 INTRODUCCION DE UN CATETER O TUBO
PARA DRENAJE DE LIQUIDO O AIRE CON
FINES DIAGNOSTICOS O TERAPEUTICOS.
DIAGNOSTICA
Derrame Pleural (> 10
mm en Rx decúbito
lateral)
Neumonía c/ derrame
d/c EMPIEMA
TERAPEUTICA
↓ disnea y shock por
compresión toráxica
Derrame pleural con
compromiso clínico
y/o gasométrico y
neumotórax a tensión
 Imposibilidad de localizar bordes
costales.
 Bulas subyacentes.
 Pulmón único.
 Elevación importante del
hemidiafragma izquierdo y/o
esplenomegalia importante.
 Derrames loculados.
 Infecciones activas en la pared torácica
(zoster, pioderma, etc.).
 Alteración importante de la hemostasia:
actividad de la protrombina <50%,
trombopenia (<50.000 PLT).
 Pequeño volumen de derrame, así como
neumotórax espontáneo <20%, sin
repercusión clínica.
 VM a presiones elevadas, (riesgo de
neumotórax).
DERRAME PLEURAL
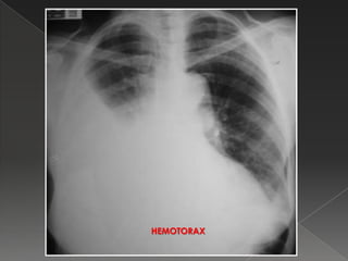
HEMOTORAX
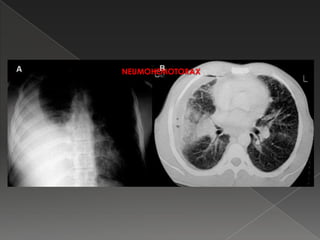
NEUMOHEMOTORAX
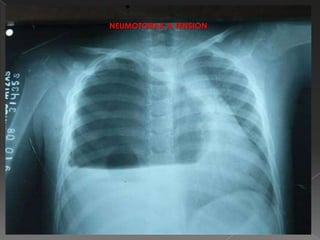
NEUMOTORAX A TENSION
 Bioseguridad.
 Jeringas.
 Lidocaína 2% s/e.
 Pinza kelly curva.
 Gasas y soluciones desinfectantes.
 Atropina  bradicardia.
 Tubos para muestras.
 Derrame pleural: llave de triple vía,
equipo venoclisis, abocath 16G o 18G.
 Sonda rectal para toracocentesis en
neumotórax.
 Sistema al vacío.
PREPARACION
LOCALIZACION
DEL DERRAME
POSICION
LUGAR DE
PUNCION
INICIAL
PROCEDIMIENTO:
EVACUACION O
DX.
 Hemotórax, hidroneumotórax.
 Hematoma parietal.
 Pleuritis.
 Edema agudo de pulmón unilateral,
edema ex-vacuo.
 Cuadro vaso-vagal.
 Punción de hígado o bazo.
 Embolia grasa.
 Rotura intrapleural del catéter.
 Tos y dolor local.
Toracocentesis

Toracocentesis