Cáncer de Ovario
Ginecología
Alicia Guadalupe Hernández Retureta 7 de Abril de 2014
Universidad Veracruzana
Facultad de Medicina
Epidemiología
Panorama global
GLOBOCAN 2012 (IARC) Section of Cancer Information (5/4/2014)
GLOBOCAN 2012 (IARC) Section of Cancer Information (5/4/2014)
6° en frecuencia, pero de mayor mortalidad
relativa que mama y cérvix...
Gallardo D. Cáncer de ovario. [Monografía en internet] Disponible en: http://www.cancerdeovariomexico.org/#!/estadistica
Cáncer de ovario en México
 2, 907 casos de Cáncer de
Ovario en 2003.
 2.64% de los tumores malignos
ginecológicos.
 Aumento de la incidencia según
la edad.
 50-54 años, 11.4% casos
 45-49 años 10.5% casos
 INCAN México: 5° neoplasia
más frecuente.
Cantú de León F, Jiménez-López J, Montiel-Gómez D, Gallardo-Rincón, Poveda A, Delgado-Bandera A, et. Al. “Cancer epitelial de ovario”. En: Granados-García M,
Herrera-Gómez A. Manual de Oncología. México: McGraw-Hill; 2010. Pp. 781-816.
Factores de riesgo
Factores de riesgo
Nuliparidad Menarca
temprana
Menopausia
tardía
Caucásicas Edad avanzada
Residencia en
Norteamérica y
norte de Europa
Antecedente
familiar
Schorge JO, Schaffer JI, Halvorson LM, Hoffman BL, Bradshaw KD, Cunningham G. “Cáncer ovárico epitelial”. En: Schorge JO, Schaffer JI, Halvorson LM, Hoffman BL,
Bradshaw KD, Cunningham G. Williams de Ginecología. México: McGraw.-Hill; 2009. Pp. 716-737.
Factores de riesgo
Nuliparidad
• Periodos largos
de ovulación
repetida.
• Interiorización,
daño y
reparación
continua de las
células ováricas
epiteliales.
Menarca temprana
y menopausia
tardía
• Limitación de la
ovulación por
periodos
prolongados:
Efecto protector.
• Anticonceptivos
orales, lactancia.
• Tx de sustitución
estrogénica
postmenopáusica:
Riesgo mayor.
Mujeres caucásicas
• Riesgo elevado
30-40% más que
en mujeres
hispanas o de
raza
afroamericana.
Schorge JO, Schaffer JI, Halvorson LM, Hoffman BL, Bradshaw KD, Cunningham G. “Cáncer ovárico epitelial”. En: Schorge JO, Schaffer JI, Halvorson LM, Hoffman BL,
Bradshaw KD, Cunningham G. Williams de Ginecología. México: McGraw.-Hill; 2009. Pp. 716-737.
Factores de riesgo
Edad
• La incidencia
eleva con la
edad hasta los
80 años donde
disminuye un
poco.
Norteamérica,
norte de Europa
• Consumo de
alimentos
bajos en
grasa, ricos en
fibra carotenos
y vitaminas:
Efecto
protector.
Antecedente
familiar.
• Antecedente
positivo en
familiar de
primer grado:
Riesgox3
• CaMa, CaCR
Schorge JO, Schaffer JI, Halvorson LM, Hoffman BL, Bradshaw KD, Cunningham G. “Cáncer ovárico epitelial”. En: Schorge JO, Schaffer JI, Halvorson LM, Hoffman BL,
Bradshaw KD, Cunningham G. Williams de Ginecología. México: McGraw.-Hill; 2009. Pp. 716-737.
Patogenia
Vías de oncogénesis
Mutaciones de K-ras
• Inhibición de la apoptosis celular.
• Promoción de la proliferación celular.
Predisposición hereditaria
• 5-10% mutación en BRCA.
• Desactivación de p53.
Proliferación celular abundante.
• Reparación cíclica de la superficie ovárica.
Cantú de León F, Jiménez-López J, Montiel-Gómez D, Gallardo-Rincón, Poveda A, Delgado-Bandera A, et. Al. “Cancer epitelial de ovario”. En: Granados-García M,
Herrera-Gómez A. Manual de Oncología. México: McGraw-Hill; 2010. Pp. 781-816.
 Epitelio gonadal*
o Restos de epitelio tubario
• Tumores serosos
o Restos de epitelio endometrial
• Tumores endometrioides
o Restos de epitelio endocervical
• Tumores mucinosos
o Restos de epitelio de los conductos
de Wolf
• Cáncer de células claras
o Restos de epitelio transicional de la
vejiga
• Tumor de Brenner
 Estroma gonadal
o T. de células de la granulosa
o T.de células de Sertoli-Leydig
 Células germinales
o Disgerminoma, carcinoma
embrionario, teratomas, t. dermoides
Tumores serosos
Benigno
Cistadenoma y cistoadenoma papilar
Papiloma superficial
Adenofibroma o cistadenofibroma
Borderline Cistadenoma y cistadenoma papilar
Bajo potencial maligno
Papiloma superficial
Adenofibroma o cistadenofibroma
Maligno
Adenocarcinoma, cistadenocarcinoma papilar
Carcinoma papilar superficial
Tumores mucinosos
Benigno
Cistadenoma
Adenofibroma o cistadenofibroma
Borderline Cistadenoma
Bajo potencial maligno Adenofibroma o cistadenofibroma
Maligno
Adenocarcinoma y cistadenocarcinoma
Adenofibroma maligno y cistadenofibroma
Tumores endometrioides
Benigno
Adenoma y cistadenoma
Adenofibroma y cistadenofibroma
Borderline Adenoma y cistadenoma
Bajo potencial maligno Adenofibroma, cistadenofibroma
Maligno
Adenocarcinoma
Adenoacantoma
Carcinoma adenoescamoso
Adenofibroma maligno y cistadenofibroma
Tumores de la estroma superficial y estroma del ovario
Adenoasarcoma
Sarcoma de la estroma
Tumor mixto mesodérmico (Mülleriano)
Homólogo y heterólogo
Tumor de células claras mesonefroides
Adenofibroma
Adenocarcinoma (carcinoma)
Tumores de células transicionales
Tumor de Brenner benigno y limítrofe
Tumor de Brenner maligno
Carcinoma de células transicionales
75% benignos, 25% malignos.
Son bilaterales en 20-30% de los casos.
Estructuras papilares y zonas necróticas: Indicadores de malignidad.
Tumores serosos
Masas quísticas muy grandes (hasta 25 kg).
Menos probabilidad de malignización.
Bilaterales: Menos frecuente.
Tumores mucinosos
20% de todos los carcinomas de ovario. Mayormente son de tipo maligno.
40% de las veces es bilateral. Cursan con cáncer de endometrio.
Áreas sólidas – Áreas quísticas.
Tumores endometrioides
• Signos y síntomas
• Exploración física
• Laboratorio
• Imagenología
• Parecentesis
Diagnóstico
 Objetivo principal: Diagnosticar el CaO en etapa I
 Detecciones intencionadas, 30 años.
 Mayor exigencia, 40 años.
 HC completa.
 Antecedentes de CaMa, CaCR, Ca de endometrio, de
ovario.
 Importancia de los síntomas de tubo digestivo.
 Exploración ginecológica + Tacto rectal.
 USG pélvico abdominal vaginal.
 Marcadores tumorales.
Signos y síntomas
 Aumento del tamaño abdominal.
 Distensión.
 Urgencia urinaria.
 Dolor pélvico.
 Dispareunia.
 Fatiga.
 Indigestión, estreñimiento.
 Dolor en la espalda.
 INVESTIGAR SI: Persistentes, más
intensos, más frecuente, de inicio
reciente.
Schorge JO, Schaffer JI, Halvorson LM, Hoffman BL, Bradshaw KD, Cunningham G. “Cáncer ovárico epitelial”. En: Schorge JO, Schaffer JI, Halvorson LM, Hoffman BL,
Bradshaw KD, Cunningham G. Williams de Ginecología. México: McGraw.-Hill; 2009. Pp. 716-737.
Exploración físicaTUMOR
• Localización
pélvica o
amdominopélvica.
• Sólidos, nodulares
y fijos.
• Mayor tamaño,
menor riesgo de
malignidad.
EXAMENRECTOVAGINAL
• Si la masa es
sólida, irregular,
fija, nodular,
unilateral o
bilateral.
• Evaluar superficie
uterina posterior,
fondo de saco de
Douglas,
ligamentos
cardinales,
tabique
rectovaginal
PALPACIÓNABDOMINAL
• Ascitis
significativa
• Onda líquida
• Abultamiento
de flanco
• Adenopatías
• Supraclavicular
es
• Inguinales
• Axilares
• Nódulo de la
Hermana María
José
Schorge JO, Schaffer JI, Halvorson LM, Hoffman BL, Bradshaw KD, Cunningham G. “Cáncer ovárico epitelial”. En: Schorge JO, Schaffer JI, Halvorson LM, Hoffman BL,
Bradshaw KD, Cunningham G. Williams de Ginecología. México: McGraw.-Hill; 2009. Pp. 716-737.
Laboratorio
 Biometría hemática
 Trombocitosis
 Liberación de citocinas aumentada por parte de las células
ováricas.
 Hiponatremia
 125-130 mEq/mL
 CA-125
 Elevado hasta en el 85% de los CaO (35 U/ml)
 Respuesta a tratamiento y Riesgo de malignidad
 βhCG, DHL, AFP. CA 15-3, CA 19-9.
Schorge JO, Schaffer JI, Halvorson LM, Hoffman BL, Bradshaw KD, Cunningham G. “Cáncer ovárico epitelial”. En: Schorge JO, Schaffer JI, Halvorson LM, Hoffman BL,
Bradshaw KD, Cunningham G. Williams de Ginecología. México: McGraw.-Hill; 2009. Pp. 716-737.
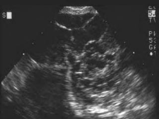
Imagenología
 Ecografía
 Tumores malignos: Multiloculados, sólidos ó ecogénicos,
mayores de 5cm, tabiques gruesos con áreas de
nodularidad.
 Flujometría doppler: Proyecciones papilares,
neovascularización.
 USG abdominal de difícil interpretación en pacientes
con enfermedad avanzada o masas tumorales grandes.
 Ascitis.
Schorge JO, Schaffer JI, Halvorson LM, Hoffman BL, Bradshaw KD, Cunningham G. “Cáncer ovárico epitelial”. En: Schorge JO, Schaffer JI, Halvorson LM, Hoffman BL,
Bradshaw KD, Cunningham G. Williams de Ginecología. México: McGraw.-Hill; 2009. Pp. 716-737.
Imagenología
 TAC
 Planeación quirúrgica
 Establecer presencia
de metástasis a
hígado u pulmón.
 Selección de pacientes
como candidatas o no
a resección óptima.
Schorge JO, Schaffer JI, Halvorson LM, Hoffman BL, Bradshaw KD, Cunningham G. “Cáncer ovárico epitelial”. En: Schorge JO, Schaffer JI, Halvorson LM, Hoffman BL,
Bradshaw KD, Cunningham G. Williams de Ginecología. México: McGraw.-Hill; 2009. Pp. 716-737.
Extirpación quirúrgica y estadificación completa.
Laparotomía exploratoria diagnóstica.
Estadificación
Informe histopatológico
Cantú de León F, Jiménez-López J, Montiel-Gómez D, Gallardo-Rincón, Poveda A, Delgado-Bandera A, et. Al. “Cancer epitelial de ovario”. En: Granados-García M,
Herrera-Gómez A. Manual de Oncología. México: McGraw-Hill; 2010. Pp. 781-816.
Tratamiento
Tratamiento en etapa temprana
 Extirpación quirúrgica: Estadificación completa.
 Extracción del líquido ascítico
 Biopsias peritoneales y epiplóicas.
 Tratamiento con conservación de la fertilidad.
 Enfermedad confinada a un solo ovario.
 Anexectomía unilateral – Quimioterapia posoperatoria.
 Quimioterapia adyuvante posoperatoria.
 IC-II, 3-6 ciclos de carboplatino y paclitaxel.
 Vigilancia posoperatoria: 20% de cánceres recurrentes.
Schorge JO, Schaffer JI, Halvorson LM, Hoffman BL, Bradshaw KD, Cunningham G. “Cáncer ovárico epitelial”. En: Schorge JO, Schaffer JI, Halvorson LM, Hoffman BL,
Bradshaw KD, Cunningham G. Williams de Ginecología. México: McGraw.-Hill; 2009. Pp. 716-737.
Tratamiento en etapas avanzadas
 Etapas III-IV representan dos tercios de las
pacientes.
 Tratamiento multimodal.
 Citorreducción quirúrgica (de ser posible).
 Primaria. Eliminar toda masa macroscópica.
 De intervalo. Citorreducción química.
 Quimioterapia posoperatoria.
Schorge JO, Schaffer JI, Halvorson LM, Hoffman BL, Bradshaw KD, Cunningham G. “Cáncer ovárico epitelial”. En: Schorge JO, Schaffer JI, Halvorson LM, Hoffman BL,
Bradshaw KD, Cunningham G. Williams de Ginecología. México: McGraw.-Hill; 2009. Pp. 716-737.
Laparotomía de revisión (un año post).
Quimioterapia de mantenimiento.
Vigilancia posterior
¡Gracias!

Cáncer de Ovario

  • 1.
    Cáncer de Ovario Ginecología AliciaGuadalupe Hernández Retureta 7 de Abril de 2014 Universidad Veracruzana Facultad de Medicina
  • 2.
  • 3.
    Panorama global GLOBOCAN 2012(IARC) Section of Cancer Information (5/4/2014)
  • 4.
    GLOBOCAN 2012 (IARC)Section of Cancer Information (5/4/2014)
  • 5.
    6° en frecuencia,pero de mayor mortalidad relativa que mama y cérvix... Gallardo D. Cáncer de ovario. [Monografía en internet] Disponible en: http://www.cancerdeovariomexico.org/#!/estadistica
  • 6.
    Cáncer de ovarioen México  2, 907 casos de Cáncer de Ovario en 2003.  2.64% de los tumores malignos ginecológicos.  Aumento de la incidencia según la edad.  50-54 años, 11.4% casos  45-49 años 10.5% casos  INCAN México: 5° neoplasia más frecuente. Cantú de León F, Jiménez-López J, Montiel-Gómez D, Gallardo-Rincón, Poveda A, Delgado-Bandera A, et. Al. “Cancer epitelial de ovario”. En: Granados-García M, Herrera-Gómez A. Manual de Oncología. México: McGraw-Hill; 2010. Pp. 781-816.
  • 7.
  • 8.
    Factores de riesgo NuliparidadMenarca temprana Menopausia tardía Caucásicas Edad avanzada Residencia en Norteamérica y norte de Europa Antecedente familiar Schorge JO, Schaffer JI, Halvorson LM, Hoffman BL, Bradshaw KD, Cunningham G. “Cáncer ovárico epitelial”. En: Schorge JO, Schaffer JI, Halvorson LM, Hoffman BL, Bradshaw KD, Cunningham G. Williams de Ginecología. México: McGraw.-Hill; 2009. Pp. 716-737.
  • 9.
    Factores de riesgo Nuliparidad •Periodos largos de ovulación repetida. • Interiorización, daño y reparación continua de las células ováricas epiteliales. Menarca temprana y menopausia tardía • Limitación de la ovulación por periodos prolongados: Efecto protector. • Anticonceptivos orales, lactancia. • Tx de sustitución estrogénica postmenopáusica: Riesgo mayor. Mujeres caucásicas • Riesgo elevado 30-40% más que en mujeres hispanas o de raza afroamericana. Schorge JO, Schaffer JI, Halvorson LM, Hoffman BL, Bradshaw KD, Cunningham G. “Cáncer ovárico epitelial”. En: Schorge JO, Schaffer JI, Halvorson LM, Hoffman BL, Bradshaw KD, Cunningham G. Williams de Ginecología. México: McGraw.-Hill; 2009. Pp. 716-737.
  • 10.
    Factores de riesgo Edad •La incidencia eleva con la edad hasta los 80 años donde disminuye un poco. Norteamérica, norte de Europa • Consumo de alimentos bajos en grasa, ricos en fibra carotenos y vitaminas: Efecto protector. Antecedente familiar. • Antecedente positivo en familiar de primer grado: Riesgox3 • CaMa, CaCR Schorge JO, Schaffer JI, Halvorson LM, Hoffman BL, Bradshaw KD, Cunningham G. “Cáncer ovárico epitelial”. En: Schorge JO, Schaffer JI, Halvorson LM, Hoffman BL, Bradshaw KD, Cunningham G. Williams de Ginecología. México: McGraw.-Hill; 2009. Pp. 716-737.
  • 11.
  • 12.
    Vías de oncogénesis Mutacionesde K-ras • Inhibición de la apoptosis celular. • Promoción de la proliferación celular. Predisposición hereditaria • 5-10% mutación en BRCA. • Desactivación de p53. Proliferación celular abundante. • Reparación cíclica de la superficie ovárica. Cantú de León F, Jiménez-López J, Montiel-Gómez D, Gallardo-Rincón, Poveda A, Delgado-Bandera A, et. Al. “Cancer epitelial de ovario”. En: Granados-García M, Herrera-Gómez A. Manual de Oncología. México: McGraw-Hill; 2010. Pp. 781-816.
  • 13.
     Epitelio gonadal* oRestos de epitelio tubario • Tumores serosos o Restos de epitelio endometrial • Tumores endometrioides o Restos de epitelio endocervical • Tumores mucinosos o Restos de epitelio de los conductos de Wolf • Cáncer de células claras o Restos de epitelio transicional de la vejiga • Tumor de Brenner  Estroma gonadal o T. de células de la granulosa o T.de células de Sertoli-Leydig  Células germinales o Disgerminoma, carcinoma embrionario, teratomas, t. dermoides
  • 14.
    Tumores serosos Benigno Cistadenoma ycistoadenoma papilar Papiloma superficial Adenofibroma o cistadenofibroma Borderline Cistadenoma y cistadenoma papilar Bajo potencial maligno Papiloma superficial Adenofibroma o cistadenofibroma Maligno Adenocarcinoma, cistadenocarcinoma papilar Carcinoma papilar superficial Tumores mucinosos Benigno Cistadenoma Adenofibroma o cistadenofibroma Borderline Cistadenoma Bajo potencial maligno Adenofibroma o cistadenofibroma Maligno Adenocarcinoma y cistadenocarcinoma Adenofibroma maligno y cistadenofibroma Tumores endometrioides Benigno Adenoma y cistadenoma Adenofibroma y cistadenofibroma Borderline Adenoma y cistadenoma Bajo potencial maligno Adenofibroma, cistadenofibroma Maligno Adenocarcinoma Adenoacantoma Carcinoma adenoescamoso Adenofibroma maligno y cistadenofibroma Tumores de la estroma superficial y estroma del ovario Adenoasarcoma Sarcoma de la estroma Tumor mixto mesodérmico (Mülleriano) Homólogo y heterólogo Tumor de células claras mesonefroides Adenofibroma Adenocarcinoma (carcinoma) Tumores de células transicionales Tumor de Brenner benigno y limítrofe Tumor de Brenner maligno Carcinoma de células transicionales
  • 15.
    75% benignos, 25%malignos. Son bilaterales en 20-30% de los casos. Estructuras papilares y zonas necróticas: Indicadores de malignidad. Tumores serosos
  • 16.
    Masas quísticas muygrandes (hasta 25 kg). Menos probabilidad de malignización. Bilaterales: Menos frecuente. Tumores mucinosos
  • 17.
    20% de todoslos carcinomas de ovario. Mayormente son de tipo maligno. 40% de las veces es bilateral. Cursan con cáncer de endometrio. Áreas sólidas – Áreas quísticas. Tumores endometrioides
  • 18.
    • Signos ysíntomas • Exploración física • Laboratorio • Imagenología • Parecentesis Diagnóstico
  • 19.
     Objetivo principal:Diagnosticar el CaO en etapa I  Detecciones intencionadas, 30 años.  Mayor exigencia, 40 años.  HC completa.  Antecedentes de CaMa, CaCR, Ca de endometrio, de ovario.  Importancia de los síntomas de tubo digestivo.  Exploración ginecológica + Tacto rectal.  USG pélvico abdominal vaginal.  Marcadores tumorales.
  • 20.
    Signos y síntomas Aumento del tamaño abdominal.  Distensión.  Urgencia urinaria.  Dolor pélvico.  Dispareunia.  Fatiga.  Indigestión, estreñimiento.  Dolor en la espalda.  INVESTIGAR SI: Persistentes, más intensos, más frecuente, de inicio reciente. Schorge JO, Schaffer JI, Halvorson LM, Hoffman BL, Bradshaw KD, Cunningham G. “Cáncer ovárico epitelial”. En: Schorge JO, Schaffer JI, Halvorson LM, Hoffman BL, Bradshaw KD, Cunningham G. Williams de Ginecología. México: McGraw.-Hill; 2009. Pp. 716-737.
  • 21.
    Exploración físicaTUMOR • Localización pélvicao amdominopélvica. • Sólidos, nodulares y fijos. • Mayor tamaño, menor riesgo de malignidad. EXAMENRECTOVAGINAL • Si la masa es sólida, irregular, fija, nodular, unilateral o bilateral. • Evaluar superficie uterina posterior, fondo de saco de Douglas, ligamentos cardinales, tabique rectovaginal PALPACIÓNABDOMINAL • Ascitis significativa • Onda líquida • Abultamiento de flanco • Adenopatías • Supraclavicular es • Inguinales • Axilares • Nódulo de la Hermana María José Schorge JO, Schaffer JI, Halvorson LM, Hoffman BL, Bradshaw KD, Cunningham G. “Cáncer ovárico epitelial”. En: Schorge JO, Schaffer JI, Halvorson LM, Hoffman BL, Bradshaw KD, Cunningham G. Williams de Ginecología. México: McGraw.-Hill; 2009. Pp. 716-737.
  • 22.
    Laboratorio  Biometría hemática Trombocitosis  Liberación de citocinas aumentada por parte de las células ováricas.  Hiponatremia  125-130 mEq/mL  CA-125  Elevado hasta en el 85% de los CaO (35 U/ml)  Respuesta a tratamiento y Riesgo de malignidad  βhCG, DHL, AFP. CA 15-3, CA 19-9. Schorge JO, Schaffer JI, Halvorson LM, Hoffman BL, Bradshaw KD, Cunningham G. “Cáncer ovárico epitelial”. En: Schorge JO, Schaffer JI, Halvorson LM, Hoffman BL, Bradshaw KD, Cunningham G. Williams de Ginecología. México: McGraw.-Hill; 2009. Pp. 716-737.
  • 23.
    Imagenología  Ecografía  Tumoresmalignos: Multiloculados, sólidos ó ecogénicos, mayores de 5cm, tabiques gruesos con áreas de nodularidad.  Flujometría doppler: Proyecciones papilares, neovascularización.  USG abdominal de difícil interpretación en pacientes con enfermedad avanzada o masas tumorales grandes.  Ascitis. Schorge JO, Schaffer JI, Halvorson LM, Hoffman BL, Bradshaw KD, Cunningham G. “Cáncer ovárico epitelial”. En: Schorge JO, Schaffer JI, Halvorson LM, Hoffman BL, Bradshaw KD, Cunningham G. Williams de Ginecología. México: McGraw.-Hill; 2009. Pp. 716-737.
  • 29.
    Imagenología  TAC  Planeaciónquirúrgica  Establecer presencia de metástasis a hígado u pulmón.  Selección de pacientes como candidatas o no a resección óptima. Schorge JO, Schaffer JI, Halvorson LM, Hoffman BL, Bradshaw KD, Cunningham G. “Cáncer ovárico epitelial”. En: Schorge JO, Schaffer JI, Halvorson LM, Hoffman BL, Bradshaw KD, Cunningham G. Williams de Ginecología. México: McGraw.-Hill; 2009. Pp. 716-737.
  • 30.
    Extirpación quirúrgica yestadificación completa. Laparotomía exploratoria diagnóstica. Estadificación
  • 31.
    Informe histopatológico Cantú deLeón F, Jiménez-López J, Montiel-Gómez D, Gallardo-Rincón, Poveda A, Delgado-Bandera A, et. Al. “Cancer epitelial de ovario”. En: Granados-García M, Herrera-Gómez A. Manual de Oncología. México: McGraw-Hill; 2010. Pp. 781-816.
  • 34.
  • 35.
    Tratamiento en etapatemprana  Extirpación quirúrgica: Estadificación completa.  Extracción del líquido ascítico  Biopsias peritoneales y epiplóicas.  Tratamiento con conservación de la fertilidad.  Enfermedad confinada a un solo ovario.  Anexectomía unilateral – Quimioterapia posoperatoria.  Quimioterapia adyuvante posoperatoria.  IC-II, 3-6 ciclos de carboplatino y paclitaxel.  Vigilancia posoperatoria: 20% de cánceres recurrentes. Schorge JO, Schaffer JI, Halvorson LM, Hoffman BL, Bradshaw KD, Cunningham G. “Cáncer ovárico epitelial”. En: Schorge JO, Schaffer JI, Halvorson LM, Hoffman BL, Bradshaw KD, Cunningham G. Williams de Ginecología. México: McGraw.-Hill; 2009. Pp. 716-737.
  • 36.
    Tratamiento en etapasavanzadas  Etapas III-IV representan dos tercios de las pacientes.  Tratamiento multimodal.  Citorreducción quirúrgica (de ser posible).  Primaria. Eliminar toda masa macroscópica.  De intervalo. Citorreducción química.  Quimioterapia posoperatoria. Schorge JO, Schaffer JI, Halvorson LM, Hoffman BL, Bradshaw KD, Cunningham G. “Cáncer ovárico epitelial”. En: Schorge JO, Schaffer JI, Halvorson LM, Hoffman BL, Bradshaw KD, Cunningham G. Williams de Ginecología. México: McGraw.-Hill; 2009. Pp. 716-737.
  • 37.
    Laparotomía de revisión(un año post). Quimioterapia de mantenimiento. Vigilancia posterior
  • 38.

Notas del editor

  • #13 P53, en el brazo corto del cromosoma 17, es el guardián del genoma. Es un inductor de respuesta ante daño de ADN, deteniendo el ciclo celular en el caso de mutación, es un gen supresor tumoral.
  • #14 Cualquiera de estos puede desarrollar un adenocarcinoma ovárico. Según la invasión hacia el estroma que este presente, pueden ser borderline o francamente malignos. Los adenocarcinomas epiteliales del ovario son los más frecuentes.
  • #25 Multiloculares e hipoecoicos. Tumores serosos y mucinosos.
  • #26 Sólidos, contienen zonas líquidas o necróticas.
  • #27 Carcinoma endometrioide
  • #28 Cistoadenocarcinoma seroso con neovascularización.