ENDOCARDITIS INFECCIOSA Dra. Ma. Celina Preciado Limas  Jefe del Departamento de Cardiología Facultad de Medicina, UAG
Definición de Endocarditis:   Es la inflamación del  endocardio mural   o valvular  por procesos infecciosos (bacterias, virus, hongos, rickettsias).  Puede ser aguda, subaguda, crónica.
 
Formas de daño Endocárdico:   Endocardosis:   Verrugosidades  degenerativas  Endarteritis:   Afectación vascular en Coartación de la aorta, PCA  Endocarditis de Libman-Sacks:   En 50% de los pacientes con Lupus  Endocarditis marántica:   Vegetaciones neoplásicas.
 
Población de riesgo en Endocarditis   Diabetes mellitus, Insuficiencia renal, Hemodiálisis, Alcoholismo, Drogadicción.
Vías de Entrada en Endocarditis:   Procedimientos dentales (forma más común),  extracciones dentales, prótesis, puentes, frenos.  Riesgo alto en pacientes con pobre higiene dental (ancianos, o con inmunocompromiso, con policitemia o gingivitis por nifedipina o DFH)
Vías de Entrada en Endocarditis:   Respiratorio:  Broncoscopía, infecciones  Piel:  quemaduras y piodermias  Líneas venosas  centrales por más de  48 horas. Ictericia, uremia o bajo Tx. esteroide  Adicción a drogas  intravenosas
Vías de Entrada en Endocarditis: G-U:   Infecciones, catéteres, cistoscopía  G-O:   Aborto inducido G-I:   Cáncer de colon (ST Bovis),    endoscopía, biopsias,    infecciones de vesícula  M-E:   Fracturas
 
Fisiopatología de Endocarditis: La lesión característica es la  vegetación o verruga formada por  acumulación de fibrina, leucocitos,  plaquetas y  bacterias.
 
Aspectos generales de la Endocarditis:   Progresión de cardiopatía reumática  Incremento en la esperanza de vida, mayor número de ancianos  Mayor número de pacientes con cardiopatía congénita corregida
 
Aspectos generales de la Endocarditis:   Prótesis valvulares infectadas  Nuevos microrganismos (hongos, estafilococos,  grupo   HACEK)   Resistencia a antibióticos  Adicción a drogas intravenosas
 
Fisiopatología de la Endocarditis:   La Endocarditis ocurre cuando un jet de alta presión  (factores de Rodbard)  es dirigido hacia áreas de baja presión, lo que resulta en daño endotelial (defecto septal ventricular).
 
Lesiones predisponentes  más comunes:   Valvulopatía aórtica  (bivalva, reumática)  Valvulopatía mitral  (insuficiencia, estenosis, prolapso)  Coartación aórtica, CIV, PCA  Válvulas protésicas  Válvula nativa tricúspidea en adictos
 
Lesiones predisponentes  menos comunes:   Cardiomiopatía hipertrófica obstructiva  Válvulas nativas   Lesiones en “Jet”  Fístulas AV  Trombo mural post IAM
 
Lesiones predisponentes  excepcionalmente raras:   Comunicación interauricular  Estenosis valvular pulmonar  Conducto arterioso corregido
 
Etiología en Endocarditis:   Estreptococo viridans (alfa hemolítico):  aproximadamente en el 50%   Estreptococo fecalis (enterococo):  10%   Estafilococo dorado y epidermidis:   25%
 
Etiología en Endocarditis: Post cirugía cardiaca:   Estafilococo epidermidis, bacilo difteroide, estreptococo microaerofílico.
Agentes Infecciosos raros:   Grupo HACEK:   H emofilus,  A ctinobacilos,  C ardiobacterium,  E ikenella,  K ingella -requieren de un ambiente de CO2 al 10%-  Gramm Negativos, Anaerobios:   Listeria monocytogenes, Brucella abortus, legionella, Bacteroides  Clamidias:  psitacosis y tracoma
Otros agentes Infecciosos:   Hongos:  Cándida, Histoplasma y Aspergillus  Virus
Diagnóstico definitivo de Endocarditis:   A. Criterio Patológico :   (1) Demostración del microrganismo por  medio de cultivo:   (Vegetación o absceso embolizado)  (2) Lesiones Patológicas:   Vegetaciones o abscesos intracardiacos,  o examen histológico que revele  endocarditis
 
Diagnóstico definitivo de Endocarditis:   B.  Criterios Clínicos:  (1) Dos criterios mayores  (2) Un criterio mayor y 3 menores (3) Cinco criterios menores
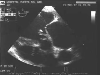
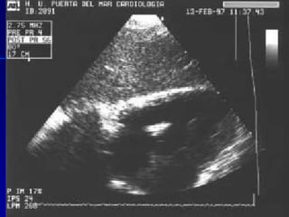
Evidencia de daño miocárdico:   A. ECO positivo para Endocarditis:   (1) Masa intracardiaca móvil,    (2) Abscesos    (3) Prótesis disfuncionante  B.  Insuficiencia valvular nueva
 
 
Diagnóstico de Endocarditis:   CRITERIOS MAYORES :  (1) Hemocultivos positivos para E.I.     A. Microorganismos típicos:   En dos cultivos separados   (1)  Estreptococo Viridans  (2)  Estafilococo Dorado      Enterococo
Diagnóstico de Endocarditis:   CRITERIOS MAYORES :  B. Cultivos persistentes positivos  para  agentes típicos causantes de E.I.  (1) Al menos 2 cultivos positivos  tomados con  >12 horas  (2) Tres o más cultivos positivos  tomados < 1 hora entre sí
 
Diagnóstico de Endocarditis: CRITERIOS MENORES: (1) Predisposición:   Cardiopatía, uso de drogas I.V.  (2) Fiebre:  temperatura > 38°C  (3) Fenómenos vasculares:        Embolo arterial, infarto pulmonar     séptico, aneurisma micótico,
 
Diagnóstico de Endocarditis: CRITERIOS MENORES:  (3) Fenómenos vasculares:   Nódulos de Osler, petequias, manchas de Roth, lesiones de  Janeway
 
Endocarditis Infecciosa Profilaxis:   1.-Sin Anestesia o con Anestesia Local:  a)  Amoxicilina  3 grs 1hr antes del  procedimiento  b)  Eritromicina   1.5 grs 1hr antes y  0.5 grs,  6 hrs después    c)  Clindamicina  600 mgs 1hr antes
Endocarditis Infecciosa  Profilaxis:   2.- Anestesia General: a)  Ampicilina o amoxicilina  1gr. IV más    0.5 gr. IV  b)  Vancomicina  1gr IV más Gentamicina    120 mg IV  c)  Clindamicina  300mg en 50 ml de      solución salina IV.
Tratamiento de Endocarditis según Agente Etiológico:   S. viridans:  Penicilina y Gentamicina  Enterococci:  Penicilina y Gentamicina  S. Epidermidis:  Penicilina o Flucloxacilina más ácido Fusídico  S. aureus:  Flucloxacilina, ácido Fusídico, Gentamicina  Gram(-):  Ampicilina + Gentamicina, Metronidazol
BIBLIOGRAFIA: SWANTON, Cardiology pocket book, Ed. Blackwell scientific publications.  Criterios para Endocarditis, Universidad de Duke, Carolina del Norte, E.U.

23 endocarditis infecciosa

  • 1.
    ENDOCARDITIS INFECCIOSA Dra.Ma. Celina Preciado Limas Jefe del Departamento de Cardiología Facultad de Medicina, UAG
  • 2.
    Definición de Endocarditis: Es la inflamación del endocardio mural o valvular por procesos infecciosos (bacterias, virus, hongos, rickettsias). Puede ser aguda, subaguda, crónica.
  • 3.
  • 4.
    Formas de dañoEndocárdico: Endocardosis: Verrugosidades degenerativas Endarteritis: Afectación vascular en Coartación de la aorta, PCA Endocarditis de Libman-Sacks: En 50% de los pacientes con Lupus Endocarditis marántica: Vegetaciones neoplásicas.
  • 5.
  • 6.
    Población de riesgoen Endocarditis Diabetes mellitus, Insuficiencia renal, Hemodiálisis, Alcoholismo, Drogadicción.
  • 7.
    Vías de Entradaen Endocarditis: Procedimientos dentales (forma más común), extracciones dentales, prótesis, puentes, frenos. Riesgo alto en pacientes con pobre higiene dental (ancianos, o con inmunocompromiso, con policitemia o gingivitis por nifedipina o DFH)
  • 8.
    Vías de Entradaen Endocarditis: Respiratorio: Broncoscopía, infecciones Piel: quemaduras y piodermias Líneas venosas centrales por más de 48 horas. Ictericia, uremia o bajo Tx. esteroide Adicción a drogas intravenosas
  • 9.
    Vías de Entradaen Endocarditis: G-U: Infecciones, catéteres, cistoscopía G-O: Aborto inducido G-I: Cáncer de colon (ST Bovis), endoscopía, biopsias, infecciones de vesícula M-E: Fracturas
  • 10.
  • 11.
    Fisiopatología de Endocarditis:La lesión característica es la vegetación o verruga formada por acumulación de fibrina, leucocitos, plaquetas y bacterias.
  • 12.
  • 13.
    Aspectos generales dela Endocarditis: Progresión de cardiopatía reumática Incremento en la esperanza de vida, mayor número de ancianos Mayor número de pacientes con cardiopatía congénita corregida
  • 14.
  • 15.
    Aspectos generales dela Endocarditis: Prótesis valvulares infectadas Nuevos microrganismos (hongos, estafilococos, grupo HACEK) Resistencia a antibióticos Adicción a drogas intravenosas
  • 16.
  • 17.
    Fisiopatología de laEndocarditis: La Endocarditis ocurre cuando un jet de alta presión (factores de Rodbard) es dirigido hacia áreas de baja presión, lo que resulta en daño endotelial (defecto septal ventricular).
  • 18.
  • 19.
    Lesiones predisponentes más comunes: Valvulopatía aórtica (bivalva, reumática) Valvulopatía mitral (insuficiencia, estenosis, prolapso) Coartación aórtica, CIV, PCA Válvulas protésicas Válvula nativa tricúspidea en adictos
  • 20.
  • 21.
    Lesiones predisponentes menos comunes: Cardiomiopatía hipertrófica obstructiva Válvulas nativas Lesiones en “Jet” Fístulas AV Trombo mural post IAM
  • 22.
  • 23.
    Lesiones predisponentes excepcionalmente raras: Comunicación interauricular Estenosis valvular pulmonar Conducto arterioso corregido
  • 24.
  • 25.
    Etiología en Endocarditis: Estreptococo viridans (alfa hemolítico): aproximadamente en el 50% Estreptococo fecalis (enterococo): 10% Estafilococo dorado y epidermidis: 25%
  • 26.
  • 27.
    Etiología en Endocarditis:Post cirugía cardiaca: Estafilococo epidermidis, bacilo difteroide, estreptococo microaerofílico.
  • 28.
    Agentes Infecciosos raros: Grupo HACEK: H emofilus, A ctinobacilos, C ardiobacterium, E ikenella, K ingella -requieren de un ambiente de CO2 al 10%- Gramm Negativos, Anaerobios: Listeria monocytogenes, Brucella abortus, legionella, Bacteroides Clamidias: psitacosis y tracoma
  • 29.
    Otros agentes Infecciosos: Hongos: Cándida, Histoplasma y Aspergillus Virus
  • 30.
    Diagnóstico definitivo deEndocarditis: A. Criterio Patológico : (1) Demostración del microrganismo por medio de cultivo: (Vegetación o absceso embolizado) (2) Lesiones Patológicas: Vegetaciones o abscesos intracardiacos, o examen histológico que revele endocarditis
  • 31.
  • 32.
    Diagnóstico definitivo deEndocarditis: B. Criterios Clínicos: (1) Dos criterios mayores (2) Un criterio mayor y 3 menores (3) Cinco criterios menores
  • 33.
    Evidencia de dañomiocárdico: A. ECO positivo para Endocarditis: (1) Masa intracardiaca móvil, (2) Abscesos (3) Prótesis disfuncionante B. Insuficiencia valvular nueva
  • 34.
  • 35.
  • 36.
    Diagnóstico de Endocarditis: CRITERIOS MAYORES : (1) Hemocultivos positivos para E.I. A. Microorganismos típicos: En dos cultivos separados (1) Estreptococo Viridans (2) Estafilococo Dorado Enterococo
  • 37.
    Diagnóstico de Endocarditis: CRITERIOS MAYORES : B. Cultivos persistentes positivos para agentes típicos causantes de E.I. (1) Al menos 2 cultivos positivos tomados con >12 horas (2) Tres o más cultivos positivos tomados < 1 hora entre sí
  • 38.
  • 39.
    Diagnóstico de Endocarditis:CRITERIOS MENORES: (1) Predisposición: Cardiopatía, uso de drogas I.V. (2) Fiebre: temperatura > 38°C (3) Fenómenos vasculares: Embolo arterial, infarto pulmonar séptico, aneurisma micótico,
  • 40.
  • 41.
    Diagnóstico de Endocarditis:CRITERIOS MENORES: (3) Fenómenos vasculares: Nódulos de Osler, petequias, manchas de Roth, lesiones de Janeway
  • 42.
  • 43.
    Endocarditis Infecciosa Profilaxis: 1.-Sin Anestesia o con Anestesia Local: a) Amoxicilina 3 grs 1hr antes del procedimiento b) Eritromicina 1.5 grs 1hr antes y 0.5 grs, 6 hrs después c) Clindamicina 600 mgs 1hr antes
  • 44.
    Endocarditis Infecciosa Profilaxis: 2.- Anestesia General: a) Ampicilina o amoxicilina 1gr. IV más 0.5 gr. IV b) Vancomicina 1gr IV más Gentamicina 120 mg IV c) Clindamicina 300mg en 50 ml de solución salina IV.
  • 45.
    Tratamiento de Endocarditissegún Agente Etiológico: S. viridans: Penicilina y Gentamicina Enterococci: Penicilina y Gentamicina S. Epidermidis: Penicilina o Flucloxacilina más ácido Fusídico S. aureus: Flucloxacilina, ácido Fusídico, Gentamicina Gram(-): Ampicilina + Gentamicina, Metronidazol
  • 46.
    BIBLIOGRAFIA: SWANTON, Cardiologypocket book, Ed. Blackwell scientific publications. Criterios para Endocarditis, Universidad de Duke, Carolina del Norte, E.U.