Incrustar presentación
Descargado 629 veces















































































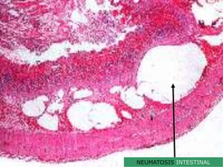
Este documento describe la enterocolitis necrotizante (ECN), una enfermedad grave que afecta principalmente a bebés prematuros. Define la ECN como una lesión intestinal grave causada por una combinación de daños vasculares, de la mucosa y tóxicos en el intestino relativamente inmaduro. Explica los factores de riesgo como la prematuridad, hipoxia, alimentación enteral, infección y mediadores de la inflamación. También cubre el cuadro clínico, diagnóstico, factores pronósticos














































































