POR:
CARRIQUIRY CHEQUER NORA
15 DE OCTUBRE DE 2015.
Introducción
• Anomalía congénita más frecuente del
TGI (2% población).
• Consiste en un fondo de saco ciego que
nace del íleon.
• Es un resto del conducto
onfalomesenterico que en el embrión
comunica el intestino con el saco
vitelino.
• Divertículo verdadero (todas las capas
propias del intestino).
• Borde anti mesentérico del íleon, aprox
a 40-100 cm de la válvula ileocecal.
• H:M:3:1
Es frecuente
encontrar mucosa
heterópica; la mucosa
gástrica es la mas
habitual.
oMucosa Gástrica
oAcinos pancreáticos
oGlándulas de Brunner
oMucosa colónica
oTejido hepatobiliar
Tamaño promedio del
divertículo: 3cm en el
90%. (1-10 cm: normal)
Se han reportado casos
de 1 00 cm.
Cuadro Clínico
• Asintomáticos en la
mayoría de los casos (75%
aprox).
• Mas común en hombres
(3:1)
• Dolor abdominal.
• Nauseas/ Vómito.
• Distensión abdominal.
• Cuadro clínico apendicular: Dolor
fosa iliaca derecha.
• Cuadro clínico de diverticulitis:
dolor periumbilical que puede
desplazarse al CID.
• Sangrado de tubo digestivo:
debido a mucosa gástrica ectópica
productora de acido clorhídrico,
lleva a ulceración y hemorragia
(desde días hasta varios años).
Regla de los 2
• Ocurre en el 2% de la población (1%-4%).
• Relación hombre/mujer 2:1.
• Se localiza frecuentemente a 2 pies (60 cm)
de la válvula ileocecal, en el borde
antimesentérico.
• Mide usualmente 2 cm de diámetro.
• Mide constantemente 2 pulgadas (5 cm) de
longitud.
• Puede contener 2 tipos de tejido ectópico
(comúnmente gástrico y pancreático).
• Es más habitual antes de los 2 años de edad.
El 60% de los casos complicados son en menores de 2 años
• Obstrucción intestinal
• Intususcepción
• Diverticulitis de Meckel: la mas frecuente (incidencia 13-31%), puede
producir perforación y peritonitis (de forma similar que la apendicitis agua,
con la cual se confunde).
• Hemorragia digestiva baja
• Hernia de Litré, hernia interna y adherencias
• Neoplasias : población adulta
• Perforación intestinal en la base o el divertículo.
Complicaciones
Diagnostico
• Ultrasonido
• TC
• Estudio de Technetium-99m: detectar tej. Gastrico ectópico en un
DM.
No son tan útiles en divertículos no
complicados debido a la dificultad de
diferenciarlo con el resto de las asas
intestinales.
Diagnostico diferencial
• Cuadro clínico hemorrágico:
ocausas infecciosas (Clostridium difficile, Escherichia coli), angiodisplasias,
neoplasias malignas o hemorragia del tracto gastrointestinal.
• Cuadro clínico obstructivo:
o Intususcepción, obstrucción secundaria a adherencias, íleo,
gastroenteritis o tumor.
• Cuadro clínico de diverticulitis:
o Apendicitis, gastroenteritis, adenitis mesentérica y patologías
ginecológicas (torsión ovárica, enfermedad inflamatoria pélvica).
Tratamiento
• Hidratación.
• AB de amplio espectro.
• Descompresión intestinal.
• Laparotomía exploradora.
• Laparoscopia: dx y tx. Útil
para divertículo incidental.
• Resección ileal: remover
tej. Afectado y ectópico. Si
la base del DM es grande.
• Diverticulectomia simple.
Puede presentar cuadro
obstructivo: brida entre
divertículo y pared abdominal.
Puede presentar cuadro de
dolor sin obstrucción intestinal.
Complicaciones postoperatorias
• Mortalidad: 2%
• Morbilidad: 12%
• El riesgo postoperatorio de complicaciones a largo plazo: 7%
Bibliografía
1. El divertículo de Meckel M. Ruíz-Celorioa , F. Higuera-de la Tijerab y E. Pérez-
Torresc,* a Facultad de Ciencias de la Salud, Universidad Anáhuac Norte,
México D.F., México b Servicio de Gastroenterología, Hospital General de
México “Dr. Eduardo Liceaga”, México D.F., México c Jefatura del Servicio de
Gastroenterología, Hospital General de México “Dr. Eduardo Liceaga”, México
D.F., México Recibido: 09 diciembre 2013; Aceptado: 21 abril 2014
2. Diverticulitis de Meckel Gaspar-Alberto Motta-Ramírez,* Carlos Rodríguez-
Treviño,‡ José-Luis Ramírez-Arias§
3. Colombia Médica Vol. 36 Nº 4, 2005 (Octubre-Diciembre) Hernia de Littre Julio
Roberto Alarcón, M.D.*
4. Descripción del caso presentado en el número anterior: Divertículo de Meckel
a. Servicio de Cirugía Pediátrica. Hospital Italiano de Buenos Aires.
Correspondencia: Dra. Luzia Toselli: luzia.toselli@hiba.org.ar Recibido: 30-6-09
Aceptado: 3-7-09 Dra. Luzia Tosellia y Dr. Pablo Lobos

Diverticulo de meckel

  • 1.
  • 2.
    Introducción • Anomalía congénitamás frecuente del TGI (2% población). • Consiste en un fondo de saco ciego que nace del íleon. • Es un resto del conducto onfalomesenterico que en el embrión comunica el intestino con el saco vitelino. • Divertículo verdadero (todas las capas propias del intestino). • Borde anti mesentérico del íleon, aprox a 40-100 cm de la válvula ileocecal. • H:M:3:1 Es frecuente encontrar mucosa heterópica; la mucosa gástrica es la mas habitual. oMucosa Gástrica oAcinos pancreáticos oGlándulas de Brunner oMucosa colónica oTejido hepatobiliar
  • 5.
    Tamaño promedio del divertículo:3cm en el 90%. (1-10 cm: normal) Se han reportado casos de 1 00 cm.
  • 7.
    Cuadro Clínico • Asintomáticosen la mayoría de los casos (75% aprox). • Mas común en hombres (3:1) • Dolor abdominal. • Nauseas/ Vómito. • Distensión abdominal. • Cuadro clínico apendicular: Dolor fosa iliaca derecha. • Cuadro clínico de diverticulitis: dolor periumbilical que puede desplazarse al CID. • Sangrado de tubo digestivo: debido a mucosa gástrica ectópica productora de acido clorhídrico, lleva a ulceración y hemorragia (desde días hasta varios años).
  • 8.
    Regla de los2 • Ocurre en el 2% de la población (1%-4%). • Relación hombre/mujer 2:1. • Se localiza frecuentemente a 2 pies (60 cm) de la válvula ileocecal, en el borde antimesentérico. • Mide usualmente 2 cm de diámetro. • Mide constantemente 2 pulgadas (5 cm) de longitud. • Puede contener 2 tipos de tejido ectópico (comúnmente gástrico y pancreático). • Es más habitual antes de los 2 años de edad.
  • 9.
    El 60% delos casos complicados son en menores de 2 años • Obstrucción intestinal • Intususcepción • Diverticulitis de Meckel: la mas frecuente (incidencia 13-31%), puede producir perforación y peritonitis (de forma similar que la apendicitis agua, con la cual se confunde). • Hemorragia digestiva baja • Hernia de Litré, hernia interna y adherencias • Neoplasias : población adulta • Perforación intestinal en la base o el divertículo. Complicaciones
  • 10.
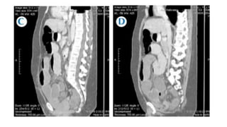
    Diagnostico • Ultrasonido • TC •Estudio de Technetium-99m: detectar tej. Gastrico ectópico en un DM. No son tan útiles en divertículos no complicados debido a la dificultad de diferenciarlo con el resto de las asas intestinales.
  • 12.
    Diagnostico diferencial • Cuadroclínico hemorrágico: ocausas infecciosas (Clostridium difficile, Escherichia coli), angiodisplasias, neoplasias malignas o hemorragia del tracto gastrointestinal. • Cuadro clínico obstructivo: o Intususcepción, obstrucción secundaria a adherencias, íleo, gastroenteritis o tumor. • Cuadro clínico de diverticulitis: o Apendicitis, gastroenteritis, adenitis mesentérica y patologías ginecológicas (torsión ovárica, enfermedad inflamatoria pélvica).
  • 13.
    Tratamiento • Hidratación. • ABde amplio espectro. • Descompresión intestinal. • Laparotomía exploradora. • Laparoscopia: dx y tx. Útil para divertículo incidental. • Resección ileal: remover tej. Afectado y ectópico. Si la base del DM es grande. • Diverticulectomia simple.
  • 14.
    Puede presentar cuadro obstructivo:brida entre divertículo y pared abdominal. Puede presentar cuadro de dolor sin obstrucción intestinal.
  • 15.
    Complicaciones postoperatorias • Mortalidad:2% • Morbilidad: 12% • El riesgo postoperatorio de complicaciones a largo plazo: 7%
  • 16.
    Bibliografía 1. El divertículode Meckel M. Ruíz-Celorioa , F. Higuera-de la Tijerab y E. Pérez- Torresc,* a Facultad de Ciencias de la Salud, Universidad Anáhuac Norte, México D.F., México b Servicio de Gastroenterología, Hospital General de México “Dr. Eduardo Liceaga”, México D.F., México c Jefatura del Servicio de Gastroenterología, Hospital General de México “Dr. Eduardo Liceaga”, México D.F., México Recibido: 09 diciembre 2013; Aceptado: 21 abril 2014 2. Diverticulitis de Meckel Gaspar-Alberto Motta-Ramírez,* Carlos Rodríguez- Treviño,‡ José-Luis Ramírez-Arias§ 3. Colombia Médica Vol. 36 Nº 4, 2005 (Octubre-Diciembre) Hernia de Littre Julio Roberto Alarcón, M.D.* 4. Descripción del caso presentado en el número anterior: Divertículo de Meckel a. Servicio de Cirugía Pediátrica. Hospital Italiano de Buenos Aires. Correspondencia: Dra. Luzia Toselli: luzia.toselli@hiba.org.ar Recibido: 30-6-09 Aceptado: 3-7-09 Dra. Luzia Tosellia y Dr. Pablo Lobos

Notas del editor

  • #10 Hernia de litre: hernia inguinal en su contenido DM
  • #11 TCMD: tomografía computarizada de multidetectores
  • #12 demuestra obstrucción intestinal mecánica con asas de intestino delgado a nivel del hueco pélvico, líquido libre intraabdominal e identificación de estructura tubular con nivel hidroaéreo en el hueco pélvico en estrecha relación con el sitio de transición que condicionan la sospecha de diverticulitis de Meckel.
  • #14 No se recomienda la remoción quirúrgica de divertículos hallados incidentalmente (aquellos que no desarrollaron sx), especialmente en mujeres