Anatomía y patología del
pericardio
SERVICIO RADIODIAGNÓSTICO
HOSPITAL UNIVERSITARIO DE SALAMANCA
9 MARZO 2014
Objetivos
• Definir la utilidad de las técnicas de imagen en la
evaluación del pericardio
• Revisar la anatomía normal
• Describir las distintas patologías que afectan al
pericardio
• Pericardio:
- Membrana formada por dos capas ( P. Fibroso y P. Seroso)
- Envuelve cuatro cámaras cardiacas y origen de grandes vasos
- Contiene líquido seroso (15-50 ml)
- Ligamentos frenopericárdicos, esternopericárdicos y co.dorsal
• Funciones:
- Reducir la fricción
- Limita la excesiva dilatación miocárdica
- Mantiene la posición fija
- Barrera frente a diseminación de infecciones/inflamaciones de estructuras adyacentes
pleurales, pulmonares, mediastínicas
Pruebas de imagen
Anatomía del pericardio normal
- P. FIBROSO: capa externa
- P. SEROSO: saco interno dos capas:
- Lámina externa parietal: en contacto
con el pericardio fibroso.
- Lámina interna visceral ó epicardio
en contacto con el corazón y con la
grasa epicárdica/coronarias.
SENOS / RECESOSSENOS / RECESOS
Anatomía del pericardio normal
¿… y en imagen?
 Grosor normal inferior a 2 mm
 Lineal hipodensa/hipointensa T1-T2
 tj.fibroso
 Visible alrededor de AD y VD
 AI parcialmente cubierta
 Recesos pericárdicos (ddx)
SENO TRANSVERSO
1.Receso aórtico superior
2.Receso aórtico inferior
3.Recesos de las arterias pulmonares
D e I
SENO TRANSVERSO
1.Receso aórtico superior
2.Receso aórtico inferior
3.Recesos de las arterias pulmonares
D e I
SENO OBLICUO
4.Receso pericárdico posterior
SENO OBLICUO
4.Receso pericárdico posterior
CAVIDAD PERICÁRDICA
5.Recesos venosos pulmonares D e I
6.Receso post-cava
CAVIDAD PERICÁRDICA
5.Recesos venosos pulmonares D e I
6.Receso post-cava
1
3
4
6
5
SENO TRANSVERSO
Receso aórtico superior
• Porción anterior:
• Anterior a la aorta y a la
arteria pulmonar
• Incluye el receso de la
ventana aortopulmonar
• Estructura triangular
característica hendida
entre los grandes vasos
• Porción posterior:
• Adyacente a pared
posterior de la Ao
ascendente
• Generalmente al mismo
nivel que la AP izquierda
• Morfología en semiluna
Receso aórtico superior
Receso aórtico inferior
• Entre la pared lateral
derecha de la Ao
Ascendente y la AD
• Extremo caudal a nivel de
la válvula aórtica
• Morfología en semiluna
Recesos de las arterias pulmonares
• Derecho: Entre arteria
pulmonar derecha y VCS
• Izquierdo: Entre arteria
pulmonar izquierda y vena
pulmonar superior
izquierda (*)
SENO TRANSVERSO
1.Receso aórtico superior
2.Receso aórtico inferior
3.Recesos de las arterias pulmonares
D e I
SENO TRANSVERSO
1.Receso aórtico superior
2.Receso aórtico inferior
3.Recesos de las arterias pulmonares
D e I
SENO OBLICUO
4.Receso pericárdico posterior
SENO OBLICUO
4.Receso pericárdico posterior
CAVIDAD PERICÁRDICA
5.Recesos venosos pulmonares D e I
6.Receso post-cava
CAVIDAD PERICÁRDICA
5.Recesos venosos pulmonares D e I
6.Receso post-cava
1
3
4
6
5
SENO OBLICUO
Receso pericárdico posterior
• Póstero-superior a la
aurícula izquierda,
anterior a esófago y
póstero-medial a la
vena pulmonar
superior izquierda
CAVIDAD PERICÁRDICA
Receso postcava
• Pared lateral de la VCS
• Entre arteria pulmonar derecha y
vena pulmonar superior derecha
• Generalmente pequeño
• Difícil visualización en ausencia de
derrame
Recesos venosos pulmonares D e I
• Entre las venas superiores e inferiores de cada lado
• Mejor visualización del derecho
Errores (seno transverso)
DATOS CLAVE:
Valores de atenuación ≈ agua
Continuación del receso con el pericardio
ALT. TÍMICAS MASA MEDIASTÍNICA ADENOPATÍAS
ADENOPATÍAS ALT. ESOFÁGICA
QUISTES
BRONCOGÉNICOS
Errores (seno oblicuo)
DATOS CLAVE:
Valores de atenuación ≈ agua
Continuación del receso con el pericardio
Ausencia congénita de pericardio
• Rara
• Parcial o completa
• Más frecuente parcial / izquierda
• Anomalías congénitas asociadas (30%):
 Tetralogía de Fallot
 Estenosis mitral
 Ductus arterioso persistente
 CIA
Patología del pericardio
ParcialCompleta
Derrame pericárdico
• Mecanismo:
 Aumento del filtrado
 Disminución del drenaje
linfático
• Estimación cuantía:
 semicuantitativa  Grosor
espacio pericárdico delante
del VD (> 5mm moderado)
Insuficiencia cardiaca
Insuficiencia renal
Infecciones (bacteriana, viral, TBC)
Infarto de miocardio
Neoplásica
Traumática
Radiación
SIMPLESIMPLE
COMPLICADOCOMPLICADO
SIMPLE
Atenuación = agua
COMPLICADO
Atenuación > agua
Realce irregular
Nódulos pericárdicos
SIMPLE
Atenuación = agua
COMPLICADO
Atenuación > agua
Realce irregular
Nódulos pericárdicos
Taponamiento pericárdico
• Signos radiológicos:
Derrame pericárdico
Colapso pared del VD (signo del corazón
aplanado)
Balanceo cardiaco
Movimiento paradójico del septo
interventricular
Dilatación de venas cavas
Compresión del seno coronario
Reflujo de contraste a vena ácigos
No depende exclusivamente del volumen  Presión intrapericárdica >20mmHg
Pericarditis
• Respuesta inflamatoria del
pericardio
 Idiopática (30%)
 Infecciones
 Conectivopatías: LES,ED
 F.Reumática, vasculitis
 Post-IAM (S.Dressler)
 Poscardiotomía
 Radiación
 Uremia
 Traumáticas
 Fármacos (Procainamida)
 …
Inflamación
Fibrosis
P. AGUDA
P.CRÓNICA
INFLAMATORIA
P. CRÓNICA
FIBROSANTE (P.
CONSTRICTIVA)
ENGROSAMIENTO + LISO
DERRAME
PLEURAL
VARIABLE
REALCE +
AFECTACIÓN
VENTRICULAR
-
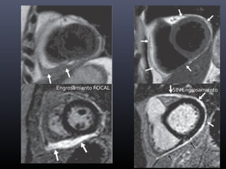
PERICARDITIS AGUDA
Pericarditis no es sinónimo de
engrosamiento
Engrosamiento DIFUSO
Engrosamiento FOCAL SIN Engrosamiento
ENGROSAMIENTO +
IRREGULAR
DERRAME
PLEURAL
VARIABLE
REALCE +
AFECTACIÓN
VENTRICULAR
-
PERICARDITIS
CRÓNICA
INFLAMATORIA
Engrosamiento SIN DERRAME
+++ GRASA
ENGROSAMIENTO + ( señal
si calcio o
fibrosis)
DERRAME
PLEURAL
-
REALCE -
AFECTACIÓN
VENTRICULAR
+ si
constricción
PERICARDITIS
CRÓNICA FIBROSANTE
PERICARDITIS
CONSTRICTIVA
 Engrosamiento,
fibrótico o calcificado
del pericardio que
impide la diástole de Vs
Presión sistémica
GC
 Más frecuente
pericardio
parietal/derecho
 Variantes
Ni engrosamiento ni calcio son diagnósticos de
P. Constrictiva si no hay clínica
 Engrosamiento +/- calcificación
 Morfología tubular ventricular
 Dilatación auricular
 Surcos atrioventriculares estrechos
 Septo interventricular sinuoso
 Dilatación VCs
 Aumento de PVS
Masas pericárdicas
• Inicialmente ECO TC y/o RM
Quiste
Divertículo
Hematoma
•Agudo
•Subagudo
•Crónico
Metástasis
•Ca pulmón o mama
•Linfoma
•Melanoma
Neoplasias primarias
•B: lipoma, teratoma, fibroma, hemangioma
•M: mesotelioma, linfoma, sarcoma, liposarcoma
Quiste pericárdico
• Atrapamiento de parte del pericardio durante el
desarrollo
• En mediastino
• Más frecuente ángulo cardiofrénico derecho(80%)
• Apariencia TÍPICA:
 Pared fina
 No septos
 Atenuación y señal = agua (*)
 No captación de CIV
Masa pericárdica más frecuente
Masa pericárdica más frecuente
CIV
CIV
Divertículo pericárdico
• Muy raro
• Pericardio parietal
• Congénito o adquirido
• Comunica con la cavidad pericárdica
• Quiste pleuropericárdico migratorio (*)
• Sospecha  Variaciones de tamaño
Se desplaza con los cambios posturales
Punto de unión con pericardio (pediculado)
DC supino
DC prono
Hematoma
• RM preferible a TC
T1 T2 OTROS
AGUDO  
SUBAGUDO   HETEROGENEO
CRÓNICO   BORDE
PERIFERICO
(Ca/Hemosiderina)
Dco diferencial:- Pseudoaneurismas ventriculares o coronarios
-Neoplasias
SUBAGUDO
CRÓNICOAGUDO
Metástasis
• Más frecuentes que Neoplasia 1ª
• ++ fr Ca Pulmón/Mama
• Vías de invasión:
• Linfática
• Vascular
• Por contigüidad
• RM  T1  T2 EXCEPTO melanoma
Metástasis
•Ca pulmón o mama
•Linfoma
•Melanoma
Engrosamiento irregular
o nodular
Nódulos o masas
Interrupción focal de la
línea pericárdica
Derrame pericárdico
hemorrágico
Tumores primarios
• Raros (0.05%)
• Benignos: lipoma, teratoma, fibroma, hemangioma
• Malignos: mesotelioma, linfoma, sarcoma, liposarcoma
• RM: localización y extensión
• Más frecuente MESOTELIOMA
• No relación con el asbesto
• Hoja parietal y visceral
• SIN invasión de estructuras cardiacas
Derrame pericárdico
Nódulos
Realza
Puede invadir miocardio (TM)
¡¡Gracias por vuestra atención!!

Patologia del pericardio

  • 1.
    Anatomía y patologíadel pericardio SERVICIO RADIODIAGNÓSTICO HOSPITAL UNIVERSITARIO DE SALAMANCA 9 MARZO 2014
  • 2.
    Objetivos • Definir lautilidad de las técnicas de imagen en la evaluación del pericardio • Revisar la anatomía normal • Describir las distintas patologías que afectan al pericardio
  • 3.
    • Pericardio: - Membranaformada por dos capas ( P. Fibroso y P. Seroso) - Envuelve cuatro cámaras cardiacas y origen de grandes vasos - Contiene líquido seroso (15-50 ml) - Ligamentos frenopericárdicos, esternopericárdicos y co.dorsal • Funciones: - Reducir la fricción - Limita la excesiva dilatación miocárdica - Mantiene la posición fija - Barrera frente a diseminación de infecciones/inflamaciones de estructuras adyacentes pleurales, pulmonares, mediastínicas
  • 4.
  • 5.
    Anatomía del pericardionormal - P. FIBROSO: capa externa - P. SEROSO: saco interno dos capas: - Lámina externa parietal: en contacto con el pericardio fibroso. - Lámina interna visceral ó epicardio en contacto con el corazón y con la grasa epicárdica/coronarias. SENOS / RECESOSSENOS / RECESOS
  • 6.
  • 7.
    ¿… y enimagen?  Grosor normal inferior a 2 mm  Lineal hipodensa/hipointensa T1-T2  tj.fibroso  Visible alrededor de AD y VD  AI parcialmente cubierta  Recesos pericárdicos (ddx)
  • 8.
    SENO TRANSVERSO 1.Receso aórticosuperior 2.Receso aórtico inferior 3.Recesos de las arterias pulmonares D e I SENO TRANSVERSO 1.Receso aórtico superior 2.Receso aórtico inferior 3.Recesos de las arterias pulmonares D e I SENO OBLICUO 4.Receso pericárdico posterior SENO OBLICUO 4.Receso pericárdico posterior CAVIDAD PERICÁRDICA 5.Recesos venosos pulmonares D e I 6.Receso post-cava CAVIDAD PERICÁRDICA 5.Recesos venosos pulmonares D e I 6.Receso post-cava 1 3 4 6 5
  • 9.
  • 10.
    Receso aórtico superior •Porción anterior: • Anterior a la aorta y a la arteria pulmonar • Incluye el receso de la ventana aortopulmonar • Estructura triangular característica hendida entre los grandes vasos
  • 11.
    • Porción posterior: •Adyacente a pared posterior de la Ao ascendente • Generalmente al mismo nivel que la AP izquierda • Morfología en semiluna Receso aórtico superior
  • 12.
    Receso aórtico inferior •Entre la pared lateral derecha de la Ao Ascendente y la AD • Extremo caudal a nivel de la válvula aórtica • Morfología en semiluna
  • 13.
    Recesos de lasarterias pulmonares • Derecho: Entre arteria pulmonar derecha y VCS • Izquierdo: Entre arteria pulmonar izquierda y vena pulmonar superior izquierda (*)
  • 14.
    SENO TRANSVERSO 1.Receso aórticosuperior 2.Receso aórtico inferior 3.Recesos de las arterias pulmonares D e I SENO TRANSVERSO 1.Receso aórtico superior 2.Receso aórtico inferior 3.Recesos de las arterias pulmonares D e I SENO OBLICUO 4.Receso pericárdico posterior SENO OBLICUO 4.Receso pericárdico posterior CAVIDAD PERICÁRDICA 5.Recesos venosos pulmonares D e I 6.Receso post-cava CAVIDAD PERICÁRDICA 5.Recesos venosos pulmonares D e I 6.Receso post-cava 1 3 4 6 5
  • 15.
    SENO OBLICUO Receso pericárdicoposterior • Póstero-superior a la aurícula izquierda, anterior a esófago y póstero-medial a la vena pulmonar superior izquierda
  • 16.
    CAVIDAD PERICÁRDICA Receso postcava •Pared lateral de la VCS • Entre arteria pulmonar derecha y vena pulmonar superior derecha • Generalmente pequeño • Difícil visualización en ausencia de derrame
  • 17.
    Recesos venosos pulmonaresD e I • Entre las venas superiores e inferiores de cada lado • Mejor visualización del derecho
  • 18.
    Errores (seno transverso) DATOSCLAVE: Valores de atenuación ≈ agua Continuación del receso con el pericardio ALT. TÍMICAS MASA MEDIASTÍNICA ADENOPATÍAS
  • 19.
    ADENOPATÍAS ALT. ESOFÁGICA QUISTES BRONCOGÉNICOS Errores(seno oblicuo) DATOS CLAVE: Valores de atenuación ≈ agua Continuación del receso con el pericardio
  • 20.
    Ausencia congénita depericardio • Rara • Parcial o completa • Más frecuente parcial / izquierda • Anomalías congénitas asociadas (30%):  Tetralogía de Fallot  Estenosis mitral  Ductus arterioso persistente  CIA Patología del pericardio
  • 21.
  • 22.
    Derrame pericárdico • Mecanismo: Aumento del filtrado  Disminución del drenaje linfático • Estimación cuantía:  semicuantitativa  Grosor espacio pericárdico delante del VD (> 5mm moderado) Insuficiencia cardiaca Insuficiencia renal Infecciones (bacteriana, viral, TBC) Infarto de miocardio Neoplásica Traumática Radiación
  • 23.
    SIMPLESIMPLE COMPLICADOCOMPLICADO SIMPLE Atenuación = agua COMPLICADO Atenuación> agua Realce irregular Nódulos pericárdicos SIMPLE Atenuación = agua COMPLICADO Atenuación > agua Realce irregular Nódulos pericárdicos
  • 24.
    Taponamiento pericárdico • Signosradiológicos: Derrame pericárdico Colapso pared del VD (signo del corazón aplanado) Balanceo cardiaco Movimiento paradójico del septo interventricular Dilatación de venas cavas Compresión del seno coronario Reflujo de contraste a vena ácigos No depende exclusivamente del volumen  Presión intrapericárdica >20mmHg
  • 26.
    Pericarditis • Respuesta inflamatoriadel pericardio  Idiopática (30%)  Infecciones  Conectivopatías: LES,ED  F.Reumática, vasculitis  Post-IAM (S.Dressler)  Poscardiotomía  Radiación  Uremia  Traumáticas  Fármacos (Procainamida)  … Inflamación Fibrosis P. AGUDA P.CRÓNICA INFLAMATORIA P. CRÓNICA FIBROSANTE (P. CONSTRICTIVA)
  • 27.
    ENGROSAMIENTO + LISO DERRAME PLEURAL VARIABLE REALCE+ AFECTACIÓN VENTRICULAR - PERICARDITIS AGUDA Pericarditis no es sinónimo de engrosamiento Engrosamiento DIFUSO Engrosamiento FOCAL SIN Engrosamiento
  • 28.
  • 29.
    ENGROSAMIENTO + (señal si calcio o fibrosis) DERRAME PLEURAL - REALCE - AFECTACIÓN VENTRICULAR + si constricción PERICARDITIS CRÓNICA FIBROSANTE PERICARDITIS CONSTRICTIVA  Engrosamiento, fibrótico o calcificado del pericardio que impide la diástole de Vs Presión sistémica GC  Más frecuente pericardio parietal/derecho  Variantes Ni engrosamiento ni calcio son diagnósticos de P. Constrictiva si no hay clínica
  • 30.
     Engrosamiento +/-calcificación  Morfología tubular ventricular  Dilatación auricular  Surcos atrioventriculares estrechos  Septo interventricular sinuoso  Dilatación VCs  Aumento de PVS
  • 31.
    Masas pericárdicas • InicialmenteECO TC y/o RM Quiste Divertículo Hematoma •Agudo •Subagudo •Crónico Metástasis •Ca pulmón o mama •Linfoma •Melanoma Neoplasias primarias •B: lipoma, teratoma, fibroma, hemangioma •M: mesotelioma, linfoma, sarcoma, liposarcoma
  • 32.
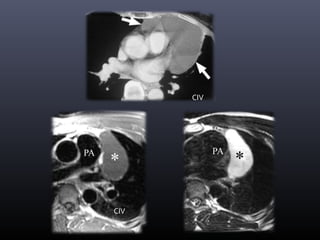
    Quiste pericárdico • Atrapamientode parte del pericardio durante el desarrollo • En mediastino • Más frecuente ángulo cardiofrénico derecho(80%) • Apariencia TÍPICA:  Pared fina  No septos  Atenuación y señal = agua (*)  No captación de CIV Masa pericárdica más frecuente Masa pericárdica más frecuente
  • 33.
  • 34.
    Divertículo pericárdico • Muyraro • Pericardio parietal • Congénito o adquirido • Comunica con la cavidad pericárdica • Quiste pleuropericárdico migratorio (*) • Sospecha  Variaciones de tamaño
  • 35.
    Se desplaza conlos cambios posturales Punto de unión con pericardio (pediculado) DC supino DC prono
  • 36.
    Hematoma • RM preferiblea TC T1 T2 OTROS AGUDO   SUBAGUDO   HETEROGENEO CRÓNICO   BORDE PERIFERICO (Ca/Hemosiderina) Dco diferencial:- Pseudoaneurismas ventriculares o coronarios -Neoplasias
  • 37.
  • 38.
    Metástasis • Más frecuentesque Neoplasia 1ª • ++ fr Ca Pulmón/Mama • Vías de invasión: • Linfática • Vascular • Por contigüidad • RM  T1  T2 EXCEPTO melanoma Metástasis •Ca pulmón o mama •Linfoma •Melanoma
  • 39.
    Engrosamiento irregular o nodular Nóduloso masas Interrupción focal de la línea pericárdica Derrame pericárdico hemorrágico
  • 40.
    Tumores primarios • Raros(0.05%) • Benignos: lipoma, teratoma, fibroma, hemangioma • Malignos: mesotelioma, linfoma, sarcoma, liposarcoma • RM: localización y extensión • Más frecuente MESOTELIOMA • No relación con el asbesto • Hoja parietal y visceral • SIN invasión de estructuras cardiacas
  • 41.
  • 42.

Notas del editor

  • #4 Capa fibrosa (externa). Capa serosa (interna)
  • #5 RX:Primera prueba técnica, INESPECIFICA (aumento de tamaño puede confundir con crecimiento cardiaco; calcificación no indicativa de constricción, neumopericardio, masas) ECOCARDIO: técnica mas empleada de valoracion pericardica(especialmente en sospecha de derrame o taponamiento), por disponibilidad y porque no usa radiaciones. TC: campo de visión amplio, detección de otras anomalías, mejor contraste que ecografía, excelente localización, detección de calcio. INCONVENIENTES: contraste yodado, ausencia de sincronización en la mayoría de los casos, dificultad de diferenciación entre líquido y engrosamiento. RM: no radiaciones, no contraste IV, caracterización de masas. INCONVENIENTES: Disponibilidad, arritmias.
  • #6 Las reflexiones de las capas serosas se disponen alrededor de dos estructuras tubulares complejas: -una de ellas engloba a la Aorta y al tronco de la Arteria Pulmonar -la otra engloba a la Vena Cava Superior e Inferior y a las 4 Venas Pulmonares.
  • #8 RX no visible en condiciones normales Auricula izquierda anormalmente dilatada en p constrictiva Recesos visibles por pequeña cantidad de líquido libre TC imagen lineal fina hipodensa RM banda hipointensa en secuencias t1 y t2, lo que traduce su naturaleza fibrosa El conocimiento de la localización de los recesos y senos pericárdicos evita confundirlos con adenopatías u otras masas mediastínicas. Algunos tumores y quistes pueden tener la misma localización. En imagen oncológica , la estadificación y el pronóstico pueden verse alterados por estos errores de interpretación , que podrían conducir a un tratamiento incorrecto de la enfermedad.
  • #9     Las reflexiones de la capa serosa se disponen en torno a dos tubos complejos (fig. 2 y 3). Uno de ellos incluye la aorta y el tronco de la pulmonar. El segundo incluye la vena cava superior, la vena cava inferior y las cuatro venas pulmonares. El seno transverso es el que pasa entre esos dos tubos y está dividido en receso aórtico superior e inferior y recesos pulmonares derecho e izquierdo. El seno oblicuo es un fondo de saco localizado detrás de la aurícula izquierda. Además, en la cavidad pericárdica propiamente dicha podemos distinguir el receso postcava y los recesos venosos pulmonares derecho e izquierdo.
  • #10 El seno transverso es un pasadizo entre estos dos tubos (aorta y a pulmonar/cava y v pulmonares).
  • #11 Es la extensión superior del seno transverso. En ventana aortopulmonar es importante ver su continuidad con la porción anterior del RAS y medir niveles de atenuación (similares al agua).
  • #13 Es la prolongación inferior del seno Transverso
  • #14 En su aspecto más medial se sitúa el ligamento de Marshall, que es un vestigio del remanente de la vena cava superior izquierda
  • #15     Las reflexiones de la capa serosa se disponen en torno a dos tubos complejos (fig. 2 y 3). Uno de ellos incluye la aorta y el tronco de la pulmonar. El segundo incluye la vena cava superior, la vena cava inferior y las cuatro venas pulmonares. El seno transverso es el que pasa entre esos dos tubos y está dividido en receso aórtico superior e inferior y recesos pulmonares derecho e izquierdo. El seno oblicuo es un fondo de saco localizado detrás de la aurícula izquierda. Además, en la cavidad pericárdica propiamente dicha podemos distinguir el receso postcava y los recesos venosos pulmonares derecho e izquierdo.
  • #16 Separado del seno Transverso por una doble reflexión del pericardio seroso.
  • #17 Este receso es muy pequeño y difícil de visualizar en ausencia de derrame pericárdico.
  • #18 Al penetrar las venas pulmonares en el pericardio fibroso para entrar en aurícula izquierda, el pericardio seroso las envuelve a modo de "manga" formando estos recesos. En TCMC, el receso de la VP derecho se suele visualizar con más frecuencia que el izquierdo .
  • #19 Quiste de duplicación esofágica
  • #20 Quiste de duplicación esofágica
  • #22 Rx simple: ausencia parcial de pericardio: prominencia del cono de la arteria pulmonar y orejuela izquierda. Radiolucencia entre el borde inferior cardiaco y el hemidiafragma izquierdo. TC/RM: ausencia parcial de pericardio. interposición de parénquima pulmonar entre aorta y arteria pulmonar (s-hachazo)/contacto directo del pulmón con estructuras cardiaca Ausencia total de pericardio: desplazamiento laterodorsal del corazón en la ausencia total.
  • #23 Liquido podrá apreciarse en la mayoría de los individuos normales en el receso pericárdico superior. Debido a su distribución no homogénea no podrá calcularse la cantidad total de líquido, sí podrá obtenerse una estimación semicuantitativa… grosor mayor de 5 mm derrame moderado.
  • #24 DERRAME SIMPLE ATENUACIÓN PROXIMA AL AGUA DERRAME COMPLICADO ATENUACIÓN MAYOR AL DE AGUA (derrame neoplásico, hemopericardio, exudado purulento o bien derrame secundario a hipotiroidismo) Y EN EL CASO DE NEOPLÁSICOS (REALCE IRREGULAR O NODULOS) Líquido entre la grasa mediastínica y grasa epicárdica Aumento del ICT forma en botella
  • #25 Es la situación clínica que se produce cuando el derrame pericárdico condiciona un aumento de la presión intrapericárdica (> de 20mm de Hg) que impide el llenado efectivo de los ventrículos. La clave del taponamiento está en la presión intrapericárdica y no en la cantidad de líquido. Si el derrame aumenta lentamente se pueden tolerar hasta 3 litros. En cambio si el aumento del derrame es rápido se puede producir taponamiento con pequeñas cantidades. Signo del corazón aplanado: aplanamiento de la superficie anterior del corazón con disminución del diámetro antero-posterior. - Signos del balanceo del corazón y colapso de cámaras derechas en diástole (secuencias cine MR).
  • #26 Taponamiento pericárdico secundario a rotura de raíz aórtica: derrame pericárdico (COMPLICADO), aplanamiento de cavidades derechas, desplazamiento del septo interventricular, dilatación de la VCI
  • #27 Pruebas de imagen indicadas: presentación atípica, complicaciones, falta de respuesta a tratamiento, causa traumática, patología asociada, monitorización de la respuesta a tratamiento antiinflamatorio.
  • #28 Tejido de granulación+fibrina+líquido Realce, focal o difuso, puede extenderse a grasa epicárdica y miocardio. Puede no haber engrosamiento. Fig 6 pericarditis aguda difusa realce difuso de pared parietal y visceral engrosada, derrame pericárdico Fig 7 PERICARDITIS AGUDA FOCALengrosamiento focal pericardico realce marcado de la pared inferior FIG 8 PERICARDITIS AGUDA SIN ENGROSAMIENTO realce difuso circunferencial sin engrosamiento
  • #29 FIBROBLASTOS COLAGENO Y MENOR CANTIDAD DE FIBRINA SE ASOCIA A AUMENTO DE LA GRASA EPICÁRDICA: RESPUESTA INFLAMATORIA CRÓNICA FIGURA 9 pericarditis cronica inflamatoria engrosamientoy realce difuso circunferencial sin derrame FIGURA 10 engrosamiento pericárdico circunferencial con grasa (flecha curva)
  • #30 DURANTE LA DIASTOLE EL LLENADO DEL VD PRECEDE LEVEMENTE AL DE VI DEBIDO A LA DIFERENCIA EN LAS PRESIONES INTRACAVITARIAS. LA EXISTENCIA DE UN PERICARDIO RIGIDO IMPIDE EL MOVIMIENTO DE LA PARED LIBRE DEL VD, CONDICIONANDO UN DESPLAZAMIENTO DEL TABIQUE IV HACIA LA IZQUIERDA AL INICIO DE LA DIASTOLE. POSTERIORMENTE, EL GRADIENTE DIASTOLICO TRANSEPTAL VUELVE A CAMBIAR POR EL AUENTO DE PRESION EN EL VI, Y EL SEPTO SE DESPLAZA DE NUEVO A LA DERECHA. LA COMBINACION DE ESTOS DESPLAZAMIENTO ES LO QUE SE CONOCE COMO MOVIMIENTO PARADOJICO DEL SEPTO. ESTE PATRON AUMENTA DURANTE LA INSPIRACION.
  • #31 CALCIFICACIÓN PERICARDICA A, Morfologia tubular de los ventriculos ( tubo izquierdo, conica derecho) Dilatacion auricular. b) Dilatacion de la vena cava inferior y ascitis DESVIACIÓN DEL SEPTO
  • #32 Masa en seno cardiofrenico derecho que borra el borde cardiaco ipsilateral…quiste pleuropericardico.
  • #33 Puede aparecer en cualquier parte del mediastino, aunque la localización más frecuente es el ángulo cardiofrénico derecho. Fig. 12 on page 26 Cuando se presenta en localizaciones atípicas, es indistinguible del quiste broncogénico o del quiste tímico. Angulo cardiofrenico derecho 80% casos Puede haber quistes en cualquier sitio donde haya pericardio
  • #34 RX: obliteración del seno por una masa ovalada, de borde bien definido TC: masa de bordes lisos en contacto con el pericardio, con valores de atenuación próximos al agua, sin realce tras contraste IV RM: en t1 masa de señal intermedia adyacente a arteria pulmonar. Tras la administración de contraste no presenta realce. Intensidad de señal homogenea.
  • #35 * infrecuente, quiste pleuropericárdico migratorio, pto de unión con pericardio, se modifica con la posición.
  • #36 * infrecuente, quiste pleuropericárdico migratorio, pto de unión con pericardio, se modifica con la posición. Q pericardico pediculado
  • #37 Caracteristicas de la imagen dependen del tiempo de evolución. HEMATOMAS NO REALZAN TRAS LA ADMINISTRACIÓN DE CONTRASTE NI TIENEN FLUJO INTERNO (SI EN PSEUDOANEURISMAS) Hematoma crónico: anillo oscuro periferico y baja señal por calcificación fibrosis o depósitos de hemosiderina. Alta señal por focos de sangrado.
  • #39 (EXCEPTO melanoma: hiperintensas en t1 por elevado contenido en melanina
  • #40 Cuando hay que sospechar?
  • #41 Diferencia con mesotelioma pleural
  • #42 La RM es una herramienta útil para el estudio de la localización del tumor, así como para obtener una excelente precisión anatómica de la extensión tumoral. En las imágenes potenciadas en T1, el mesotelioma suele tener una intensidad de señal igual o discretamente mayor que el miocardio, mientras que en las imágenes T2 la señal es similar o mayor que el tejido graso. En ocasiones, la señal en T2 es heterogénea, lo que traduce áreas de necrosis tumoral. Tras la administración de contraste paramagnético, se observa marcado realce del tumor. Flecha: invasion del miocardio PET-TC FDG AUMENTADO
  • #43 Venas cardiofrenicas: dsd braquiocefalico drenan a venas frénicas inferiores… flujo colateral si VCS o VCI se obstruyen VCI izquierda,,, desde vena cardinal anterior izquierda…pasando por la cara lateral izquierda del corazon Nervio frenico