesta Parcial 29% mS:100 dias mTiempo a Progresion: 65 dias mDuración Respuesta: 108 días
  • 75.
  • 76.
    Conclusiones: • Poco Progresoen estos últimos años en el Tratamiento la sobrevida continúa siendo pobre. • Retos más importantes: Biología Molecular para poder hallar nuevas dianas terapéuticas • Analizar de forma prospectiva los nuevos marcadores moleculares junto con los clínicos para poder estratificar mejor a los pacientes en grupos pronósticos lo que permitiría una comparación válida de los resultados del tratamiento así como una planificación más racional del mismo.

Notas del editor

  • #5  surgen de una multitud de alteraciones genéticas y epigenéticas, supervivencia global a los 5 años es sólo aproximadamente el 27% en los Estados Unidos 3
  • #6 Masa pulmonar central en el lóbulo superior derecho compatible con lesión broncogénica primaria. Conglomerados adenopáticos mediastínicos, hiliar y cervical bajo derechos, implante pleural ipsilateral y compromiso óseo multifocal secundarios. Nódulo retroperitoneal en fosa ilíaca izquierda sospechoso de localización secundaria. Nódulo pulmonar en el lóbulo superior izquierdo, bajo la resolución del estudio PET
  • #10  Flanco Derecho: 7.7 x 6.2 cm en Fosa Iliaca Izquierda: 7.7x6.9cm y periumbilical: 7.7x 5.5 cm Memorial Sloan Kettering Cancer Center MSKCC Alto Grado: celulas redondas 5-10%
  • #13  LN <1cm Enero 2015: Lesion ileon 2.3 cm y colon: 3.2 cm Mayo 2015: aumento lesiones
  • #19 Factores hormonales En estudios preclínicos se ha visto que los estrógenos estimulan las células pulmonares normales y cancerígenas. Reparación del ADN Las mujeres tienen disminuida la capacidad de reparación del ADN. Los carcinógenos del tabaco, los hidrocarburos aromáticos policíclicos, precisan de una activación a través del gen CYP1A1, provocando alteraciones en el ADN. A través de técnicas de PCR cuantitativo se ha comprobado que las mujeres tienen un nivel de expresión de CYP1A1 más elevado que los hombres.
  • #20 En general, un nódulo o masa pulmonar con un valor de SUV bajo 2.5 tiene una posibilidad de ser maligna de aproxi- madamente un 18%. Una lesión con SUV sobre 2.5 tiene una posibi- lidad de malignidad aproximada de un 50%. Lesiones con SUV sobre 5.0 son malignas en un 90% o más de los casos. Un valor de corte de SUV adecuado para plantear lesión posiblemente benigna o maligna es 2.5.
  • #22 CDE: Ciclofosfamida, Doxo, Etopsodo PCI: Irradiacion Profiláctica Craneal
  • #30 Sin embargo, dos estudios similares en los que se comparaba RT hiperfraccionada con RT convencional administrada en el cuarto ciclo (SECUENCIAL) no mostraron diferencias significativas, lo que podría hacer pensar que el beneficio de la RT hiperfraccionada se obtendría solo cuando se administra PRECOZMENTE o CONCURRENTE
  • #33 REDUCCION MORTALIDAD 16% !
  • #35 En cuanto a qué pacientes se benefician de la radioterapia holocraneal, se sabe que aquellos que tienen enfermedad limitada en RC o RP son los más beneficiados. Respecto al momento ideal de su administración, no existen estudios fase III que hayan explorado este aspecto, si bien en la práctica se recomienda administrarla cuanto antes tras finalizar la QT.
  • #37 CCNU: Lomustina
  • #55 30 -35% CPCP >70a
  • #68 Checkmate 032: Interpretation Nivolumab monotherapy and nivolumab plus ipilimumab showed antitumour activity with durable responses and manageable safety profiles in previously treated patients with SCLC. These data suggest a potential new treatment approach for a population of patients with limited treatment options and support the evaluation of nivolumab and nivolumab plus ipilimumab in phase 3 randomised controlled trials in SCLC.
  • #69  LN <1cm Enero 2015: Lesion ileon 2.3 cm y colon: 3.2 cm Mayo 2015: aumento lesiones
  • #71 Colectomia + Reseccion Intestino delgado y ligamento gastrocólico, se describia que tu tenian respuesta a tto”
  • #74  surgen de una multitud de alteraciones genéticas y epigenéticas, supervivencia global a los 5 años es sólo aproximadamente el 27% en los Estados Unidos 3
  • #75 Grade 3/4 leukopenia and neutropenia occurred in 47.5% and 64%, respectively. Other grade 3/4 toxicities included infection, skin rash, neuropathy and pulmonary toxicity