HOSPITAL VICTOR
LAZARTE ECHEGARAY
TERCER PLANO DEL PIE
REGION PLANTAR
1er MTT
F1
F2
NERVIO PERONEO
SUPERFICIAL

A1.- N. CUTANEO
DORSAL MEDIAL
A2.- N. CUTANEO
DORSAL INTERMEDIO

B.- N. PERONEO PROFUNDO
C.- N. SAFENO
D.- N. SURAL
DESVIACION EXTERNA Y ROTACION DEL 1ER MTT
( LA UÑA DE ORIENTA HACIA ARRIBA Y HACIA ADENTRO)
INFLAMACION DE LA ARTICULACION METATARSO-FALANGICA
• DESVIACION LATERAL DEL DEDO GORDO
• DESVIACION MEDIAL DEL 1ER MTT
(METATARSO VARO)
• SUBLUXACION METATARSO – FALANGE 1
• DESVIACION LATERAL DE LOS DEDOS
• DEDO GORDO MUY LARGO
• TRACCION DE LOS TENDONES
• SUBLUXACION METATARSO – FALANGE 1
EL CALZADO FEMENINO

MUJERES EN EL 90 % CASOS
EXAMINAR LA MOVILIDAD DE LAS
ARTICULACIONES METATARSO
FALANGICAS
A VECES, EL ACERCAMIENTO DE LOS
METATARSIANOS REDUCE LA
DEFORMACION
BURSITIS INFLAMATORIA
DOLOR
INFECCION POSIBLE
BURSITIS INFLAMATORIA
DOLOR
INFECCION POSIBLE
SUBLUXACION DE LA CABEZA
DE M1 SOBRE SESAMOIDEO
BURSITIS INFLAMATORIA
DOLOR
INFECCION POSIBLE
SUBLUXACION DE LA CABEZA DE M1 SOBRE SESAMOIDEO
SUBLUXACION DE MF1
ARTROSIS DE MF1
DESPLAZAMIENTO LATERAL DE LOS DEDOS CONTIGUOS
MARTILLO

MAZO

GARRA
Osteotomía en V invertida

Hallux
valgus
angle

Intermetatarsal
angle

Distal
metatarsal
articular
angle
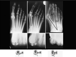
Angulo del hallux valgus (15 -20°)
Angulo intermetatarsal (8-9°)
Angulo articular metatarsal distal (DMMA) (10-15°)
Congruencia articular
Cambios degenerativos
Primera unión MTT-falange
Longitud del 1° - 2° metatarso
Posición del sesamoideo
Fig 8
•
•
•
•
•

articulación dolorosa
La deformidad del complejo articular
Dolor o dificultad con el calzado
La inhibición de la actividad o el estilo de vida

por razones estéticas solamente rara vez se
indica, salvo en un adolescente con una
deformidad progresiva significativa. Incluso los
síntomas más leves en la adolescencia a
menudo empeoran
•
•
•
•
•
•
•

Neuritis / atrapamiento nervio
Superposición segundo dígito
Dígitos Hammer
En primer metatarso-cuneiforme exostosis conjunta
Sesamoiditis
La ulceración
Las condiciones inflamatorias (bursitis, tendinitis) de la
cabeza del metatarsiano primero
•
•
•
•
•
•
•

Enfermedad vascular periférica Amplia
La infección activa
osteoartropatía activo
La artritis séptica
La falta de dolor o deformidad
La edad avanzada
Comorbilidades
1.- DS + manguito neumático.
2.- incisión medial recta
(plano internervioso)

N. Peroneo superficial

N. Plantar medial
PROCEDIMIENTOS SOBRE
LOS TEJIDOS BLANDOS
INDICACIONES:
1.- AV < 25° , AIM < 13°
2.- MUJER 30 – 50 AÑOS
3.- 15 – 25 ° DE VALGO en art MTT-falange
4.- ausencia de cambios degenerativos
5.- fracaso del tto conservador
LIBERACION DEL TENDON ADUCTOR Y DE LA
PORCION LATERAL DE LA CAPSULA

A. Intermetatarsiana dorsal
– N peroneo profundo
OSTEOTOMIA DE MITCHELL
OSTEOTOMIA DE CHEVRON
OSTEOTOMIA DE JHONSON
OSTEOTOMIA DE AKIN

OSTEOTOMIA DE SCARF
OSTEOTOMIA DE LUDLOFF

OSTEOTOMIA DE CUÑA MEDIAL
1.- DS + manguito neumático.
2.- incisión RECTAMEDIAL
(plano internervioso)

INDICACIONES:
1.- AV < 30° , AIM < 13°
2.- < 50 AÑOS
3.- Incisión capsular longitudinal (no
las inserciones proximales de la
capsula en el cuello del MTT en Y)
4.- extirpación de la eminencia medial
5.- liberación lateral: corte interdigital transintraarticular
6.- corte de liberación tendón Musc. aductor adducis y lig. metatarso transverso.
7.- perforación lateral de la capsula articular.
8.- variación del dedo gordo.
9.- colocax kirschner: 1 -1.3 cm proximal borde medial de la superficie articular
10.- angulación de 30 ° dorsalmente (entre ellos 60 -70°)
11.- traslada lateralmente el fragmento cefálico
12.- se fija con un kirschner
13.- colocación de un tornillo interfragmentario.
14.- se reseca la parte sobresaliente del metatarsiano proximal.
15.- se completa la osteotomía
16.- mientras se coloca el vendaje se coloca el dedo gordo en la posición correcta
17.- osteotomía de chevron ( v invertida)
1.- INCISION CUTANEA (INSICION LONGITUDINAL MEDIAL)
2.- INCISION DE LA CAPSULA EN Y
3.- EXTIRPACION DE LA EMINENCIA MEDIAL (EL CUELLO DEL MTT NO DEBE
QUEDAR DESPROVISTO DE PARTES BLANDAS)
4.- REALIZACION DE ORIFICIOS NO COINCIDENTES Y PASO DE UN HILO DE
SUTURA
E.- OSTEOTOMIA DOBLE (INCOMPLETA – COMPLETA)
F.- EXTIRPACION DEL HUESO ENTRE LAS OSTEOTOMIAS
G.-DESPLAZAMIENTO DEL FRAGMENTO CAPITAL Y ANUDADO DE SUTURA
H.- CAPSULORRAFIA MEDIAL
HV férula nocturna
para ser usados ​durante
6-8 semanas después de
que se hayan completado
los cambios de apósito
 Inmovilización ~ 2 semanas
 Peso según tolerancia
• PEDIR RADIOGRAFIAS PERTINENTES
• REALIZAR MEDICIONES ANGULARES.
• SELECCIONAR AL PCTE PARA EL TTO ADECUADO
Essalud   hallux valgus

Essalud hallux valgus

  • 1.
  • 5.
    TERCER PLANO DELPIE REGION PLANTAR
  • 8.
  • 10.
    NERVIO PERONEO SUPERFICIAL A1.- N.CUTANEO DORSAL MEDIAL A2.- N. CUTANEO DORSAL INTERMEDIO B.- N. PERONEO PROFUNDO C.- N. SAFENO D.- N. SURAL
  • 11.
    DESVIACION EXTERNA YROTACION DEL 1ER MTT ( LA UÑA DE ORIENTA HACIA ARRIBA Y HACIA ADENTRO) INFLAMACION DE LA ARTICULACION METATARSO-FALANGICA
  • 12.
    • DESVIACION LATERALDEL DEDO GORDO • DESVIACION MEDIAL DEL 1ER MTT (METATARSO VARO) • SUBLUXACION METATARSO – FALANGE 1 • DESVIACION LATERAL DE LOS DEDOS
  • 13.
    • DEDO GORDOMUY LARGO • TRACCION DE LOS TENDONES • SUBLUXACION METATARSO – FALANGE 1
  • 14.
  • 15.
    EXAMINAR LA MOVILIDADDE LAS ARTICULACIONES METATARSO FALANGICAS
  • 16.
    A VECES, ELACERCAMIENTO DE LOS METATARSIANOS REDUCE LA DEFORMACION
  • 18.
  • 19.
  • 20.
    BURSITIS INFLAMATORIA DOLOR INFECCION POSIBLE SUBLUXACIONDE LA CABEZA DE M1 SOBRE SESAMOIDEO SUBLUXACION DE MF1 ARTROSIS DE MF1 DESPLAZAMIENTO LATERAL DE LOS DEDOS CONTIGUOS
  • 22.
  • 28.
    Osteotomía en Vinvertida Hallux valgus angle Intermetatarsal angle Distal metatarsal articular angle
  • 32.
    Angulo del halluxvalgus (15 -20°) Angulo intermetatarsal (8-9°) Angulo articular metatarsal distal (DMMA) (10-15°) Congruencia articular Cambios degenerativos Primera unión MTT-falange Longitud del 1° - 2° metatarso Posición del sesamoideo
  • 36.
  • 44.
    • • • • articulación dolorosa La deformidaddel complejo articular Dolor o dificultad con el calzado La inhibición de la actividad o el estilo de vida por razones estéticas solamente rara vez se indica, salvo en un adolescente con una deformidad progresiva significativa. Incluso los síntomas más leves en la adolescencia a menudo empeoran
  • 45.
    • • • • • • • Neuritis / atrapamientonervio Superposición segundo dígito Dígitos Hammer En primer metatarso-cuneiforme exostosis conjunta Sesamoiditis La ulceración Las condiciones inflamatorias (bursitis, tendinitis) de la cabeza del metatarsiano primero
  • 46.
    • • • • • • • Enfermedad vascular periféricaAmplia La infección activa osteoartropatía activo La artritis séptica La falta de dolor o deformidad La edad avanzada Comorbilidades
  • 48.
    1.- DS +manguito neumático. 2.- incisión medial recta (plano internervioso) N. Peroneo superficial N. Plantar medial
  • 49.
    PROCEDIMIENTOS SOBRE LOS TEJIDOSBLANDOS INDICACIONES: 1.- AV < 25° , AIM < 13° 2.- MUJER 30 – 50 AÑOS 3.- 15 – 25 ° DE VALGO en art MTT-falange 4.- ausencia de cambios degenerativos 5.- fracaso del tto conservador
  • 50.
    LIBERACION DEL TENDONADUCTOR Y DE LA PORCION LATERAL DE LA CAPSULA A. Intermetatarsiana dorsal – N peroneo profundo
  • 55.
    OSTEOTOMIA DE MITCHELL OSTEOTOMIADE CHEVRON OSTEOTOMIA DE JHONSON OSTEOTOMIA DE AKIN OSTEOTOMIA DE SCARF OSTEOTOMIA DE LUDLOFF OSTEOTOMIA DE CUÑA MEDIAL
  • 56.
    1.- DS +manguito neumático. 2.- incisión RECTAMEDIAL (plano internervioso) INDICACIONES: 1.- AV < 30° , AIM < 13° 2.- < 50 AÑOS
  • 57.
    3.- Incisión capsularlongitudinal (no las inserciones proximales de la capsula en el cuello del MTT en Y) 4.- extirpación de la eminencia medial
  • 58.
    5.- liberación lateral:corte interdigital transintraarticular 6.- corte de liberación tendón Musc. aductor adducis y lig. metatarso transverso. 7.- perforación lateral de la capsula articular. 8.- variación del dedo gordo.
  • 59.
    9.- colocax kirschner:1 -1.3 cm proximal borde medial de la superficie articular 10.- angulación de 30 ° dorsalmente (entre ellos 60 -70°)
  • 61.
    11.- traslada lateralmenteel fragmento cefálico
  • 62.
    12.- se fijacon un kirschner 13.- colocación de un tornillo interfragmentario.
  • 63.
    14.- se resecala parte sobresaliente del metatarsiano proximal. 15.- se completa la osteotomía 16.- mientras se coloca el vendaje se coloca el dedo gordo en la posición correcta 17.- osteotomía de chevron ( v invertida)
  • 64.
    1.- INCISION CUTANEA(INSICION LONGITUDINAL MEDIAL) 2.- INCISION DE LA CAPSULA EN Y
  • 65.
    3.- EXTIRPACION DELA EMINENCIA MEDIAL (EL CUELLO DEL MTT NO DEBE QUEDAR DESPROVISTO DE PARTES BLANDAS) 4.- REALIZACION DE ORIFICIOS NO COINCIDENTES Y PASO DE UN HILO DE SUTURA
  • 66.
    E.- OSTEOTOMIA DOBLE(INCOMPLETA – COMPLETA) F.- EXTIRPACION DEL HUESO ENTRE LAS OSTEOTOMIAS G.-DESPLAZAMIENTO DEL FRAGMENTO CAPITAL Y ANUDADO DE SUTURA H.- CAPSULORRAFIA MEDIAL
  • 67.
    HV férula nocturna paraser usados ​durante 6-8 semanas después de que se hayan completado los cambios de apósito
  • 68.
     Inmovilización ~2 semanas  Peso según tolerancia
  • 72.
    • PEDIR RADIOGRAFIASPERTINENTES • REALIZAR MEDICIONES ANGULARES. • SELECCIONAR AL PCTE PARA EL TTO ADECUADO