FUNDAMENTOS DEL
DIAGNOSTICO POR
IMAGEN
RAD. O. ALAN BARRIOS LOZA


                      agosto 2010
OBJETIVOS
 Entender en un aspecto general la
  importancia de los estudios radiológicos para
  el diagnostico clínico.
 Conocer conceptos y palabras clave para la
  interpretación de radiografías.
 Comprender los fundamentos de anatomía
  radiológica en Telerradiografía de Tórax y
  Abdomen.
 Interpretación y diagnostico de las patologías
  mas comunes en rx. de tórax y P.S.A.
CONCEPTOS BÁSICOS
 RADIOLOGÍA
La radiología es la especialidad médica que se
  ocupa de generar imágenes del interior del
  cuerpo mediante diferentes agentes físicos
  (rayos X, ultrasonidos, campos magnéticos,
  etc.) y de utilizar estas imágenes para el
  diagnóstico y, en menor medida, para el
  pronóstico y el tratamiento de las
  enfermedades. También se le denomina
  genéricamente radiodiagnóstico,
  IMAGENOLOGIA o diagnóstico por imagen.
CONCEPTOS BÁSICOS

 Por otro lado, la Radiología puede
  dividirse en tres grandes grupos, según su
  actividad principal:
   Radiología Diagnóstica o Radiodiagnóstico


   Radiología Intervencionista


    Medicina nuclear
CONCEPTOS BASICOS

           RADIOLOGÍA DIAGNOSTICA

 RAYOS       ULTRASONIDO     TOMOGRAFÍA   RESONANCIA
  “X”                        COMPUTADA    MAGNÉTICA


ESTUDIOS
                               SIMPLE       SIMPLE
SIMPLES

                            CONTRASTADA   CONTRASTADA
ESTUDIOS
CONTRASTADOS

             FLUOROSCOPIA
RAYOS “X”

 La denominación rayos X designa a una
  radiación electromagnética, invisible, capaz
  de atravesar cuerpos opacos y de impresionar
  las películas fotográficas. La longitud de onda
  está entre 10 a 0,1 nanómetros,
  correspondiendo a frecuencias en el rango de
  30 a 3.000 MHz (de 50 a 5.000 veces la
  frecuencia de la luz visible).
RAYOS “X”

Es decir, los rayos “x” son ondas
 electromagnéticas con una corta longitud
 de onda pero un gran poder de
 penetración.
ANTECEDENTES

DESCUBRIMIENTO DE LOS RAYOS “X”.
el 8 de noviembre de 1895 se descubren los
  rayos x; el físico Wilhem Conrad
  Röntgen , realiza experimentos con los
  tubos de Hittorff-Crookes (o simplemente
  tubo de Crookes).
RADIOGRAFIA
 Una radiografía es una imagen registrada en
 una película fotográfica. La imagen se
 obtiene al exponer dicha placa o película a
 una fuente de radiación de alta energía,
 comúnmente rayos X.

 NOTA: NO SON PLACAS
Radiolucido VS Radiopaco

 Radiopaco: Capaz de atenuar la radiación,
  es decir, aquella materia que dificulta el paso
  de los rayos “x”; por lo que en una
  radiografía se apreciara de color blanco, el
  hueso por ejemplo.
 Radiolucido: No es capaza de atenuar la
  radiación: Material que fácilmente es
  traspasado por los rayos “x”, en una
  radiografía lo notaremos con tonalidades
  oscuras o negro, ejemplo: el aire.
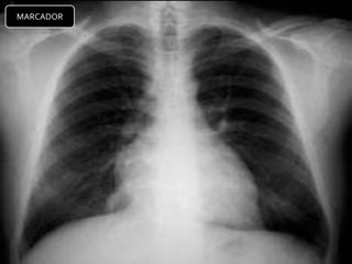
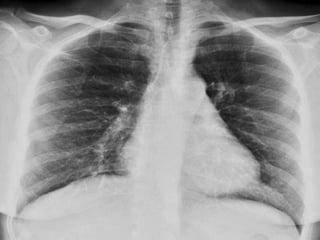
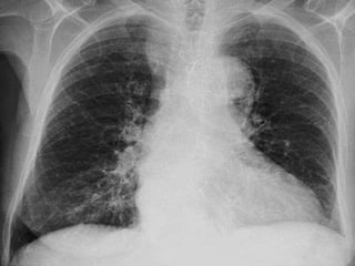
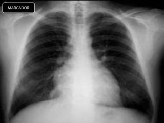
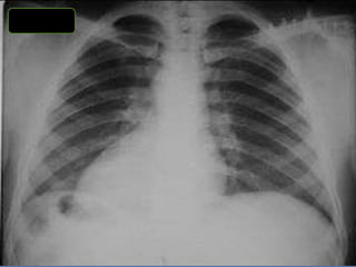
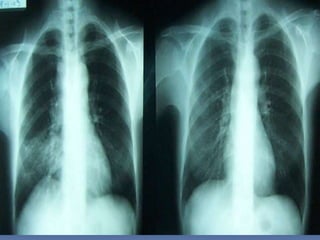
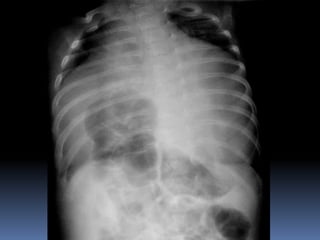
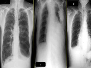
TELERADIOGRAFIA DE TX.
MARCADOR
CRITERIOS DE EVALUACION RX.
                              TX.
 Pulmones desde ápex
    hasta senos costo
    diafragmáticos
   Pulmones y corazón sin
    rotación.
   10 pares de costillas.
   Sombra área de la
    tráquea centrada sobre
    la columna.
   Balance en los
    contrastes de la imagen
    (exposición adecuada).
INTERPRETACION
 Revisar estructuras
    óseas.
   Partes blandas.
   Espacios intercostales.
   Parénquima pulmonar
   Nivel de los senos
    costodiafragmaticos.
   Neumatización.
   Trama alveolo-pulmonar
   Silueta cardiaca
   Cayado aórtico.
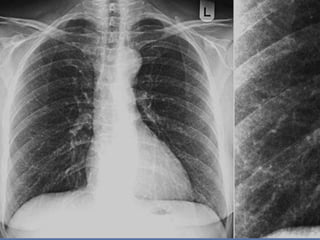
MARCADOR
1
        3




    2
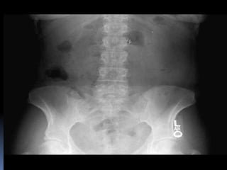
PROYECCION SIMPLE DE
     ABDOMEN
CRITERIOS DE EVALUACION
                          P.S.A.
 Apreciar desde el
  abdomen superior hasta
  la sínfisis del pubis.
 Lumbares, pelvis y
  ultimas costillas sin
  rotación.
 Apófisis espinosas en el
  centro de cuerpos
  vertebrales.
 Ver el bazo, riñones,
  psoas y “borde inferior
  hepático
INTERPRETACION
 Estructuras óseas
  (densidades).
 Tejido blando
 Psoas.
 Bazo
 Niveles Hidroareos.
 I.D.
 Colon
 Silueta Renal
GRACIAS!!!!
 POR SU
ATENCION

Diagnostico por imagen_imss[1]

  • 1.
  • 2.
    RAD. O. ALANBARRIOS LOZA agosto 2010
  • 3.
    OBJETIVOS  Entender enun aspecto general la importancia de los estudios radiológicos para el diagnostico clínico.  Conocer conceptos y palabras clave para la interpretación de radiografías.  Comprender los fundamentos de anatomía radiológica en Telerradiografía de Tórax y Abdomen.  Interpretación y diagnostico de las patologías mas comunes en rx. de tórax y P.S.A.
  • 4.
    CONCEPTOS BÁSICOS  RADIOLOGÍA Laradiología es la especialidad médica que se ocupa de generar imágenes del interior del cuerpo mediante diferentes agentes físicos (rayos X, ultrasonidos, campos magnéticos, etc.) y de utilizar estas imágenes para el diagnóstico y, en menor medida, para el pronóstico y el tratamiento de las enfermedades. También se le denomina genéricamente radiodiagnóstico, IMAGENOLOGIA o diagnóstico por imagen.
  • 5.
    CONCEPTOS BÁSICOS  Porotro lado, la Radiología puede dividirse en tres grandes grupos, según su actividad principal:  Radiología Diagnóstica o Radiodiagnóstico  Radiología Intervencionista Medicina nuclear
  • 6.
    CONCEPTOS BASICOS RADIOLOGÍA DIAGNOSTICA RAYOS ULTRASONIDO TOMOGRAFÍA RESONANCIA “X” COMPUTADA MAGNÉTICA ESTUDIOS SIMPLE SIMPLE SIMPLES CONTRASTADA CONTRASTADA ESTUDIOS CONTRASTADOS FLUOROSCOPIA
  • 7.
    RAYOS “X”  Ladenominación rayos X designa a una radiación electromagnética, invisible, capaz de atravesar cuerpos opacos y de impresionar las películas fotográficas. La longitud de onda está entre 10 a 0,1 nanómetros, correspondiendo a frecuencias en el rango de 30 a 3.000 MHz (de 50 a 5.000 veces la frecuencia de la luz visible).
  • 8.
    RAYOS “X” Es decir,los rayos “x” son ondas electromagnéticas con una corta longitud de onda pero un gran poder de penetración.
  • 9.
    ANTECEDENTES DESCUBRIMIENTO DE LOSRAYOS “X”. el 8 de noviembre de 1895 se descubren los rayos x; el físico Wilhem Conrad Röntgen , realiza experimentos con los tubos de Hittorff-Crookes (o simplemente tubo de Crookes).
  • 13.
    RADIOGRAFIA  Una radiografíaes una imagen registrada en una película fotográfica. La imagen se obtiene al exponer dicha placa o película a una fuente de radiación de alta energía, comúnmente rayos X.  NOTA: NO SON PLACAS
  • 14.
    Radiolucido VS Radiopaco Radiopaco: Capaz de atenuar la radiación, es decir, aquella materia que dificulta el paso de los rayos “x”; por lo que en una radiografía se apreciara de color blanco, el hueso por ejemplo.  Radiolucido: No es capaza de atenuar la radiación: Material que fácilmente es traspasado por los rayos “x”, en una radiografía lo notaremos con tonalidades oscuras o negro, ejemplo: el aire.
  • 16.
  • 17.
  • 18.
    CRITERIOS DE EVALUACIONRX. TX.  Pulmones desde ápex hasta senos costo diafragmáticos  Pulmones y corazón sin rotación.  10 pares de costillas.  Sombra área de la tráquea centrada sobre la columna.  Balance en los contrastes de la imagen (exposición adecuada).
  • 19.
    INTERPRETACION  Revisar estructuras óseas.  Partes blandas.  Espacios intercostales.  Parénquima pulmonar  Nivel de los senos costodiafragmaticos.  Neumatización.  Trama alveolo-pulmonar  Silueta cardiaca  Cayado aórtico.
  • 20.
  • 28.
    1 3 2
  • 29.
  • 30.
    CRITERIOS DE EVALUACION P.S.A.  Apreciar desde el abdomen superior hasta la sínfisis del pubis.  Lumbares, pelvis y ultimas costillas sin rotación.  Apófisis espinosas en el centro de cuerpos vertebrales.  Ver el bazo, riñones, psoas y “borde inferior hepático
  • 31.
    INTERPRETACION  Estructuras óseas (densidades).  Tejido blando  Psoas.  Bazo  Niveles Hidroareos.  I.D.  Colon  Silueta Renal
  • 40.