Lactante con macrocefalia Dra. María Ángeles Sesmero Lillo
Caso Varón de cuatro meses de edad Aumento excesivo del perímetro craneal (seis centímetros en dos meses) Fontanela amplia y normotensa Exploración general normal Desarrollo psicomotor normal
Antropometría Peso  Talla  Perímetro cefálico
Antecedentes  Embarazo, parto y periodo neonatal NORMALES 3 meses de edad: Vómitos e irritabilidad Sistemático de orina: Normal Urocultivo: Negativo Coprocultivo: Negativo Ecografía abdominal normal
Antecedentes 3,5 meses: Desviación ocular interna OI Derivación a Oftalmología: Normal Resolución espontánea en menos de dos semanas  Historia familiar de macrocefalia (rama paterna)
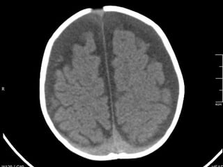
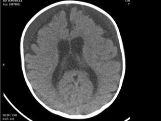
Pruebas complementarias Ecografía transfontanelar: Aumento de líquido subaracnoideo a nivel fronto-parietal Colecciones subdurales compatibles con hematomas subdurales Discreta dilatación del sistema ventricular
 
 
 
 
 
Diagnóstico diferencial Estudio de coagulación: Normal ¿Hematoma subdural espontáneo o por traumatismo? ¿Maltrato? Servicios sociales
Evolución clínica A los siete meses: TAC craneal: Hematomas subdurales bilaterales. Efecto masa Trépanos bilaterales con evacuación  Colocación de drenajes bilaterales 10 meses: Asintomático. Desarrollo psicomotor normal
Evolución del perímetro cefálico
¿Qué es? Hidrocefalia Aumento del LCR en cavidad craneal > P intraventricular y/o subaracnoidea > V de LCR intraventricular y/o subaracnoideo > Tamaño intraventricular y/o subaracnoideo HIPERTENSIÓN INTRACRANEAL AUMENTO DEL TAMAÑO CRANEAL
Clasificación Interna: dilatación de los sistemas ventriculares Externa: dilatación de los espacios subaracnoideos Congénita/Adquirida Obstructiva/Comunicante/Constrictiva
Hidrocefalia externa benigna Aumento rápido del perímetro craneal Primeros meses de la vida  Aumento de LCR en espacio subaracnoideo Tamaño ventricular normal o ligeramente aumentado Desaparición gradual
Sinónimos Efusión subdural benigna Higroma subdural Hidrocefalia obstructiva extraventricular Colección subdural benigna Hematoma subdural crónico Hidrocefalia benigna idiopática
Etiología Idiopática Inmadurez de vellosidades aracnoideas Asociación con: Prematuridad y hemorragia intraventricular Meningitis Tratamiento con esteroides Neurocirugía
Epidemiología 2/3 varones ¿Herencia? Relación con Macrocefalia familiar 40-80%: familiar con macrocefalia Patrón autosómico dominante Asociación con: craneosinostosis, acondroplasia, Síndrome de Sotos…
Síntomas y signos Aumento del tamaño craneal Fontanela anterior a tensión Más raros: abombamiento frontal, irritabilidad, hipotonía, vómitos, retraso motor, ataxia, convulsiones, fiebre y retraso mental Presión intracraneal normal o levemente elevada
Perímetro craneal Rápido aumento del tamaño craneal A los seis meses de edad Se estabiliza antes de los 18 meses Macrocefalia: 11-87%
Evolución natural Retraso motricidad gruesa Retraso del lenguaje  Hipotonía Autolimitados. 1-4 años.
Neuroimagen Espacio subaracnideo frontal aumentado con ventrículos normales o ligeramente aumentados Aumento de la cisura interhemisférica A veces, aumento del tercer ventrículo y de las cisternas basales
Hematoma subdural Mayor riesgo de hematoma subdural espontáneo o tras mínimo traumatismo Mecanismo: Desgarro de las venas del espacio subaracnoideo
Tratamiento Conservador Quirúrgico Indicado si existen signos y síntomas de hipertensión intracraneal
Conclusión Patología autolimitada y benigna Mayor riesgo de hematoma subdural espontáneo o con mínimos traumatismos

Lactante.con.macrocefalia

  • 1.
    Lactante con macrocefaliaDra. María Ángeles Sesmero Lillo
  • 2.
    Caso Varón decuatro meses de edad Aumento excesivo del perímetro craneal (seis centímetros en dos meses) Fontanela amplia y normotensa Exploración general normal Desarrollo psicomotor normal
  • 3.
    Antropometría Peso Talla Perímetro cefálico
  • 4.
    Antecedentes Embarazo,parto y periodo neonatal NORMALES 3 meses de edad: Vómitos e irritabilidad Sistemático de orina: Normal Urocultivo: Negativo Coprocultivo: Negativo Ecografía abdominal normal
  • 5.
    Antecedentes 3,5 meses:Desviación ocular interna OI Derivación a Oftalmología: Normal Resolución espontánea en menos de dos semanas Historia familiar de macrocefalia (rama paterna)
  • 6.
    Pruebas complementarias Ecografíatransfontanelar: Aumento de líquido subaracnoideo a nivel fronto-parietal Colecciones subdurales compatibles con hematomas subdurales Discreta dilatación del sistema ventricular
  • 7.
  • 8.
  • 9.
  • 10.
  • 11.
  • 12.
    Diagnóstico diferencial Estudiode coagulación: Normal ¿Hematoma subdural espontáneo o por traumatismo? ¿Maltrato? Servicios sociales
  • 13.
    Evolución clínica Alos siete meses: TAC craneal: Hematomas subdurales bilaterales. Efecto masa Trépanos bilaterales con evacuación Colocación de drenajes bilaterales 10 meses: Asintomático. Desarrollo psicomotor normal
  • 14.
  • 15.
    ¿Qué es? HidrocefaliaAumento del LCR en cavidad craneal > P intraventricular y/o subaracnoidea > V de LCR intraventricular y/o subaracnoideo > Tamaño intraventricular y/o subaracnoideo HIPERTENSIÓN INTRACRANEAL AUMENTO DEL TAMAÑO CRANEAL
  • 16.
    Clasificación Interna: dilataciónde los sistemas ventriculares Externa: dilatación de los espacios subaracnoideos Congénita/Adquirida Obstructiva/Comunicante/Constrictiva
  • 17.
    Hidrocefalia externa benignaAumento rápido del perímetro craneal Primeros meses de la vida Aumento de LCR en espacio subaracnoideo Tamaño ventricular normal o ligeramente aumentado Desaparición gradual
  • 18.
    Sinónimos Efusión subduralbenigna Higroma subdural Hidrocefalia obstructiva extraventricular Colección subdural benigna Hematoma subdural crónico Hidrocefalia benigna idiopática
  • 19.
    Etiología Idiopática Inmadurezde vellosidades aracnoideas Asociación con: Prematuridad y hemorragia intraventricular Meningitis Tratamiento con esteroides Neurocirugía
  • 20.
    Epidemiología 2/3 varones¿Herencia? Relación con Macrocefalia familiar 40-80%: familiar con macrocefalia Patrón autosómico dominante Asociación con: craneosinostosis, acondroplasia, Síndrome de Sotos…
  • 21.
    Síntomas y signosAumento del tamaño craneal Fontanela anterior a tensión Más raros: abombamiento frontal, irritabilidad, hipotonía, vómitos, retraso motor, ataxia, convulsiones, fiebre y retraso mental Presión intracraneal normal o levemente elevada
  • 22.
    Perímetro craneal Rápidoaumento del tamaño craneal A los seis meses de edad Se estabiliza antes de los 18 meses Macrocefalia: 11-87%
  • 23.
    Evolución natural Retrasomotricidad gruesa Retraso del lenguaje Hipotonía Autolimitados. 1-4 años.
  • 24.
    Neuroimagen Espacio subaracnideofrontal aumentado con ventrículos normales o ligeramente aumentados Aumento de la cisura interhemisférica A veces, aumento del tercer ventrículo y de las cisternas basales
  • 25.
    Hematoma subdural Mayorriesgo de hematoma subdural espontáneo o tras mínimo traumatismo Mecanismo: Desgarro de las venas del espacio subaracnoideo
  • 26.
    Tratamiento Conservador QuirúrgicoIndicado si existen signos y síntomas de hipertensión intracraneal
  • 27.
    Conclusión Patología autolimitaday benigna Mayor riesgo de hematoma subdural espontáneo o con mínimos traumatismos

Notas del editor

  • #8 Fosa craneal media: hematoma subdural agudo TEMPORAL bilateraL. Fosa posterior: aumento de los espacios que contienen LCR. No hay sangre en fosa posterior
  • #9 Hematoma frontal bilateral, mayor izquierdo.
  • #10 Aumento del LCR : cisura interhemisférica. Hematoma frontal bilateral AGUDO-SUBAGUDO
  • #11 Ventriculomegalia aumento de tamaño de ventrículos laterales. Hematoma subagudo bilateral frontal (menos denso que el parietal pero de mayor densidad que el LCR)
  • #12 Hematoma parietal bilateral agudo (sangre hiperdensa). Aumento del espacio interhemisférica