¿DOLOR ABDOMINAL AGUDO?:   La pielonefritis como una posibilidad diagnostica. Drs.  MOTTA RAMIREZ Gaspar Alberto ( [email_address] ) OVANDO ARELLANO Ernesto de Jesús  ( [email_address] )
Introducción: El dolor abdominal agudo es un síntoma que se presenta de manera común en los departamentos de urgencias y tiene múltiples causas.  Ahn SH, Mayo-Smith WW, Murphy BL et al. Radiology 2002; 225: 159-164
Introducción: La radiografía abdominal fue históricamente usada como la primera forma de exploración por Imagen pero se ha visto que su uso es limitado en la evaluación del síndrome doloroso abdominal. Ahn SH, Mayo-Smith WW, Murphy BL et al. Radiology 2002; 225: 159-164 Mackersie AB, Lane MJ, Claypool HA et al. Radiology 2005; 237: 114-122
Introducción: En los Servicios de Urgencia se ha intentado, con un abordaje rutinario de una serie de placas que incluyen a la tele de tórax y a la simple de abdomen de pie y decúbito, alcanzar una mayor precisión diagnostica sin lograrlo. Y con ellas solo se logra determinar la causa del dolor en un bajo porcentaje.  Ahn SH, Mayo-Smith WW, Murphy BL et al. Radiology 2002; 225: 159-164 Mackersie AB, Lane MJ, Claypool HA et al. Radiology 2005; 237: 114-122
Introducción: El amplio espectro de enfermedades que son manifestadas únicamente por dolor abdominal y este con su variada presentación continua confundiendo a los médicos de urgencias .  Mackersie AB, Lane MJ, Claypool HA et al. Radiology 2005; 237: 114-122
Introducción: La Tomografía Computada (TC) ha demostrado ser útil en pacientes con obstrucción intestinal, enfermedad intestinal inflamatoria, cálculos renales y apendicitis.  Ahn SH, Mayo-Smith WW, Murphy BL et al. Radiology 2002; 225: 159-164
Objetivo: Demostrar la utilidad de la TC multicorte multifases, en los casos de dolor abdominal de causa a determinar y en donde la presentación clínica insospechada de la afección inflamatoria renal fue demostrada por Imagen en nuestra población de pacientes.
Desarrollo del tema: Se presenta una serie de estudios de TC solicitados tanto en consulta externa como por el servicio de urgencias en los cuales el motivo de envió fue dolor abdominal, con múltiples sospechas clínicas,  observándose :
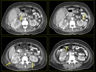
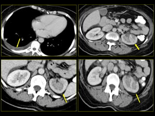
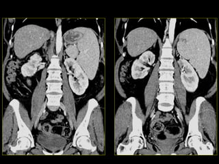
Caso # 1 ♀ , 5ta década de la vida. Acude a Urgencias por dolor abdominal, Diagnostico clínico de presunción de sospecha de enfermedad diverticular por lo que se indica la TC. Se realiza estudio con medio de contraste oral y endovenoso, mostrándose la fase venosa del estudio.
 
Hallazgos Caso #1: Derrame pleural basal derecho. Retardo en la concentración del medio de contraste en el riñón izquierdo.
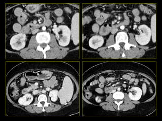
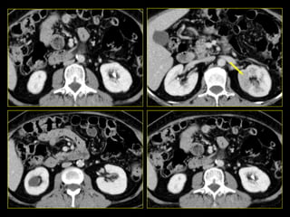
ESTUDIO DE CONTROL A LOS 2 MESES, POR PERSISTIR CON DOLOR ABDOMINAL.
 
Hallazgos estudio de control Caso #1: Aumento de tamaño, del riñón derecho. Múltiples áreas hipodensas cuneiformes que afectan a casi todo el parénquima renal.  Riñón izquierdo con retardo en concentración del medio de contraste.  El estudio muestra progresión de la enfermedad.
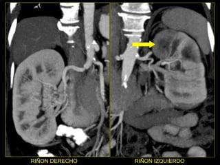
Caso # 2 ♀ , 6ta década de la vida  Estudio de TC para seguimiento y evaluación  de quistes renales.  Se realiza estudio con medio de contraste endovenoso, mostrándose la fase venosa, con cortes axiales y con reconstrucciones multiplanares (RMP) coronales.
 
 
Hallazgos Caso #2: Área hipodensa triangular en polo superior del riñón izquierdo, en relación con proceso inflamatorio lobar renal.
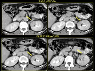
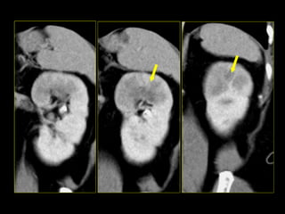
Caso # 3 ♀ , 5ta década de la vida.  Su síntoma principal fue dolor abdominal y por ello se le realizó un estudio de Urografía Excretora.  En él se sospecha de malformación arteriovenosa por lo que se envía a AngioTC. Se muestra estudio en fase simple, arterial, venosa y excretora, con cortes axiales y RMP coronales .
FASE SIMPLE FASE ARTERIAL
FASE VENOSA FASE ELIMINACION
RIÑON DERECHO RIÑON IZQUIERDO
Hallazgos Caso # 3: Estudio negativo para la sospecha clínica que motivó su realización. Y en el que se demuestra, en la fase simple sin anormalidades, y posterior  a la ministración del medio de contraste hay un área hipodensa triangular en polo superior del riñón izquierdo, la cual se mantiene durante las fases arterial y venosa del estudio.
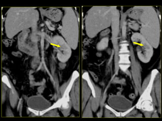
Caso # 4 ♀ , 5ta década de la vida  Presenta dolor abdominal difuso sin poder determinarse la causa clínicamente por lo que se solicita la TC Estudio con cortes axiales y coronales demostrándose  fases arterial y venosa.
FASE ARTERIAL
FASE VENOSA
FASE ARTERIAL FASE VENOSA
 
Hallazgos Caso #4: Riñón en herradura. Área cuneiforme de disminución de la atenuación en el istmo del riñón en herradura en relación con proceso inflamatorio focal que es exquisitamente demostrada en las RMP coronales.  Lesiones hipodensas, redondeadas en riñón derecho, las cuales no muestran aumento en el valor de atenuación con la ministración del medio de contraste en relación con quistes Bosniak I.
Caso # 5 ♀ ,  5ta década de la vida Antecedente de cirrosis hepática, hepatitis C y  Diabetes Mellitus. Ingresa con dolor abdominal por lo que se realiza estudio de TC en cortes axiales y coronales, fases arterial y venosa.
FASE ARTERIAL FASE VENOSA
 
Hallazgos Caso # 5 Área hipodensa en tercio medio del riñón izquierdo, sugestiva de lesión neoplásica a descartar área de inflamación focal.
SE INICIA ANTIBIOTICOTERAPIA Y SE INDICA ESTUDIO DE CONTROL A LOS 5  MESES.
 
 
Hallazgos estudio de control Caso # 5: La lesión ha desaparecido, lo que fue indicativo de que  se trataba de proceso inflamatorio focal resuelto posterior a manejo medico.
Caso # 6 ♀ , 47 años,  con dolor abdominal y síndrome febril,  Se envía a TC para determinar causa de dolor.  Estudio en fase simple, cortes axiales y reconstrucciones coronales.
 
 
Hallazgos Caso # 6: Absceso renal derecho.  Imagen con atenuación cálcica en pelvis renal izquierda, no obstructiva.
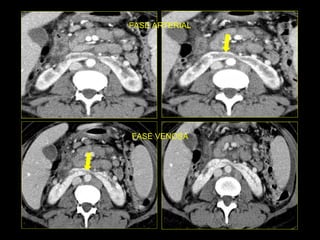
Caso # 7 ♀ , 45 años,  dolor abdominal difuso, sin poder determinarse la causa clínicamente por lo que se envía a TC para búsqueda de la probable causa de dolor. Estudio en fases arterial, venosa y excretora, mostrándose cortes axiales.
FASE ARTERIAL
FASE VENOSA
FASE EXCRETORA
Hallazgos Caso # 7: Hay un área triangular de disminución de la atenuación en la parte posterolateral del  riñón izquierdo, las cuales se demuestran en fases contrastadas, y en fase excretora muestran persistencia del medio de contraste, en relación con proceso inflamatorio focal.
Caso # 8 ♀  con dolor abdominal inespecífico  Se envía a TC para su estudio. Se muestran cortes axiales en fase simple, arterial, venosa y excretora.
FASE SIMPLE FASE ARTERIAL FASE VENOSA FASE EXCRECION
Hallazgos Caso # 8: Área hipodensa en polo superior del riñón izquierdo.  Dada su apariencia y sus contornos que eran bien delimitados se sugirió la posibilidad de que se tratase de área de infarto renal. Es en ese momento en el que el médico tratante aporta el dato clínico que la paciente tenia fibrilación auricular reforzando la posibilidad de infarto renal.
Caso # 9 ♀ , 35 años, con sospecha de proceso apendicular retrocecal por lo que se solicitó TC abdominal. Se realiza estudio en cortes axiales, se muestra la fase arterial, venosa y excretora.
FASE VENOSA FASE EXCRETORA FASE ARTERIAL
Hallazgos Caso # 9: Hay áreas hipodensas en el polo superior del riñón derecho, de aspecto triangular, las cuales se hacen evidentes en las diferentes fases del estudio, están en relación con proceso inflamatorio focal del riñón.
Caso # 10 ♀ , 30 años,  con dolor abdominal, sin poder determinarse la causa clínicamente por lo que se envía para realización de TC. Estudio con cortes axiales con contraste oral y endovenoso, se muestra la fase simple, arterial, venosa y excretora.
FASE SIMPLE FASE ARTERIAL FASE VENOSA FASE EXCRECION
Hallazgos Caso # 10: Área hipodensa, triangular localizada en el polo inferior renal izquierdo, y que se hace evidente después de la ministración del medio de contraste. El área se mantiene en todas las fases, en relación a proceso inflamatorio focal.
Comentarios: Aunque el cuadro clínico en los servicios de urgencias puede llegar a ser inespecífico, el uso de la TC nos permite  establecer un diagnóstico especifico,  En esta serie de estudios en  ninguno  de ellos se sospechó clínicamente la afección inflamatoria renal.
Comentarios: El hallazgo de TC de  pielonefritis condicionó que  posteriormente con una orientación clínica dirigida y estudios como examen general de orina y urocultivo se confirmara tal diagnóstico.
Comentarios: El apoyo de Imagen en el establecimiento diagnóstico de pielonefritis aguda permite establecer un tratamiento temprano y adecuado evitando así el daño renal irreversible con secuelas de hipertensión y falla renal crónica.
Comentarios: En la actualidad, hay cuatro métodos de imagen que son usados para evaluar la patología renal: Medicina Nuclear. Tomografía computada (TC) Ultrasonido (US) Resonancia Magnética (RM) Majd M, Nussbaum AR, Markle BM et al. Radiology 2001;218:101-108.
Comentarios: En esta serie de pacientes la principal presentación de patología renal fueron  áreas de atenuación hipodensas  al compararse con el resto del parénquima renal y ello fue mucho mas evidente posterior al contraste IV. También se observo aumento de tamaño del riñón afectado, nefrograma estriado y persistencia del medio de contraste en fases tardías.
Comentarios: El US y la RM no utilizan radiación ionizante y permiten valorar el espacio perinéfrico. El US es poco sensible e inespecífico, y la RM no es un estudio de rutina por su alto costo.  La  Medicina Nuclear Renal tiene alta sensibilidad y especificidad y su uso no es tan accesible ya que se  necesita del radio fármaco. La TC es expedita, requiere de la ministración de medio de contraste y dada su disponibilidad es el método de elección. Majd M, Nussbaum AR, Markle BM et al. Radiology 2001;218:101-108.
Comentarios: La TC  no  está indicada rutinariamente para los  casos de infección renal no complicada . Es útil para establecer el diagnóstico en casos equívocos, para evaluar a pacientes con alto riesgo y para determinar la extensión de la enfermedad.   Kawashima A, Sandler CM, Goldman SM et al. RadioGraphics 1997;17:851-866
Comentarios: La TC es útil desde la fase simple, ya que nos permite demostrar cálculos, infecciones formadoras de gas, hemorragia y  calcificaciones del parénquima renal. Insistiendo  el que la  TC con medio de contraste es crucial  para el diagnóstico de enfermedad inflamatoria renal.   Kawashima A, Sandler CM, Goldman SM et al. RadioGraphics 1997;17:851-866
Comentarios: El nefrograma urográfico es un importante indicador de enfermedad renal funcional y estructural subyacente.  Tanto las anormalidades nefrográficas cuantitativas y cualitativas son bien demostradas por TC, incluyendo la ausencia global o segmentaria o persistencia del nefrograma, progresión temporal disminuida (lenta), patrón estriado y patrón en anillo.   Saunders HS, Dyer RB, Shifrin RY et al. Radiographics 1995;15:1069-1085
Comentarios: El nefrograma estriado puede ser unilateral o bilateral y son causados por obstrucción ureteral, contusión, trombosis de la vena renal, obstrucción tubular, hipotensión, enfermedad multiquística autosómica recesiva y  pielonefritis aguda. Es por eso que siempre una cuidadosa evaluación del nefrograma en TC debe ser una parte integral en la evaluación de la TC abdominal.  Saunders HS, Dyer RB, Shifrin RY et al. Radiographics 1995;15:1069-1085
 
Conclusiones: La TC multicorte multifásica (simple, arterial, venosa y excretora) es indispensable en el estudio de la enfermedad renal. Se debe insistir en el uso de medio de contraste en la TC para así lograr una adecuada caracterización de la patología renal debiendo realizar una cuidadosa evaluación del nefrograma en TC.
Conclusiones: La TC multicorte multifases es una herramienta útil y accesible para el estudio de pacientes con dolor abdominal.  Se debe de considerar como posibilidad diagnóstica a la  pielonefritis  en casos de dolor abdominal inespecífico.
Bibliografía:  Ahn SH, Mayo-Smith WW, Murphy BL et al. Radiology 2002; 225: 159-164 Mackersie AB, Lane MJ, Claypool HA et al. Radiology 2005; 237: 114-122 Majd M, Nussbaum AR, Markle BM et al. Radiology 2001;218:101-108. Kawashima A, Sandler CM, Goldman SM et al. RadioGraphics 1997;17:851-866 Saunders HS, Dyer RB, Shifrin RY et al. Radiographics 1995;15:1069-1085
El presente trabajo ha sido publicado y esta accesible a traves de portal de la SMRI en el s itio web de la Revista Anales de Radiologia: Motta Ramirez GA y Ovando Arellano E.  ¿DOLOR ABDOMINAL AGUDO?: La pielonefritis como una posibilidad diagnostica.  Anales de Radiologia Mexico 2006;3:221-229.

DOLOR ABDOMINAL AGUDO: Pielonefritis aguda

  • 1.
    ¿DOLOR ABDOMINAL AGUDO?: La pielonefritis como una posibilidad diagnostica. Drs. MOTTA RAMIREZ Gaspar Alberto ( [email_address] ) OVANDO ARELLANO Ernesto de Jesús ( [email_address] )
  • 2.
    Introducción: El dolorabdominal agudo es un síntoma que se presenta de manera común en los departamentos de urgencias y tiene múltiples causas. Ahn SH, Mayo-Smith WW, Murphy BL et al. Radiology 2002; 225: 159-164
  • 3.
    Introducción: La radiografíaabdominal fue históricamente usada como la primera forma de exploración por Imagen pero se ha visto que su uso es limitado en la evaluación del síndrome doloroso abdominal. Ahn SH, Mayo-Smith WW, Murphy BL et al. Radiology 2002; 225: 159-164 Mackersie AB, Lane MJ, Claypool HA et al. Radiology 2005; 237: 114-122
  • 4.
    Introducción: En losServicios de Urgencia se ha intentado, con un abordaje rutinario de una serie de placas que incluyen a la tele de tórax y a la simple de abdomen de pie y decúbito, alcanzar una mayor precisión diagnostica sin lograrlo. Y con ellas solo se logra determinar la causa del dolor en un bajo porcentaje. Ahn SH, Mayo-Smith WW, Murphy BL et al. Radiology 2002; 225: 159-164 Mackersie AB, Lane MJ, Claypool HA et al. Radiology 2005; 237: 114-122
  • 5.
    Introducción: El amplioespectro de enfermedades que son manifestadas únicamente por dolor abdominal y este con su variada presentación continua confundiendo a los médicos de urgencias . Mackersie AB, Lane MJ, Claypool HA et al. Radiology 2005; 237: 114-122
  • 6.
    Introducción: La TomografíaComputada (TC) ha demostrado ser útil en pacientes con obstrucción intestinal, enfermedad intestinal inflamatoria, cálculos renales y apendicitis. Ahn SH, Mayo-Smith WW, Murphy BL et al. Radiology 2002; 225: 159-164
  • 7.
    Objetivo: Demostrar lautilidad de la TC multicorte multifases, en los casos de dolor abdominal de causa a determinar y en donde la presentación clínica insospechada de la afección inflamatoria renal fue demostrada por Imagen en nuestra población de pacientes.
  • 8.
    Desarrollo del tema:Se presenta una serie de estudios de TC solicitados tanto en consulta externa como por el servicio de urgencias en los cuales el motivo de envió fue dolor abdominal, con múltiples sospechas clínicas, observándose :
  • 9.
    Caso # 1♀ , 5ta década de la vida. Acude a Urgencias por dolor abdominal, Diagnostico clínico de presunción de sospecha de enfermedad diverticular por lo que se indica la TC. Se realiza estudio con medio de contraste oral y endovenoso, mostrándose la fase venosa del estudio.
  • 10.
  • 11.
    Hallazgos Caso #1:Derrame pleural basal derecho. Retardo en la concentración del medio de contraste en el riñón izquierdo.
  • 12.
    ESTUDIO DE CONTROLA LOS 2 MESES, POR PERSISTIR CON DOLOR ABDOMINAL.
  • 13.
  • 14.
    Hallazgos estudio decontrol Caso #1: Aumento de tamaño, del riñón derecho. Múltiples áreas hipodensas cuneiformes que afectan a casi todo el parénquima renal. Riñón izquierdo con retardo en concentración del medio de contraste. El estudio muestra progresión de la enfermedad.
  • 15.
    Caso # 2♀ , 6ta década de la vida Estudio de TC para seguimiento y evaluación de quistes renales. Se realiza estudio con medio de contraste endovenoso, mostrándose la fase venosa, con cortes axiales y con reconstrucciones multiplanares (RMP) coronales.
  • 16.
  • 17.
  • 18.
    Hallazgos Caso #2:Área hipodensa triangular en polo superior del riñón izquierdo, en relación con proceso inflamatorio lobar renal.
  • 19.
    Caso # 3♀ , 5ta década de la vida. Su síntoma principal fue dolor abdominal y por ello se le realizó un estudio de Urografía Excretora. En él se sospecha de malformación arteriovenosa por lo que se envía a AngioTC. Se muestra estudio en fase simple, arterial, venosa y excretora, con cortes axiales y RMP coronales .
  • 20.
  • 21.
    FASE VENOSA FASEELIMINACION
  • 22.
  • 23.
    Hallazgos Caso #3: Estudio negativo para la sospecha clínica que motivó su realización. Y en el que se demuestra, en la fase simple sin anormalidades, y posterior a la ministración del medio de contraste hay un área hipodensa triangular en polo superior del riñón izquierdo, la cual se mantiene durante las fases arterial y venosa del estudio.
  • 24.
    Caso # 4♀ , 5ta década de la vida Presenta dolor abdominal difuso sin poder determinarse la causa clínicamente por lo que se solicita la TC Estudio con cortes axiales y coronales demostrándose fases arterial y venosa.
  • 25.
  • 26.
  • 27.
  • 28.
  • 29.
    Hallazgos Caso #4:Riñón en herradura. Área cuneiforme de disminución de la atenuación en el istmo del riñón en herradura en relación con proceso inflamatorio focal que es exquisitamente demostrada en las RMP coronales. Lesiones hipodensas, redondeadas en riñón derecho, las cuales no muestran aumento en el valor de atenuación con la ministración del medio de contraste en relación con quistes Bosniak I.
  • 30.
    Caso # 5♀ , 5ta década de la vida Antecedente de cirrosis hepática, hepatitis C y Diabetes Mellitus. Ingresa con dolor abdominal por lo que se realiza estudio de TC en cortes axiales y coronales, fases arterial y venosa.
  • 31.
  • 32.
  • 33.
    Hallazgos Caso #5 Área hipodensa en tercio medio del riñón izquierdo, sugestiva de lesión neoplásica a descartar área de inflamación focal.
  • 34.
    SE INICIA ANTIBIOTICOTERAPIAY SE INDICA ESTUDIO DE CONTROL A LOS 5 MESES.
  • 35.
  • 36.
  • 37.
    Hallazgos estudio decontrol Caso # 5: La lesión ha desaparecido, lo que fue indicativo de que se trataba de proceso inflamatorio focal resuelto posterior a manejo medico.
  • 38.
    Caso # 6♀ , 47 años, con dolor abdominal y síndrome febril, Se envía a TC para determinar causa de dolor. Estudio en fase simple, cortes axiales y reconstrucciones coronales.
  • 39.
  • 40.
  • 41.
    Hallazgos Caso #6: Absceso renal derecho. Imagen con atenuación cálcica en pelvis renal izquierda, no obstructiva.
  • 42.
    Caso # 7♀ , 45 años, dolor abdominal difuso, sin poder determinarse la causa clínicamente por lo que se envía a TC para búsqueda de la probable causa de dolor. Estudio en fases arterial, venosa y excretora, mostrándose cortes axiales.
  • 43.
  • 44.
  • 45.
  • 46.
    Hallazgos Caso #7: Hay un área triangular de disminución de la atenuación en la parte posterolateral del riñón izquierdo, las cuales se demuestran en fases contrastadas, y en fase excretora muestran persistencia del medio de contraste, en relación con proceso inflamatorio focal.
  • 47.
    Caso # 8♀ con dolor abdominal inespecífico Se envía a TC para su estudio. Se muestran cortes axiales en fase simple, arterial, venosa y excretora.
  • 48.
    FASE SIMPLE FASEARTERIAL FASE VENOSA FASE EXCRECION
  • 49.
    Hallazgos Caso #8: Área hipodensa en polo superior del riñón izquierdo. Dada su apariencia y sus contornos que eran bien delimitados se sugirió la posibilidad de que se tratase de área de infarto renal. Es en ese momento en el que el médico tratante aporta el dato clínico que la paciente tenia fibrilación auricular reforzando la posibilidad de infarto renal.
  • 50.
    Caso # 9♀ , 35 años, con sospecha de proceso apendicular retrocecal por lo que se solicitó TC abdominal. Se realiza estudio en cortes axiales, se muestra la fase arterial, venosa y excretora.
  • 51.
    FASE VENOSA FASEEXCRETORA FASE ARTERIAL
  • 52.
    Hallazgos Caso #9: Hay áreas hipodensas en el polo superior del riñón derecho, de aspecto triangular, las cuales se hacen evidentes en las diferentes fases del estudio, están en relación con proceso inflamatorio focal del riñón.
  • 53.
    Caso # 10♀ , 30 años, con dolor abdominal, sin poder determinarse la causa clínicamente por lo que se envía para realización de TC. Estudio con cortes axiales con contraste oral y endovenoso, se muestra la fase simple, arterial, venosa y excretora.
  • 54.
    FASE SIMPLE FASEARTERIAL FASE VENOSA FASE EXCRECION
  • 55.
    Hallazgos Caso #10: Área hipodensa, triangular localizada en el polo inferior renal izquierdo, y que se hace evidente después de la ministración del medio de contraste. El área se mantiene en todas las fases, en relación a proceso inflamatorio focal.
  • 56.
    Comentarios: Aunque elcuadro clínico en los servicios de urgencias puede llegar a ser inespecífico, el uso de la TC nos permite establecer un diagnóstico especifico, En esta serie de estudios en ninguno de ellos se sospechó clínicamente la afección inflamatoria renal.
  • 57.
    Comentarios: El hallazgode TC de pielonefritis condicionó que posteriormente con una orientación clínica dirigida y estudios como examen general de orina y urocultivo se confirmara tal diagnóstico.
  • 58.
    Comentarios: El apoyode Imagen en el establecimiento diagnóstico de pielonefritis aguda permite establecer un tratamiento temprano y adecuado evitando así el daño renal irreversible con secuelas de hipertensión y falla renal crónica.
  • 59.
    Comentarios: En laactualidad, hay cuatro métodos de imagen que son usados para evaluar la patología renal: Medicina Nuclear. Tomografía computada (TC) Ultrasonido (US) Resonancia Magnética (RM) Majd M, Nussbaum AR, Markle BM et al. Radiology 2001;218:101-108.
  • 60.
    Comentarios: En estaserie de pacientes la principal presentación de patología renal fueron áreas de atenuación hipodensas al compararse con el resto del parénquima renal y ello fue mucho mas evidente posterior al contraste IV. También se observo aumento de tamaño del riñón afectado, nefrograma estriado y persistencia del medio de contraste en fases tardías.
  • 61.
    Comentarios: El USy la RM no utilizan radiación ionizante y permiten valorar el espacio perinéfrico. El US es poco sensible e inespecífico, y la RM no es un estudio de rutina por su alto costo. La Medicina Nuclear Renal tiene alta sensibilidad y especificidad y su uso no es tan accesible ya que se necesita del radio fármaco. La TC es expedita, requiere de la ministración de medio de contraste y dada su disponibilidad es el método de elección. Majd M, Nussbaum AR, Markle BM et al. Radiology 2001;218:101-108.
  • 62.
    Comentarios: La TC no está indicada rutinariamente para los casos de infección renal no complicada . Es útil para establecer el diagnóstico en casos equívocos, para evaluar a pacientes con alto riesgo y para determinar la extensión de la enfermedad. Kawashima A, Sandler CM, Goldman SM et al. RadioGraphics 1997;17:851-866
  • 63.
    Comentarios: La TCes útil desde la fase simple, ya que nos permite demostrar cálculos, infecciones formadoras de gas, hemorragia y calcificaciones del parénquima renal. Insistiendo el que la TC con medio de contraste es crucial para el diagnóstico de enfermedad inflamatoria renal. Kawashima A, Sandler CM, Goldman SM et al. RadioGraphics 1997;17:851-866
  • 64.
    Comentarios: El nefrogramaurográfico es un importante indicador de enfermedad renal funcional y estructural subyacente. Tanto las anormalidades nefrográficas cuantitativas y cualitativas son bien demostradas por TC, incluyendo la ausencia global o segmentaria o persistencia del nefrograma, progresión temporal disminuida (lenta), patrón estriado y patrón en anillo. Saunders HS, Dyer RB, Shifrin RY et al. Radiographics 1995;15:1069-1085
  • 65.
    Comentarios: El nefrogramaestriado puede ser unilateral o bilateral y son causados por obstrucción ureteral, contusión, trombosis de la vena renal, obstrucción tubular, hipotensión, enfermedad multiquística autosómica recesiva y pielonefritis aguda. Es por eso que siempre una cuidadosa evaluación del nefrograma en TC debe ser una parte integral en la evaluación de la TC abdominal. Saunders HS, Dyer RB, Shifrin RY et al. Radiographics 1995;15:1069-1085
  • 66.
  • 67.
    Conclusiones: La TCmulticorte multifásica (simple, arterial, venosa y excretora) es indispensable en el estudio de la enfermedad renal. Se debe insistir en el uso de medio de contraste en la TC para así lograr una adecuada caracterización de la patología renal debiendo realizar una cuidadosa evaluación del nefrograma en TC.
  • 68.
    Conclusiones: La TCmulticorte multifases es una herramienta útil y accesible para el estudio de pacientes con dolor abdominal. Se debe de considerar como posibilidad diagnóstica a la pielonefritis en casos de dolor abdominal inespecífico.
  • 69.
    Bibliografía: AhnSH, Mayo-Smith WW, Murphy BL et al. Radiology 2002; 225: 159-164 Mackersie AB, Lane MJ, Claypool HA et al. Radiology 2005; 237: 114-122 Majd M, Nussbaum AR, Markle BM et al. Radiology 2001;218:101-108. Kawashima A, Sandler CM, Goldman SM et al. RadioGraphics 1997;17:851-866 Saunders HS, Dyer RB, Shifrin RY et al. Radiographics 1995;15:1069-1085
  • 70.
    El presente trabajoha sido publicado y esta accesible a traves de portal de la SMRI en el s itio web de la Revista Anales de Radiologia: Motta Ramirez GA y Ovando Arellano E. ¿DOLOR ABDOMINAL AGUDO?: La pielonefritis como una posibilidad diagnostica. Anales de Radiologia Mexico 2006;3:221-229.