PAOLA REINA
 LA TBC ES UNA INFECCIÓN CRÓNICA
PRODUCIDA FUNDAMENTALMENTE POR
MYCOBACTERIUM TUBERCULOSIS
 HISTOLOGICAMENTE SE CARACTERIZA
POR LA FORMACIÓN DE GRANULOMAS.
 SE LOCALIZA EN LOS PULMONES, PERO
PUEDE AFECTAR CUALQUIER ÓRGANO.
 30% DE LA POBLACIÓN MUNDIAL, DOS MIL
MILLONES DE PERSONAS, ESTÁN INFECTADAS CON
MYCOBACTERIUM TUBERCULOSIS
 8 MILLONES DE ELLOS ENFERMAN ANUALMENTE
 DOS MILLONES MUEREN CADA AÑO
 UNA DE LAS ENFERMEDADES ASOCIADAS AL SIDA
MÁS IMPORTANTES
 EL SECRETARIO GENERAL DE LA ONU, BAN KI-
MOON, INFORMÓ DE QUE UN TERCIO DE LOS
HABITANTES DE LA TIERRA PADECE DE
TUBERCULOSIS Y ESTA ENFERMEDAD MATA A
UNA PERSONA EN EL MUNDO CADA 20
SEGUNDOS.
 SR QUE ACUDEN A LA CONSULTA PRINCIPALMENTE TOS Y EXPECTORACIÓN
PERSISTENTE.
 CONTACTOS (CONVIVIENTES) DE ENFERMOS PULMONARES BACILÍFEROS,
ESPECIALMENTE NIÑOS Y JÓVENES.
 CONSULTANTES GENERALES A LOS SERVICIOS DE SALUD Y SALAS DE GUARDIA
Y/O EMERGENCIAS, QUE CONSULTAN POR CUALQUIER CAUSA, PERO QUE
ADEMÁS PRESENTAN TOS Y EXPECTORACIÓN.
 VIH
 ADICTOS AL ALCOHOL Y/O DROGAS.
 ENFERMOS DIABÉTICOS O CON OTRAS ENFERMEDADES QUE COMPRENDEN EL
SISTEMA INMUNITARIO Y/O EN TRATAMIENTO PROLONGADO CON
CORTICOIDES O INMUNOSUPRESORES, DESNUTRIDOS, DIALIZADOS.
 PERSONAS QUE PRESENTAN IMÁGENES RADIOLÓGICAS PULMONARES CON
ANOMALÍAS.
 EN NUESTRO PAÍS, APROXIMADAMENTE 4 DE
CADA 100 PERSONAS QUE CONSULTAN POR
SÍNTOMAS RESPIRATORIOS TIENEN
TUBERCULOSIS.
 ESTE PORCENTAJE VARÍA ENTRE 1,1% Y 8%
SEGÚN ZONAS DE MAYOR O MENOR
INCIDENCIA.
 MICOBACTERIAS TUBERCULOSAS (M. TUBERCULOSIS COMPLEX)
 MYCOBACTERIUM TUBERCULOSIS
 M. BOVIS
 M. AFRICANUM
 M. MICROTI
 M. BOVIS ES MUCHO MENOS FRECUENTE. SE CARACTERIZA POR SU RESISTENCIA A
PIRAZINAMIDA
 MICOBACTERIAS SON
 BACILOS ÁCIDO ALCOHOL RESISTENTES (BAAR)
 AEROBIOS ESTRICTOS
 INMÓVILES
 NO ESPORULADOS
 GRAM (+)
 REPRODUCCION MUY LENTA
 RESISTENTES A ÁCIDOS Y ÁLCALIS
 TIENEN UNA GRAN ENVOLTURA DE ÁCIDOS MICÓLICOS
 POR FUERA DE LA CAPA DE ÁCIDOS MICÓLICOS EXISTEN UNA SERIE DE FENOL GLICOLÍPIDOS Y
GLICOLÍPIDOS
 SON INTRACELULARES, CAPACES DE VIVIR DENTRO DE LOS MACRÓFAGOS
 PRINCIPALMENTE DE
PERSONA A PERSONA
POR VÍA RESPIRATORIA.
 DE FORMA
EXCEPCIONAL POR
INOCULACIÓN
CUTÁNEA
FACILITAN TRANSMICION
 MAYOR CANTIDAD DE
BACILOS EN GOTAS DE
FLUGGE.
 TOS PERSISTENTE
 LESIONES CAVITADAS
 HACINAMIENTO
PREVIENEN TRANSMICION
 TRATAMIENTO PRECOZ
 VENTILAR AMBIENTES
 PONERSE LA MANO AL
TOSER O ESTORNUDAR.
ESTADIO I
EN LOS ALVÉOLOS, LOS BACILOS SON FAGOCITADOS POR
LOS MACRÓFAGOS ALVEOLARES, DONDE SE MULTIPLICAN
ESTADIO II
Días 7 y 21
SE PRODUCE UNA ACUMULACIÓN DE MONOCITOS Y
BACILOS INTRACELULARES
ESTADIO III
Tercer semana
NECROSIS CASEOSA: LA NECROSIS TISULAR Y DE LOS
MACRÓFAGOS CREA UN MEDIO DESFAVORABLE PARA
LA MULTIPLICACIÓN DE LOS BACILOS.
COINCIDIENDO CON LA POSITIVIZACIÓN DEL PPD
ESTADIO IV GRANULOMAS
ESTADIO V
CAVITACIÓN: CONDICIONES IDÓNEAS PARA LA
MULTIPLICACIÓN EXTRACELULAR DE LOS BACILOS
• BRONCÓGENA
• LINFÁTICA
• HEMATÓGENA
• FAVORECEN LA RETENCIÓN Y
MULTIPLICACIÓN DE LOS BACILOS:
• RIÑONES
• EPÍFISIS DE LOS HUESOS LARGOS,
• CUERPOS VERTEBRALES,
• ÁREAS MENÍNGEAS CERCANAS AL
ESPACIO SUBARACNOIDEO Y,
• SOBRE TODO, LAS ZONAS APICALES
POSTERIORES DEL PULMÓN.
• EN ESTAS ZONAS SE PRODUCEN FOCOS
DE MULTIPLICACIÓN HASTA 2 A 10
SEMANAS DE LA PRIMOINFECCIÓN
 EN INMUNOCOMPETENTES
 5% DESARROLLARÁ LA ENFERMEDAD EN LOS DOS
AÑOS SIGUIENTES A LA PRIMOINFECCIÓN.
 OTRO 5 % LA DESARROLLARÁ MÁS TARDE.
 EL OTRO 90 POR CIENTO PERMANECERÁ LIBRE DE
ENFERMEDAD.
 EN INMUNODEPREIMIDOS ALREDEDOR DEL 50%
DESARROLLARA LA ENFERMEDAD.
 INFECCIÓN POR VIH(100 VECES), SIDA (170 VECES).
 ADICCIÓN A DROGAS, ESPECIALMENTE POR VÍA PARENTERAL.
 INFECCIÓN RECIENTE (EN LOS DOS AÑOS PREVIOS).
 HALLAZGOS RADIOLÓGICOS SUGESTIVOS DE TB PREVIA.
 DIABETES MELLITUS (3 VECES).
 SILICOSIS (30 VECES).
 TERAPIA PROLONGADA CON CORTICOIDES.
 OTRAS TERAPIAS INMUNOSUPRESORAS.
 CÁNCER DE CABEZA Y CUELLO.
 ENFERMEDADES HAMATOLÓGICAS (EJ. LEUCEMIA Y ENFERMEDAD DE HODGKIN).
 INSUFICIENCIA RENAL CRÓNICA.
 GASTRECTOMÍA.
 SÍNDROMES DE MALABSORCIÓN CRÓNICA.
 BAJO PESO CORPORAL (10 POR CIENTO O MÁS POR DEBAJO DEL PESO IDEAL).
CLASE SITUACIÓN DESCRIPCIÓN
0 NO EXPOSICIÓN
NO INFECCIÓN
NO HISTORIA DE EXPOSICIÓN
PPD (-)
1 EXPOSICIÓN
NO INFECCIÓN
HISTORIA DE EXPOSICIÓN
PPD (-)
2 INFECCIÓN
NO ENFERMEDAD
PPD (+)
ESTUDIOS BACTERIOLÓGICOS (-)
NO EVIDENCIA CLÍNICA NI RADIOLÓGICA DE TB
3 ENFERMEDAD
ACTUAL
CULTIVO DE M. TUBERCULOSIS OPPD (+)
Y CLÍNICA O RADIOLOGÍA EVIDENTE
4 ENFERMEDAD
PREVIA
HISTORIA DE EPISODIO PREVIO O
HALLAZGOS RADIOLÓGICOS ANORMALES PERO ESTABLES,
PPD (+) Y ESTUDIOS BACTERIOLÓGICOS (-) Y
NO EVIDENCIA CLÍNICA NI RADIOLÓGICA DE ENFERMEDAD
5 SOSPECHA DE TB EN ESTUDIO, PENDIENTE DE DIAGNÓSTICO
 S Y S PREDOMINANTEMENTE:
 SISTÉMICOS
 PULMONARES
 DE OTRO ÓRGANO AFECTADO
 O COMBINACIÓN DE ELLOS.
 GENERALMENTE ASINTOMÁTICA PERO CON HISTORIA DE EXPOSICIÓN, PPD POSITIVA Y
RX PATOLÓGICA.
 CUANDO LA POBLACIÓN BACILAR ES SIGNIFICATIVA SE VA A PRODUCIR UNA REACCIÓN
SISTÉMICA, CON SÍNTOMAS INESPECÍFICOS COMO FIEBRE (PRIMORDIALMENTE
VESPERTINA), ESCALOFRÍOS, ASTENIA, PÉRDIDA DE APETITO, DISMINUCIÓN DE PESO Y
SUDACIÓN NOCTURNA (QUE AFECTA MÁS A LA PARTE SUPERIOR DEL CUERPO).
 LA INSTAURACIÓN DE LOS SÍNTOMAS ES GRADUAL.
 MENOS FRECUENTE ES LA PRESENTACIÓN COMO UN SÍNDROME PSEUDOGRIPAL, CON
FIEBRE AGUDA Y ESCALOFRÍOS, Y EL ENFERMO NO CONSULTA HASTA QUE LOS
SÍNTOMAS NO SE RESUELVEN COMO SERÍA DE ESPERAR. EL ERITEMA NODOSO PUEDE
APARECER CON ESTE INICIO AGUDO.
 TOS CON EXPECTORACION DE MAS DE 2
SEMANAS DE EVOLUCION
 ESPUTO ESCASO Y NO PURULENTO
 PUEDE HABER DOLOR TORACICO Y
HEMOPTISIS DE CUALQUIER GRADO.
 GENERALMENTE UNILATERAL.
 DOLOR PLEURITICO AGUDO O RECURRENTE
(*MOYA?)
 PUEDE MANIFESTARSE SOLO COMO SME. FEBRIL
AGUDO.
 PUEDE SER ASINTOMATICA
 SIN TTO. RECIDIVA EN EL 65% DE LOS CASOS EN 5
AÑOS.
 CARACTERISTICAS DEL LIQUIDO
 EXUDADO
 CELULAS 500-2500 PREDOMONIO LINFOCITICO
 ph <7.3
 ADA >40UI ES DIAGNOSTICA
 BACILOSCOPIA RARA VEZ ES POSITIVA
 CULTIVO (+)EN EL 25%
 75% DE BIOPSIAS MUESTRAN GRANULOMAS
 SNC
 LINFADENITIS
 LARINGITIS
 GENITOURINARIA
 OSTEOARTICULAR
 GASTROINTESTINAL
 SEROSITIS: PERITONITIS, PERICARDITIS
 MILIAR
 OCULAR
 EL DIAGNÓSTICO DE TUBERCULOSIS EN
ENFERMOS CON FACTORES DE RIESGO DEBE
LLEVAR A LA REALIZACIÓN DE SEROLOGÍA Y
DIAGNÓSTICO DE INFECCIÓN POR EL VIH.
 ALGUNOS LA LLAMAN “LA NUEVA TBC”
 GRALMENTE EN PTES QUE NO HAN TENIDO OTRAS
ENFERMEDADES MARCADORAS DE SIDA.
 50% AFECTACION PULMONAR Y 50%
EXTRAPULMONAR O COMBINADA.
 S YS INESPECIFICOS(DIFICIL D/D CON OTRAS IO)
 IMPLICANCIAS DIAGNOSTICAS Y TERAPEUTICAS
 GENERALMENTE RELACIONADA CON EL GRADO
DE INMUNODEPRESION
 LA MAS FTE. ES LA LINFADENITIS.
 OTRAS A TENER EN CUENTA:
 SNC
 ABSCESOS VISCERALES (PRÓSTATA, BAZO,
HÍGADO, RIÑÓN, MÚSCULO PSOAS Y PIEL)
 MICOBACTERIEMIA
CUATRO PILARES FUNDAMENTALES
 SOSPECHA CLÍNICA
 PRUEBA DE LA TUBERCULINA
 RADIOLOGÍA
 BACTERIOLOGÍA
"DIAGNÓSTICO PASIVO”: ES EL QUE REALIZAMOS EN AQUELLOS
PACIENTES QUE ACUDEN A NUESTRA CONSULTA
"DIAGNÓSTICO ACTIVO”: ES EL QUE DEBEMOS BUSCAR NOSOTROS
DE FORMA ACTIVA ENTRE AQUELLAS PERSONAS QUE
PERTENECEN A GRUPOS DE RIESGO.
 TOS Y EXPECTORACIÓN POR MÁS DE 15 DÍAS.
 EXPECTORACIÓN CON SANGRE (HEMOPTISIS),
CON O SIN DOLOR TORÁCICO Y DIFICULTAD
PARA RESPIRAR.
 PÉRDIDA DE PESO O DE APETITO, FIEBRE,
SUDOR NOCTURNO, DECAIMIENTO.
 DEPENDEN DE LOCALIZACION:
 VERTEBRAL: DOLOR EN LA ZONA
DORSOLUMBAR, CON O SIN FIEBRE.
 PLEURITIS: DOLOR PLEURÍTICO.
 RENAL: HEMATURIA.
 MENINGITIS: CEFALEA, ALTERACIÓN DEL
COMPORTAMIENTO, CONVULSIONES, ETC.
 DETERMINA ESTADO GENERAL DEL PACIENTE
 PUEDE SER NORMAL, AUSCULTARSE ESTERTORES (QUE SE ACENTÚAN
DESPUÉS DE LA TOS), SIBILANCIAS, EN CAVITACIÓN SE PUEDE
ESCUCHAR UN SOPLO TUBÁRICO.
 BUSCAR ADENOPATÍAS PERIFÉRICAS Y HEPATO O ESPLENOMEGALIA.
 EN TBC EXTRAPULMONAR DEPENDE DE LOCALIZACIÓN:
HIPOVENTILACIÓN O ROCE PLEURAL , CIFOSIS, DOLOR A LA
PERCUSIÓN SOBRE LA COLUMNA O PÉRDIDA DE FUERZA EN MMII,
MENINGISMO, AFECTACIÓN DE PARES CRANEALES O HEMIPARESIA,
ETC.
 DADA SU RELACIÓN CON EL VIH, NO SE DEBE OLVIDAR LA BÚSQUEDA
DE MUGUET, LEUCOPLASIA VELLOSA ORAL, DERMATITIS SEBORREICA,
POLIADENOPATÍAS, ETC.
TUBERCULOSIS NEUMONÍA BACTERIANA VVAS
ANTEC. FACTORES DE RIESGO.
PPD
MENOS
IMPORTANTE.
CASOS CERCANOS
CC GENERALMENTE SOLAPADA.
BIEN TOLERADA.
SMECONSTITUCIONAL
COMIENZO AGUDO.
IMPRESIONA DE
MAYOR GRAVEDAD
COMIENZO AGUDO.
SÍNTOMAS VÍAS ALTAS.
LAB RARO LEUCOCITOS
MUY ALTOS.
ANEMIA EN CASOS
DE LARGA EVOLUCIÓN.
MAYOR REPERCUSIÓN
EN HEMOGRAMA:
LEUCOCITOSIS
LEUCOCITOSIS
MODERADA.
LINFOCITOSIS
RX AFECTACIÓN DE
SEGMENTOS APICALES
DE LÓBULOS SUPERIORES Y
SEGMENTOS SUPERIORES
DE
LÓBULOS INFERIORES.
FRECUENTE CAVITACIÓN.
CUALQUIER AFECTACIÓN.
MENOS FRECUENTE
CAVITACIÓN
NORMAL.
 20% DE FALSOS NEGATIVOS POR UNA COMBINACIÓN DE
INMUNODEPRESIÓN, HIPERSENSIBLIDAD TARDÍA, FASE
AGUDA, DESNUTRICIÓN.
 A LAS SEMANAS DE TTO Y DE ALIMENTACIÓN EL 95% DA
POSITIVO.
 EN FORMAS GRAVES COMO MILIAR, MENINGITIS: 50%
NEGATIVOS.
 LA CONVERSIÓN TIENE 99% DE ESPECIFICIDAD.
 CONVERSIONES ANUALES DEL 0.5 AL 1 % EN
INSTITUCIONES SIN CASOS DE TBC.
 CONVERSIONES DEL 2% O MAYOR SEÑALAN
TRANSMISIÓN.
 > 20 MM ES MUY POCO PROBABLE QUE SE POR LA BCG.
 SOLAMENTE DIAGNOSTICA INFECCIÓN Y NO
ENFERMEDAD
 DETERMINAR LA PREVALENCIA O INCIDENCIA DE LA
INFECCIÓN TUBERCULOSA EN UNA POBLACIÓN
DETERMINADA (ESTUDIO DE RIESGO DE INFECCIÓN).
 COMPLEMENTAR EL DIAGNÓSTICO DE TBC EN NIÑOS.
 EVALUACIÓN DE INFECCIÓN TUBERCULOSA RECIENTE EN
TRABAJADORES DE INSTITUCIONES CON ALTA
PROBABILIDAD DE TENER INFECCIÓN CON TB O
CONDICIONES QUE FACILITEN LA TRANSMISIÓN.
 EVIDENCIAR LA INFECCIÓN TUBERCULOSA EN PERSONAS
CON ALTO RIESGO DE PASAR DE INFECCIÓN A
ENFERMEDAD.
Advisory Council for the Elimination of Tuberculosis. MMWR 1995;44(No. RR-11):19–34.
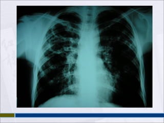
 SIEMPRE SOLICITAR PAR RADIOLOGICO.
 INFILTRADO EN LAS REGIONES MEDIAS DEL PULMÓN,
ENSANCHAMIENTO HILIAR Y MEDIASTÍNICO POR
AGRANDAMIENTO DE LOS GANGLIOS.
 COMPLEJO DE GHON: LAS LESIONES PRIMARIAS
CURADAS PUEDEN DEJAR UN NÓDULO PERIFÉRICO
CALCIFICADO, QUE, JUNTO CON UN GANGLIO HILIAR
CALCIFICADO
 PAR RADIOLOGICO Y PROY. LORDOTICA
 MÁS FRECUENTE INFILTRADO EN SEGM APICALES
DE LÓB SUP Y EN SEGM SUPERIORES DE LÓBULOS
INF.
 PUEDE APARECER CAVITACIÓN.
 BRONCÓGENA SE VE IMAGEN MÁS EXTENSA,
CON PATRÓN DESTRUCTIVO.
 HEMATÓGENA: PATRÓN MILIAR: PEQUEÑOS
NÓDULOS DE UNOS 2 MM, REPARTIDOS DE
FORMA DIFUSA Y HOMOGÉNEA POR AMBOS
CAMPOS PULMONARES.
 TÉRMINOS COMO "LESIONES FIBRÓTICAS",
"CICATRICIALES", "INACTIVAS", SE DEBEN EVITARSE CON
UNA SOLA RX DE TÓRAX, PUES LA INACTIVIDAD DE UNA
TUBERCULOSIS PULMONAR NO SE PUEDE AFIRMAR POR
UNA IMAGEN AISLADA.
 Rx SERIADAS SIN CAMBIOS EN 3 Ó 4 MESES SI SON
SUGESTIVAS DE UNA TUBERCULOSIS ANTIGUA.
 ESTAS LESIONES ANTIGUAS SE VEN COMO RETRACCIONES
DEL HILIO PULMONAR O DESVIACIÓN DE LA TRÁQUEA.
 DEPENDE DEL GRADO DE INMUNODEPRESION
 DESDE NORMAL HASTA EXTENSOS INFILTRADOS
BILATERALES
 NO RESPETA LOCALIZACIONES TIPICAS
 50% TIENEN ADENOPATIAS INTRATORACICAS
 TBC ES LA PRINCIPAL CAUSA DE DERRAME PLEURAL
EN HIV.
 ES RARA LA CAVITACION.
 Rx EMPEORA TRANSITORIAMENTE LUEGO DE 1-5
SEMANAS DE INICIADO EL HAART
 ÚNICO METODO QUE CONFIRMA TBC ACTIVA.
 DGCO DE CERTEZA MEDIANTE EL CRECIMIENTO E IDENTIFICACIÓN DE M.
TUBERCULOSIS
 DEBEN RECOGERSE TRES MUESTRAS DE ESPUTO, ESPECIALMENTE POR LA
MAÑANA
 IMPORTANTE INSTRUIR AL PACIENTE SOBRE COMO RECOGER LA MUESTRA,
 SI NO PRESENTA ESPUTO ESPONTÁNEO
 ESPUTO INDUCIDO
 ASPIRADO GÁSTRICO (EN NIÑOS)
 FIBROBRONCOSCOPIA
 APARTE DEL ESPUTO OTRAS MUESTRAS ORGÁNICAS PUEDEN SER PROCESADAS:
ORINA (IGUALMENTE TRES MUESTRAS DE DÍAS DISTINTOS, LA PRIMERA DE LA
MAÑANA), LCR, LÍQUIDO PLEURAL, ASPIRADO GANGLIONAR, PUS, BIOPSIAS,
SANGRE.
 PARA QUE SEA POSITIVA ES PRECISO QUE LA
MUESTRA TENGA COMO MÍNIMO, ENTRE 5.000 Y
10.000 BACILOS POR MILILITRO DE MUESTRA.
 ESTE ALTO CONTENIDO DE BACILOS SE ENCUENTRA
EN LOS PACIENTES CON TUBERCULOSIS PULMONAR,
ESPECIALMENTE EN AQUELLOS CON ENFERMEDAD
AVANZADA Y CON LESIONES CAVITADAS.
 ESTOS PACIENTES SON LOS QUE TRANSMITEN LOS
BACILOS MANTENIENDO LA ENFERMEDAD EN LA
COMUNIDAD.
 LA SENSIBILIDAD DEPENDE DE LA EXPERIENCIA DE QUIEN LA
REALIZA, Y ES 60-75% PARA MUESTRAS RESPIRATORIAS,
SIENDO SU VPP >90%.
 PARA OTRAS MUESTRAS LA SENSIBILIDAD NO LLEGA AL 50 %.
 LOS INFORMES DE MUESTRAS RESPIRATORIAS DEBEN
INCLUIR UNA CUANTIFICACIÓN PARA ORIENTAR AL CLÍNICO
SOBRE LA RESPUESTA AL TRATAMIENTO: EN CRUCES (+, ++ O
+++), O EN BAAR/100 CAMPOS DE INMERSIÓN.
 FDA APROBO 2 TÉCNICAS DE AMPLIFICACIÓN DE ÁCIDOS
NUCLEICOS PARA IDENTIFICACIÓN RÁPIDA DE M. TUBERCULOSIS.
 PROPORCIONAN UN RESULTADO ENTRE 5-7 HORAS. SON: GEN-
PROBE MTD; Y AMPLICOR MYCOBACTERIUM TUBERCULOSIS
TEST.
 LA SENSIBILIDAD ES APROX. 95 % EN PACIENTES CON
BACILOSCOPIA POSITIVA, PERO SÓLO DEL 50% SI LA
BACILOSCOPIA ES NEGATIVA. LA ESPECIFICIDAD ES >95 % EN
BACILOSCOPIAS POSITIVAS COMO NEGATIVAS.
 SÓLO APROBADA PARA MUESTRAS RESPIRATORIAS CON
 RESULTADOS TARDIOS PERO ES MÁS SENSIBLE
QUE BACILOSCOPIA.
 EVIDENCIA UN MÍNIMO DE 10 A 100 BAAR.
 PERMITE DETECTAR LOS CASOS ANTES DE QUE
LLEGUEN A SER INFECCIOSOS.
 DIAGNÓSTICO DE CASOS CON SOSPECHA CLÍNICA Y
RADIOLÓGICA DE TB PULMONAR CON BK NEGATIVA.
 TB EXTRAPULMONAR E INFANTIL.
 CONTACTOS DE PACIENTES CON TB MDR.
 CASOS QUE FRACASARON AL TRATAMIENTO ESTÁNDAR,
ABANDONOS RECUPERADOS, RECAÍDAS O QUE
CONTINÚEN CON BK POSITIVA AL 2DO MES DE
TRATAMIENTO.
 INVESTIGACIÓN DE INDIVIDUOS DE ALTO RIESGO
(INMUNODEPRIMIDOS, ESPECIALMENTE VIH/SIDA CON
SOSPECHA DE TB)
VENTAJAS
 DISMINUYEN EL TIEMPO PARA
DETECTAR CULTIVOS (+) A 7-30
DÍAS
 ACORTAN TIEMPO PARA
ESTUDIO DE SENSIBILIDAD A
DROGAS ANTITBC DE PRIMERA
LÍNEA APROX. 7 DÍAS.
 DIFERENCIAN RÁPIDAMENTE SI
SE HA DESARROLLADO M.
TUBERCULOSIS U OTRA
MICOBACTERIA.
DESVENTAJAS
 MAYOR CONTAMINACIÓN DE LOS
CULTIVOS.
 MAYOR CARGA DE TRABAJO.
 MAYOR COSTO.
 MAYOR RIESGO PARA EL
PERSONAL DE LABORATORIO.
EN NUESTRO PAÍS SE UTILIZAN MÉTODOS RADIOMÉTRICOS (BACTEC 460, M-
GIT, BACTEC 960, MB BACT), COLORIMÉTRICOS O FLUOROMÉTRICOS.
 ANTECEDENTES DE TRATAMIENTO, RECAÍDAS, FRACASOS Y
ABANDONOS Y/O ANTECEDENTES DE IRREGULARIDAD EN EL
TRATAMIENTO.
 BACILOSCOPÍA DE ESPUTO POSITIVA AL FINALIZAR EL
SEGUNDO MES DE TRATAMIENTO.
 INMUNODEPRIMIDOS.
 ESTUDIOS DE VIGILANCIA EPIDEMIOLÓGICA DE
MULTIRRESISTENCIA QUE INCLUYE EL PROGRAMA DE
CONTROL DE LA TUBERCULOSIS.
 CONTACTOS DE PACIENTES MULTIRRESISTENTES.
 DE CUALQUIER TEJIDO DEL ORGANISMO SOSPECHOSO DE ESTAR
AFECTADO POR TBC.
 OBTENER SIEMPRE DOS FRAGMENTOS DEL MATERIAL PARA
 ANATOMOPATOLÓGICA
 BACTERIOLOGÍA.
 PARA ANATOMÍA PATOLÓGICA SE DEBE CONSERVAR EN FRASCO
ESTÉRIL CON SOLUCIÓN DE FORMALDEHÍDO AL 4%, QUE SE
OBTIENE DE DILUIR 1 EN 10 LA PRESENTACIÓN COMERCIAL DE
FORMOL. LA MUESTRA DEBE CUBRIRSE TOTALMENTE CON ESTA
SOLUCIÓN.
 EL MATERIAL PARA ESTUDIO BACTERIOLÓGICO SE DEBE ENVIAR
EN FRASCO ESTÉRIL CON EL AGREGADO DE SOLUCIÓN
FISIOLÓGICA ESTÉRIL.
 NO ES RECOMENDABLE ENVIAR AL PACIENTE
CON LA MUESTRA AL LABORATORIO. LA
RESPONSABILIDAD DE LA ENTREGA DE LA
MUESTRAS AL LABORATORIO ES DEL
PERSONAL DE SALUD QUE LO ATENDIÓ.
 ANEMIA DE ENFERMEDADES CRONICAS
 MONOCITOSIS
 EN TBC MILIAR PUEDE HABER:LEUCOPENIA,
TROMBOPENIA, ANEMIA REFRACTARIA,
REACCIONES LEUCEMOIDES ETC., PERO NO ES LO
ESPERABLE.
 EN CASOS EVOLUCIONADOS PUEDE EXISTIR
HIPOALBUMINEMIA.
 HIPONATREMIA POR SSIADH (POR TBC MENINGEA
O PULMONAR) O POR ADDISON
 PONE DE MANIFIESTO:
 HEPATOESPLENOMEGALIA
 ADENOPATÍAS
 ABSCESOS HEPÁTICOS O ESPLÉNICOS, MÁS
FRECUENTES COMO SE HA COMENTADO EN EL
VIH.
 TAC DE ALTA RESOLUCIÓN DE TÓRAX PARA
DGCO.DE TBC MILIAR : NUMEROSOS NÓDULOS DE 2
A 3 MM DISTRIBUIDOS POR TODO EL PULMÓN.
 RMN DE SNC PARA DGO DE
 MENINGITIS TBC: CAPTACIÓN DE CONTRASTE EN LA BASE
DEL CRÁNEO.
 INFARTOS CEREBRALES
 TUBERCULOMAS
CLASIFICAR LOS CASOS TENIENDO EN CUENTA:
 LOCALIZACIÓN.
 GRAVEDAD.
 BACTERIOLOGÍA (BACILOSCOPÍA DE ESPUTO).
 ANTECEDENTES DE TTO ANTI-TBC PREVIO.
 EDAD
 INFECCIÓN POR EL VIH: ESTADO GENERAL E
INMUNOLOGICO
 EL TRATAMIENTO DE LA TUBERCULOSIS
CONSISTE EN UNA FASE INICIAL DIARIA Y UNA
FASE DE CONTINUACIÓN QUE PUEDE SER
DIARIA O TRISEMANAL.
 AMBAS FASES DEBEN SER TOTALMENTE
SUPERVISADAS A FIN DE GARANTIZAR EL
CUMPLIMIENTO DEL MISMO.
CASO NUEVO: PACIENTE QUE NUNCA HA TOMADO DROGAS
ANTITUBERCULOSAS O QUE LAS HA TOMADO POR MENOS DE UN
MES Y QUE PRESENTA:
 TBC PULMONAR CON BACILOSCOPÍA POSITIVA.
 TBC PULMONAR CON BACILOSCOPÍA NEGATIVA (CULTIVO
POSITIVO O NEGATIVO), LESIONES RADIOLÓGICAS EXTENSAS Y
SINTOMATOLOGÍA IMPORTANTE.
 TBC EXTRAPULMONAR SEVERA (MENINGITIS, PERICARDITIS,
PERITONITIS, PLEURESÍA BILATERAL, INTESTINAL,
GENITOURINARIA Y OSTEOARTICULAR).
 TBC DISEMINADA (MILIAR).
 TBC EN PACIENTES CON VIH/SIDA.
CASOS CON TRATAMIENTO PREVIO
 INTERRUPCIÓN DEL TRATAMIENTO O ABANDONO: HIZO TTO POR MÁS DE
UN MES Y LO RETOMA LUEGO DE HABERLO INTERRUMPIDO POR DOS
MESES O MÁS, CON BACILOSCOPÍA DE ESPUTO POSITIVA O
BACILOSCOPÍA NEGATIVA QUE CLÍNICA Y RADIOLÓGICAMENTE TIENE
EVIDENCIA DE TBC ACTIVA
 RECAÍDA: PACIENTE DE TUBERCULOSIS EN CUALQUIERA DE SUS FORMAS,
QUIEN EN EL PASADO HA SIDO DECLARADO COMO CURADO POR UN
MÉDICO, DESPUÉS DE UN TRATAMIENTO COMPLETO, Y HA VUELTO CON
BACILOSCOPÍA Y/O CULTIVO DE ESPUTO POSITIVO.
 FRACASO OPERATIVO: PACIENTE EN TRATAMIENTO QUE CONTINÚA O
VUELVE CON BACTERIOLOGÍA POSITIVA (BACILOSCOPÍA Y/O CULTIVO DE
ESPUTO) AL FINAL DEL CUARTO MES DE INICIADO UN PRIMER
TRATAMIENTO NO SUPERVISADO MUY IRREGULAR.
CASO NUEVO: PACIENTE QUE NUNCA HA TOMADO
DROGAS ANTITUBERCU-LOSAS O QUE LAS HA
TOMADO POR MENOS DE UN MES Y QUE PRESENTA:
 TUBERCULOSIS PULMONAR CON BACILOSCOPÍA
NEGATIVA (CULTIVO POSITIVO O NEGATIVO).
 TUBERCULOSIS EXTRAPULMONAR MENOS SEVERA,
PLEURESÍA UNILATERAL, GANGLIONAR Y
TUBERCULOSIS DE PIEL LOCALIZADA SIN
DISEMINACIÓN APARENTE.
 FRACASO FARMACOLÓGICO: PACIENTE EN TRATAMIENTO
QUE CONTINÚA O VUELVE CON BACTERIOLOGÍA POSITIVA
(BACILOSCOPÍA Y/O CULTIVO DE ESPUTO) AL FINALIZAR EL
CUARTO MES DE HABER COMENZADO UN PRIMER
TRATAMIENTO ESTRICTAMENTE SUPERVISADO.
 CASO CRÓNICO: PACIENTE QUE CONTINÚA O VUELVE A
PRESENTAR BACILOSCOPÍA O CULTIVO POSITIVO DESPUÉS DE
COMPLETAR UN RETRATAMIENTO SUPERVISADO.
 TUBERCULOSIS MULTIRRESISTENTE (TBMR): PACIENTE CON
TUBERCULOSIS ACTIVA EN EL QUE SE AÍSLAN BACILOS
RESISTENTES AL MENOS A ISONIACIDA Y RIFAMPICINA.
 REFIERA AL PACIENTE A UN HOSPITAL
ESPECIALIZADO.
 SI NO PUEDE REFERIRLO, COMUNIQUE LA
SITUACIÓN AL HOSPITAL ESPECIALIZADO,
SOLICITE INSTRUCCIONES Y
RECOMENDACIONES.
TRES ACCIONES ADICIONALES DEBEN
REALIZARSE:
 EXAMEN DE CONTACTOS.
 CONTROL DE LA VACUNACIÓN CON BCG.
 QUIMIOPROFILAXIS.
 INDICACION PRIORITARIA: MENORES DE 15 AÑOS CONTACTOS DE ENFERMOS BACILÍFEROS
 OTRAS RECOMENDACIONES:
 <5 AÑOS CONTACTOS DE ENFERMOS NO BACILÍFEROS, CON PPD(+).
 <5 AÑOS, NO VACUNADOS CON BCG, CON PRIMOINFECCIÓN TUBERCULOSA, DETECTADO POR
TUBERCULINA POSITIVA O VIRAJE TUBERCULÍNICO1 O NÓDULO PRECOZ DE BCG (ANTES DE LOS 14 DÍAS).
 PTES. CON RX SUGESTIVA DE TBC RESIDUAL INACTIVAS (CON BACTERIOLOGÍA NEGATIVA) NUNCA
TRATADAS CON QUIMIOTERAPIA.
 TRABAJADORES DE LA SALUD E INTEGRANTES DE COMUNIDADES CERRADAS INFECTADOS
RECIENTEMENTE (VIRAJE TUBERCULÍNICO).
 PERSONAS CON PPD (+) EN SITUACIONES CLÍNICAS ESPECIALES: SILICOSIS, DIABETES, TRATAMIENTO
PROLONGADO CON CORTICOSTEROIDES O INMUNOSUPRESORES, PACIENTES EN LISTA DE ESPERA DE
TRANSPLANTE DE ÓRGANOS, NEOPLASIAS DE CABEZA Y CUELLO, HEMODIÁLISIS, NEOPLASIAS
HEMATOLÓGICAS, GASTRECTOMÍA, CORTOCIRCUITO YEYUNOILEAL, SEGÚN INDICACIÓN MÉDICA
INDIVIDUAL.
 INDICACIONES EN PERSONAS CON VIH/SIDA
 CUANDO PRESENTAN UNA PRUEBA TUBERCULÍNICA POSITIVA (5 MM O MÁS).
 CUANDO TIENEN CONTACTO CERCANO (DE 4 A 6 HORAS DIARIAS) CON ENFERMOS DE TUBERCULOSIS,
ESPECIALMENTE BACILÍFEROS, INDEPENDIENTEMENTE DE LOS RESULTADOS DE LA PRUEBA
TUBERCULÍNICA, LA EDAD O QUIMIOPROFILAXIS PREVIA.
 ADMINISTRAR ISONIACIDA: 5 MG/KG/DÍA;
(DOSIS MÁXIMA 300 MG/DÍA), EN UNA SOLA
TOMA DIARIA VÍA ORAL SUPERVISADA
DURANTE 6 MESES. EN VIH/SIDA, 9 MESES.
 ENFERMOS CON TUBERCULOSIS ACTIVA.
 ANTES DE INDICAR QUIMIOPROFILAXIS
DESCARTAR ENFERMEDAD.
 PERSONA CON ANTECEDENTES DE TOXICIDAD
SEVERA A LA ISONIACIDA.
 INSUFICIENCIA HEPÁTICA.
 ES EFICAZ PARA PREVENIR LA DISEMINACION
HEMATÓGENA DE LA INFECCIÓN PRIMARIA POR M.
TUBERCULOSIS.
 AL NACER DEBE SER APLICADA COMO UNA
ESTRATEGIA DE PREVENCIÓN DE LAS FORMAS
GRAVES DE TUBERCULOSIS (MENINGITIS, MILIAR),
QUE PUEDEN OCURRIR TRAS UNA INFECCIÓN
PRIMARIA, ESPECIALMENTE EN NIÑOS.
 LA VACUNA BCG NO EVITA LA INFECCIÓN POR M.
TUBERCULOSIS.
 RN A TÉRMINO CUALQUIERA SEA SU PESO Y NIÑO
PRETÉRMINO CON 2000 GR O MÁS, ANTES DEL
EGRESO DE LA MATERNIDAD.
 NIÑO DE 6 AÑOS O MENOS QUE NO PRESENTAN
CICATRIZ DE BCG Y/O REGISTRO DE VACUNACIÓN.
 GRAVE COMPROMISO DEL ESTADO GENERAL.
 NIÑOS CON AFECCIONES GENERALIZADAS DE LA PIEL.
 ENFERMEDADES INFECCIOSAS (ESPECIALMENTE SARAMPIÓN Y
VARICELA), DEBIENDO ESPERAR 4 SEMANAS DE
TRANSCURRIDAS ESTAS INFECCIONES.
 INMUNODEPRESIÓN CONGÉNITA O ADQUIRIDA (VIH
SINTOMÁTICO, LINFOMAS, LEUCEMIAS, NEOPLASIAS
GENERALIZADAS).
 TRATAMIENTO PROLONGADO CON ESTEROIDES O DROGAS
INMUNODEPRESORAS (CUANDO SE ADMINISTRAN POR 15
DÍAS O MÁS, DEBE SER CONSULTADO CON UN ESPECIALISTA).
 LA VACUNA SE DEBE APLICAR EN EL BRAZO DERECHO,
EN LA ZONA DE INSERCIÓN INFERIOR DEL MÚSCULO
DELTOIDES. ESTA ZONA SE ENCUENTRA EN LA LÍNEA
MEDIA DE LA CARA EXTERNA DEL BRAZO, EN LA UNIÓN
DEL TERCIO SUPERIOR CON EL TERCIO MEDIO.
 SE ACONSEJA NO HACERLO MÁS ARRIBA, PRÓXIMO AL
ÁNGULO EXTERNO DEL HOMBRO, POR HABERSE
COMPROBADO QUE ALLÍ LAS REACCIONES INDESEABLES
COMO ÚLCERA GRANDE, PERSISTENTE Y CICATRIZ
HIPERTRÓFICA, APARECEN CON MAYOR FRECUENCIA
 LA REACCIÓN LOCAL ES DE EVOLUCIÓN LENTA.
 EN EL 90 A 95% DE LOS VACUNADOS CAUSA UNA LESIÓN ESPECÍFICA EN EL SITIO
DE LA INYECCIÓN QUE COMIENZA A LAS 2 O 3 SEMANAS DE APLICADA.
 NÓDULO PALPABLE: QUE CRECE HASTA ALCANZAR EL TAMAÑO APROXIMADO A
10 MM QUE SE REBLANDECE EN EL CENTRO (NECROSIS CENTRAL).
 COSTRA: APARECE HACIA LA CUARTA SEMANA
 ÚLCERA: DE 4 A 8 MM, SE FORMA AL DESPRENDESE LA COSTRA, SEGREGA UNA
SEROSIDAD ESPESA. PUEDE SUPURAR DE DOS A TRES MESES.
 CICATRIZ: LA LESIÓN ENTRA EN REGRESIÓN Y ALREDEDOR DE LA DÉCIMA
SEMANA QUEDA LIGERAMENTE DEPRIMIDA, BLANQUECINA DE 5 A 8 MM DE
DIÁMETRO.
 DURANTE TODO ESTE PROCESO SE DEBE MANTENER LA LIMPIEZA DE ESA ZONA
CON AGUA Y JABÓN. NO DEBEN APLICARSE ANTISÉPTICOS NI APÓSITOS.
TAMPOCO DEBEN HACERSE CURACIONES QUE ENTORPEZCAN LA EVOLUCIÓN
NORMAL DE LA VACUNA.
24 DE MARZO DE 1882, EL MÉDICO ALEMÁN
ROBERTO KOCH, ANUNCIÓ AL MUNDO, EL
DESCUBRIMIENTO DE LA BACTERIA CAUSANTE
DE LA TUBERCULOSIS: EL BACILO DE KOCH.
“TUBERCULOSIS, UNA ENFERMEDAD DE LA
CIVILIZACIÓN INCOMPLETA.” LA ELIMINACIÓN TOTAL
DE LA TUBERCULOSIS SE RINDE ANTE FACTORES
ECONÓMICO-SOCIALES.
RENE Y JEAN DUBOS EN SU
LIBRO, THE WHITE PLAGUE.

Tuberculosis

  • 1.
  • 2.
     LA TBCES UNA INFECCIÓN CRÓNICA PRODUCIDA FUNDAMENTALMENTE POR MYCOBACTERIUM TUBERCULOSIS  HISTOLOGICAMENTE SE CARACTERIZA POR LA FORMACIÓN DE GRANULOMAS.  SE LOCALIZA EN LOS PULMONES, PERO PUEDE AFECTAR CUALQUIER ÓRGANO.
  • 3.
     30% DELA POBLACIÓN MUNDIAL, DOS MIL MILLONES DE PERSONAS, ESTÁN INFECTADAS CON MYCOBACTERIUM TUBERCULOSIS  8 MILLONES DE ELLOS ENFERMAN ANUALMENTE  DOS MILLONES MUEREN CADA AÑO  UNA DE LAS ENFERMEDADES ASOCIADAS AL SIDA MÁS IMPORTANTES
  • 4.
     EL SECRETARIOGENERAL DE LA ONU, BAN KI- MOON, INFORMÓ DE QUE UN TERCIO DE LOS HABITANTES DE LA TIERRA PADECE DE TUBERCULOSIS Y ESTA ENFERMEDAD MATA A UNA PERSONA EN EL MUNDO CADA 20 SEGUNDOS.
  • 9.
     SR QUEACUDEN A LA CONSULTA PRINCIPALMENTE TOS Y EXPECTORACIÓN PERSISTENTE.  CONTACTOS (CONVIVIENTES) DE ENFERMOS PULMONARES BACILÍFEROS, ESPECIALMENTE NIÑOS Y JÓVENES.  CONSULTANTES GENERALES A LOS SERVICIOS DE SALUD Y SALAS DE GUARDIA Y/O EMERGENCIAS, QUE CONSULTAN POR CUALQUIER CAUSA, PERO QUE ADEMÁS PRESENTAN TOS Y EXPECTORACIÓN.  VIH  ADICTOS AL ALCOHOL Y/O DROGAS.  ENFERMOS DIABÉTICOS O CON OTRAS ENFERMEDADES QUE COMPRENDEN EL SISTEMA INMUNITARIO Y/O EN TRATAMIENTO PROLONGADO CON CORTICOIDES O INMUNOSUPRESORES, DESNUTRIDOS, DIALIZADOS.  PERSONAS QUE PRESENTAN IMÁGENES RADIOLÓGICAS PULMONARES CON ANOMALÍAS.
  • 10.
     EN NUESTROPAÍS, APROXIMADAMENTE 4 DE CADA 100 PERSONAS QUE CONSULTAN POR SÍNTOMAS RESPIRATORIOS TIENEN TUBERCULOSIS.  ESTE PORCENTAJE VARÍA ENTRE 1,1% Y 8% SEGÚN ZONAS DE MAYOR O MENOR INCIDENCIA.
  • 11.
     MICOBACTERIAS TUBERCULOSAS(M. TUBERCULOSIS COMPLEX)  MYCOBACTERIUM TUBERCULOSIS  M. BOVIS  M. AFRICANUM  M. MICROTI  M. BOVIS ES MUCHO MENOS FRECUENTE. SE CARACTERIZA POR SU RESISTENCIA A PIRAZINAMIDA  MICOBACTERIAS SON  BACILOS ÁCIDO ALCOHOL RESISTENTES (BAAR)  AEROBIOS ESTRICTOS  INMÓVILES  NO ESPORULADOS  GRAM (+)  REPRODUCCION MUY LENTA  RESISTENTES A ÁCIDOS Y ÁLCALIS  TIENEN UNA GRAN ENVOLTURA DE ÁCIDOS MICÓLICOS  POR FUERA DE LA CAPA DE ÁCIDOS MICÓLICOS EXISTEN UNA SERIE DE FENOL GLICOLÍPIDOS Y GLICOLÍPIDOS  SON INTRACELULARES, CAPACES DE VIVIR DENTRO DE LOS MACRÓFAGOS
  • 12.
     PRINCIPALMENTE DE PERSONAA PERSONA POR VÍA RESPIRATORIA.  DE FORMA EXCEPCIONAL POR INOCULACIÓN CUTÁNEA
  • 13.
    FACILITAN TRANSMICION  MAYORCANTIDAD DE BACILOS EN GOTAS DE FLUGGE.  TOS PERSISTENTE  LESIONES CAVITADAS  HACINAMIENTO PREVIENEN TRANSMICION  TRATAMIENTO PRECOZ  VENTILAR AMBIENTES  PONERSE LA MANO AL TOSER O ESTORNUDAR.
  • 14.
    ESTADIO I EN LOSALVÉOLOS, LOS BACILOS SON FAGOCITADOS POR LOS MACRÓFAGOS ALVEOLARES, DONDE SE MULTIPLICAN ESTADIO II Días 7 y 21 SE PRODUCE UNA ACUMULACIÓN DE MONOCITOS Y BACILOS INTRACELULARES ESTADIO III Tercer semana NECROSIS CASEOSA: LA NECROSIS TISULAR Y DE LOS MACRÓFAGOS CREA UN MEDIO DESFAVORABLE PARA LA MULTIPLICACIÓN DE LOS BACILOS. COINCIDIENDO CON LA POSITIVIZACIÓN DEL PPD ESTADIO IV GRANULOMAS ESTADIO V CAVITACIÓN: CONDICIONES IDÓNEAS PARA LA MULTIPLICACIÓN EXTRACELULAR DE LOS BACILOS
  • 15.
    • BRONCÓGENA • LINFÁTICA •HEMATÓGENA • FAVORECEN LA RETENCIÓN Y MULTIPLICACIÓN DE LOS BACILOS: • RIÑONES • EPÍFISIS DE LOS HUESOS LARGOS, • CUERPOS VERTEBRALES, • ÁREAS MENÍNGEAS CERCANAS AL ESPACIO SUBARACNOIDEO Y, • SOBRE TODO, LAS ZONAS APICALES POSTERIORES DEL PULMÓN. • EN ESTAS ZONAS SE PRODUCEN FOCOS DE MULTIPLICACIÓN HASTA 2 A 10 SEMANAS DE LA PRIMOINFECCIÓN
  • 16.
     EN INMUNOCOMPETENTES 5% DESARROLLARÁ LA ENFERMEDAD EN LOS DOS AÑOS SIGUIENTES A LA PRIMOINFECCIÓN.  OTRO 5 % LA DESARROLLARÁ MÁS TARDE.  EL OTRO 90 POR CIENTO PERMANECERÁ LIBRE DE ENFERMEDAD.  EN INMUNODEPREIMIDOS ALREDEDOR DEL 50% DESARROLLARA LA ENFERMEDAD.
  • 17.
     INFECCIÓN PORVIH(100 VECES), SIDA (170 VECES).  ADICCIÓN A DROGAS, ESPECIALMENTE POR VÍA PARENTERAL.  INFECCIÓN RECIENTE (EN LOS DOS AÑOS PREVIOS).  HALLAZGOS RADIOLÓGICOS SUGESTIVOS DE TB PREVIA.  DIABETES MELLITUS (3 VECES).  SILICOSIS (30 VECES).  TERAPIA PROLONGADA CON CORTICOIDES.  OTRAS TERAPIAS INMUNOSUPRESORAS.  CÁNCER DE CABEZA Y CUELLO.  ENFERMEDADES HAMATOLÓGICAS (EJ. LEUCEMIA Y ENFERMEDAD DE HODGKIN).  INSUFICIENCIA RENAL CRÓNICA.  GASTRECTOMÍA.  SÍNDROMES DE MALABSORCIÓN CRÓNICA.  BAJO PESO CORPORAL (10 POR CIENTO O MÁS POR DEBAJO DEL PESO IDEAL).
  • 19.
    CLASE SITUACIÓN DESCRIPCIÓN 0NO EXPOSICIÓN NO INFECCIÓN NO HISTORIA DE EXPOSICIÓN PPD (-) 1 EXPOSICIÓN NO INFECCIÓN HISTORIA DE EXPOSICIÓN PPD (-) 2 INFECCIÓN NO ENFERMEDAD PPD (+) ESTUDIOS BACTERIOLÓGICOS (-) NO EVIDENCIA CLÍNICA NI RADIOLÓGICA DE TB 3 ENFERMEDAD ACTUAL CULTIVO DE M. TUBERCULOSIS OPPD (+) Y CLÍNICA O RADIOLOGÍA EVIDENTE 4 ENFERMEDAD PREVIA HISTORIA DE EPISODIO PREVIO O HALLAZGOS RADIOLÓGICOS ANORMALES PERO ESTABLES, PPD (+) Y ESTUDIOS BACTERIOLÓGICOS (-) Y NO EVIDENCIA CLÍNICA NI RADIOLÓGICA DE ENFERMEDAD 5 SOSPECHA DE TB EN ESTUDIO, PENDIENTE DE DIAGNÓSTICO
  • 20.
     S YS PREDOMINANTEMENTE:  SISTÉMICOS  PULMONARES  DE OTRO ÓRGANO AFECTADO  O COMBINACIÓN DE ELLOS.  GENERALMENTE ASINTOMÁTICA PERO CON HISTORIA DE EXPOSICIÓN, PPD POSITIVA Y RX PATOLÓGICA.  CUANDO LA POBLACIÓN BACILAR ES SIGNIFICATIVA SE VA A PRODUCIR UNA REACCIÓN SISTÉMICA, CON SÍNTOMAS INESPECÍFICOS COMO FIEBRE (PRIMORDIALMENTE VESPERTINA), ESCALOFRÍOS, ASTENIA, PÉRDIDA DE APETITO, DISMINUCIÓN DE PESO Y SUDACIÓN NOCTURNA (QUE AFECTA MÁS A LA PARTE SUPERIOR DEL CUERPO).  LA INSTAURACIÓN DE LOS SÍNTOMAS ES GRADUAL.  MENOS FRECUENTE ES LA PRESENTACIÓN COMO UN SÍNDROME PSEUDOGRIPAL, CON FIEBRE AGUDA Y ESCALOFRÍOS, Y EL ENFERMO NO CONSULTA HASTA QUE LOS SÍNTOMAS NO SE RESUELVEN COMO SERÍA DE ESPERAR. EL ERITEMA NODOSO PUEDE APARECER CON ESTE INICIO AGUDO.
  • 21.
     TOS CONEXPECTORACION DE MAS DE 2 SEMANAS DE EVOLUCION  ESPUTO ESCASO Y NO PURULENTO  PUEDE HABER DOLOR TORACICO Y HEMOPTISIS DE CUALQUIER GRADO.
  • 22.
     GENERALMENTE UNILATERAL. DOLOR PLEURITICO AGUDO O RECURRENTE (*MOYA?)  PUEDE MANIFESTARSE SOLO COMO SME. FEBRIL AGUDO.  PUEDE SER ASINTOMATICA  SIN TTO. RECIDIVA EN EL 65% DE LOS CASOS EN 5 AÑOS.
  • 23.
     CARACTERISTICAS DELLIQUIDO  EXUDADO  CELULAS 500-2500 PREDOMONIO LINFOCITICO  ph <7.3  ADA >40UI ES DIAGNOSTICA  BACILOSCOPIA RARA VEZ ES POSITIVA  CULTIVO (+)EN EL 25%  75% DE BIOPSIAS MUESTRAN GRANULOMAS
  • 24.
     SNC  LINFADENITIS LARINGITIS  GENITOURINARIA  OSTEOARTICULAR  GASTROINTESTINAL  SEROSITIS: PERITONITIS, PERICARDITIS  MILIAR  OCULAR
  • 25.
     EL DIAGNÓSTICODE TUBERCULOSIS EN ENFERMOS CON FACTORES DE RIESGO DEBE LLEVAR A LA REALIZACIÓN DE SEROLOGÍA Y DIAGNÓSTICO DE INFECCIÓN POR EL VIH.
  • 26.
     ALGUNOS LALLAMAN “LA NUEVA TBC”  GRALMENTE EN PTES QUE NO HAN TENIDO OTRAS ENFERMEDADES MARCADORAS DE SIDA.  50% AFECTACION PULMONAR Y 50% EXTRAPULMONAR O COMBINADA.  S YS INESPECIFICOS(DIFICIL D/D CON OTRAS IO)  IMPLICANCIAS DIAGNOSTICAS Y TERAPEUTICAS
  • 27.
     GENERALMENTE RELACIONADACON EL GRADO DE INMUNODEPRESION  LA MAS FTE. ES LA LINFADENITIS.  OTRAS A TENER EN CUENTA:  SNC  ABSCESOS VISCERALES (PRÓSTATA, BAZO, HÍGADO, RIÑÓN, MÚSCULO PSOAS Y PIEL)  MICOBACTERIEMIA
  • 28.
    CUATRO PILARES FUNDAMENTALES SOSPECHA CLÍNICA  PRUEBA DE LA TUBERCULINA  RADIOLOGÍA  BACTERIOLOGÍA "DIAGNÓSTICO PASIVO”: ES EL QUE REALIZAMOS EN AQUELLOS PACIENTES QUE ACUDEN A NUESTRA CONSULTA "DIAGNÓSTICO ACTIVO”: ES EL QUE DEBEMOS BUSCAR NOSOTROS DE FORMA ACTIVA ENTRE AQUELLAS PERSONAS QUE PERTENECEN A GRUPOS DE RIESGO.
  • 29.
     TOS YEXPECTORACIÓN POR MÁS DE 15 DÍAS.  EXPECTORACIÓN CON SANGRE (HEMOPTISIS), CON O SIN DOLOR TORÁCICO Y DIFICULTAD PARA RESPIRAR.  PÉRDIDA DE PESO O DE APETITO, FIEBRE, SUDOR NOCTURNO, DECAIMIENTO.
  • 30.
     DEPENDEN DELOCALIZACION:  VERTEBRAL: DOLOR EN LA ZONA DORSOLUMBAR, CON O SIN FIEBRE.  PLEURITIS: DOLOR PLEURÍTICO.  RENAL: HEMATURIA.  MENINGITIS: CEFALEA, ALTERACIÓN DEL COMPORTAMIENTO, CONVULSIONES, ETC.
  • 31.
     DETERMINA ESTADOGENERAL DEL PACIENTE  PUEDE SER NORMAL, AUSCULTARSE ESTERTORES (QUE SE ACENTÚAN DESPUÉS DE LA TOS), SIBILANCIAS, EN CAVITACIÓN SE PUEDE ESCUCHAR UN SOPLO TUBÁRICO.  BUSCAR ADENOPATÍAS PERIFÉRICAS Y HEPATO O ESPLENOMEGALIA.  EN TBC EXTRAPULMONAR DEPENDE DE LOCALIZACIÓN: HIPOVENTILACIÓN O ROCE PLEURAL , CIFOSIS, DOLOR A LA PERCUSIÓN SOBRE LA COLUMNA O PÉRDIDA DE FUERZA EN MMII, MENINGISMO, AFECTACIÓN DE PARES CRANEALES O HEMIPARESIA, ETC.  DADA SU RELACIÓN CON EL VIH, NO SE DEBE OLVIDAR LA BÚSQUEDA DE MUGUET, LEUCOPLASIA VELLOSA ORAL, DERMATITIS SEBORREICA, POLIADENOPATÍAS, ETC.
  • 32.
    TUBERCULOSIS NEUMONÍA BACTERIANAVVAS ANTEC. FACTORES DE RIESGO. PPD MENOS IMPORTANTE. CASOS CERCANOS CC GENERALMENTE SOLAPADA. BIEN TOLERADA. SMECONSTITUCIONAL COMIENZO AGUDO. IMPRESIONA DE MAYOR GRAVEDAD COMIENZO AGUDO. SÍNTOMAS VÍAS ALTAS. LAB RARO LEUCOCITOS MUY ALTOS. ANEMIA EN CASOS DE LARGA EVOLUCIÓN. MAYOR REPERCUSIÓN EN HEMOGRAMA: LEUCOCITOSIS LEUCOCITOSIS MODERADA. LINFOCITOSIS RX AFECTACIÓN DE SEGMENTOS APICALES DE LÓBULOS SUPERIORES Y SEGMENTOS SUPERIORES DE LÓBULOS INFERIORES. FRECUENTE CAVITACIÓN. CUALQUIER AFECTACIÓN. MENOS FRECUENTE CAVITACIÓN NORMAL.
  • 33.
     20% DEFALSOS NEGATIVOS POR UNA COMBINACIÓN DE INMUNODEPRESIÓN, HIPERSENSIBLIDAD TARDÍA, FASE AGUDA, DESNUTRICIÓN.  A LAS SEMANAS DE TTO Y DE ALIMENTACIÓN EL 95% DA POSITIVO.  EN FORMAS GRAVES COMO MILIAR, MENINGITIS: 50% NEGATIVOS.  LA CONVERSIÓN TIENE 99% DE ESPECIFICIDAD.  CONVERSIONES ANUALES DEL 0.5 AL 1 % EN INSTITUCIONES SIN CASOS DE TBC.  CONVERSIONES DEL 2% O MAYOR SEÑALAN TRANSMISIÓN.  > 20 MM ES MUY POCO PROBABLE QUE SE POR LA BCG.  SOLAMENTE DIAGNOSTICA INFECCIÓN Y NO ENFERMEDAD
  • 34.
     DETERMINAR LAPREVALENCIA O INCIDENCIA DE LA INFECCIÓN TUBERCULOSA EN UNA POBLACIÓN DETERMINADA (ESTUDIO DE RIESGO DE INFECCIÓN).  COMPLEMENTAR EL DIAGNÓSTICO DE TBC EN NIÑOS.  EVALUACIÓN DE INFECCIÓN TUBERCULOSA RECIENTE EN TRABAJADORES DE INSTITUCIONES CON ALTA PROBABILIDAD DE TENER INFECCIÓN CON TB O CONDICIONES QUE FACILITEN LA TRANSMISIÓN.  EVIDENCIAR LA INFECCIÓN TUBERCULOSA EN PERSONAS CON ALTO RIESGO DE PASAR DE INFECCIÓN A ENFERMEDAD.
  • 35.
    Advisory Council forthe Elimination of Tuberculosis. MMWR 1995;44(No. RR-11):19–34.
  • 36.
     SIEMPRE SOLICITARPAR RADIOLOGICO.  INFILTRADO EN LAS REGIONES MEDIAS DEL PULMÓN, ENSANCHAMIENTO HILIAR Y MEDIASTÍNICO POR AGRANDAMIENTO DE LOS GANGLIOS.  COMPLEJO DE GHON: LAS LESIONES PRIMARIAS CURADAS PUEDEN DEJAR UN NÓDULO PERIFÉRICO CALCIFICADO, QUE, JUNTO CON UN GANGLIO HILIAR CALCIFICADO
  • 37.
     PAR RADIOLOGICOY PROY. LORDOTICA  MÁS FRECUENTE INFILTRADO EN SEGM APICALES DE LÓB SUP Y EN SEGM SUPERIORES DE LÓBULOS INF.  PUEDE APARECER CAVITACIÓN.
  • 41.
     BRONCÓGENA SEVE IMAGEN MÁS EXTENSA, CON PATRÓN DESTRUCTIVO.  HEMATÓGENA: PATRÓN MILIAR: PEQUEÑOS NÓDULOS DE UNOS 2 MM, REPARTIDOS DE FORMA DIFUSA Y HOMOGÉNEA POR AMBOS CAMPOS PULMONARES.
  • 44.
     TÉRMINOS COMO"LESIONES FIBRÓTICAS", "CICATRICIALES", "INACTIVAS", SE DEBEN EVITARSE CON UNA SOLA RX DE TÓRAX, PUES LA INACTIVIDAD DE UNA TUBERCULOSIS PULMONAR NO SE PUEDE AFIRMAR POR UNA IMAGEN AISLADA.  Rx SERIADAS SIN CAMBIOS EN 3 Ó 4 MESES SI SON SUGESTIVAS DE UNA TUBERCULOSIS ANTIGUA.  ESTAS LESIONES ANTIGUAS SE VEN COMO RETRACCIONES DEL HILIO PULMONAR O DESVIACIÓN DE LA TRÁQUEA.
  • 47.
     DEPENDE DELGRADO DE INMUNODEPRESION  DESDE NORMAL HASTA EXTENSOS INFILTRADOS BILATERALES  NO RESPETA LOCALIZACIONES TIPICAS  50% TIENEN ADENOPATIAS INTRATORACICAS  TBC ES LA PRINCIPAL CAUSA DE DERRAME PLEURAL EN HIV.  ES RARA LA CAVITACION.  Rx EMPEORA TRANSITORIAMENTE LUEGO DE 1-5 SEMANAS DE INICIADO EL HAART
  • 49.
     ÚNICO METODOQUE CONFIRMA TBC ACTIVA.  DGCO DE CERTEZA MEDIANTE EL CRECIMIENTO E IDENTIFICACIÓN DE M. TUBERCULOSIS  DEBEN RECOGERSE TRES MUESTRAS DE ESPUTO, ESPECIALMENTE POR LA MAÑANA  IMPORTANTE INSTRUIR AL PACIENTE SOBRE COMO RECOGER LA MUESTRA,  SI NO PRESENTA ESPUTO ESPONTÁNEO  ESPUTO INDUCIDO  ASPIRADO GÁSTRICO (EN NIÑOS)  FIBROBRONCOSCOPIA  APARTE DEL ESPUTO OTRAS MUESTRAS ORGÁNICAS PUEDEN SER PROCESADAS: ORINA (IGUALMENTE TRES MUESTRAS DE DÍAS DISTINTOS, LA PRIMERA DE LA MAÑANA), LCR, LÍQUIDO PLEURAL, ASPIRADO GANGLIONAR, PUS, BIOPSIAS, SANGRE.
  • 50.
     PARA QUESEA POSITIVA ES PRECISO QUE LA MUESTRA TENGA COMO MÍNIMO, ENTRE 5.000 Y 10.000 BACILOS POR MILILITRO DE MUESTRA.  ESTE ALTO CONTENIDO DE BACILOS SE ENCUENTRA EN LOS PACIENTES CON TUBERCULOSIS PULMONAR, ESPECIALMENTE EN AQUELLOS CON ENFERMEDAD AVANZADA Y CON LESIONES CAVITADAS.  ESTOS PACIENTES SON LOS QUE TRANSMITEN LOS BACILOS MANTENIENDO LA ENFERMEDAD EN LA COMUNIDAD.
  • 51.
     LA SENSIBILIDADDEPENDE DE LA EXPERIENCIA DE QUIEN LA REALIZA, Y ES 60-75% PARA MUESTRAS RESPIRATORIAS, SIENDO SU VPP >90%.  PARA OTRAS MUESTRAS LA SENSIBILIDAD NO LLEGA AL 50 %.  LOS INFORMES DE MUESTRAS RESPIRATORIAS DEBEN INCLUIR UNA CUANTIFICACIÓN PARA ORIENTAR AL CLÍNICO SOBRE LA RESPUESTA AL TRATAMIENTO: EN CRUCES (+, ++ O +++), O EN BAAR/100 CAMPOS DE INMERSIÓN.
  • 53.
     FDA APROBO2 TÉCNICAS DE AMPLIFICACIÓN DE ÁCIDOS NUCLEICOS PARA IDENTIFICACIÓN RÁPIDA DE M. TUBERCULOSIS.  PROPORCIONAN UN RESULTADO ENTRE 5-7 HORAS. SON: GEN- PROBE MTD; Y AMPLICOR MYCOBACTERIUM TUBERCULOSIS TEST.  LA SENSIBILIDAD ES APROX. 95 % EN PACIENTES CON BACILOSCOPIA POSITIVA, PERO SÓLO DEL 50% SI LA BACILOSCOPIA ES NEGATIVA. LA ESPECIFICIDAD ES >95 % EN BACILOSCOPIAS POSITIVAS COMO NEGATIVAS.  SÓLO APROBADA PARA MUESTRAS RESPIRATORIAS CON
  • 54.
     RESULTADOS TARDIOSPERO ES MÁS SENSIBLE QUE BACILOSCOPIA.  EVIDENCIA UN MÍNIMO DE 10 A 100 BAAR.  PERMITE DETECTAR LOS CASOS ANTES DE QUE LLEGUEN A SER INFECCIOSOS.
  • 55.
     DIAGNÓSTICO DECASOS CON SOSPECHA CLÍNICA Y RADIOLÓGICA DE TB PULMONAR CON BK NEGATIVA.  TB EXTRAPULMONAR E INFANTIL.  CONTACTOS DE PACIENTES CON TB MDR.  CASOS QUE FRACASARON AL TRATAMIENTO ESTÁNDAR, ABANDONOS RECUPERADOS, RECAÍDAS O QUE CONTINÚEN CON BK POSITIVA AL 2DO MES DE TRATAMIENTO.  INVESTIGACIÓN DE INDIVIDUOS DE ALTO RIESGO (INMUNODEPRIMIDOS, ESPECIALMENTE VIH/SIDA CON SOSPECHA DE TB)
  • 56.
    VENTAJAS  DISMINUYEN ELTIEMPO PARA DETECTAR CULTIVOS (+) A 7-30 DÍAS  ACORTAN TIEMPO PARA ESTUDIO DE SENSIBILIDAD A DROGAS ANTITBC DE PRIMERA LÍNEA APROX. 7 DÍAS.  DIFERENCIAN RÁPIDAMENTE SI SE HA DESARROLLADO M. TUBERCULOSIS U OTRA MICOBACTERIA. DESVENTAJAS  MAYOR CONTAMINACIÓN DE LOS CULTIVOS.  MAYOR CARGA DE TRABAJO.  MAYOR COSTO.  MAYOR RIESGO PARA EL PERSONAL DE LABORATORIO. EN NUESTRO PAÍS SE UTILIZAN MÉTODOS RADIOMÉTRICOS (BACTEC 460, M- GIT, BACTEC 960, MB BACT), COLORIMÉTRICOS O FLUOROMÉTRICOS.
  • 57.
     ANTECEDENTES DETRATAMIENTO, RECAÍDAS, FRACASOS Y ABANDONOS Y/O ANTECEDENTES DE IRREGULARIDAD EN EL TRATAMIENTO.  BACILOSCOPÍA DE ESPUTO POSITIVA AL FINALIZAR EL SEGUNDO MES DE TRATAMIENTO.  INMUNODEPRIMIDOS.  ESTUDIOS DE VIGILANCIA EPIDEMIOLÓGICA DE MULTIRRESISTENCIA QUE INCLUYE EL PROGRAMA DE CONTROL DE LA TUBERCULOSIS.  CONTACTOS DE PACIENTES MULTIRRESISTENTES.
  • 58.
     DE CUALQUIERTEJIDO DEL ORGANISMO SOSPECHOSO DE ESTAR AFECTADO POR TBC.  OBTENER SIEMPRE DOS FRAGMENTOS DEL MATERIAL PARA  ANATOMOPATOLÓGICA  BACTERIOLOGÍA.  PARA ANATOMÍA PATOLÓGICA SE DEBE CONSERVAR EN FRASCO ESTÉRIL CON SOLUCIÓN DE FORMALDEHÍDO AL 4%, QUE SE OBTIENE DE DILUIR 1 EN 10 LA PRESENTACIÓN COMERCIAL DE FORMOL. LA MUESTRA DEBE CUBRIRSE TOTALMENTE CON ESTA SOLUCIÓN.  EL MATERIAL PARA ESTUDIO BACTERIOLÓGICO SE DEBE ENVIAR EN FRASCO ESTÉRIL CON EL AGREGADO DE SOLUCIÓN FISIOLÓGICA ESTÉRIL.
  • 59.
     NO ESRECOMENDABLE ENVIAR AL PACIENTE CON LA MUESTRA AL LABORATORIO. LA RESPONSABILIDAD DE LA ENTREGA DE LA MUESTRAS AL LABORATORIO ES DEL PERSONAL DE SALUD QUE LO ATENDIÓ.
  • 60.
     ANEMIA DEENFERMEDADES CRONICAS  MONOCITOSIS  EN TBC MILIAR PUEDE HABER:LEUCOPENIA, TROMBOPENIA, ANEMIA REFRACTARIA, REACCIONES LEUCEMOIDES ETC., PERO NO ES LO ESPERABLE.  EN CASOS EVOLUCIONADOS PUEDE EXISTIR HIPOALBUMINEMIA.  HIPONATREMIA POR SSIADH (POR TBC MENINGEA O PULMONAR) O POR ADDISON
  • 61.
     PONE DEMANIFIESTO:  HEPATOESPLENOMEGALIA  ADENOPATÍAS  ABSCESOS HEPÁTICOS O ESPLÉNICOS, MÁS FRECUENTES COMO SE HA COMENTADO EN EL VIH.
  • 62.
     TAC DEALTA RESOLUCIÓN DE TÓRAX PARA DGCO.DE TBC MILIAR : NUMEROSOS NÓDULOS DE 2 A 3 MM DISTRIBUIDOS POR TODO EL PULMÓN.  RMN DE SNC PARA DGO DE  MENINGITIS TBC: CAPTACIÓN DE CONTRASTE EN LA BASE DEL CRÁNEO.  INFARTOS CEREBRALES  TUBERCULOMAS
  • 64.
    CLASIFICAR LOS CASOSTENIENDO EN CUENTA:  LOCALIZACIÓN.  GRAVEDAD.  BACTERIOLOGÍA (BACILOSCOPÍA DE ESPUTO).  ANTECEDENTES DE TTO ANTI-TBC PREVIO.  EDAD  INFECCIÓN POR EL VIH: ESTADO GENERAL E INMUNOLOGICO
  • 65.
     EL TRATAMIENTODE LA TUBERCULOSIS CONSISTE EN UNA FASE INICIAL DIARIA Y UNA FASE DE CONTINUACIÓN QUE PUEDE SER DIARIA O TRISEMANAL.  AMBAS FASES DEBEN SER TOTALMENTE SUPERVISADAS A FIN DE GARANTIZAR EL CUMPLIMIENTO DEL MISMO.
  • 66.
    CASO NUEVO: PACIENTEQUE NUNCA HA TOMADO DROGAS ANTITUBERCULOSAS O QUE LAS HA TOMADO POR MENOS DE UN MES Y QUE PRESENTA:  TBC PULMONAR CON BACILOSCOPÍA POSITIVA.  TBC PULMONAR CON BACILOSCOPÍA NEGATIVA (CULTIVO POSITIVO O NEGATIVO), LESIONES RADIOLÓGICAS EXTENSAS Y SINTOMATOLOGÍA IMPORTANTE.  TBC EXTRAPULMONAR SEVERA (MENINGITIS, PERICARDITIS, PERITONITIS, PLEURESÍA BILATERAL, INTESTINAL, GENITOURINARIA Y OSTEOARTICULAR).  TBC DISEMINADA (MILIAR).  TBC EN PACIENTES CON VIH/SIDA.
  • 67.
    CASOS CON TRATAMIENTOPREVIO  INTERRUPCIÓN DEL TRATAMIENTO O ABANDONO: HIZO TTO POR MÁS DE UN MES Y LO RETOMA LUEGO DE HABERLO INTERRUMPIDO POR DOS MESES O MÁS, CON BACILOSCOPÍA DE ESPUTO POSITIVA O BACILOSCOPÍA NEGATIVA QUE CLÍNICA Y RADIOLÓGICAMENTE TIENE EVIDENCIA DE TBC ACTIVA  RECAÍDA: PACIENTE DE TUBERCULOSIS EN CUALQUIERA DE SUS FORMAS, QUIEN EN EL PASADO HA SIDO DECLARADO COMO CURADO POR UN MÉDICO, DESPUÉS DE UN TRATAMIENTO COMPLETO, Y HA VUELTO CON BACILOSCOPÍA Y/O CULTIVO DE ESPUTO POSITIVO.  FRACASO OPERATIVO: PACIENTE EN TRATAMIENTO QUE CONTINÚA O VUELVE CON BACTERIOLOGÍA POSITIVA (BACILOSCOPÍA Y/O CULTIVO DE ESPUTO) AL FINAL DEL CUARTO MES DE INICIADO UN PRIMER TRATAMIENTO NO SUPERVISADO MUY IRREGULAR.
  • 68.
    CASO NUEVO: PACIENTEQUE NUNCA HA TOMADO DROGAS ANTITUBERCU-LOSAS O QUE LAS HA TOMADO POR MENOS DE UN MES Y QUE PRESENTA:  TUBERCULOSIS PULMONAR CON BACILOSCOPÍA NEGATIVA (CULTIVO POSITIVO O NEGATIVO).  TUBERCULOSIS EXTRAPULMONAR MENOS SEVERA, PLEURESÍA UNILATERAL, GANGLIONAR Y TUBERCULOSIS DE PIEL LOCALIZADA SIN DISEMINACIÓN APARENTE.
  • 69.
     FRACASO FARMACOLÓGICO:PACIENTE EN TRATAMIENTO QUE CONTINÚA O VUELVE CON BACTERIOLOGÍA POSITIVA (BACILOSCOPÍA Y/O CULTIVO DE ESPUTO) AL FINALIZAR EL CUARTO MES DE HABER COMENZADO UN PRIMER TRATAMIENTO ESTRICTAMENTE SUPERVISADO.  CASO CRÓNICO: PACIENTE QUE CONTINÚA O VUELVE A PRESENTAR BACILOSCOPÍA O CULTIVO POSITIVO DESPUÉS DE COMPLETAR UN RETRATAMIENTO SUPERVISADO.  TUBERCULOSIS MULTIRRESISTENTE (TBMR): PACIENTE CON TUBERCULOSIS ACTIVA EN EL QUE SE AÍSLAN BACILOS RESISTENTES AL MENOS A ISONIACIDA Y RIFAMPICINA.
  • 74.
     REFIERA ALPACIENTE A UN HOSPITAL ESPECIALIZADO.  SI NO PUEDE REFERIRLO, COMUNIQUE LA SITUACIÓN AL HOSPITAL ESPECIALIZADO, SOLICITE INSTRUCCIONES Y RECOMENDACIONES.
  • 77.
    TRES ACCIONES ADICIONALESDEBEN REALIZARSE:  EXAMEN DE CONTACTOS.  CONTROL DE LA VACUNACIÓN CON BCG.  QUIMIOPROFILAXIS.
  • 79.
     INDICACION PRIORITARIA:MENORES DE 15 AÑOS CONTACTOS DE ENFERMOS BACILÍFEROS  OTRAS RECOMENDACIONES:  <5 AÑOS CONTACTOS DE ENFERMOS NO BACILÍFEROS, CON PPD(+).  <5 AÑOS, NO VACUNADOS CON BCG, CON PRIMOINFECCIÓN TUBERCULOSA, DETECTADO POR TUBERCULINA POSITIVA O VIRAJE TUBERCULÍNICO1 O NÓDULO PRECOZ DE BCG (ANTES DE LOS 14 DÍAS).  PTES. CON RX SUGESTIVA DE TBC RESIDUAL INACTIVAS (CON BACTERIOLOGÍA NEGATIVA) NUNCA TRATADAS CON QUIMIOTERAPIA.  TRABAJADORES DE LA SALUD E INTEGRANTES DE COMUNIDADES CERRADAS INFECTADOS RECIENTEMENTE (VIRAJE TUBERCULÍNICO).  PERSONAS CON PPD (+) EN SITUACIONES CLÍNICAS ESPECIALES: SILICOSIS, DIABETES, TRATAMIENTO PROLONGADO CON CORTICOSTEROIDES O INMUNOSUPRESORES, PACIENTES EN LISTA DE ESPERA DE TRANSPLANTE DE ÓRGANOS, NEOPLASIAS DE CABEZA Y CUELLO, HEMODIÁLISIS, NEOPLASIAS HEMATOLÓGICAS, GASTRECTOMÍA, CORTOCIRCUITO YEYUNOILEAL, SEGÚN INDICACIÓN MÉDICA INDIVIDUAL.  INDICACIONES EN PERSONAS CON VIH/SIDA  CUANDO PRESENTAN UNA PRUEBA TUBERCULÍNICA POSITIVA (5 MM O MÁS).  CUANDO TIENEN CONTACTO CERCANO (DE 4 A 6 HORAS DIARIAS) CON ENFERMOS DE TUBERCULOSIS, ESPECIALMENTE BACILÍFEROS, INDEPENDIENTEMENTE DE LOS RESULTADOS DE LA PRUEBA TUBERCULÍNICA, LA EDAD O QUIMIOPROFILAXIS PREVIA.
  • 80.
     ADMINISTRAR ISONIACIDA:5 MG/KG/DÍA; (DOSIS MÁXIMA 300 MG/DÍA), EN UNA SOLA TOMA DIARIA VÍA ORAL SUPERVISADA DURANTE 6 MESES. EN VIH/SIDA, 9 MESES.
  • 81.
     ENFERMOS CONTUBERCULOSIS ACTIVA.  ANTES DE INDICAR QUIMIOPROFILAXIS DESCARTAR ENFERMEDAD.  PERSONA CON ANTECEDENTES DE TOXICIDAD SEVERA A LA ISONIACIDA.  INSUFICIENCIA HEPÁTICA.
  • 82.
     ES EFICAZPARA PREVENIR LA DISEMINACION HEMATÓGENA DE LA INFECCIÓN PRIMARIA POR M. TUBERCULOSIS.  AL NACER DEBE SER APLICADA COMO UNA ESTRATEGIA DE PREVENCIÓN DE LAS FORMAS GRAVES DE TUBERCULOSIS (MENINGITIS, MILIAR), QUE PUEDEN OCURRIR TRAS UNA INFECCIÓN PRIMARIA, ESPECIALMENTE EN NIÑOS.  LA VACUNA BCG NO EVITA LA INFECCIÓN POR M. TUBERCULOSIS.
  • 83.
     RN ATÉRMINO CUALQUIERA SEA SU PESO Y NIÑO PRETÉRMINO CON 2000 GR O MÁS, ANTES DEL EGRESO DE LA MATERNIDAD.  NIÑO DE 6 AÑOS O MENOS QUE NO PRESENTAN CICATRIZ DE BCG Y/O REGISTRO DE VACUNACIÓN.
  • 84.
     GRAVE COMPROMISODEL ESTADO GENERAL.  NIÑOS CON AFECCIONES GENERALIZADAS DE LA PIEL.  ENFERMEDADES INFECCIOSAS (ESPECIALMENTE SARAMPIÓN Y VARICELA), DEBIENDO ESPERAR 4 SEMANAS DE TRANSCURRIDAS ESTAS INFECCIONES.  INMUNODEPRESIÓN CONGÉNITA O ADQUIRIDA (VIH SINTOMÁTICO, LINFOMAS, LEUCEMIAS, NEOPLASIAS GENERALIZADAS).  TRATAMIENTO PROLONGADO CON ESTEROIDES O DROGAS INMUNODEPRESORAS (CUANDO SE ADMINISTRAN POR 15 DÍAS O MÁS, DEBE SER CONSULTADO CON UN ESPECIALISTA).
  • 85.
     LA VACUNASE DEBE APLICAR EN EL BRAZO DERECHO, EN LA ZONA DE INSERCIÓN INFERIOR DEL MÚSCULO DELTOIDES. ESTA ZONA SE ENCUENTRA EN LA LÍNEA MEDIA DE LA CARA EXTERNA DEL BRAZO, EN LA UNIÓN DEL TERCIO SUPERIOR CON EL TERCIO MEDIO.  SE ACONSEJA NO HACERLO MÁS ARRIBA, PRÓXIMO AL ÁNGULO EXTERNO DEL HOMBRO, POR HABERSE COMPROBADO QUE ALLÍ LAS REACCIONES INDESEABLES COMO ÚLCERA GRANDE, PERSISTENTE Y CICATRIZ HIPERTRÓFICA, APARECEN CON MAYOR FRECUENCIA
  • 86.
     LA REACCIÓNLOCAL ES DE EVOLUCIÓN LENTA.  EN EL 90 A 95% DE LOS VACUNADOS CAUSA UNA LESIÓN ESPECÍFICA EN EL SITIO DE LA INYECCIÓN QUE COMIENZA A LAS 2 O 3 SEMANAS DE APLICADA.  NÓDULO PALPABLE: QUE CRECE HASTA ALCANZAR EL TAMAÑO APROXIMADO A 10 MM QUE SE REBLANDECE EN EL CENTRO (NECROSIS CENTRAL).  COSTRA: APARECE HACIA LA CUARTA SEMANA  ÚLCERA: DE 4 A 8 MM, SE FORMA AL DESPRENDESE LA COSTRA, SEGREGA UNA SEROSIDAD ESPESA. PUEDE SUPURAR DE DOS A TRES MESES.  CICATRIZ: LA LESIÓN ENTRA EN REGRESIÓN Y ALREDEDOR DE LA DÉCIMA SEMANA QUEDA LIGERAMENTE DEPRIMIDA, BLANQUECINA DE 5 A 8 MM DE DIÁMETRO.  DURANTE TODO ESTE PROCESO SE DEBE MANTENER LA LIMPIEZA DE ESA ZONA CON AGUA Y JABÓN. NO DEBEN APLICARSE ANTISÉPTICOS NI APÓSITOS. TAMPOCO DEBEN HACERSE CURACIONES QUE ENTORPEZCAN LA EVOLUCIÓN NORMAL DE LA VACUNA.
  • 90.
    24 DE MARZODE 1882, EL MÉDICO ALEMÁN ROBERTO KOCH, ANUNCIÓ AL MUNDO, EL DESCUBRIMIENTO DE LA BACTERIA CAUSANTE DE LA TUBERCULOSIS: EL BACILO DE KOCH.
  • 91.
    “TUBERCULOSIS, UNA ENFERMEDADDE LA CIVILIZACIÓN INCOMPLETA.” LA ELIMINACIÓN TOTAL DE LA TUBERCULOSIS SE RINDE ANTE FACTORES ECONÓMICO-SOCIALES. RENE Y JEAN DUBOS EN SU LIBRO, THE WHITE PLAGUE.

Notas del editor

  • #13 La tuberculosis es transmitida, a través de las gotitas de Pflüge. Los bacilos tuberculosos (en número de 1 a 3) forman los núcleos de estas pequeñas gotitas, lo suficientemente pequeñas (1-5 micras de diámetro) como para evaporarse, y permanecer suspendidas en el aire varias horas. Las partículas de mayor tamaño, aunque tengan mayor número de bacilos, son menos contagiosas, pues caen por gravedad, o en el caso de ser inhaladas, son eliminadas por el sistema mucociliar y la tos. Cuando una persona con tuberculosis pulmonar o laríngea tose, estornuda, habla o canta, emite estas pequeñas partículas.
  • #16 EN ESTAS ZONAS SE PRODUCEN FOCOS DE MULTIPLICACIÓN HASTA QUE 2 A 10 SEMANAS DESPUÉS DE LA PRIMOINFECCIÓN EL SISTEMA INMUNE DETIENE ESTA MULTIPLICACIÓN Y PREVIENE UNA FUTURA DISEMINACIÓN
  • #22 La tuberculosis pulmonar suele presentarse habitualmente con tos productiva de larga evolución, (generalmente el enfermo consulta cuando lleva más de tres semanas tosiendo). Éste es el principal síntoma respiratorio. El esputo suele ser escaso y no purulento. Además, puede existir dolor torácico, y en ocasiones hemoptisis. Ésta última, aunque suele reducirse a esputo hemoptoico o hemoptisis leve, es indicativa de enfermedad avanzada. La hemoptisis grave, como consecuencia de la erosión de una arteria pulmonar por una cavidad (aneurisma de Rasmussen), y que era descrita en los libros clásicos como una complicación terminal en la era pre-antibiótica, es hoy muy rara. Otra causa de hemoptisis es la sobreinfección por aspergilus (aspergiloma) de una caverna tuberculosa crónica, en cuyo caso el sangrado se produce sin que haya actividad del proceso tuberculoso.
  • #23 La pleuritis tuberculosa suele presentarse generalmente de forma unilateral, y puede asociarse a dolor pleurítico agudo o recurrente. Generalmente, los síntomas sistémicos no son muy floridos, aunque se puede presentar como una enfermedad febril aguda. En otras ocasiones es asintomática. En zonas de alta incidencia se presenta, sobre todo, en adolescentes y adultos jóvenes sin signos de afectación pulmonar. El pronóstico a corto plazo es excelente, con una remisión completa en el 90 por ciento de los casos en unos meses. Pero sin tratamiento recidivaría en el 65 por ciento de los casos en 5 años. En zona de más baja incidencia, un número alto de casos se presenta en enfermos mayores con afectación parenquimatosa concomitante. El derrame suele ser un exudado. El recuento de células suele estar entre 500 y 2.500, de predominio linfocítico, aunque hasta en un 15 por ciento puede predominar los polimorfonucleares. En punciones repetidas se observa un desplazamiento hacia las linfocitos. El ph suele ser de 7,3 o menos. La elevación de los niveles de adenosin deaminasa (ADA) en el líquido pleural tiene su utilidad diagnóstica. Cifras mayores de 40 UI tienen una sensibilidad y una especificidad muy altas. La baciloscopia raramente es positiva, y el cultivo será positivo en un 25 por ciento de los casos. La biopsia pleural puede demostrar granulomas en un 75 por ciento de las muestras. Con el tratamiento tuberculostático raramente es necesario recurrir a toracocentesis repetidas para su curación.
  • #27 La presentación clínica de la tuberculosis en el paciente infectado por el VIH difiere de la clásicamente descrita en la población general, por lo que algunos autores la han llamado &amp;quot; la nueva tuberculosis&amp;quot;. La mayor virulencia de M. tuberculosis respecto a otros patógenos oportunistas que complican la infección por VIH determina que la mayoría de los pacientes que desarrollan una tuberculosis no hayan padecido todavía enfermedades definitorias de sida; hasta en un 70 por ciento de los casos la tuberculosis extrapulmonar supone el criterio definitorio de sida. La afectación pulmonar no se da en más de la mitad de los casos; el resto presenta afectación extrapulmonar exclusiva o mixta, pulmonar y extrapulmonar. El estado de inmunosupresión del sujeto parece ser el principal condicionante de la presentación clínica, de modo que los pacientes con mayor inmunodepresión tienden a presentar con mayor frecuencia formas extrapulmonares y, sobre todo, diseminadas. Por otro lado, dentro de las formas pulmonares, aquellas presentaciones más parecidas a las clásicas son más frecuentes en los pacientes con estados inmunitarios más conservados. Los síntomas y signos de la tuberculosis en los pacientes infectados por el VIH son inespecíficos y no permiten distinguir la enfermedad de otras infecciones oportunistas. La fiebre es un signo prácticamente constante mucho más frecuente que en los pacientes inmunocompetentes. El paciente puede acudir con un cuadro agudo de pocas horas o días de evolución, similar a una infección bacteriana clásica, o con cuadros de varios días de evolución, caracterizado por fiebre y síntomas sistémicos inespecíficos. Como comentaremos más adelante, la tuberculosis en el VIH puede presentar cualquier tipo de infiltrado radiológico. No es rara la pleuritis tuberculosa, de presentación clínica similar a la de los pacientes inmunocompetentes. La tuberculosis pulmonar es en nuestro medio una de las causas que más frecuentemente se asocian a neumotórax espontáneo, y debe considerar en el diagnóstico diferencial junto a las neumonías bacterianas y la neumonía por P. carinii (especialmente en los que reciben profilaxis con pentamidina en aerosol). Entre la afectación extrapulmonar hay que mencionar la gran frecuencia de afectación ganglionar, tanto de ganglios periféricos como intratorácicos e intraabdominales. Así, ante la presencia de adenopatías significativas en cualquier localización junto con fiebre en un enfermo VIH positivo en áreas de alta prevalencia, la primera posibilidad diagnóstica será tuberculosis. Se ha señalado la alta especificidad de la detección de adenopatías con centros hipodensos y captación de contraste en anillo en la tomografía axial computarizada para su diagnóstico. Hay otras tres formas de afectación extrapulmonar en el VIH que merecen especial atención: Los abscesos viscerales tuberculosos. La afectación del sistema nervioso central. La micobacteriemia. Los abscesos viscerales, aunque ya fueron descritos en la era previa al sida, son una complicación más frecuente en estos enfermos que en los no infectados. Suele ocurrir en el seno de tuberculosis diseminada con gran carga bacilífera, y generalmente en estados de inmunodepresión avanzada. Las manifestaciones clínicas van a depender del órgano afectado: se han descrito en la próstata, bazo, hígado, riñón, músculo psoas y piel. El diagnóstico de sospecha suele ser radiológico, y en ocasiones se confirma con la aspiración del material purulento. La detección de múltiples imágenes radiológicas hipodensas de diferentes tamaños en órganos como el bazo o el hígado en el seno de un síndrome febril es muy sugestiva de tuberculosis diseminada. Hay que sospechar la presencia de un absceso en los casos en que la fiebre persiste a pesar de un tratamiento correcto, o que reaparece tras un período de defervescencia. Se suelen resolver con tratamiento médico o con este más drenaje. Rara vez es necesaria la Cirugía. La infección del sistema nervioso central es más frecuente en estos enfermos. En los pacientes VIH positivos con meningitis tuberculosa, aproximadamente dos tercios tienen evidencia clínica o radiológica de tuberculosis extrameníngea. Clínicamente, suelen presentar signos y síntomas de afectación neurológica subaguda, aunque a veces se presentan de forma aguda similar a las meningitis bacterianas purulentas. La tomografía computarizada craneal muestra hallazgos anormales hasta en un 69 por ciento de los casos y el análisis del líquido cefalorraquídeo suele mostrar aumento de la celularidad y disminución de la glucorraquia, con proteinas elevadas sólo en la mitad de los casos. El diagnóstico de certeza descansa en el cultivo, dada la baja sensibilidad de las tinciones del líquido cefalorraquídeo y los niveles no diagnósticos de las determinaciones de adenosín deaminasa en un tercio de los pacientes. La detección de micobacterias en la sangre se ha convertido en una herramienta importante de diagnóstico para la infección diseminada por Mycobacterium avium-intracellulare. Aunque raramente se había utilizado en la determinación de infecciones diseminadas por M. tuberculosis varios centros han documentado en los últimos años el aislamiento del microorganismo de los hemocultivos. La frecuencia de aislamiento en sangre en pacientes con tuberculosis es variable de unos centros a otros con cifras que oscilan del 10 al 42 por ciento. Los métodos utilizados incluyen sistemas convencionales de detección de hemocultivos, el sistema BACTEC radiométrico o procedimientos de lisis-centrifugación. La detección de bacteriemia por M. tuberculosis permite el diagnóstico de tuberculosis diseminada y, en pacientes en los que no se puede recoger otras muestras, o éstas son negativas para la micobacteria, permite el diagnóstico de infección. No parece que la presencia de micobacteriemia implique peor respuesta terapéutica o peor pronóstico en los pacientes VIH positivos con tuberculosis.
  • #28 Entre la afectación extrapulmonar hay que mencionar la gran frecuencia de afectación ganglionar, tanto de ganglios periféricos como intratorácicos e intraabdominales. Así, ante la presencia de adenopatías significativas en cualquier localización junto con fiebre en un enfermo VIH positivo en áreas de alta prevalencia, la primera posibilidad diagnóstica será tuberculosis. Se ha señalado la alta especificidad de la detección de adenopatías con centros hipodensos y captación de contraste en anillo en la tomografía axial computarizada para su diagnóstico. Hay otras tres formas de afectación extrapulmonar en el VIH que merecen especial atención: Los abscesos viscerales tuberculosos. La afectación del sistema nervioso central. La micobacteriemia. Los abscesos viscerales, aunque ya fueron descritos en la era previa al sida, son una complicación más frecuente en estos enfermos que en los no infectados. Suele ocurrir en el seno de tuberculosis diseminada con gran carga bacilífera, y generalmente en estados de inmunodepresión avanzada. Las manifestaciones clínicas van a depender del órgano afectado: se han descrito en la próstata, bazo, hígado, riñón, músculo psoas y piel. El diagnóstico de sospecha suele ser radiológico, y en ocasiones se confirma con la aspiración del material purulento. La detección de múltiples imágenes radiológicas hipodensas de diferentes tamaños en órganos como el bazo o el hígado en el seno de un síndrome febril es muy sugestiva de tuberculosis diseminada. Hay que sospechar la presencia de un absceso en los casos en que la fiebre persiste a pesar de un tratamiento correcto, o que reaparece tras un período de defervescencia. Se suelen resolver con tratamiento médico o con este más drenaje. Rara vez es necesaria la Cirugía. La infección del sistema nervioso central es más frecuente en estos enfermos. En los pacientes VIH positivos con meningitis tuberculosa, aproximadamente dos tercios tienen evidencia clínica o radiológica de tuberculosis extrameníngea. Clínicamente, suelen presentar signos y síntomas de afectación neurológica subaguda, aunque a veces se presentan de forma aguda similar a las meningitis bacterianas purulentas. La tomografía computarizada craneal muestra hallazgos anormales hasta en un 69 por ciento de los casos y el análisis del líquido cefalorraquídeo suele mostrar aumento de la celularidad y disminución de la glucorraquia, con proteinas elevadas sólo en la mitad de los casos. El diagnóstico de certeza descansa en el cultivo, dada la baja sensibilidad de las tinciones del líquido cefalorraquídeo y los niveles no diagnósticos de las determinaciones de adenosín deaminasa en un tercio de los pacientes. La detección de micobacterias en la sangre se ha convertido en una herramienta importante de diagnóstico para la infección diseminada por Mycobacterium avium-intracellulare. Aunque raramente se había utilizado en la determinación de infecciones diseminadas por M. tuberculosis varios centros han documentado en los últimos años el aislamiento del microorganismo de los hemocultivos. La frecuencia de aislamiento en sangre en pacientes con tuberculosis es variable de unos centros a otros con cifras que oscilan del 10 al 42 por ciento. Los métodos utilizados incluyen sistemas convencionales de detección de hemocultivos, el sistema BACTEC radiométrico o procedimientos de lisis-centrifugación. La detección de bacteriemia por M. tuberculosis permite el diagnóstico de tuberculosis diseminada y, en pacientes en los que no se puede recoger otras muestras, o éstas son negativas para la micobacteria, permite el diagnóstico de infección. No parece que la presencia de micobacteriemia implique peor respuesta terapéutica o peor pronóstico en los pacientes VIH positivos con tuberculosis.
  • #37 Radiografía de tórax En la primoinfección tuberculosa, es típica la aparición de un infiltrado en las regiones medias del pulmón, por ser éstas las mejor ventiladas. Es posible ver un ensanchamiento hiliar y mediastínico por agrandamiento de los ganglios. Las lesiones primarias curadas pueden dejar un nódulo periférico calcificado, que, junto con un ganglio hiliar calcificado es lo que se conoce clásicamente como Complejo de Ghon. En la tuberculosis de reactivación, la imagen radiológica más frecuente es la aparición de un infiltrado en los segmentos apicales de los lóbulos superiores, y en los segmentos superiores de los lóbulos inferiores. Además del infiltrado, puede aparecer cavitación. A veces, la imagen es más clara en una proyección lordótica, que facilita la visión de imágenes que pueden estar ocultas por la confluencia de las primeras costillas y la clavícula. Cuando existe diseminación broncógena, se puede observar un imagen más extensa, con patrón destructivo. En la diseminación hematógena es característica la afectación pulmonar, cuya imagen en la radiografía de tórax se denomina patrón miliar (por la similitud con las semillas de mijo). Este patrón se caracteriza por la imagen de pequeños nódulos de unos 2 mm, repartidos de forma difusa y homogénea por ambos campos pulmonares. Es mejor observada en la radiografía lateral. Términos como &amp;quot;lesiones fibróticas&amp;quot;, &amp;quot;cicatriciales&amp;quot;, &amp;quot;inactivas&amp;quot;, se deberían evitar en la evaluación de una sola radiografía de tórax, pues la inactividad de una tuberculosis pulmonar no se puede afirmar por una imagen aislada. Sin embargo, aquellas imágenes que no cambian en radiografías seriadas durante 3 ó 4 meses si son más sugestivas de una tuberculosis antigua (o de otro proceso). Es frecuente ver en estas lesiones antiguas retracciones del hilio pulmonar o desviación de la tráquea. Dicho esto, hay que saber que la tuberculosis se puede manifestar radiológicamente con cualquier tipo de imagen, incluso con radiografía normal. En un estudio publicado en la revista Chest en el año 1999, los enfermos con radiografía normal y cultivo positivo suponían el 4,8 por ciento del total de los 518 pacientes con cultivo de esputo positivo de su serie (todos tenían clínica: tos de más de un mes de evolución, fiebre de más de una semana, o habían tenido una conversión del PPD en los dos últimos años). La presentación radiológica en el VIH difiere de la del inmunocompetente, de forma que cuanto más inmunodeprimido esté el enfermo, más probable es que la imagen difiera de la típica ya comentada. Esta presentación radiológica es muy variable, desde la radiografía normal (más frecuente que en el inmunocompetente, del 5 al 10 por ciento de los casos con cultivo positivo según las series), hasta extensos infiltrados pulmonares bilaterales que confundan el cuadro con una neumonía por P. carinii. Suelen estar ausentes los signos clásicos de cavitación, que sólo aparecen en un 10 por ciento de los casos, siendo menos frecuente cuanto mayor sea el grado de inmunosupresión. Es de destacar la alta frecuencia de adenopatías intratorácicas, que se presentan en el 50 por ciento de los paciente con tuberculosis pulmonar. No es raro el derrame pleural, de presentación clínica similar a los inmunocompetentes. Como en éstos, la tuberculosis sigue siendo la principal causa de derrame pleural en los pacientes VIH positivos, aunque otras infecciones (criptococosis, neumonías bacterianas, endocarditis derecha en pacientes usuarios de drogas intravenosas) y tumores (sarcoma de Kaposi, linfoma no Hodgkin), pueden causarlo con frecuencia. Debe recordarse, además, que en nuestro medio la tuberculosis pulmonar es una de las complicaciones que con mayor frecuencia se asocia al desarrollo de neumotórax espontáneo, y que debe considerarse en le diagnóstico diferencial, junto con la neumonía por P. carinii (especialmente recibe pentamidina en aerosol como profilaxis) y las neumonías bacterianas. La afectación parenquimatosa por tuberculosis puede originar cualquier tipo de infiltrado radiológico. No existe predilección por ninguna localización ni patrón específicos, o por la extensión de la afectación. La tuberculosis no debe ser excluida ni confirmada por el aspecto del infiltrado radiológico, y en este sentido es una de las grandes simuladoras. Sólo el patrón miliar tiene una alta especificidad en el diagnóstico de tuberculosis. Un fenómeno digno de ser mencionado en los enfermos VIH-positivos con tuberculosis es el empeoramiento transitorio que se puede producir en la imagen radiológica tras el inicio del tratamiento antirretroviral. Este empeoramiento se puede manifestar como aumento de infiltrados previos, aparición de adenopatías o derrame pleural. También pueden aparecer lesiones en zonas radiológicamente normales en placas previas. Puede acompañarse de fiebre. Suele ocurrir entre 1 y 5 semanas tras el inicio del tratamiento antirretroviral. Estos episodios son similares en su presentación a las ya descritas desde hace mucho tiempo, pero mucho menos frecuentes, respuestas paradógicas que pueden aparecer tras el inicio del tratamiento tuberculostático. El fenómeno puede ser el resultado de la recuperación del sistema inmunológico, como sugiere el hecho de que se recupera la reacción de hipersensibilidad a la tuberculina en pacientes que previamente eran anérgicos. Tras excluir otras infecciones concomitantes, el tratamiento antirretroviral se debe mantener, y considerar la utilización de corticoides para el control de los síntomas.