Malformaciones del
Sistema Nervioso Central
Universidad Nacional Autónoma de México
Facultad de Estudios Superiores Iztacala
Centro Médico ISSEMyM ECATEPEC
Dr. Hernández Quintero Juan
Alba Loperena Miguel Alonso
Hernández Ramírez Alexis
Estructuras implicadas:
 Placa neural
 Crestas Neurales
 Notocorda
DESARROLLO DEL SISTEMA NERVIOSO
Moore Keith, Embriología Clínica 2013 9a. Edición. Editorial
ELSEVIER. México
Desarrollo del SN
 Primeras indicaciones
del desarrollo del SN.
 Aproximado día 17.
(3ra semana)
Moore Keith, Embriología Clínica 2013 9a. Edición. Editorial
ELSEVIER. México pp.390
Desarrollo del SN
 Los pliegues neurales se
fusionan frente a los
somitas cuarto a sexto.
Moore Keith, Embriología Clínica 2013 9a. Edición. Editorial
ELSEVIER. México pp.390
Desarrollo del SN
 Formación del tubo neural y
separación del ectodermo de
superficie.
 Diferenciación de la Cresta
neural.
• El cierre del Tubo Neural se
produce por la parte dorsal desde
el centro hacia los extremos
(neuroporos).
• El neuroporo anterior se cierra
el día 25 y el posterior el día 27.
TN
Neuroporo
Caudal
Somitas
Moore Keith, Embriología Clínica 2013 9a. Edición. Editorial
ELSEVIER. México
Desarrollo del SN
Neuroporo
Rostral
Desarrollo del Encéfalo
 Se forma de la fusión de los pliegues craneales y cierre del
neuroporo rostral.
 Originándose 3 vesículas cerebrales primarias:
 Cerebro anterior o prosencefalo
 Cerbro medio o mesencefalo
 Cerebro posterior o rombencefalo
Moore Keith, Embriología Clínica 2013 9a. Edición. Editorial
ELSEVIER. México
Desarrollo del Encéfalo
 El Prosencéfalo en la 5ta semana se divide en 2 vesículas secundarias:
El telencéfalo y diencéfalo.
 El mesencéfalo no se divide.
 El rombencéfalo se divide en metencéfalo y mielencéfalo.
Moore Keith, Embriología Clínica 2013 9a. Edición. Editorial
ELSEVIER. México
VESÍCULAS ENCEFÁLICAS
4ta. Semana 5ta. Semana
PROSEN
TELEN
DIEN
MESEN MESEN
ROMBEN METEN
MIELEN
Moore Keith, Embriología Clínica 2013 9a. Edición. Editorial
ELSEVIER. México
VESÍCULAS ENCEFÁLICAS
4ta. Semana 5ta. Semana
Prosencéfalo
Mesencéfalo
Rombencéfalo
Telencéfalo
Diencéfalo
Metencéfalo Mielencéfalo
Hidrocefalia
DEFINICION
 Hydros= agua
 Cephalus= cabeza
Hidrocefalia congénita:
 Crecimiento progresivo ventricular por acumulo
anormal de LCR, que aparece desde el primer día
de vida, por consecuente con aparición in utero.
Causas de hidrocefalia congénita
 Estenosis acueductal 33%
 Malformación de Arnold Chiari 28%
 Hidrocefalia comunicante 22%
 Malformación Dandy Walker 7%
 Otros 10%
Causas de hidrocefalia congénita
 Si la causa está determinada genéticamente, suele deberse a tres
posibles malformaciones:
Estenosis del acueducto de Silvio
Malformación de Chiari
Síndrome de Dandy Walker
Causas de hidrocefalia
 Estenosis acueductal:
 Obstrucción parcial o total, que puede deberse
a malformaciones estructurales congénitas,
hemorragias, infecciones, neoplasias,
malformaciones vasculares
La estenosis hereditaria es transmitida como
un rasgo recesivo ligado a X
Sindrome de Bickers-Adams. [A] Hidrocefalia por estenosis del acueducto
de Silvio; [B] deformidad en flexión y aducción del dedo gordo.
Causas de hidrocefalia congénita
Causas de hidrocefalia congénita
 Arnold Chiari:
Protrusión de estructuras encefálicas (cerebelo)
a través del foramen magno en el canal espinal
cervical.
Causas de hidrocefalia congénita Síndrome de Dandy Walker:
 La tríada característica para establecer el diagnóstico es:
 Hidrocefalia
 Ausencia de vermis cerebeloso
 Quiste de la fosa posterior con comunicación con el cuarto
ventrículo.
Cuadro clinico
 Perímetro cefálico aumentado
 Separación de suturas craneales
 Somnolencia, rechazo progresivo a la vía oral
 Anormalidades oculares (atrofia óptica y
estrabismo)
 Pobre succión, vómitos
 Broncoaspiración.
Diagnostico
La mayoría de las veces es diagnosticado en sala de parto a la exploración física
del neonato
Diagnóstico
 Ultrasonido: Indicada en todo paciente con hidrocefalia que presente suturas
abiertas.
 TAC
 MRI
Indicadas en todo paciente que
presente suturas craneales
cerradas.
Diagnostico
 El diagnóstico ecográfico se realiza ya a partir del II trimestre permite evaluar la
dilatación, si es severa o no y si es progresiva o no.
Diagnostico
Hidrocefalia en un feto de forma severa y progresiva
Diagnostico
Feto de 22 semanas de gestación en el que observamos dilatación de
los ventrículos laterales
Diagnostico
TratamientoQuirúrgico:
 Derivación ventrículo peritoneal
 Derivación ventrículo atrial
Tratamiento
 Diuréticos: Furosemide, acetazolamida
 Punciones lumbares
Pronostico:
(100%)
(23%) (77%)
No tratados y muertos derivados
Murieron (10%)
(67%)
Sobrevivieron
ENCEFALOCELE
 Protrusión o hernia de contenido endocraneal, a través de un defecto óseo del
cráneo.
60-
75% 25-
40%
1/5000 RN vivos común en América
del Norte y Europa.
FRONTAL
MASFRONTAL: defecto entre los
huesos frontales y nasales en base
de la nariz.
NASOETMOIDAL: lamina cribiforme
o en el etmoides *dentro de la
cavidad nasal*
NASOORBITAL: entre el proceso
frontal del maxilar y hueso
etmoides
ENCEFALOCELE
ETIOLOGÍA
No muy conocida
 10% mutaciones genéticas y alteraciones cromosómicas.
 Fármacos y/o irradiación en la gestación.
ENCEFALOCELE (cuadro clínico)
 Microcefalia
 Tumoración
 Llanto
 Cuadriplejia espástica
 Ataxia
 Convulsiones
En casos más graves, como
la protrusión de tejido
nervioso y/o encefalocele
frontal.
ENCEFALOCELE (Diagnostico)
 Examen físico al nacer (tumoración en línea media del cráneo.)
 Resonancia magnética
ENCEFALOCELE (Dx diferencial)
 Duplicación orbital
 Proboscis
 Ciclopia
HEMANGIOMA DACRIOCISTITIS
ENCEFALOCELE (Tratamiento)
 Fijar la sección de cerebro fuera del cráneo de nuevo en su posición original y
cierre de la abertura.
Anencefalia
 Defecto en el cierre del tubo neural anterior
caracterizado por una ausencia total o parcial del cerebro
anterior, meninges, cráneo y piel.
Nelson. Tratado de Pediatría (18.ª ed.) Kliegman RM, Behrman RE, Jenson HB, Stanton BF. Barcelona: Elsevier, 2008. 3.376 páginas. 2 volúmenes
Etiología
 Defectos cromosómicos
 mutaciones genéticas
 diabetes mellitus
 drogas antiepilépticas
 Hipertermia
 puede permanecer
inexplicado.
Nelson. Tratado de Pediatría (18.ª ed.) Kliegman RM, Behrman RE, Jenson HB, Stanton BF. Barcelona: Elsevier, 2008. 3.376 páginas. 2 volúmenes
Incidencia
 Afecta a 1 de cada 1000 nenonatos
 La recurrencia si ya hay un hijo afectado es del 2-3%.
 La ingestión de acido fólico reduce este riesgo a la mitad.
Nelson. Tratado de Pediatría (18.ª ed.) Kliegman RM, Behrman RE, Jenson HB, Stanton BF. Barcelona: Elsevier, 2008. 3.376 páginas. 2 volúmenes
Diagnóstico . USG
En el primer trimestre el
diagnóstico
debe hacerse después de las
11semanas cuando el cráneo
está osificado.
Acrania y el cerebro se
observa normal o con grados
variables de disrupción.
Durante el segundo
trimestre se observa
ausencia de cráneo y
hemisferios
cerebrales. Los huesos
faciales, tallo cerebral
y mesencéfalo están
presentes.
En el 50% de los casos
hay defectos de
columna asociados.
Nelson. Tratado de Pediatría (18.ª ed.) Kliegman RM, Behrman RE, Jenson HB, Stanton BF. Barcelona: Elsevier, 2008. 3.376 páginas. 2 volúmenes
19 semanas
Acrania
Trastornos de la
Migración Neuronal
 La migración neuronal es una etapa del desarrollo del
sistema nervioso central que ocurre en su mayor parte
entre las semanas 12 y 20 de gestación.
Luis Carlos Vélez-Domínguez Trastornos de migración neuronal, Gac Méd Méx Vo1.134 No. 2 *
Fases de la
migración
Neuronal
Fase de
proliferación celular
de las zonas
germinales.
Fase de la migración
neuronal
propiamente dicha.
Fase de organización
horizontal y vertical
de las mismas.
Luis Carlos Vélez-Domínguez Trastornos de migración neuronal, Gac Méd Méx Vo1.134 No. 2 *
Fase de la proliferación celular en zonas
Marginales
Es la fase en la que nacen
las células nerviosas
(a partir del día 32 de
edad gestacional).
La gran mayoría de
neuronas y de células
gliales se originan en las
zonas germinales o
matrices germinales,
situadas en las paredes de
los ventrículos laterales,
cuya estructura es
conocida también como
zona germinal ventricular
o neuroepitelio.
Luis Carlos Vélez-Domínguez Trastornos de migración neuronal, Gac Méd Méx Vo1.134 No. 2 *
Fase de migración neuronal
En este momento las
células nerviosas
abandonan el lugar
en el que han nacido
se dirigen a su lugar
definitivo guiadas
por el sistema radial
glial
una especie de
célula glial que es
única y que no existe
en el cerebro maduro
Luis Carlos Vélez-Domínguez Trastornos de migración neuronal, Gac Méd Méx Vo1.134 No. 2 *
Fase de Organización Horizontal y
Vertical
 Se produce una diferenciación y
consecuente organización de las células
nerviosas que han migrado para el
desarrollo cortical normal
Luis Carlos Vélez-Domínguez Trastornos de migración neuronal, Gac Méd Méx Vo1.134 No. 2 *
Fallo total de la migración.
Migración interrumpida o incompleta.
Migración desviada a otro sitio en el cerebro.
La migración que no se detiene pero que sigue más
allá de los límites cerebrales hasta las leptomeninges
Luis Carlos Vélez-Domínguez Trastornos de migración neuronal, Gac Méd Méx Vo1.134 No. 2 *
Esquizencefalia
Más severa de estas
Se origina hacia finales del segundo mes de la gestación
Debido a la falta de desarrollo del manto cortical en zonas donde
se forman e invaginan las cisuras cerebrales primarias.
Hendiduras hemisféricas usualmente bilaterales y simétricas
Cuando los labios de la invaginación se encuentran ampliamente
separados, es frecuente que esta malformación se asocie con
dilatación ventricular masiva.
Luis Carlos Vélez-Domínguez Trastornos de migración neuronal, Gac Méd Méx Vo1.134 No. 2 *
Clasificación
• Tipo A: unilateral de labio cerrado.
• Tipo B: bilateral de labio cerrado.
• Tipo C: unilateral de labio abierto.
• Tipo D: bilateral de labio abierto.
Luis Carlos Vélez-Domínguez Trastornos de migración neuronal, Gac Méd Méx Vo1.134 No. 2 *
Manifestaciones Clínicas
Los niños con esquizencefalia
usualmente presentan:
hipotonía que progresa a la
espasticidad,
retraso severo en el
desarrollo neurológico
crisis epilépticas
refractarias.
Luis Carlos Vélez-Domínguez Trastornos de migración neuronal, Gac Méd Méx Vo1.134 No. 2 *
Luis Carlos Vélez-Domínguez Trastornos de migración neuronal, Gac Méd Méx Vo1.134 No. 2 *
Nelson. Tratado de Pediatría (18.ª ed.) Kliegman RM, Behrman RE, Jenson HB, Stanton BF. Barcelona: Elsevier, 2008. 3.376 páginas. 2 volúmenes
Lisencefalia - Paquigiria
 Se caracteriza por la ausencia de circunvoluciones
cerebrales y por la falta del desarrollo de la cisura de
Silvio, dando al encéfalo el aspecto de un cerebro fetal
de 3- 4 meses
 Sólo muestra unos cuantos giros amplios (paquigiria), o
bien, pueden estar totalmente ausentes (agiria)
Luis Carlos Vélez-Domínguez Trastornos de migración neuronal, Gac Méd Méx Vo1.134 No. 2 *
Existen dos tipos de lisencefalia:
Tipo I:
• (en sus dos variedades: lisencefalia aislada, síndrome de Miller-
Dieker),
• la corteza se asemeja a la del feto de 12 Sem., con cuatro capas.
Tipo II
• (síndrome de Walker-Warburg y distrofia muscular congénita de
Fukuyama)
• se encuentra engrosamiento de las leptomeninges y las neuronas
corticales aparecen formando grupos desorganizados, separados por
vasos o colecciones gliales, sin identificarse capas.
Luis Carlos Vélez-Domínguez Trastornos de migración neuronal, Gac Méd Méx Vo1.134 No. 2 *
Clínica
fallo de medro,
núcrocefalia,
un marcado
retraso del
desarrollo
una
encefelopatía
epiléptica.
Con frecuencia
se acompaña
de anomalías
oculares,
como
hipoplasia del
nervio óptico y
microftalmia
Luis Carlos Vélez-Domínguez Trastornos de migración neuronal, Gac Méd Méx Vo1.134 No. 2 *
Luis Carlos Vélez-Domínguez Trastornos de migración neuronal, Gac Méd Méx Vo1.134 No. 2 *
Luis Carlos Vélez-Domínguez Trastornos de migración neuronal, Gac Méd Méx Vo1.134 No. 2 *
Luis Carlos Vélez-Domínguez Trastornos de migración neuronal, Gac Méd Méx Vo1.134 No. 2 *
Disrrafia
espinal
Malformaciones
de la unión
cráneo-vertebral
Quistes
aracnoideos
espinales
Malformación
de Chiari
ANOMALIAS DEL DESARROLLO
VERTEBRAL
• La dirsrafia espinal consiste en un grupo de anomalias de
desarrollo de la medula espinal y columna vertebral
secundarias a fallas en el cierre del tubo neural.
Definicion
• Factores hereditarios
• Factores ambientales
Origen
• Falta de cierre del tubo neural.
• Reapertura del tubo neural.
• Insuficiencia mesodermica del tubo neural.
Hipótesis
DISRRAFIA ESPINAL
DISRRAFIA ESPINAL
Se caracteriza por
su asociacion con:
Fallas en el cierre del arco dorsal
vertebral
Ensanchamiento del canal vertebral
Hemivertebras
Escoliosis
CLASIFICACION DISRRAFIA ESPINAL
OCULTA ABIERTA
DISRRAFIA ESPINAL
Médula anclada
Espina bifida oculta
Mielosquisis
Mielomeningococele
Lipoma
Seno dermico espinal
MeningococeleDiastematomielia
DISRAFIA ESPINAL OCULTA
ESPINA BIFIDA OCULTA
Es la forma mas común, se caracteriza por la ausencia congenita de
apofisis espinosa y parte de las laminas en vertebras.
Aparicio J.M. Espina bifida. Neuropediatría. Hops Ramon MADRID. Asoc Esp. Pediatrica 2007.
ESPINA BIFIDA (Etiología)
 98% deficit de folatos en la madre en el momento
previo al embarazo.
 Tx Materno con fármacos: A. Valproico, Etetrinato
(psoriasis o acné), Carbamazepina.
 Edad materna.
Aparicio J.M. Espina bifida. Neuropediatría. Hops Ramon MADRID. Asoc Esp. Pediatrica 2007.
ESPINA BIFIDA (cuadro clínico)
 Hipertricosis
 Área de piel atrófica o
hiperpigmentada
 Hundimiento
 Cifoescoliosis
 Pies equinovaros
 Asimetría de extremidades
KIEGMAN RM.(2006).Nelson Tratado De Pediatria. 18ª edición. Elsevier; México.
ESPINA BIFIDA (Diagnostico)
 Clínico
 Radiografía
 Resonancia magnética
KIEGMAN RM.(2006).Nelson Tratado De Pediatria. 18ª edición. Elsevier; México.
Fig. 9: TC columna a. Anomalía constitucional del arco posterior de L5 con
espina bífida oculta (flecha azul) y lisis ítsmica izquierda. (flecha roja). b.
Espina bífida de C7 (flecha verde). c. Reconstrucciones en 3D. Espina bífida de
C1
RMN. A, B. Sagital SE T1.Terminación del cono medular (flecha) por detrás de S1 en un
lipoma (*).B. Sagital SE T1. Espina bífida oculta en S3 (flecha).
DIASTEMATOMIELIA
 Medula hendida es la division
longitudinal congenita de la
medula espinal en dos partes
simetricas o asimetricas
(hemimedulas), separadas o no
por un tabique.
Tipo I (saco dural independiente)
Tipo II (saco dural compartido)
KIEGMAN RM.(2006).Nelson Tratado De Pediatria. 18ª edición. Elsevier; México.
Diastematomielia
 Malformación congénita en la
cual la medula queda hendida
o partida en dos partes.
 Esta hendidura en el saco dural
y en la medula da lugar a una
aparente duplicación medular,
sin que halla duplicación de la
inervación de las piernas.
Cirugía del sistema nervioso y del raquis (fundamentos), Máximo Poza, Universidad de Murcia, 1993.
• Esta producida por un septum o tabique de naturaleza ósea, cartilaginosa o
fibrosa, que dificulta el ascenso de la medula espinal.
• El septum se encuentra en la parte inferior del tajo o hendidura medular.
Cirugía del sistema nervioso y del raquis (fundamentos), Máximo Poza, Universidad de Murcia, 1993.
• No se conoce bien la etiología ni los mecanismos que influyen en la
aparición de la espina bífida oculta.
• Se cree que es debido a la persistencia de la duplicación de la
notocorda.
Cirugía del sistema nervioso y del raquis (fundamentos), Máximo Poza, Universidad de Murcia, 1993.
Etiología
Cuadro clínico
 Al nacer no se observa ninguna anomalía llamativa.
 Pocos años después se observan los trastornos motores, esfinterianos y cutáneos.
Cirugía del sistema nervioso y del raquis (fundamentos), Máximo Poza, Universidad de Murcia, 1993.
Ortopédico
Marcha torpe, malfomaciones en uno o
ambos pies, desigual en piernas o
atrofia muscular, pie zambo (equino
varo o equino valgo), espasticidad e
hiperreflexia, hipoestesia en
segmentos sacros.
Urológico
Incontinencia urinaria, descontrol de
esfínter urinario y anal, eneuresis
nocturna, distención vesical.
Cutáneas lumbosacras
Mechones de pelos largos, lipoma,
manchas, nevus vasculares o pequeño
hoyuelo en la piel, en línea media
Diagnóstico
Cirugía del sistema nervioso y del raquis (fundamentos), Máximo Poza, Universidad de Murcia, 1993.
Mielografía
Radiografía simple
Septum en la región lumdorsal.
Cuando esta formado por cartílago o
tejido fibroso para desapercibido.
Ensanchamiento del canal lumbar,
defectos de fusión del arco posterior,
escoliosis.
TAC Con contraste
intrarraquideo.
Resonancia magnética
Presencia y extensión de los lipomas,
malformaciones y la relación con
médula.
TAC
Tratamiento
• Qx con la finalidad de liberación la
medula, separándola de su anclaje,
extirpación del lipoma adherido al
cono medular o al filum terminale,
liberación de fibras y la resección
del septum.
• Indicaciones: Progresión del déficit
neurológico y lesión evidente en
estudios de imagen.
Tumores adiposos benigno que la
disrafia estan unidos a la medula
Las mas comunes estan relacionadas
con el cono medular.
Segun sus caracteristicas
anatomicas pueden clasificarse en :
LIPOMA
Lipoma dorsal
Lipoma terminal
Lipomielomeningocele
MEDULAANCLADA
 Fijacion de la medula en una
posicion anormalmente baja
(por debalo de L3 ) por un filum
terminal corto e hipertrofico.
 La médula espinal no se puede
mover libremente en la
columna vertebral.
Dolor (locales, referidos o
radiculares)
Sindrome de medula anclada
Cutaneas (hipertricosis, maculas)
Sintomas por traccion medular
(paraparesia, infecciones)
SENO DERMICO
Conducto epitelializado que
conecta el espacio intradural
con la superficie de la piel a
traves del defecto oseo.
Meningocele
 Malformación congénita consistente en una protrusión de
las meninges. El saco herniario contiene líquido
cefalorraquídeo.
DISRAFIA ESPINAL ABIERTA
Mielomeningocele
 Tipo de espina bífida con hernia de la médula espinal y de
sus meninges.
Epidemiología
Meningocele
• 4 – 10/10,000 Recién nacidos vivos
Mielomeningocele
• 1 /4,000 Recién nacidos vivos
Etiología
Se desconoce
Deficiencia de
Ac. Fólico
Carga genética
Cuadro clínico
Meningocele
Asintomático
Masa sobre columna vertebral
Constipación
Disfunción de vejiga
Fístula recto-vaginal
Mielomeningocele
Depende del sitio de lesión
Sacra – Incontinencia, parálisis de MI y
respuesta al dolor ausente
Lumbar – Síntomas similares a los de
motoneurona inferior
Torácico superior o cervical – Mínimas
afecciones y mínimo riesgo de hidrocefalia
Tratamiento
QX Un día
después de
nacimiento
Vejiga
neurogénica
Ambulación
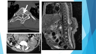
Fig. 10: RM columna lumbo-sacra. Horizontalización del sacro que muestra un disrafismo abierto
(flecha) con salida del saco tecal anclado al tejido subcutáneo. El fondo de saco dural muestra un
contenido de líquido y estructuras neurales. Mielomeningocele (asterisco).
Fig. 11: RM columna lumbo-sacra. Médula anclada (flecha roja) y disrafia posterior con
meningocele (asterisco azul).
Prevención
 0.4mg de Ácido fólico diario si esta en edad
fértil y con posibilidades de embarazarse.
 4mg de Ácido fólico diario si hubo un hijo
afectado previamente y la mujer desea
embarazarse; comenzando un mes antes de
la concepción.
 Trastorno de la migración
neuronal por la acción de
una noxa entre la l2ª y la
20ª semanas de gestación
AGENESIA DEL CUERPO CALLOSO (ACC)
ETIOLOGÍA
 Tóxicos exógenos como el alcohol
 Tóxicos endógenos como
metabolopatías (acidosis láctica)
 Hiperglicinemia.
 Diversas entidades genéticas o
cromosómicas pueden cursar con ACC.
 Origen vascular: el cuerpo calloso está
presente sólo en parte (agenesia
parcial)
FRECUENCIA
 Se calcula en 1/20.000 individuos se ha elevado hasta el
0,74 % en Francia o el 2,3 % en EEUU.
Muy variable, en ocasiones la ACC se presenta aislada y se trata de
un hallazgo casual (formas asintomáticas)
CLÍNICA
CLINICA: Formas no sindrómicas
 Son las más comunes. Su transmisión
genética es rara. En algunos casos se
trata de formas autosómicas
recesivas ligadas al cromosoma X
 No tienen elementos fenotípicos
orientadores aunque suelen cursar
con macrocefalia e hipertelorismo.
CLINICA: Formas no sindrómicas
 82 % retraso mental
 43 % convulsiones
 31 % parálisis cerebral.
 Trastornos endocrinos
 Alteraciones Perímetro cefálico
 Trastornos en el aprendizaje
 Defectos percepción (trast. Visuoespaciales)
 Alteraciones del control motor.
CLINICA: Formas sindrómicas
A. Enfermedades Genéticas
B. Enfermedades Metabólicas
C. Alteraciones cromosómicas
CLINICA: Formas sindrómicas
A. Enfermedades Genéticas
 S. de Aicardi: Espasmos en flexión, alteraciones coriorretinianas,
microcefalia, anomalías vertebrales y retraso mental.
 S. de Andermann: Retraso mental moderado y neuropatia motora
progresiva con afección del asta anterior.
 S. de Shapiro: Episodios paroxisticos de hiperhidrosis, hipotermia
espontánea recidivante, ataxia y somnolencia
 S.acrocalloso: Déficit mental con polidactilia, macrocefalia,
hipertelorismo y labio leporino
 Síndrome FG: Retraso mental, macrocefalia, hipotonía congénita,
estreñimiento crónico, facies característica , epilepsia y sordera.
CLINICA: Formas sindrómicas
B. Enfermedades Metabólicas
 Hiperglicinemia no cetósica, causada por un defecto de actividad del
sistema de degradación de la glicina. Existen dos formas:
1.- Neonatal: Tras un periodo de normalidad de dos o tres días aparece
rechazo del alimento, vómitos, debilidad muscular, convulsiones, apneas,
letárgia y coma. Los pacientes suelen fallecer en los primeros días de vida
y los que sobreviven presentan un importante compromiso neurológico.
2.- Forma de aparición tardía: Tras un periodo neonatal normal aparece un
retraso del desarrollo o deficiencia mental.
CLINICA: Formas sindrómicas
C. Alteraciones cromosómicas
Asociada a anomalías géneticas específicas (20%):
• Trisomías 8, 13, 14, 15 y 18
• Síndromes de Aicardi
• Síndrome de Apert
• Síndrome de Shapiro
• Síndrome orofaciodigital
• Sindrome de la hendidura mediofacial
Diagnostico
•Sospecha ultrasonográfica después de las 20
semanas.
• Aumento en el tamaño del atrio.
• Cavum septum pellucidi ausente o anormal.
• Búsqueda de los otros signos indirectos:
 Dilatación de los cuernos posteriores de los
ventrículos laterales (“gota de lágrima”).

Separación de los cuernos anteriores y
cuerpos de los ventrículos laterales.

Dilatación y elevación del tercer ventrículo
(quíste interhémisferico)
Holoprosencefalia
 La holoprosencefalia es un trastorno del desarrollo cerebral originado por
una formación defectuosa del prosencéfalo y una alteración de la
inducción de las estructuras del cerebro anterior.
 Clasifica:
1. Alobar
2. Semilobar
3. Lobar
Nelson. Tratado de Pediatría (18.ª ed.) Kliegman RM, Behrman RE, Jenson HB, Stanton BF. Barcelona: Elsevier, 2008. 3.376 páginas. 2 volúmenes
Alobar
 Cerebro pequeño con un solo ventrículo, sin división
interhemisférica.
a) El tálamo y el cuerpo estriado no están divididos
b) Los tractos y bulbos olfatorios y el cuerpo calloso siempre
están ausentes.
Nelson. Tratado de Pediatría (18.ª ed.) Kliegman RM, Behrman RE, Jenson HB, Stanton BF. Barcelona: Elsevier, 2008. 3.376 páginas. 2 volúmenes
Nelson. Tratado de Pediatría (18.ª ed.) Kliegman RM, Behrman RE, Jenson HB, Stanton BF. Barcelona: Elsevier, 2008. 3.376 páginas. 2 volúmenes
Semilobar
 lóbulos cerebrales rudimentarios
a) La cisura interhemisférica no esta completa pero puede
estar presente en región posterior.
b) Ausencia de bulbo y tractos olfatorios
c) Cuerpo calloso no se distingue bien.
Nelson. Tratado de Pediatría (18.ª ed.) Kliegman RM, Behrman RE, Jenson HB, Stanton BF. Barcelona: Elsevier, 2008. 3.376 páginas. 2 volúmenes
Nelson. Tratado de Pediatría (18.ª ed.) Kliegman RM, Behrman RE, Jenson HB, Stanton BF. Barcelona: Elsevier, 2008. 3.376 páginas. 2 volúmenes
Lobar
 Lóbulos bien formados y de tamaño normal
a) Bulbo y tractos olfatorios hipoplásicos
b) Cuerpo calloso ausente, hipoplásico o normal.
c) Tálamos y cuerpo estriado no se separan por completo.
 El extremo leve es la ausencia aislada de cuerpo calloso y la
arrinencefalia (ausencia de tractos y bulbos olfatorios)
Nelson. Tratado de Pediatría (18.ª ed.) Kliegman RM, Behrman RE, Jenson HB, Stanton BF. Barcelona: Elsevier, 2008. 3.376 páginas. 2 volúmenes
Nelson. Tratado de Pediatría (18.ª ed.) Kliegman RM, Behrman RE, Jenson HB, Stanton BF. Barcelona: Elsevier, 2008. 3.376 páginas. 2 volúmenes
Características Faciales
 Presente en al menos 80% de los
casos de HPS.
 Predice las estructuras cerebrales
en 80% de los casos:
Nelson. Tratado de Pediatría (18.ª ed.) Kliegman RM, Behrman RE, Jenson HB, Stanton BF. Barcelona: Elsevier, 2008. 3.376 páginas. 2 volúmenes
Alobar
 Ciclopia: variante mas extrema, estructura ocular central única con arrinia y
proboscis
 Etmocefalia: ojos separados, hipotelorismo, arrinia y proboscis.
 Cebocefalia: hipotelorismo con naríz con narina única en fondo ciego.
 Hendidura media facial: hipotelorismo, naríz aplanada y hendidura media.
Nelson. Tratado de Pediatría (18.ª ed.) Kliegman RM, Behrman RE, Jenson HB, Stanton BF. Barcelona: Elsevier, 2008. 3.376 páginas. 2 volúmenes
Semilobar
 Labio hendido bilateral
 Puente nasal aplanado
 Ausencia de septum nasal
 Hendidura media facial
 Hipotelorismo
 Anoftalmia / Microftalmia
Nelson. Tratado de Pediatría (18.ª ed.) Kliegman RM, Behrman RE, Jenson HB, Stanton BF. Barcelona: Elsevier, 2008. 3.376 páginas. 2 volúmenes
Lobar
 Labio hendido bilateral con premaxila
 Hipotelorismo
 Nariz aplanada
 Coloboma de iris
Nelson. Tratado de Pediatría (18.ª ed.) Kliegman RM, Behrman RE, Jenson HB, Stanton BF. Barcelona: Elsevier, 2008. 3.376 páginas. 2 volúmenes
Supervivencia relacionado con las
facies:
 Ciclopia,etmocefalia y cebocefalia 50% sobreviven 1 día.
 Hendidura medio-facial, 50% sobreviven 4 a 5 meses.
 Facies normal: 50% sobreviven 12 a 18 meses.
Nelson. Tratado de Pediatría (18.ª ed.) Kliegman RM, Behrman RE, Jenson HB, Stanton BF. Barcelona: Elsevier, 2008. 3.376 páginas. 2 volúmenes
Factores De Riesgo:
 Diabetes materna
 Alcoholismo materno
 Exposición prenatal a ácido retinoico e inhibidores de la
síntesis de colesterol.
 Genética + ambiente: “multi-hit model”
Nelson. Tratado de Pediatría (18.ª ed.) Kliegman RM, Behrman RE, Jenson HB, Stanton BF. Barcelona: Elsevier, 2008. 3.376 páginas. 2 volúmenes
Recurrencia
 Examinar a los familiares
1. En búsqueda de anosmia o hiposmia, hipotelorismo, microcefalia o incisivo
central único.
2. Interrogar historia familiar e talla baja y endocrinopatías
 Casos no sindrómicos con patrón de herencia AD:
 RR de 16 a 23% holoprosencefalia
 RR para microformas 13%
 RR total 35%
 Casos esporádicos RR 6%.
Nelson. Tratado de Pediatría (18.ª ed.) Kliegman RM, Behrman RE, Jenson HB, Stanton BF. Barcelona: Elsevier, 2008. 3.376 páginas. 2 volúmenes

Malformaciones del snc

  • 1.
    Malformaciones del Sistema NerviosoCentral Universidad Nacional Autónoma de México Facultad de Estudios Superiores Iztacala Centro Médico ISSEMyM ECATEPEC Dr. Hernández Quintero Juan Alba Loperena Miguel Alonso Hernández Ramírez Alexis
  • 2.
    Estructuras implicadas:  Placaneural  Crestas Neurales  Notocorda DESARROLLO DEL SISTEMA NERVIOSO Moore Keith, Embriología Clínica 2013 9a. Edición. Editorial ELSEVIER. México
  • 3.
    Desarrollo del SN Primeras indicaciones del desarrollo del SN.  Aproximado día 17. (3ra semana) Moore Keith, Embriología Clínica 2013 9a. Edición. Editorial ELSEVIER. México pp.390
  • 4.
    Desarrollo del SN Los pliegues neurales se fusionan frente a los somitas cuarto a sexto. Moore Keith, Embriología Clínica 2013 9a. Edición. Editorial ELSEVIER. México pp.390
  • 5.
    Desarrollo del SN Formación del tubo neural y separación del ectodermo de superficie.  Diferenciación de la Cresta neural.
  • 6.
    • El cierredel Tubo Neural se produce por la parte dorsal desde el centro hacia los extremos (neuroporos). • El neuroporo anterior se cierra el día 25 y el posterior el día 27. TN Neuroporo Caudal Somitas Moore Keith, Embriología Clínica 2013 9a. Edición. Editorial ELSEVIER. México Desarrollo del SN Neuroporo Rostral
  • 8.
    Desarrollo del Encéfalo Se forma de la fusión de los pliegues craneales y cierre del neuroporo rostral.  Originándose 3 vesículas cerebrales primarias:  Cerebro anterior o prosencefalo  Cerbro medio o mesencefalo  Cerebro posterior o rombencefalo Moore Keith, Embriología Clínica 2013 9a. Edición. Editorial ELSEVIER. México
  • 9.
    Desarrollo del Encéfalo El Prosencéfalo en la 5ta semana se divide en 2 vesículas secundarias: El telencéfalo y diencéfalo.  El mesencéfalo no se divide.  El rombencéfalo se divide en metencéfalo y mielencéfalo. Moore Keith, Embriología Clínica 2013 9a. Edición. Editorial ELSEVIER. México
  • 10.
    VESÍCULAS ENCEFÁLICAS 4ta. Semana5ta. Semana PROSEN TELEN DIEN MESEN MESEN ROMBEN METEN MIELEN
  • 11.
    Moore Keith, EmbriologíaClínica 2013 9a. Edición. Editorial ELSEVIER. México
  • 12.
    VESÍCULAS ENCEFÁLICAS 4ta. Semana5ta. Semana Prosencéfalo Mesencéfalo Rombencéfalo Telencéfalo Diencéfalo Metencéfalo Mielencéfalo
  • 13.
  • 14.
    DEFINICION  Hydros= agua Cephalus= cabeza Hidrocefalia congénita:  Crecimiento progresivo ventricular por acumulo anormal de LCR, que aparece desde el primer día de vida, por consecuente con aparición in utero.
  • 16.
    Causas de hidrocefaliacongénita  Estenosis acueductal 33%  Malformación de Arnold Chiari 28%  Hidrocefalia comunicante 22%  Malformación Dandy Walker 7%  Otros 10%
  • 17.
    Causas de hidrocefaliacongénita  Si la causa está determinada genéticamente, suele deberse a tres posibles malformaciones: Estenosis del acueducto de Silvio Malformación de Chiari Síndrome de Dandy Walker
  • 18.
    Causas de hidrocefalia Estenosis acueductal:  Obstrucción parcial o total, que puede deberse a malformaciones estructurales congénitas, hemorragias, infecciones, neoplasias, malformaciones vasculares
  • 19.
    La estenosis hereditariaes transmitida como un rasgo recesivo ligado a X Sindrome de Bickers-Adams. [A] Hidrocefalia por estenosis del acueducto de Silvio; [B] deformidad en flexión y aducción del dedo gordo. Causas de hidrocefalia congénita
  • 20.
    Causas de hidrocefaliacongénita  Arnold Chiari: Protrusión de estructuras encefálicas (cerebelo) a través del foramen magno en el canal espinal cervical.
  • 21.
    Causas de hidrocefaliacongénita Síndrome de Dandy Walker:  La tríada característica para establecer el diagnóstico es:  Hidrocefalia  Ausencia de vermis cerebeloso  Quiste de la fosa posterior con comunicación con el cuarto ventrículo.
  • 22.
    Cuadro clinico  Perímetrocefálico aumentado  Separación de suturas craneales  Somnolencia, rechazo progresivo a la vía oral  Anormalidades oculares (atrofia óptica y estrabismo)  Pobre succión, vómitos  Broncoaspiración.
  • 23.
    Diagnostico La mayoría delas veces es diagnosticado en sala de parto a la exploración física del neonato
  • 24.
    Diagnóstico  Ultrasonido: Indicadaen todo paciente con hidrocefalia que presente suturas abiertas.  TAC  MRI Indicadas en todo paciente que presente suturas craneales cerradas.
  • 25.
    Diagnostico  El diagnósticoecográfico se realiza ya a partir del II trimestre permite evaluar la dilatación, si es severa o no y si es progresiva o no.
  • 26.
    Diagnostico Hidrocefalia en unfeto de forma severa y progresiva
  • 27.
    Diagnostico Feto de 22semanas de gestación en el que observamos dilatación de los ventrículos laterales
  • 28.
  • 30.
    TratamientoQuirúrgico:  Derivación ventrículoperitoneal  Derivación ventrículo atrial
  • 32.
    Tratamiento  Diuréticos: Furosemide,acetazolamida  Punciones lumbares
  • 33.
    Pronostico: (100%) (23%) (77%) No tratadosy muertos derivados Murieron (10%) (67%) Sobrevivieron
  • 34.
    ENCEFALOCELE  Protrusión ohernia de contenido endocraneal, a través de un defecto óseo del cráneo. 60- 75% 25- 40% 1/5000 RN vivos común en América del Norte y Europa. FRONTAL MASFRONTAL: defecto entre los huesos frontales y nasales en base de la nariz. NASOETMOIDAL: lamina cribiforme o en el etmoides *dentro de la cavidad nasal* NASOORBITAL: entre el proceso frontal del maxilar y hueso etmoides
  • 35.
    ENCEFALOCELE ETIOLOGÍA No muy conocida 10% mutaciones genéticas y alteraciones cromosómicas.  Fármacos y/o irradiación en la gestación.
  • 36.
    ENCEFALOCELE (cuadro clínico) Microcefalia  Tumoración  Llanto  Cuadriplejia espástica  Ataxia  Convulsiones En casos más graves, como la protrusión de tejido nervioso y/o encefalocele frontal.
  • 37.
    ENCEFALOCELE (Diagnostico)  Examenfísico al nacer (tumoración en línea media del cráneo.)  Resonancia magnética
  • 38.
    ENCEFALOCELE (Dx diferencial) Duplicación orbital  Proboscis  Ciclopia HEMANGIOMA DACRIOCISTITIS
  • 39.
    ENCEFALOCELE (Tratamiento)  Fijarla sección de cerebro fuera del cráneo de nuevo en su posición original y cierre de la abertura.
  • 40.
  • 41.
     Defecto enel cierre del tubo neural anterior caracterizado por una ausencia total o parcial del cerebro anterior, meninges, cráneo y piel. Nelson. Tratado de Pediatría (18.ª ed.) Kliegman RM, Behrman RE, Jenson HB, Stanton BF. Barcelona: Elsevier, 2008. 3.376 páginas. 2 volúmenes
  • 42.
    Etiología  Defectos cromosómicos mutaciones genéticas  diabetes mellitus  drogas antiepilépticas  Hipertermia  puede permanecer inexplicado. Nelson. Tratado de Pediatría (18.ª ed.) Kliegman RM, Behrman RE, Jenson HB, Stanton BF. Barcelona: Elsevier, 2008. 3.376 páginas. 2 volúmenes
  • 43.
    Incidencia  Afecta a1 de cada 1000 nenonatos  La recurrencia si ya hay un hijo afectado es del 2-3%.  La ingestión de acido fólico reduce este riesgo a la mitad. Nelson. Tratado de Pediatría (18.ª ed.) Kliegman RM, Behrman RE, Jenson HB, Stanton BF. Barcelona: Elsevier, 2008. 3.376 páginas. 2 volúmenes
  • 44.
    Diagnóstico . USG Enel primer trimestre el diagnóstico debe hacerse después de las 11semanas cuando el cráneo está osificado. Acrania y el cerebro se observa normal o con grados variables de disrupción. Durante el segundo trimestre se observa ausencia de cráneo y hemisferios cerebrales. Los huesos faciales, tallo cerebral y mesencéfalo están presentes. En el 50% de los casos hay defectos de columna asociados. Nelson. Tratado de Pediatría (18.ª ed.) Kliegman RM, Behrman RE, Jenson HB, Stanton BF. Barcelona: Elsevier, 2008. 3.376 páginas. 2 volúmenes
  • 46.
  • 54.
  • 57.
  • 58.
     La migraciónneuronal es una etapa del desarrollo del sistema nervioso central que ocurre en su mayor parte entre las semanas 12 y 20 de gestación. Luis Carlos Vélez-Domínguez Trastornos de migración neuronal, Gac Méd Méx Vo1.134 No. 2 *
  • 59.
    Fases de la migración Neuronal Fasede proliferación celular de las zonas germinales. Fase de la migración neuronal propiamente dicha. Fase de organización horizontal y vertical de las mismas. Luis Carlos Vélez-Domínguez Trastornos de migración neuronal, Gac Méd Méx Vo1.134 No. 2 *
  • 60.
    Fase de laproliferación celular en zonas Marginales Es la fase en la que nacen las células nerviosas (a partir del día 32 de edad gestacional). La gran mayoría de neuronas y de células gliales se originan en las zonas germinales o matrices germinales, situadas en las paredes de los ventrículos laterales, cuya estructura es conocida también como zona germinal ventricular o neuroepitelio. Luis Carlos Vélez-Domínguez Trastornos de migración neuronal, Gac Méd Méx Vo1.134 No. 2 *
  • 61.
    Fase de migraciónneuronal En este momento las células nerviosas abandonan el lugar en el que han nacido se dirigen a su lugar definitivo guiadas por el sistema radial glial una especie de célula glial que es única y que no existe en el cerebro maduro Luis Carlos Vélez-Domínguez Trastornos de migración neuronal, Gac Méd Méx Vo1.134 No. 2 *
  • 62.
    Fase de OrganizaciónHorizontal y Vertical  Se produce una diferenciación y consecuente organización de las células nerviosas que han migrado para el desarrollo cortical normal Luis Carlos Vélez-Domínguez Trastornos de migración neuronal, Gac Méd Méx Vo1.134 No. 2 *
  • 63.
    Fallo total dela migración. Migración interrumpida o incompleta. Migración desviada a otro sitio en el cerebro. La migración que no se detiene pero que sigue más allá de los límites cerebrales hasta las leptomeninges Luis Carlos Vélez-Domínguez Trastornos de migración neuronal, Gac Méd Méx Vo1.134 No. 2 *
  • 64.
    Esquizencefalia Más severa deestas Se origina hacia finales del segundo mes de la gestación Debido a la falta de desarrollo del manto cortical en zonas donde se forman e invaginan las cisuras cerebrales primarias. Hendiduras hemisféricas usualmente bilaterales y simétricas Cuando los labios de la invaginación se encuentran ampliamente separados, es frecuente que esta malformación se asocie con dilatación ventricular masiva. Luis Carlos Vélez-Domínguez Trastornos de migración neuronal, Gac Méd Méx Vo1.134 No. 2 *
  • 65.
    Clasificación • Tipo A:unilateral de labio cerrado. • Tipo B: bilateral de labio cerrado. • Tipo C: unilateral de labio abierto. • Tipo D: bilateral de labio abierto. Luis Carlos Vélez-Domínguez Trastornos de migración neuronal, Gac Méd Méx Vo1.134 No. 2 *
  • 66.
    Manifestaciones Clínicas Los niñoscon esquizencefalia usualmente presentan: hipotonía que progresa a la espasticidad, retraso severo en el desarrollo neurológico crisis epilépticas refractarias. Luis Carlos Vélez-Domínguez Trastornos de migración neuronal, Gac Méd Méx Vo1.134 No. 2 *
  • 67.
    Luis Carlos Vélez-DomínguezTrastornos de migración neuronal, Gac Méd Méx Vo1.134 No. 2 *
  • 69.
    Nelson. Tratado dePediatría (18.ª ed.) Kliegman RM, Behrman RE, Jenson HB, Stanton BF. Barcelona: Elsevier, 2008. 3.376 páginas. 2 volúmenes
  • 70.
    Lisencefalia - Paquigiria Se caracteriza por la ausencia de circunvoluciones cerebrales y por la falta del desarrollo de la cisura de Silvio, dando al encéfalo el aspecto de un cerebro fetal de 3- 4 meses  Sólo muestra unos cuantos giros amplios (paquigiria), o bien, pueden estar totalmente ausentes (agiria) Luis Carlos Vélez-Domínguez Trastornos de migración neuronal, Gac Méd Méx Vo1.134 No. 2 *
  • 71.
    Existen dos tiposde lisencefalia: Tipo I: • (en sus dos variedades: lisencefalia aislada, síndrome de Miller- Dieker), • la corteza se asemeja a la del feto de 12 Sem., con cuatro capas. Tipo II • (síndrome de Walker-Warburg y distrofia muscular congénita de Fukuyama) • se encuentra engrosamiento de las leptomeninges y las neuronas corticales aparecen formando grupos desorganizados, separados por vasos o colecciones gliales, sin identificarse capas. Luis Carlos Vélez-Domínguez Trastornos de migración neuronal, Gac Méd Méx Vo1.134 No. 2 *
  • 72.
    Clínica fallo de medro, núcrocefalia, unmarcado retraso del desarrollo una encefelopatía epiléptica. Con frecuencia se acompaña de anomalías oculares, como hipoplasia del nervio óptico y microftalmia Luis Carlos Vélez-Domínguez Trastornos de migración neuronal, Gac Méd Méx Vo1.134 No. 2 *
  • 73.
    Luis Carlos Vélez-DomínguezTrastornos de migración neuronal, Gac Méd Méx Vo1.134 No. 2 *
  • 74.
    Luis Carlos Vélez-DomínguezTrastornos de migración neuronal, Gac Méd Méx Vo1.134 No. 2 *
  • 75.
    Luis Carlos Vélez-DomínguezTrastornos de migración neuronal, Gac Méd Méx Vo1.134 No. 2 *
  • 76.
  • 77.
    • La dirsrafiaespinal consiste en un grupo de anomalias de desarrollo de la medula espinal y columna vertebral secundarias a fallas en el cierre del tubo neural. Definicion • Factores hereditarios • Factores ambientales Origen • Falta de cierre del tubo neural. • Reapertura del tubo neural. • Insuficiencia mesodermica del tubo neural. Hipótesis DISRRAFIA ESPINAL
  • 78.
    DISRRAFIA ESPINAL Se caracterizapor su asociacion con: Fallas en el cierre del arco dorsal vertebral Ensanchamiento del canal vertebral Hemivertebras Escoliosis
  • 79.
    CLASIFICACION DISRRAFIA ESPINAL OCULTAABIERTA DISRRAFIA ESPINAL Médula anclada Espina bifida oculta Mielosquisis Mielomeningococele Lipoma Seno dermico espinal MeningococeleDiastematomielia
  • 80.
  • 81.
    ESPINA BIFIDA OCULTA Esla forma mas común, se caracteriza por la ausencia congenita de apofisis espinosa y parte de las laminas en vertebras. Aparicio J.M. Espina bifida. Neuropediatría. Hops Ramon MADRID. Asoc Esp. Pediatrica 2007.
  • 82.
    ESPINA BIFIDA (Etiología) 98% deficit de folatos en la madre en el momento previo al embarazo.  Tx Materno con fármacos: A. Valproico, Etetrinato (psoriasis o acné), Carbamazepina.  Edad materna. Aparicio J.M. Espina bifida. Neuropediatría. Hops Ramon MADRID. Asoc Esp. Pediatrica 2007.
  • 83.
    ESPINA BIFIDA (cuadroclínico)  Hipertricosis  Área de piel atrófica o hiperpigmentada  Hundimiento  Cifoescoliosis  Pies equinovaros  Asimetría de extremidades KIEGMAN RM.(2006).Nelson Tratado De Pediatria. 18ª edición. Elsevier; México.
  • 84.
    ESPINA BIFIDA (Diagnostico) Clínico  Radiografía  Resonancia magnética KIEGMAN RM.(2006).Nelson Tratado De Pediatria. 18ª edición. Elsevier; México.
  • 85.
    Fig. 9: TCcolumna a. Anomalía constitucional del arco posterior de L5 con espina bífida oculta (flecha azul) y lisis ítsmica izquierda. (flecha roja). b. Espina bífida de C7 (flecha verde). c. Reconstrucciones en 3D. Espina bífida de C1
  • 86.
    RMN. A, B.Sagital SE T1.Terminación del cono medular (flecha) por detrás de S1 en un lipoma (*).B. Sagital SE T1. Espina bífida oculta en S3 (flecha).
  • 88.
    DIASTEMATOMIELIA  Medula hendidaes la division longitudinal congenita de la medula espinal en dos partes simetricas o asimetricas (hemimedulas), separadas o no por un tabique. Tipo I (saco dural independiente) Tipo II (saco dural compartido) KIEGMAN RM.(2006).Nelson Tratado De Pediatria. 18ª edición. Elsevier; México.
  • 89.
    Diastematomielia  Malformación congénitaen la cual la medula queda hendida o partida en dos partes.  Esta hendidura en el saco dural y en la medula da lugar a una aparente duplicación medular, sin que halla duplicación de la inervación de las piernas. Cirugía del sistema nervioso y del raquis (fundamentos), Máximo Poza, Universidad de Murcia, 1993.
  • 90.
    • Esta producidapor un septum o tabique de naturaleza ósea, cartilaginosa o fibrosa, que dificulta el ascenso de la medula espinal. • El septum se encuentra en la parte inferior del tajo o hendidura medular. Cirugía del sistema nervioso y del raquis (fundamentos), Máximo Poza, Universidad de Murcia, 1993.
  • 91.
    • No seconoce bien la etiología ni los mecanismos que influyen en la aparición de la espina bífida oculta. • Se cree que es debido a la persistencia de la duplicación de la notocorda. Cirugía del sistema nervioso y del raquis (fundamentos), Máximo Poza, Universidad de Murcia, 1993. Etiología
  • 92.
    Cuadro clínico  Alnacer no se observa ninguna anomalía llamativa.  Pocos años después se observan los trastornos motores, esfinterianos y cutáneos. Cirugía del sistema nervioso y del raquis (fundamentos), Máximo Poza, Universidad de Murcia, 1993. Ortopédico Marcha torpe, malfomaciones en uno o ambos pies, desigual en piernas o atrofia muscular, pie zambo (equino varo o equino valgo), espasticidad e hiperreflexia, hipoestesia en segmentos sacros. Urológico Incontinencia urinaria, descontrol de esfínter urinario y anal, eneuresis nocturna, distención vesical. Cutáneas lumbosacras Mechones de pelos largos, lipoma, manchas, nevus vasculares o pequeño hoyuelo en la piel, en línea media
  • 93.
    Diagnóstico Cirugía del sistemanervioso y del raquis (fundamentos), Máximo Poza, Universidad de Murcia, 1993. Mielografía Radiografía simple Septum en la región lumdorsal. Cuando esta formado por cartílago o tejido fibroso para desapercibido. Ensanchamiento del canal lumbar, defectos de fusión del arco posterior, escoliosis. TAC Con contraste intrarraquideo. Resonancia magnética Presencia y extensión de los lipomas, malformaciones y la relación con médula.
  • 97.
  • 99.
    Tratamiento • Qx conla finalidad de liberación la medula, separándola de su anclaje, extirpación del lipoma adherido al cono medular o al filum terminale, liberación de fibras y la resección del septum. • Indicaciones: Progresión del déficit neurológico y lesión evidente en estudios de imagen.
  • 100.
    Tumores adiposos benignoque la disrafia estan unidos a la medula Las mas comunes estan relacionadas con el cono medular. Segun sus caracteristicas anatomicas pueden clasificarse en : LIPOMA Lipoma dorsal Lipoma terminal Lipomielomeningocele
  • 102.
    MEDULAANCLADA  Fijacion dela medula en una posicion anormalmente baja (por debalo de L3 ) por un filum terminal corto e hipertrofico.  La médula espinal no se puede mover libremente en la columna vertebral. Dolor (locales, referidos o radiculares) Sindrome de medula anclada Cutaneas (hipertricosis, maculas) Sintomas por traccion medular (paraparesia, infecciones)
  • 103.
    SENO DERMICO Conducto epitelializadoque conecta el espacio intradural con la superficie de la piel a traves del defecto oseo.
  • 105.
    Meningocele  Malformación congénitaconsistente en una protrusión de las meninges. El saco herniario contiene líquido cefalorraquídeo. DISRAFIA ESPINAL ABIERTA
  • 106.
    Mielomeningocele  Tipo deespina bífida con hernia de la médula espinal y de sus meninges.
  • 107.
    Epidemiología Meningocele • 4 –10/10,000 Recién nacidos vivos Mielomeningocele • 1 /4,000 Recién nacidos vivos
  • 108.
  • 109.
    Cuadro clínico Meningocele Asintomático Masa sobrecolumna vertebral Constipación Disfunción de vejiga Fístula recto-vaginal Mielomeningocele Depende del sitio de lesión Sacra – Incontinencia, parálisis de MI y respuesta al dolor ausente Lumbar – Síntomas similares a los de motoneurona inferior Torácico superior o cervical – Mínimas afecciones y mínimo riesgo de hidrocefalia
  • 110.
    Tratamiento QX Un día despuésde nacimiento Vejiga neurogénica Ambulación
  • 111.
    Fig. 10: RMcolumna lumbo-sacra. Horizontalización del sacro que muestra un disrafismo abierto (flecha) con salida del saco tecal anclado al tejido subcutáneo. El fondo de saco dural muestra un contenido de líquido y estructuras neurales. Mielomeningocele (asterisco).
  • 112.
    Fig. 11: RMcolumna lumbo-sacra. Médula anclada (flecha roja) y disrafia posterior con meningocele (asterisco azul).
  • 113.
    Prevención  0.4mg deÁcido fólico diario si esta en edad fértil y con posibilidades de embarazarse.  4mg de Ácido fólico diario si hubo un hijo afectado previamente y la mujer desea embarazarse; comenzando un mes antes de la concepción.
  • 114.
     Trastorno dela migración neuronal por la acción de una noxa entre la l2ª y la 20ª semanas de gestación AGENESIA DEL CUERPO CALLOSO (ACC)
  • 115.
    ETIOLOGÍA  Tóxicos exógenoscomo el alcohol  Tóxicos endógenos como metabolopatías (acidosis láctica)  Hiperglicinemia.  Diversas entidades genéticas o cromosómicas pueden cursar con ACC.  Origen vascular: el cuerpo calloso está presente sólo en parte (agenesia parcial)
  • 116.
    FRECUENCIA  Se calculaen 1/20.000 individuos se ha elevado hasta el 0,74 % en Francia o el 2,3 % en EEUU.
  • 117.
    Muy variable, enocasiones la ACC se presenta aislada y se trata de un hallazgo casual (formas asintomáticas) CLÍNICA
  • 118.
    CLINICA: Formas nosindrómicas  Son las más comunes. Su transmisión genética es rara. En algunos casos se trata de formas autosómicas recesivas ligadas al cromosoma X  No tienen elementos fenotípicos orientadores aunque suelen cursar con macrocefalia e hipertelorismo.
  • 119.
    CLINICA: Formas nosindrómicas  82 % retraso mental  43 % convulsiones  31 % parálisis cerebral.  Trastornos endocrinos  Alteraciones Perímetro cefálico  Trastornos en el aprendizaje  Defectos percepción (trast. Visuoespaciales)  Alteraciones del control motor.
  • 120.
    CLINICA: Formas sindrómicas A.Enfermedades Genéticas B. Enfermedades Metabólicas C. Alteraciones cromosómicas
  • 121.
    CLINICA: Formas sindrómicas A.Enfermedades Genéticas  S. de Aicardi: Espasmos en flexión, alteraciones coriorretinianas, microcefalia, anomalías vertebrales y retraso mental.  S. de Andermann: Retraso mental moderado y neuropatia motora progresiva con afección del asta anterior.  S. de Shapiro: Episodios paroxisticos de hiperhidrosis, hipotermia espontánea recidivante, ataxia y somnolencia  S.acrocalloso: Déficit mental con polidactilia, macrocefalia, hipertelorismo y labio leporino  Síndrome FG: Retraso mental, macrocefalia, hipotonía congénita, estreñimiento crónico, facies característica , epilepsia y sordera.
  • 123.
    CLINICA: Formas sindrómicas B.Enfermedades Metabólicas  Hiperglicinemia no cetósica, causada por un defecto de actividad del sistema de degradación de la glicina. Existen dos formas: 1.- Neonatal: Tras un periodo de normalidad de dos o tres días aparece rechazo del alimento, vómitos, debilidad muscular, convulsiones, apneas, letárgia y coma. Los pacientes suelen fallecer en los primeros días de vida y los que sobreviven presentan un importante compromiso neurológico. 2.- Forma de aparición tardía: Tras un periodo neonatal normal aparece un retraso del desarrollo o deficiencia mental.
  • 124.
    CLINICA: Formas sindrómicas C.Alteraciones cromosómicas Asociada a anomalías géneticas específicas (20%): • Trisomías 8, 13, 14, 15 y 18 • Síndromes de Aicardi • Síndrome de Apert • Síndrome de Shapiro • Síndrome orofaciodigital • Sindrome de la hendidura mediofacial
  • 125.
    Diagnostico •Sospecha ultrasonográfica despuésde las 20 semanas. • Aumento en el tamaño del atrio. • Cavum septum pellucidi ausente o anormal. • Búsqueda de los otros signos indirectos:  Dilatación de los cuernos posteriores de los ventrículos laterales (“gota de lágrima”).  Separación de los cuernos anteriores y cuerpos de los ventrículos laterales.  Dilatación y elevación del tercer ventrículo (quíste interhémisferico)
  • 128.
    Holoprosencefalia  La holoprosencefaliaes un trastorno del desarrollo cerebral originado por una formación defectuosa del prosencéfalo y una alteración de la inducción de las estructuras del cerebro anterior.  Clasifica: 1. Alobar 2. Semilobar 3. Lobar Nelson. Tratado de Pediatría (18.ª ed.) Kliegman RM, Behrman RE, Jenson HB, Stanton BF. Barcelona: Elsevier, 2008. 3.376 páginas. 2 volúmenes
  • 129.
    Alobar  Cerebro pequeñocon un solo ventrículo, sin división interhemisférica. a) El tálamo y el cuerpo estriado no están divididos b) Los tractos y bulbos olfatorios y el cuerpo calloso siempre están ausentes. Nelson. Tratado de Pediatría (18.ª ed.) Kliegman RM, Behrman RE, Jenson HB, Stanton BF. Barcelona: Elsevier, 2008. 3.376 páginas. 2 volúmenes
  • 130.
    Nelson. Tratado dePediatría (18.ª ed.) Kliegman RM, Behrman RE, Jenson HB, Stanton BF. Barcelona: Elsevier, 2008. 3.376 páginas. 2 volúmenes
  • 131.
    Semilobar  lóbulos cerebralesrudimentarios a) La cisura interhemisférica no esta completa pero puede estar presente en región posterior. b) Ausencia de bulbo y tractos olfatorios c) Cuerpo calloso no se distingue bien. Nelson. Tratado de Pediatría (18.ª ed.) Kliegman RM, Behrman RE, Jenson HB, Stanton BF. Barcelona: Elsevier, 2008. 3.376 páginas. 2 volúmenes
  • 132.
    Nelson. Tratado dePediatría (18.ª ed.) Kliegman RM, Behrman RE, Jenson HB, Stanton BF. Barcelona: Elsevier, 2008. 3.376 páginas. 2 volúmenes
  • 133.
    Lobar  Lóbulos bienformados y de tamaño normal a) Bulbo y tractos olfatorios hipoplásicos b) Cuerpo calloso ausente, hipoplásico o normal. c) Tálamos y cuerpo estriado no se separan por completo.  El extremo leve es la ausencia aislada de cuerpo calloso y la arrinencefalia (ausencia de tractos y bulbos olfatorios) Nelson. Tratado de Pediatría (18.ª ed.) Kliegman RM, Behrman RE, Jenson HB, Stanton BF. Barcelona: Elsevier, 2008. 3.376 páginas. 2 volúmenes
  • 134.
    Nelson. Tratado dePediatría (18.ª ed.) Kliegman RM, Behrman RE, Jenson HB, Stanton BF. Barcelona: Elsevier, 2008. 3.376 páginas. 2 volúmenes
  • 135.
    Características Faciales  Presenteen al menos 80% de los casos de HPS.  Predice las estructuras cerebrales en 80% de los casos: Nelson. Tratado de Pediatría (18.ª ed.) Kliegman RM, Behrman RE, Jenson HB, Stanton BF. Barcelona: Elsevier, 2008. 3.376 páginas. 2 volúmenes
  • 136.
    Alobar  Ciclopia: variantemas extrema, estructura ocular central única con arrinia y proboscis  Etmocefalia: ojos separados, hipotelorismo, arrinia y proboscis.  Cebocefalia: hipotelorismo con naríz con narina única en fondo ciego.  Hendidura media facial: hipotelorismo, naríz aplanada y hendidura media. Nelson. Tratado de Pediatría (18.ª ed.) Kliegman RM, Behrman RE, Jenson HB, Stanton BF. Barcelona: Elsevier, 2008. 3.376 páginas. 2 volúmenes
  • 137.
    Semilobar  Labio hendidobilateral  Puente nasal aplanado  Ausencia de septum nasal  Hendidura media facial  Hipotelorismo  Anoftalmia / Microftalmia Nelson. Tratado de Pediatría (18.ª ed.) Kliegman RM, Behrman RE, Jenson HB, Stanton BF. Barcelona: Elsevier, 2008. 3.376 páginas. 2 volúmenes
  • 138.
    Lobar  Labio hendidobilateral con premaxila  Hipotelorismo  Nariz aplanada  Coloboma de iris Nelson. Tratado de Pediatría (18.ª ed.) Kliegman RM, Behrman RE, Jenson HB, Stanton BF. Barcelona: Elsevier, 2008. 3.376 páginas. 2 volúmenes
  • 139.
    Supervivencia relacionado conlas facies:  Ciclopia,etmocefalia y cebocefalia 50% sobreviven 1 día.  Hendidura medio-facial, 50% sobreviven 4 a 5 meses.  Facies normal: 50% sobreviven 12 a 18 meses. Nelson. Tratado de Pediatría (18.ª ed.) Kliegman RM, Behrman RE, Jenson HB, Stanton BF. Barcelona: Elsevier, 2008. 3.376 páginas. 2 volúmenes
  • 140.
    Factores De Riesgo: Diabetes materna  Alcoholismo materno  Exposición prenatal a ácido retinoico e inhibidores de la síntesis de colesterol.  Genética + ambiente: “multi-hit model” Nelson. Tratado de Pediatría (18.ª ed.) Kliegman RM, Behrman RE, Jenson HB, Stanton BF. Barcelona: Elsevier, 2008. 3.376 páginas. 2 volúmenes
  • 141.
    Recurrencia  Examinar alos familiares 1. En búsqueda de anosmia o hiposmia, hipotelorismo, microcefalia o incisivo central único. 2. Interrogar historia familiar e talla baja y endocrinopatías  Casos no sindrómicos con patrón de herencia AD:  RR de 16 a 23% holoprosencefalia  RR para microformas 13%  RR total 35%  Casos esporádicos RR 6%. Nelson. Tratado de Pediatría (18.ª ed.) Kliegman RM, Behrman RE, Jenson HB, Stanton BF. Barcelona: Elsevier, 2008. 3.376 páginas. 2 volúmenes