PROBLEMAS RESPIRATORIOS DEL
RECIEN NACIDO
Universidad Tecnológica de Pereira
PROBLEMAS MAS FRECUENTES
•   TAQUIPNEA TRANSITORIA DEL RECIEN NACIDO.
•   ENFERMEDAD DE MEMBRANA HIALINA.
•   SINDROME DE ASPIRACION DE MECONIO.
•   NEUMOTORAX
•   NEUMONIA CONGENITA
•   APNEA
TAQUIPNEA TRANSITORIA
• Definicion:
• Distres respiratorio con respiraciones rapidas e
  hipoxemia, causado por un retraso en la reabosrcion
  del liquido pulmonar fetal y que requiere oxigeno
  suplementario.
TAQUIPNEA TRANSITORIA DEL RECIEN NACIDO


FISIOPATOLOGÍA

• ↑ De Liquido en intersticio

• ↓ Compliance
FISIOPATOLOGIA
•   LIQUIDO PULMONAR:
•   Producto del epitelio pulmonar en desarrollo.
•   Distinto del liquido amniótico.
•   Contiene:
    [bicarbonato] alta,
    [ k ] igual al plasma.
    Secretado por el pulmón 4-6 m/kg/hora.
    Su secreción se debe a la bomba de cloruro.
FISIOLOGIA
• Una vez el LPF es reemplazado por aire, el agua se
  desplaza rápidamente hacia el intersticio extra
  alveolar.
• Se deja de secretar cloro y se inicia la reabsorción de
  Na con regresión de la dirección del flujo del LPF.

• Depende de la N-K ATP asa, en la membrana
  basolateral y en la membrana apical de los canales
  de sodio y cloruro.
FISIOPATOLOGIA
TAQUIPNEA TRANSITORIA DEL RECIEN NACIDO

FACTORES DE RIESGO
• Cesárea
• Macrosomia
• Madre diabética
• Sufrimiento fetal
• Retardo pinzamiento cordón
TAQUIPNEA TRANSITORIA DEL RECIEN NACIDO


CLÍNICA
• SDR en las 1ras 6 horas    GASOMETRÍA
• Siverman < 3               • Hipoxemia leve
• PredominaTAQUIPNEA
  sobre disnea (60-80)
• No cianosis , FiO2 baja.
• No hipoxia
TAQUIPNEA TRANSITORIA DEL RECIEN NACIDO

RADIOGRAFIA:
 • Infiltrados
   parenquimatosos
 • Hilios ↑ tamaño
 • Cisura visible
 • Hiperinsuflación
TAQUIPNEA TRANSITORIA DEL RECIEN NACIDO

TRATAMIENTO

• Bajos niveles de oxigeno (<40%)
• Asistencia respiratoria por el tiempo de duración del
  trastorno
ENFERMEDAD DE LA MEMBRANA HIALINA

• Cuadro de dificultad respiratoria aguda

• Presente en niños prematuros debido a déficit de
  surfactante e inmadurez pulmonar.
ENFERMEDAD DE LA MEMBRANA HIALINA
ENFERMEDAD DE LA MEMBRANA HIALINA
ENFERMEDAD DE LA MEMBRANA HIALINA

   FISIOPATOLOGIA

                                           Alteracion
                        BAJA CRF
Falta surfactante                        VENTILACION e
                    BAJA COMPLIANCE
                                      intercambio gaseoso




                                         HIPOXEMIA
                     ACIDOSIS MIXTA
                                      HIPOVENTILACION
ENFERMEDAD DE LA MEMBRANA HIALINA
ENFERMEDAD DE LA MEMBRANA HIALINA
FACTORES DE RIESGO
• Parto pretérmino (<34 semanas)
• Hombre
• Nacido por cesárea
• Segundos gemelos
• Madre diabética (mal controlada)
• Asfixia perinatal
ENFERMEDAD DE LA MEMBRANA HIALINA
 CLÍNICA:
 • Aparece < 6 horas
 • Silverman > 4
   • Tiraje subcostal y subxifoideo
   • Quejido espiratorio
   • Aleteo nasal
 • Hipoxia
 • Cianosis
ENFERMEDAD DE LA MEMBRANA HIALINA

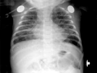
HALLAZGOS RADIOGRÁFICOS:
 • Disminución del volumen
 • Opacificacion difusa con campos pulmonares con
  moteados en vidrio esmerilado (Infiltrado
  Reticulonodular difuso)
 • Presencia broncograma aéreo
ENFERMEDAD DE LA MEMBRANA HIALINA
• Manejo general
  •   Hospitalizar
  •   Temperatura
  •   Monitoreo CR
  •   LEV
  •   Nutrición
• Surfactante pulmonar exógeno
  • 4 ml/kg/dosis administración traqueal
• CPAP
  • 5-6 cm H2O y 5-10L/min
• Oxigeno
  • Asegurar PO2 50-60
SINDROME DE ASPIRACIÓN DE MECONIO

• DEFINICION:
• Es una alteración en un Rn con LAM, el cual presenta
  cambios radiológicos y cuyos síntomas no pueden
  ser explicados de otra manera. Se asocia con una
  significativa, morbilidad y mortalidad respiratoria, en
  recién nacido a termino o postérmino
EPIDEMIOLOGIA
• El Lam esta presente en 8-20% de todos los partos.
• Cerca del 2 -9% de los bebes con LAM desarrollan
  SAM.
• Los factores que promueven la expulsión de meconio
  in útero son insuficiencia placentaria, hipertensión
  materna, preeclamsia, oligohidramnios, cigarrillo,
  abuso de drogas.
SINDROME DE ASPIRACIÓN DE MECONIO
Mecanismos fisiopatológicos
• Hipoxia fetal activa motilina
  en el colon
• Obstrucción
• Inactivación surfactante
• Neumonitis con liberación
  vasoconstrictores
• HTPP
SINDROME DE ASPIRACIÓN DE MECONIO
SINDROME DE ASPIRACIÓN DE MECONIO

FACTORES DE RIESGO

• Parto postermino        •   Sexo masculino
• Liquido teñido de       •   RCIU
  meconio                 •   Sufrimiento fetal
• Parto complicado        •   Madre con diabetes
  (distócico).            •   Madre con hipertensión
• Patrones anormales de
  FCF.
SAM: Diagnostico

• SDR en un rn con LAM, • Aumento del diámetro
  sin otra causa de        AP del tórax.
  dificultad respiratoria.
• Rx con expansión
  excesiva de los pulmones
  con infiltrados.
• Uñas, cabello y cordón
  umbilical teñidos de
  meconio.
SINDROME DE ASPIRACIÓN DE MECONIO
SINDROME DE ASPIRACIÓN DE MECONIO
MANEJO SAM
• PREVENCION:

•   Disminuir parto pos-termino.
•   Manejo agresivo monitoreo de FCF anormal.
•   Disminuir neonatos con bajo score de apgar.
•   Amnioinfusion.
•   Succion intraparto?
MANEJO: SAM


• Bases del tratamiento:
• Mantenimiento de temperatura, oxigenación, optima
  presión arterial y corrección de la acidosis y trastornos mb.
• Ventilación con pip que no exceda de 25 cm H2O, fr 40-60 x
  min, PEEP de 4-6 cm H2O. Si hay atramiento de gas
  disminuir peep 4 y se aumenta tiempo espiratorio.
• Surfactante si requiere mas de 50% de O2.
MANEJO SAM
• ESTEROIDES:
• En SAM severos con edema pulmonar, no usar de
  rutina.
• OXIDO NITRICO:
• Si hay HPP.
• Otras terapias:
• Sildenafil, Zaprinast, Milrinone (inhibidores de 5-
  fosfodiesterasa).
• Bosentan ( antagonista de endotelina).
•j
Neumotórax
• Es la presencia de aire
  ectópico en el espacio
  pleural

• Atelectasia pulmonar
  ipsilateral

• Desplazamiento del
  mediastino
  contralateral
Neumotórax
FACTORES DE RIESGO

• Hipoxia neonatal

• Reanimación neonatal

• Patología Respiratoria previa

• Tratamiento con Ventilación
  Asistida
Neumotórax


                                  Neumotórax




                              Neumomediastino




                    Enfisema Pulmonar
                    Intersticial


 Ruptura Alveolar
Neumotórax
CLÍNICA

• Empeoramiento súbito de enfermedad previa
• Dificultad respiratoria dependiendo de la
  gravedad del cuadro
• Cianosis
• Abombamiento torácico
• Silencio Auscultatorio
• Mediastino desplazado
Neumotórax
HALLAZGOS RADIOLOGICOS             HALLAZGOS GASIMETRICOS
1.   Despegamiento parietal
2.   Desplazamiento mediastínico 1.     Hipoxemia depende la
3.   Atelectasia Pulmonar               gravedad
4.   En NT a tensión puede verse   2.   Acidosis Mixta en estadios
     microcaria y/o aplanamiento        tardíos
     o inversión diafragmática
Neumotórax
MANEJO                         SEGUIMIENTO

• Observación y seguimiento    • Realizar seguimiento con
• Lavado de Nitrógeno (no en     SO2 continua y RX de tórax
  Prematuros)                    a las 24 horas
• Drenaje (Nº 10-12 French)    • Dejar el catéter por 24
  radiopaco, conectado a un      horas para evitar recaídas
  sistema bajo agua. En
  2ºEIC/LMC
Neumonía Perinatal

• Infección del Tejido pulmonar que se presenta
  durante la etapa neonatal
• Importante causa de morbimortalidad tanto en el RN
  a término como en el pretérmino
• 10% de los pacientes en UCIN, Mortalidad del 5-20%.
Neumonía Perinatal
FACTORES DE RIESGO
• Ruptura prematura de membranas
• Intubación traqueal
• Barotrauma por Ventilación
  Mecánica
• Asepsia defectuosa en material de
  diagnóstico y tratamiento
• Exposición o contacto
  epidemiológico
Virus :
                                                Rubeola, Citomegalovirus,
                                                 Varicela-zóster, Herpes
                                                 simple, VIH, Adenovirus

                         Transplacentaria              Bacterias:
                                                 Listeria monocytogenes,
                                                    M. tuberculosis, T.
                                                          pallidum
              Vertical
                                                    Estreptococo beta
                                                  hemolítico del grupo B
                                                          (EGB)

                         Ascendente
                                               Entero bacterias,
Neumonía                                       Bacterias atípicas: (C.
                                               trachomatis)
Perinatal
                                                      Bacterias:
                                                Klebsiella, Enterobacter,
                                                Serratia, Pseudomonas,
                                                  Proteus, S. aureus, S.
                         Nosocomial                   epidermidis


                                                         Hongos
            Horizontal                          C. albicans, c. parapsilosis,
                                                        C. tropicalis

                          Adquirida en               Virus :
                         la Comunidad       Virus sincitial respiratorio,
                                             Influenza, Parainfluenza
Neumonía Perinatal

CLÍNICA:
• Muy Inespecífica
• Tos, dificultad respiratoria, Fiebre
• Conjuntivitis en infección durante el parto
  (Chlamydia)
• Signos de Toxemia
• Leucocitosis > 25000
Neumonía Perinatal
                  Antecedentes
                  sugerentes de
                      INFX

    Clínica
                                     Hallazgos
  Radiología
                                  microbiológicos
(Inespecíficos)



                   DIAGNÓSTICO
Neumonía Perinatal
HALLAZGOS RADIOLOGICOS             HALLAZGOS GASIMETRICOS
Son generalmente inespecíficos
1.   Infiltrados alveolares e      1.   Hipoxemia depende la
     intersticiales                     gravedad
2.   Derrames pleurales (orienta   2.   Acidosis Mixta en estadios
     etiología bacteriana)              tardíos
3.   Hiperinsuflación
Neumonía Perinatal

MANEJO
• Medidas generales y Soporte respiratorio
• Tratamiento AB precoz en sospecha clínica
• El tratamiento empírico en Sepsis neonatal
    •   Ampicilina+Gentamicina  N. Bacterianas verticales
    •   Vancomicina +Gentamicina  Nosocomiales
•   Tratamiento será según antibiograma
•   Sospecha de infec. por C. trachomatis 
    Eritromicina
Apnea Neonatal

• Apnea: es la ausencia de flujo de aire por 20
  segundos o mas acompañada de bradicardia y
  desaturación (cianosis).

• Respiración periódica: pausas respiratorias menores
  de 20 segundos, alternadas con movimientos
  respiratorios, no acompañadas de bradicardia ni
  cianosis.
Apnea Neonatal
ETIOLOGIA
• Infección: sepsis, especialmente en el primer día de
  vida. Infecciones intrahospitalarias y Neumonia en las
  primera semanas de vida.
• Neurológicas: hemorragia intraventricular, hemorragia
  intracraneal, convulsiones neonatales, asfixia perinatal
• Cardiovascular: Disminución de oxigenación (ICC,
  edema pulmonar), shunt (Cardiopatía congénita
  cianótica).
Apnea Neonatal
• Pulmonar: disminución de oxigenación y ventilación
  por enf. pulmonar (EMH, Neumonía, TTRN, SAM)
• Metabólica: hipoglicemia, hipocalcemia, hiponatremia
• Hematológica: anemia.
• Gastrointestinal: ECN, RGE
• Temperatura: hipotermia.
• Drogas: exposición prenatal o intraparto a narcóticos,
  beta bloqueadores. Exposición post natal a sedantes,
  hipnóticos.
Apnea Neonatal

• Apnea primaria, de la prematuridad o
  idiopática: por inmadurez de los
  mecanismos de regulación de la
  respiración. (1 a 7 días del nacimiento)

• Apnea secundaria: cuando hay una
  patología causal.
Apnea Neonatal

• Apnea central: Disminución de la respuesta a la
 hipoxia, a la hipercapnia e inmadurez de la
 respuesta vagal periférica
• Apnea obstructiva: Secreciones y flexión pasiva
 del cuello
• Apnea mixta: Representa mas del 50%
Apnea Neonatal
• Exploración clínica completa.
• Exámenes complementarios para investigar
  factores anteriormente descritos:
 ▫ Hemograma, punción lumbar, glicemia, gases en sangre ,
   electrolitos, radiografía tórax-abdomen, ecografía cerebral,
   estudio de reflujo gastroesofágico, EEG
Apnea Neonatal

MANEJO
• Monitorización: a RN < 34 semanas de EG, o de peso
  <1800 g mínimo durante la primera semana de vida
  (pO2, pCO2 , frecuencia cardiaca y la saturación arterial
  de oxígeno)
• Medidas Generales: Posición, Hb y Hto
Apnea Neonatal
• Farmacológico:
• Metilxantinas
• Cafeína: Dosis de ataque: 20 mg/kg vía IM o EV.
  Dosis de mantenimiento: 5 mg/kg/día VO, EV, IM.
• Teofilina: dosis de ataque: 5-8 mg/kg vía EV. Dosis
  de mantenimiento: 1-3 mg/kg/dosis, c/8 a 12
  horas, vía oral, EV. IM.
• CPAP NASAL: Presión positiva continua de la vía
  aérea
Apnea Neonatal


SECUELAS
• Leucomalacia
• Isquemia intestinal y posiblemente ECN.

Sindrome de dificultadrespiratoria

  • 1.
    PROBLEMAS RESPIRATORIOS DEL RECIENNACIDO Universidad Tecnológica de Pereira
  • 2.
    PROBLEMAS MAS FRECUENTES • TAQUIPNEA TRANSITORIA DEL RECIEN NACIDO. • ENFERMEDAD DE MEMBRANA HIALINA. • SINDROME DE ASPIRACION DE MECONIO. • NEUMOTORAX • NEUMONIA CONGENITA • APNEA
  • 3.
    TAQUIPNEA TRANSITORIA • Definicion: •Distres respiratorio con respiraciones rapidas e hipoxemia, causado por un retraso en la reabosrcion del liquido pulmonar fetal y que requiere oxigeno suplementario.
  • 4.
    TAQUIPNEA TRANSITORIA DELRECIEN NACIDO FISIOPATOLOGÍA • ↑ De Liquido en intersticio • ↓ Compliance
  • 5.
    FISIOPATOLOGIA • LIQUIDO PULMONAR: • Producto del epitelio pulmonar en desarrollo. • Distinto del liquido amniótico. • Contiene: [bicarbonato] alta, [ k ] igual al plasma. Secretado por el pulmón 4-6 m/kg/hora. Su secreción se debe a la bomba de cloruro.
  • 6.
    FISIOLOGIA • Una vezel LPF es reemplazado por aire, el agua se desplaza rápidamente hacia el intersticio extra alveolar. • Se deja de secretar cloro y se inicia la reabsorción de Na con regresión de la dirección del flujo del LPF. • Depende de la N-K ATP asa, en la membrana basolateral y en la membrana apical de los canales de sodio y cloruro.
  • 8.
  • 9.
    TAQUIPNEA TRANSITORIA DELRECIEN NACIDO FACTORES DE RIESGO • Cesárea • Macrosomia • Madre diabética • Sufrimiento fetal • Retardo pinzamiento cordón
  • 10.
    TAQUIPNEA TRANSITORIA DELRECIEN NACIDO CLÍNICA • SDR en las 1ras 6 horas GASOMETRÍA • Siverman < 3 • Hipoxemia leve • PredominaTAQUIPNEA sobre disnea (60-80) • No cianosis , FiO2 baja. • No hipoxia
  • 11.
    TAQUIPNEA TRANSITORIA DELRECIEN NACIDO RADIOGRAFIA: • Infiltrados parenquimatosos • Hilios ↑ tamaño • Cisura visible • Hiperinsuflación
  • 12.
    TAQUIPNEA TRANSITORIA DELRECIEN NACIDO TRATAMIENTO • Bajos niveles de oxigeno (<40%) • Asistencia respiratoria por el tiempo de duración del trastorno
  • 13.
    ENFERMEDAD DE LAMEMBRANA HIALINA • Cuadro de dificultad respiratoria aguda • Presente en niños prematuros debido a déficit de surfactante e inmadurez pulmonar.
  • 14.
    ENFERMEDAD DE LAMEMBRANA HIALINA
  • 15.
    ENFERMEDAD DE LAMEMBRANA HIALINA
  • 16.
    ENFERMEDAD DE LAMEMBRANA HIALINA FISIOPATOLOGIA Alteracion BAJA CRF Falta surfactante VENTILACION e BAJA COMPLIANCE intercambio gaseoso HIPOXEMIA ACIDOSIS MIXTA HIPOVENTILACION
  • 17.
    ENFERMEDAD DE LAMEMBRANA HIALINA
  • 18.
    ENFERMEDAD DE LAMEMBRANA HIALINA FACTORES DE RIESGO • Parto pretérmino (<34 semanas) • Hombre • Nacido por cesárea • Segundos gemelos • Madre diabética (mal controlada) • Asfixia perinatal
  • 19.
    ENFERMEDAD DE LAMEMBRANA HIALINA CLÍNICA: • Aparece < 6 horas • Silverman > 4 • Tiraje subcostal y subxifoideo • Quejido espiratorio • Aleteo nasal • Hipoxia • Cianosis
  • 20.
    ENFERMEDAD DE LAMEMBRANA HIALINA HALLAZGOS RADIOGRÁFICOS: • Disminución del volumen • Opacificacion difusa con campos pulmonares con moteados en vidrio esmerilado (Infiltrado Reticulonodular difuso) • Presencia broncograma aéreo
  • 21.
    ENFERMEDAD DE LAMEMBRANA HIALINA • Manejo general • Hospitalizar • Temperatura • Monitoreo CR • LEV • Nutrición • Surfactante pulmonar exógeno • 4 ml/kg/dosis administración traqueal • CPAP • 5-6 cm H2O y 5-10L/min • Oxigeno • Asegurar PO2 50-60
  • 22.
    SINDROME DE ASPIRACIÓNDE MECONIO • DEFINICION: • Es una alteración en un Rn con LAM, el cual presenta cambios radiológicos y cuyos síntomas no pueden ser explicados de otra manera. Se asocia con una significativa, morbilidad y mortalidad respiratoria, en recién nacido a termino o postérmino
  • 23.
    EPIDEMIOLOGIA • El Lamesta presente en 8-20% de todos los partos. • Cerca del 2 -9% de los bebes con LAM desarrollan SAM. • Los factores que promueven la expulsión de meconio in útero son insuficiencia placentaria, hipertensión materna, preeclamsia, oligohidramnios, cigarrillo, abuso de drogas.
  • 24.
    SINDROME DE ASPIRACIÓNDE MECONIO Mecanismos fisiopatológicos • Hipoxia fetal activa motilina en el colon • Obstrucción • Inactivación surfactante • Neumonitis con liberación vasoconstrictores • HTPP
  • 25.
  • 26.
    SINDROME DE ASPIRACIÓNDE MECONIO FACTORES DE RIESGO • Parto postermino • Sexo masculino • Liquido teñido de • RCIU meconio • Sufrimiento fetal • Parto complicado • Madre con diabetes (distócico). • Madre con hipertensión • Patrones anormales de FCF.
  • 27.
    SAM: Diagnostico • SDRen un rn con LAM, • Aumento del diámetro sin otra causa de AP del tórax. dificultad respiratoria. • Rx con expansión excesiva de los pulmones con infiltrados. • Uñas, cabello y cordón umbilical teñidos de meconio.
  • 28.
  • 29.
  • 30.
    MANEJO SAM • PREVENCION: • Disminuir parto pos-termino. • Manejo agresivo monitoreo de FCF anormal. • Disminuir neonatos con bajo score de apgar. • Amnioinfusion. • Succion intraparto?
  • 31.
    MANEJO: SAM • Basesdel tratamiento: • Mantenimiento de temperatura, oxigenación, optima presión arterial y corrección de la acidosis y trastornos mb. • Ventilación con pip que no exceda de 25 cm H2O, fr 40-60 x min, PEEP de 4-6 cm H2O. Si hay atramiento de gas disminuir peep 4 y se aumenta tiempo espiratorio. • Surfactante si requiere mas de 50% de O2.
  • 32.
    MANEJO SAM • ESTEROIDES: •En SAM severos con edema pulmonar, no usar de rutina. • OXIDO NITRICO: • Si hay HPP. • Otras terapias: • Sildenafil, Zaprinast, Milrinone (inhibidores de 5- fosfodiesterasa). • Bosentan ( antagonista de endotelina).
  • 33.
  • 34.
    Neumotórax • Es lapresencia de aire ectópico en el espacio pleural • Atelectasia pulmonar ipsilateral • Desplazamiento del mediastino contralateral
  • 35.
    Neumotórax FACTORES DE RIESGO •Hipoxia neonatal • Reanimación neonatal • Patología Respiratoria previa • Tratamiento con Ventilación Asistida
  • 36.
    Neumotórax Neumotórax Neumomediastino Enfisema Pulmonar Intersticial Ruptura Alveolar
  • 37.
    Neumotórax CLÍNICA • Empeoramiento súbitode enfermedad previa • Dificultad respiratoria dependiendo de la gravedad del cuadro • Cianosis • Abombamiento torácico • Silencio Auscultatorio • Mediastino desplazado
  • 38.
    Neumotórax HALLAZGOS RADIOLOGICOS HALLAZGOS GASIMETRICOS 1. Despegamiento parietal 2. Desplazamiento mediastínico 1. Hipoxemia depende la 3. Atelectasia Pulmonar gravedad 4. En NT a tensión puede verse 2. Acidosis Mixta en estadios microcaria y/o aplanamiento tardíos o inversión diafragmática
  • 40.
    Neumotórax MANEJO SEGUIMIENTO • Observación y seguimiento • Realizar seguimiento con • Lavado de Nitrógeno (no en SO2 continua y RX de tórax Prematuros) a las 24 horas • Drenaje (Nº 10-12 French) • Dejar el catéter por 24 radiopaco, conectado a un horas para evitar recaídas sistema bajo agua. En 2ºEIC/LMC
  • 41.
    Neumonía Perinatal • Infeccióndel Tejido pulmonar que se presenta durante la etapa neonatal • Importante causa de morbimortalidad tanto en el RN a término como en el pretérmino • 10% de los pacientes en UCIN, Mortalidad del 5-20%.
  • 42.
    Neumonía Perinatal FACTORES DERIESGO • Ruptura prematura de membranas • Intubación traqueal • Barotrauma por Ventilación Mecánica • Asepsia defectuosa en material de diagnóstico y tratamiento • Exposición o contacto epidemiológico
  • 43.
    Virus : Rubeola, Citomegalovirus, Varicela-zóster, Herpes simple, VIH, Adenovirus Transplacentaria Bacterias: Listeria monocytogenes, M. tuberculosis, T. pallidum Vertical Estreptococo beta hemolítico del grupo B (EGB) Ascendente Entero bacterias, Neumonía Bacterias atípicas: (C. trachomatis) Perinatal Bacterias: Klebsiella, Enterobacter, Serratia, Pseudomonas, Proteus, S. aureus, S. Nosocomial epidermidis Hongos Horizontal C. albicans, c. parapsilosis, C. tropicalis Adquirida en Virus : la Comunidad Virus sincitial respiratorio, Influenza, Parainfluenza
  • 44.
    Neumonía Perinatal CLÍNICA: • MuyInespecífica • Tos, dificultad respiratoria, Fiebre • Conjuntivitis en infección durante el parto (Chlamydia) • Signos de Toxemia • Leucocitosis > 25000
  • 45.
    Neumonía Perinatal Antecedentes sugerentes de INFX Clínica Hallazgos Radiología microbiológicos (Inespecíficos) DIAGNÓSTICO
  • 46.
    Neumonía Perinatal HALLAZGOS RADIOLOGICOS HALLAZGOS GASIMETRICOS Son generalmente inespecíficos 1. Infiltrados alveolares e 1. Hipoxemia depende la intersticiales gravedad 2. Derrames pleurales (orienta 2. Acidosis Mixta en estadios etiología bacteriana) tardíos 3. Hiperinsuflación
  • 48.
    Neumonía Perinatal MANEJO • Medidasgenerales y Soporte respiratorio • Tratamiento AB precoz en sospecha clínica • El tratamiento empírico en Sepsis neonatal • Ampicilina+Gentamicina  N. Bacterianas verticales • Vancomicina +Gentamicina  Nosocomiales • Tratamiento será según antibiograma • Sospecha de infec. por C. trachomatis  Eritromicina
  • 49.
    Apnea Neonatal • Apnea:es la ausencia de flujo de aire por 20 segundos o mas acompañada de bradicardia y desaturación (cianosis). • Respiración periódica: pausas respiratorias menores de 20 segundos, alternadas con movimientos respiratorios, no acompañadas de bradicardia ni cianosis.
  • 50.
    Apnea Neonatal ETIOLOGIA • Infección:sepsis, especialmente en el primer día de vida. Infecciones intrahospitalarias y Neumonia en las primera semanas de vida. • Neurológicas: hemorragia intraventricular, hemorragia intracraneal, convulsiones neonatales, asfixia perinatal • Cardiovascular: Disminución de oxigenación (ICC, edema pulmonar), shunt (Cardiopatía congénita cianótica).
  • 51.
    Apnea Neonatal • Pulmonar:disminución de oxigenación y ventilación por enf. pulmonar (EMH, Neumonía, TTRN, SAM) • Metabólica: hipoglicemia, hipocalcemia, hiponatremia • Hematológica: anemia. • Gastrointestinal: ECN, RGE • Temperatura: hipotermia. • Drogas: exposición prenatal o intraparto a narcóticos, beta bloqueadores. Exposición post natal a sedantes, hipnóticos.
  • 52.
    Apnea Neonatal • Apneaprimaria, de la prematuridad o idiopática: por inmadurez de los mecanismos de regulación de la respiración. (1 a 7 días del nacimiento) • Apnea secundaria: cuando hay una patología causal.
  • 53.
    Apnea Neonatal • Apneacentral: Disminución de la respuesta a la hipoxia, a la hipercapnia e inmadurez de la respuesta vagal periférica • Apnea obstructiva: Secreciones y flexión pasiva del cuello • Apnea mixta: Representa mas del 50%
  • 54.
    Apnea Neonatal • Exploraciónclínica completa. • Exámenes complementarios para investigar factores anteriormente descritos: ▫ Hemograma, punción lumbar, glicemia, gases en sangre , electrolitos, radiografía tórax-abdomen, ecografía cerebral, estudio de reflujo gastroesofágico, EEG
  • 55.
    Apnea Neonatal MANEJO • Monitorización:a RN < 34 semanas de EG, o de peso <1800 g mínimo durante la primera semana de vida (pO2, pCO2 , frecuencia cardiaca y la saturación arterial de oxígeno) • Medidas Generales: Posición, Hb y Hto
  • 56.
    Apnea Neonatal • Farmacológico: •Metilxantinas • Cafeína: Dosis de ataque: 20 mg/kg vía IM o EV. Dosis de mantenimiento: 5 mg/kg/día VO, EV, IM. • Teofilina: dosis de ataque: 5-8 mg/kg vía EV. Dosis de mantenimiento: 1-3 mg/kg/dosis, c/8 a 12 horas, vía oral, EV. IM. • CPAP NASAL: Presión positiva continua de la vía aérea
  • 57.
    Apnea Neonatal SECUELAS • Leucomalacia •Isquemia intestinal y posiblemente ECN.