Dr. Eugenio Vargas Carbajal
CMP 11161 - RNE 4368
ABDOMEN
AGUDO
QUIRURGICO
PERITONEAL
ó INFLAMATORIO
OBSTRUCTIVO ó
BLOQUEO
INTESTINAL
VASCULAR ó
HEMORRAGICO
TRAUMATICO ó
MIXTO
Dr. Eugenio Vargas Carbajal
CMP 11161 - RNE 4368
Dr. Eugenio Vargas Carbajal
CMP 11161 - RNE 4368
 MEDICO GRIEGO NACIDO EN COS 400
AÑOS A.C.
 SE LE CONSIDERA COMO EL INICIADOR
DEL TRATAMIENTO QUIRÚRGICO DE LA O. I.
AL REALIZAR LA PRIMERA INTERVENCION
DESCRITA 350 A.C.
 EL PRACTICABA INSTAURACION DE
FISTULAS ENTEROCUTANEAS MEDIANTE
PUNCION PERCUTANEA DE HERNIAS
ESTRANGULADAS.
 SU TRATAMIENTO FUE RECONOCIDO EN
SU MOMENTO PERO SEGUIDO DE ALTA
MORTALIDAD.
Dr. Eugenio Vargas Carbajal
CMP 11161 - RNE 4368
FRANCO
1561
DESCRIBE LA PRIMERA
OPERACIÓN DE HERNIA
ESTRANGULADA
LITTRE
1710
DESCRIBE
COLOSTOMIA PARA
CARCINOMA
OBSTRUCTIVO
PILLORE
1776
DESCRIBE RESECCION
DEL CIEGO POR
PRIMERA VEZ
Dr. Eugenio Vargas Carbajal
CMP 11161 - RNE 4368
FREDERICK
1884
DESCRIBE BASES
FISIOPATOLOGICAS
DIAGNOSTICO Y
TRATAMIENTO DE O.I.
1920
INICIO DE
RADIOGRAFIAS
1930
INICIO DE USO DE
SONDAS
NASOGATRICAS Y NASO
YEYUNALES
1940
INICIO DE USO DE
ANTIBIOTICOTERAPIA
EN O.I.
Dr. Eugenio Vargas Carbajal
CMP 11161 - RNE 4368
DEFINICION
ES UN TIPO DE ABDOMEN QUIRURGICO QUE SE
CARACTERIZA PORQUE EXISTE DIFICULTAD EN
EL TRANSITO INTESTINAL EN SU PROGRESO
NORMAL o ABORAL HACIA EL ANO
TERMINO “ABORAL”: EXTREMO OPUESTO A LA BOCA
POR ESTE MOTIVO SE PRESENTAN
UNA SERIE DE SIGNOS Y SINTOMAS
QUE PUEDEN COMPROMETER LA
VIDA DEL PACIENTE SINO SE
ACTUA EN SU MOMENTO
OPORTUNO
Dr. Eugenio Vargas Carbajal
CMP 11161 - RNE 4368
ES UNA DE LAS PATOLOGIAS QUIRURGICAS BASTANTE
FRECUENTE EN CIRUGIA GENERAL DE EMERGENCIA
DESPUES DE LA APENDICITIS AGUDA
REPRESENTA DEL 3 AL 20 %
DE TODAS LAS ADMISIONES
AL SERVICIO DE CIRUGIA DE
EMERGENCIA
Dr. Eugenio Vargas Carbajal
CMP 11161 - RNE 4368
Dr. Eugenio Vargas Carbajal
CMP 11161 - RNE 4368
Dr. Eugenio Vargas Carbajal
CMP 11161 - RNE 4368
AFECTACION EXCLUSIVA
DEL TRANSITO
INTESTINAL
AFECTACION DEL TRANSITO
INTESTINAL Y COMPROMISO
DE LA CIRCULACION
SANGUINEA DEL SEGMENTO
INTESTINAL AFECTADO
Dr. Eugenio Vargas Carbajal
CMP 11161 - RNE 4368
EN LA OBSTRUCCION SIMPLE EL ASA SE ENCUENTRA
BLOQUEADA EN UN SOLO LUGAR.
EN LA OBSTRUCCION EN ASA CERRADA EL ASA ESTA
BLOQUEADA EN DOS LUGARES.
OBSTRUCCION SIMPLE OBSTRUCCION EN ASA CERRADA
Dr. Eugenio Vargas Carbajal
CMP 11161 - RNE 4368
OBSTRUCCION INTESTINALOBSTRUCCION INTESTINAL
RESOLUCION CON TRATAMIENTORESOLUCION CON TRATAMIENTO
MEDICOMEDICO
12 horas 48 horas
Dr. Eugenio Vargas Carbajal
CMP 11161 - RNE 4368
Dr. Eugenio Vargas Carbajal
CMP 11161 - RNE 4368
Dr. Eugenio Vargas Carbajal
CMP 11161 - RNE 4368
OI ALTA
OI MEDIA
OI BAJADr. Eugenio Vargas Carbajal
CMP 11161 - RNE 4368
Dr. Eugenio Vargas Carbajal
CMP 11161 - RNE 4368
EXISTE VERDADERO OBSTACULO EN LA LUZ INTESTINAL
OCASIONADO POR LESIONES PATOLOGICAS DEFINIDAS
QUE PUEDEN SER DE ORIGEN:
LUMINAL INTRAMURAL
COMPRESION
EXTRINSECA ó
DE ORGANOS
VECINOS
Dr. Eugenio Vargas Carbajal
CMP 11161 - RNE 4368
Dr. Eugenio Vargas Carbajal
CMP 11161 - RNE 4368
Dr. Eugenio Vargas Carbajal
CMP 11161 - RNE 4368
SINDROME DE
KÖNING
CLINICAMENTE SE DESCRIBE ESTE
SINDROME HACE VARIAS DECADAS Y
SE CARACTERIZA POR:
• CRISIS DE COLICOS EN GENERAL
POST PRANDIALES Y ALEJADAS
• ONDAS PERISTALTICAS VISIBLES
(SIGNO DE BOUVERET)
•RUIDOS HIDROAEREOS, CHAPOTEO A
LA PALPACION DE LAS ASAS
INTESTINALES
• DESPEÑOS DIARREICOS QUE
INDICAN EN GENERAL EL FRANQUEO
TRANSITORIO DEL OBSTACULO.
Dr. Eugenio Vargas Carbajal
CMP 11161 - RNE 4368
DEFINICION: ES UNA ALTERACION DEL TRANSITO
INTESTINAL DEBIDO A UNA AUSENCIA TOTAL
DEL PERISTALTISMO
DEBIDO A:
FACTORES NEURONALES
FACTORES HUMORALES
FACTORES NEUROLOGICOS
ADEMAS: EXISTE GRAN
DISTENSION DE ASAS
INTESTINALES, LO CUAL
AGREGA OTRO FACTOR
MAS A LA OBSTRUCCIÓN
Dr. Eugenio Vargas Carbajal
CMP 11161 - RNE 4368
Dr. Eugenio Vargas Carbajal
CMP 11161 - RNE 4368
Dr. Eugenio Vargas Carbajal
CMP 11161 - RNE 4368
Dr. Eugenio Vargas Carbajal
CMP 11161 - RNE 4368
SE COMPROMETE TODO EL INTESTINO
DELGADO
LIMITADA SOLO AL ESTOMAGO
REGION SEGMENTARIA DEL INTESTINO
DELGADO
COMPROMETE UNA ZONA DEL COLON
COMPROMETE TODO EL COLON
PUEDE SERGUIR DESPUES DE OP.
ABDOMINALES Y ANESTESIA GENERALDr. Eugenio Vargas Carbajal
CMP 11161 - RNE 4368
DENOMINADO: ILEO ADINAMICO
 SU SIGNO PRINCIPAL PARA EL DIAGNOSTICO ES LA
“DISTENSION ABDOMINAL SILENTE”
TODA INTERVENCION QUIRÚRGICA ABDOMINAL PROVOCA
PARALISIS ABDOMINAL POSTOPERATORIA CON UN TIEMPO
VARIABLE ENTRE 24 A 36 HORAS CUALQUIERA SER LA
INTENSIDAD DEL TRAUMA .
TAMBIEN PUEDE SER CAUSADO POR:
> TRASTORNOS HIDROELECTROLITICOS
> LESIONES ABDOMINALES
> TRAUMA ABDOMINAL
> INFECCIONES ABDOMINALES, NEUMONIA, SEPSIS
> USO EXAGERADO DE MEDICAMENTOS
> INFARTO AGUDO DE MIOCARDIO …ETC
Dr. Eugenio Vargas Carbajal
CMP 11161 - RNE 4368
 FORMA DE ILEO BASTANTE RARO DESCRITO POR SCHWART Y
STORER CONCOMITANTE QUE SE PRESENTA EN ALGUNAS
ENFERMEDADES.
 LA DIFICULTAD AL TRANSITO INTESTINAL ES PRODUCIDA POR
EL “ESPASMO INTESTINAL”
 EL ESPASMO ES PRODUCIDO POR FACTORES NEUROGENICOS,
POR IRRITACION NERVIOSA Y TRANSMITIDO POR VIA REFLEJA.
 RARA VEZ SE OBSERVA EN FORMA PURA.
 SE OBSERVA EN ALGUNOS CASOS COMO:
- INTOXICACION POR METALES PESADO: Ej. PLOMO
- INTOXICACION POR LECHE
- INTOXICACION POR HELADOS
- INTOXICACION POR PTOMANIAS
Dr. Eugenio Vargas Carbajal
CMP 11161 - RNE 4368
MEJOR CONOCIMIENTO DE
LA FISIOPATOLOGIA
 NUEVOS METODOS
DIAGNOSTICOS
 NUEVAS TECNICAS
QUIRURGICAS
- CONVENCIONAL
- LAPAROSCOPICA
 USO SONDAS DE INTUBACION
 EVOLUCION DE ELEMENTOS
AUXILIARES DE TODA
INTERVENCION QUIRUGICA:
- ANESTESIA
- TRANSFUSIONES
- USO DE COLOIDES etc.
 ANTIBIOTICOTERAPIA
DISMINUCION
DE LA
MORTALIDAD
ENTRE 6 – 8 %
DE LOS CASOS
Dr. Eugenio Vargas Carbajal
CMP 11161 - RNE 4368
Dr. Eugenio Vargas Carbajal
CMP 11161 - RNE 4368
INTESTINO DELGADO
SITIO DE
OBSTRUCCION EN EL
80 % DE CASOS
INTESTINO GRUESO
SITIO DE
OBSTRUCCION EN EL
20 % DE CASOS
DIFERENTES ESTUDIOS ESTADÍSTICOS DEMOSTRARON
QUE LA MAYORIA DE CASOS DE OBSTRUCCION
INTESTINAL SE LOCALIZA EN EL INTESTINO DELGADO
Dr. Eugenio Vargas Carbajal
CMP 11161 - RNE 4368
Dr. Eugenio Vargas Carbajal
CMP 11161 - RNE 4368
Dr. Eugenio Vargas Carbajal
CMP 11161 - RNE 4368
Dr. Eugenio Vargas Carbajal
CMP 11161 - RNE 4368
SON LA PRIMERA CAUSA DE
OBSTRUCCION INTESTINAL
EN EL INTESTINO DELGADO.
ESTAS PUEDES SER:
 CONGENITAS
 NEOPLASICAS
 INFLAMATORIAS
Dr. Eugenio Vargas Carbajal
CMP 11161 - RNE 4368
Dr. Eugenio Vargas Carbajal
CMP 11161 - RNE 4368
Dr. Eugenio Vargas Carbajal
CMP 11161 - RNE 4368
Dr. Eugenio Vargas Carbajal
CMP 11161 - RNE 4368
 EL 90 % DE LAS INTERVENCIONES QUIRÚRGICAS HACEN
BRIDAS Y ADHERENCIAS.
 SOLO UN 5 % DE ESTAS HACEN OBSTRUCCIÓN INTESTINAL.
 OTRO 5 % PRODUCE SÍNDROME ADHERENCIAL.
Dr. Eugenio Vargas Carbajal
CMP 11161 - RNE 4368
Dr. Eugenio Vargas Carbajal
CMP 11161 - RNE 4368
Dr. Eugenio Vargas Carbajal
CMP 11161 - RNE 4368
Dr. Eugenio Vargas Carbajal
CMP 11161 - RNE 4368
Dr. Eugenio Vargas Carbajal
CMP 11161 - RNE 4368
Dr. Eugenio Vargas Carbajal
CMP 11161 - RNE 4368
Dr. Eugenio Vargas Carbajal
CMP 11161 - RNE 4368
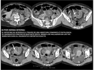
SEGUNDA CAUSA DE OBSTRUCCION DEL INTESTINO
DELGADO. SUCEDE EN HERNIAS COMPLICADAS
CON INCARCELACION o CON ESTRANGULACION.
Dr. Eugenio Vargas Carbajal
CMP 11161 - RNE 4368
Dr. Eugenio Vargas Carbajal
CMP 11161 - RNE 4368
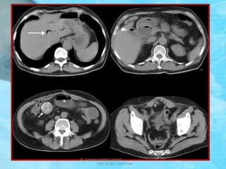
TAC de OBSTRUCCION INTESTINAL
POR HERNIA EXTERNA COMPLICADA
Dr. Eugenio Vargas Carbajal
CMP 11161 - RNE 4368
Dr. Eugenio Vargas Carbajal
CMP 11161 - RNE 4368
Dr. Eugenio Vargas Carbajal
CMP 11161 - RNE 4368
Dr. Eugenio Vargas Carbajal
CMP 11161 - RNE 4368
Dr. Eugenio Vargas Carbajal
CMP 11161 - RNE 4368
EL MECANISMO DE TORSION ó VOLVULO DE YEYUNO –
ILEON DA LUGAR A UN SINDROME DE OCLUSION
AGUDA CON PRODUCCION DE LESIONES VASCULARES,
LINFATICAS y NERVIOSAS; DEL TIPO IRREVERSIBLE
EN
EL INTESTINO Y EL MESENTERIO.
Dr. Eugenio Vargas Carbajal
CMP 11161 - RNE 4368
EL GRADO DE TORSION DEL ASA VARIA ENTRE LOS 90º
- 360º Y LAS LESIONES ESTARAN EN RELACION CON LA
IMPORTANCIA DE LA INTERRUPCION CIRCULATORIA
DEL VOLVULO Y EL TIEMPO TRASCURRIDO DESDE SU
INSTAURACION. (MAYOR DE 6 HORAS PROBABILIDAD
DE NECROSIS DEL ASA INTESTINAL)
Dr. Eugenio Vargas Carbajal
CMP 11161 - RNE 4368
SE PRODUCE LA ROTACION DE LAS ASAS
INTESTINALES ALREDEDOR DE UN PUNTO
FIJO COMO CONSECUENCIA DE ANOMALIAS
CONGENITAS ó ADHERENCIAS ADQUIRIDAS.
LA INICIACION DE LA
OBSTRUCCION ES
BRUSCA Y LA
ESTRANGULACION
SE DESARROLLA CON
SUMA RAPIDEZ
Dr. Eugenio Vargas Carbajal
CMP 11161 - RNE 4368
Dr. Eugenio Vargas Carbajal
CMP 11161 - RNE 4368
LA MAL RORACION INTESTINAL
CONSTITUYE UNA CALSA DE
VOLVULO EN LOS LACTANTES
Dr. Eugenio Vargas Carbajal
CMP 11161 - RNE 4368
Dr. Eugenio Vargas Carbajal
CMP 11161 - RNE 4368
DEFINICION: PENETRACION DE UN
SEGMENTO INTESTINAL EN OTRO
ADYACENTE
Dr. Eugenio Vargas Carbajal
CMP 11161 - RNE 4368
COMPONENTES DEL SEGMENTO
INVAGINADO
Dr. Eugenio Vargas Carbajal
CMP 11161 - RNE 4368
Dr. Eugenio Vargas Carbajal
CMP 11161 - RNE 4368
Dr. Eugenio Vargas Carbajal
CMP 11161 - RNE 4368
TAC: INVAGINACION – INTUSUSCEPCION
SIGNO DE “SALCHICHA”
Dr. Eugenio Vargas Carbajal
CMP 11161 - RNE 4368
Dr. Eugenio Vargas Carbajal
CMP 11161 - RNE 4368
TAC: INVAGINACION – INTUSUSCEPCION
SIGNO DEL “TIRO AL BLANCO”
Dr. Eugenio Vargas Carbajal
CMP 11161 - RNE 4368
RARA VEZ SE ENCUENTRA EN
ADULTOS PERO CUANDO SE
PRESENTA LA CAUSA ES UN
“POLIPO” ó ALGUNA LESION
INTRALUMINAL
PORCENTAJE DE
CASOS DE
INTUSUSCEPCION:
ADULTOS: 5 %
NIÑOS: 95 %
Dr. Eugenio Vargas Carbajal
CMP 11161 - RNE 4368
EN LOS NIÑOS NO REQUIERE
DE LESION ORGANICA ALGUNA.
SINDROME CARACTERISTICO:
 DOLOR COLICO
 SANGRE POR EL RECTO
(EVACUACIONES EN GROSELLA)
 MASA PALPABLE (SIGNO DE
MORCILLA)
Dr. Eugenio Vargas Carbajal
CMP 11161 - RNE 4368
Dr. Eugenio Vargas Carbajal
CMP 11161 - RNE 4368
HERNIA DEL FORAMEN
DE WINSLOW
Dr. Eugenio Vargas Carbajal
CMP 11161 - RNE 4368
Dr. Eugenio Vargas Carbajal
CMP 11161 - RNE 4368
HERNIA DE LA
FOSITA CECAL
Dr. Eugenio Vargas Carbajal
CMP 11161 - RNE 4368
HERNIA TRAVES DE
ORIFICIOS
CONGENITOS DEL
EPIPLON MAYOR
Dr. Eugenio Vargas Carbajal
CMP 11161 - RNE 4368
HERNIA INTERNA
FOSITA DE TREITZ
Dr. Eugenio Vargas Carbajal
CMP 11161 - RNE 4368
Dr. Eugenio Vargas Carbajal
CMP 11161 - RNE 4368
Dr. Eugenio Vargas Carbajal
CMP 11161 - RNE 4368
Dr. Eugenio Vargas Carbajal
CMP 11161 - RNE 4368
VARIEDAD GRAVE DE OBSTRUCCION
ú OCLUSION POR OBTURACION,
PROVOCADAS POR LA PROGRESIÓN
EN LA LUZ INTESTINAL DE UN
CALCULO BILIAR
Dr. Eugenio Vargas Carbajal
CMP 11161 - RNE 4368
Dr. Eugenio Vargas Carbajal
CMP 11161 - RNE 4368
Dr. Eugenio Vargas Carbajal
CMP 11161 - RNE 4368
Dr. Eugenio Vargas Carbajal
CMP 11161 - RNE 4368
TAC: CALCULO IMPACTADO
EN EL ILEON
Dr. Eugenio Vargas Carbajal
CMP 11161 - RNE 4368
ESTADISTICAS
SON FRECUENTES
EN PERSONAS DE
EDAD AVANZADA
PREDOMINIO SEXO
FEMENINO
APROX 6M x 1V
Dr. Eugenio Vargas Carbajal
CMP 11161 - RNE 4368
Dr. Eugenio Vargas Carbajal
CMP 11161 - RNE 4368
Dr. Eugenio Vargas Carbajal
CMP 11161 - RNE 4368
Dr. Eugenio Vargas Carbajal
CMP 11161 - RNE 4368
Dr. Eugenio Vargas Carbajal
CMP 11161 - RNE 4368
Dr. Eugenio Vargas Carbajal
CMP 11161 - RNE 4368
Dr. Eugenio Vargas Carbajal
CMP 11161 - RNE 4368
BURRIER
Dr. Eugenio Vargas Carbajal
CMP 11161 - RNE 4368
ASCARIS LUMBRICOIDES
Dr. Eugenio Vargas Carbajal
CMP 11161 - RNE 4368
Dr. Eugenio Vargas Carbajal
CMP 11161 - RNE 4368
Dr. Eugenio Vargas Carbajal
CMP 11161 - RNE 4368
TAC: TBC ILEO CECAL
(ENGROSAMIENTO DE LA PARED DEL
ILEO DISTAL y CIEGO – ADENOPATIAS)
Dr. Eugenio Vargas Carbajal
CMP 11161 - RNE 4368
ENFERMEDAD DE CROHN
SE LE CONOCE CON EL NOMBRE DE ILEITIS REGIONAL. ES UN
PROCESO INESPECIFICO DE ETIOLOGIA DESCONOCIDA.
SE UBICA PREFERENTEMENTE EN LA PORCION TEMINAL DEL
INTESTINO DELGADO.
Dr. Eugenio Vargas Carbajal
CMP 11161 - RNE 4368
 SE PRESENTA EN SUJETOS JOVENES.
 SIGUE SU EVOLUCION EN TRES ETAPAS:
AGUDA – SUB AGUDA - CRONICA
ETAPA AGUDA
LOS SIGNOS Y SINTOMAS QUE
SE PRESENTAN LA HACEN
CONFUNDIR CON
DIFERENTES PATOLOGIAS
ESPECIALMENTE CON LA
APENDICITIS AGUDA.
Dr. Eugenio Vargas Carbajal
CMP 11161 - RNE 4368
ETAPA SUBAGUDA
SE PRESENTA CON DOLOR
ABDOMINAL, ESTADO
DIARREICO, ANEMIA
HIPOCROMICA, PERDIDA DE
PESO, Y SE PALPA UN TUMOR
QUE CORRESPONDE A LA
PORCION ENFERMA DEL
INTESTINO
ESTA ETAPA
CURSA CON O.I.
Dr. Eugenio Vargas Carbajal
CMP 11161 - RNE 4368
TRANSITO INTESTINAL
SE VISUALIZA IMAGEN
SOSPECHOSA DE
ENFERMEDAD
INFLAMATORIA
INTESTINAL
Dr. Eugenio Vargas Carbajal
CMP 11161 - RNE 4368
TAC: ENFERMEDAD DE CROHN
COMPROMISO DE ILEON DISTAL
Dr. Eugenio Vargas Carbajal
CMP 11161 - RNE 4368
ETAPA CRONICA
CARACTERISTICAS:
- ES LA FASE DE FISTULIZACION.
- EXISTE TENDENCIA A LA FORMACION
DE TRAYECTOS FISTULOSOS VISCERO
VISCERALES, FISTULAS EXTERNAS
VISCERO PARIETALES EN LA PARED
ABDOMINAL ANTERIOR etc.
Dr. Eugenio Vargas Carbajal
CMP 11161 - RNE 4368
TUMORES
TUMORES BENIGNOS:
 ADENOMAS, POLIPOS Y
PAPILOMAS
 LIPOMAS
 LEIOMIOMAS
TUMORES MALIGNOS:
 LINFOSARCOMAS
 LEIOMIOSARCOMAS
 ADENOCARCINOMAS
Dr. Eugenio Vargas Carbajal
CMP 11161 - RNE 4368
Dr. Eugenio Vargas Carbajal
CMP 11161 - RNE 4368
TODOS ESTOS TUMORES
MENCIONADOS PUEDEN DAR LUGAR
A SINDROMES OBSTRUCTIVOS POR
DIFERENTES MECANISMOS COMO
OBSTRUCCION EN LA LUZ
INTESTINAL ,TORCION ,
INVAGINACION , COMPRESION
EXTRINSECA...ETC.
Dr. Eugenio Vargas Carbajal
CMP 11161 - RNE 4368
Dr. Eugenio Vargas Carbajal
CMP 11161 - RNE 4368
Dr. Eugenio Vargas Carbajal
CMP 11161 - RNE 4368
 ES LA IMPACTACION DE MATERIAL FECAL (98%
EN EL RECTO)
 SE PRESENTA EN PACIENTES POSTRADOS ó CON
PROBLEMAS NEUROLOGICOS.
 TAMBIEN PUEDE PRESENTAR SE PACIENTES CON
AGANGLIONOSIS COLONICA ó ENFERMEDAD DE
HIRSCH PRUNG
ÉXISTE DOLOR Y
PUJO PERMANENTE.
Dr. Eugenio Vargas Carbajal
CMP 11161 - RNE 4368
Dr. Eugenio Vargas Carbajal
CMP 11161 - RNE 4368
RARA VEZ CIRUGIA.
USO DE:
LAXANTES: LACTULOSA,
POLIETILENGLICOL,
ENEMAS etc. Dr. Eugenio Vargas Carbajal
CMP 11161 - RNE 4368
Dr. Eugenio Vargas Carbajal
CMP 11161 - RNE 4368
 Requiere que el Ciego y el Colon
Ascendente dispongan de Mesenterio
largo.
 Se le relaciona con factores mecánicos
o alteraciones de la movilidad.
 Las Adherencias inflamatorias o post
operatorias sirven como punto de
fijación alrededor del cual el ciego rota.
Dr. Eugenio Vargas Carbajal
CMP 11161 - RNE 4368
Dr. Eugenio Vargas Carbajal
CMP 11161 - RNE 4368
 FORMA FULMINANTE: DE INICIO BRUSCO, DOLOR
INTENSO, NAUSEAS, VOMITOS. ES UNA CATASTROFE
ABDOMINAL.
 FORMA OBSTRUCTIVA AGUDA: SE PRESENTA CON
TODAS LAS CARACTERISTICAS DE UNA O.I.
 FORMA RARA: SINTOMAS INTERMITENTES,
CRONICOS DE DOLOR, DE RESOLUCION
ESPONTANEA
Dr. Eugenio Vargas Carbajal
CMP 11161 - RNE 4368
Dr. Eugenio Vargas Carbajal
CMP 11161 - RNE 4368
CLASIFICACION
GRADO I: Vólvulo de menos 180 º, asintomático,
descubierto accidentalmente en el examen
radiológico y de evolución progresiva.
GRADO II: Vólvulo de mas de 180º, con obstrucción
parcial que se reduce espontáneamente ó con
maniobras endoscópicas.
GRADO III: Vólvulo de mas de 180 º, con obstrucción
completa en asa cerrada y alteración circulatoria
reversible, permaneciendo el asa viable.
Grado IV: Vólvulo de más de 180ª, con obstrucción
completa en asa cerrada y alteración circulatoria
irreversible.
Dr. Eugenio Vargas Carbajal
CMP 11161 - RNE 4368
1.- Es la torsión en este segmento alrededor del eje
longitudinal del Meso Sigma.
2.- Se le considera como una causa predisponente el MEGA
COLON ó DOLICO COLON, a lo que se agrega longitud
exagerada del Meso – Sigma y su gran movilidad asociada
a anomalías de rotación.
3.- Tiene gran influencia la MESOSIGMOIDITIS
RETRACTIL que acerca las bases del asa omega.
Dr. Eugenio Vargas Carbajal
CMP 11161 - RNE 4368
Dr. Eugenio Vargas Carbajal
CMP 11161 - RNE 4368
VOLVULO DE SIGMOIDES
Dr. Eugenio Vargas Carbajal
CMP 11161 - RNE 4368
Dr. Eugenio Vargas Carbajal
CMP 11161 - RNE 4368
Dr. Eugenio Vargas Carbajal
CMP 11161 - RNE 4368
Dr. Eugenio Vargas Carbajal
CMP 11161 - RNE 4368
Dr. Eugenio Vargas Carbajal
CMP 11161 - RNE 4368
MESENTERITIS
RETRACTIL
Dr. Eugenio Vargas Carbajal
CMP 11161 - RNE 4368
MESENTERITIS RETRACTIL
MASA CON DENSIDAD DE PARTES
BLANDAS DE ASPECTO INFILTRATIVO
Dr. Eugenio Vargas Carbajal
CMP 11161 - RNE 4368
Dr. Eugenio Vargas Carbajal
CMP 11161 - RNE 4368
CARCINOMA
Dr. Eugenio Vargas Carbajal
CMP 11161 - RNE 4368
1.- ES LA CAUSA MAS FRECUENTE DE OBSTRUCCION DE
COLON. ( 20 %).
2.- SIGNOS MAS FRECUENTES: CAMBIO EN EL HABITO
EVACUATORIO Y SANGRADO.
3.- LA OBSTRUCCION SE PRESENTA EN LOS
TUMORES DEL COLON IZQUIERDO Y EL RECTO.
4.- TRATAMIENTO: COLOSTOMIA HARTMANN - COLOSTOMIA
PROXIMAL EN ASA –HEMICOLECTOMIA + COLOSTOMIA
Dr. Eugenio Vargas Carbajal
CMP 11161 - RNE 4368
Dr. Eugenio Vargas Carbajal
CMP 11161 - RNE 4368
 Grados variables de Obstrucción
Colónica ocurren en el 50 % de los
pacientes.
 Causa inflamación, edema y
espasmo de la pared colónica.
 Obstrucción completa en el 10 %
 Se asocia con abscesos
pericolónicos.
 Cuadros repetidos de
Diverticulitis producen fibrosis –
estenosis.
Dr. Eugenio Vargas Carbajal
CMP 11161 - RNE 4368
Dr. Eugenio Vargas Carbajal
CMP 11161 - RNE 4368
Dr. Eugenio Vargas Carbajal
CMP 11161 - RNE 4368
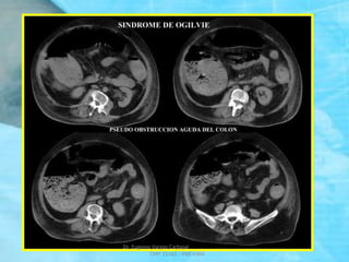
SINDROME DE OGILVIE
Pseudo - Obstrucción aguda del colon, con signos,
síntomas, y aspecto radiográfico de una
obstrucción del intestino grueso sin evidencia de
obstrucción en el colon distal.
La mayor parte de los casos se relaciona con
traumatismos, cirugía ortopédica, procedimientos
obstétricos, cirugía pelviana y abdominal o una
enfermedad neurológica.
Dr. Eugenio Vargas Carbajal
CMP 11161 - RNE 4368
Dr. Eugenio Vargas Carbajal
CMP 11161 - RNE 4368
Dr. Eugenio Vargas Carbajal
CMP 11161 - RNE 4368
Dr. Eugenio Vargas Carbajal
CMP 11161 - RNE 4368
Dr. Eugenio Vargas Carbajal
CMP 11161 - RNE 4368
Dr. Eugenio Vargas Carbajal
CMP 11161 - RNE 4368
Dr. Eugenio Vargas Carbajal
CMP 11161 - RNE 4368
Dr. Eugenio Vargas Carbajal
CMP 11161 - RNE 4368
Dr. Eugenio Vargas Carbajal
CMP 11161 - RNE 4368
LIQUIDO FECALOIDEO
PERISTALTISMO
NORMAL
Dr. Eugenio Vargas Carbajal
CMP 11161 - RNE 4368
ATELECTASIA
ARRITMIA
CARDIACA
LA DISTENSION
ABDOMINAL PUEDE
PRODUCIR:
Dr. Eugenio Vargas Carbajal
CMP 11161 - RNE 4368
RETORNO
VENOSO
LA DISTENSION
ABDOMINAL PUEDE
PRODUCIR:
Dr. Eugenio Vargas Carbajal
CMP 11161 - RNE 4368
Dr. Eugenio Vargas Carbajal
CMP 11161 - RNE 4368
OBSTRUCCION
INTESTINAL
ALTA MEDIA BAJA
VOMITOS PRECOZ + ó + TARDIOS
DISTENSION TARDIA + ó – PRECOZ
VOMITOS Y DISTENSION + + + + + + +
DOLOR ABDOMINAL TODOS TODOS TODOS
FALTA DE ELIMINACION
DE FLATOS Y HECES
TODOS TODOS TODOS
Dr. Eugenio Vargas Carbajal
CMP 11161 - RNE 4368
  OCLUSION DE INTESTINO DELGADO OCLUSION DE INTESTINO GRUESO
INICIO SUBITO LENTO
DOLOR COLICO INTENSO - EN EPIGASTRIO Y SOPORTABLE - EN HEMIABDOMEN
  ZONA UMBILICAL INFERIOR
VOMITOS PRECOCES - FRECUENTES - INEXISTENTES ó MUY ESCASOS
  ABUNDANTES  
FALTA HECES PUEDE HABER INICIALMENTE NO HAY
Y FLATOS    
DISTENSION NO HAY - PRESENCIA TARDIA PRECOZ Y PERIFERICA
ABDOMINAL    
ESTADO SE DETERIORA RAPIDAMENTE DETERIORO TARDIO
GENERAL    
Rx ABDOMEN ASAS DISTENDIDAS NUMEROSAS ASAS DISTENDIDAS
ENEMA OPACO COLON NO DISTENDIDO DE CALIBRE SE LOCALIZA EL OBSTACULO Y SU
  CONSTANTE - NO HAY OBSTACULO NATURALEZA
Dr. Eugenio Vargas Carbajal
CMP 11161 - RNE 4368
TACTO RECTAL
Dr. Eugenio Vargas Carbajal
CMP 11161 - RNE 4368
Dr. Eugenio Vargas Carbajal
CMP 11161 - RNE 4368
 GRUPO SANGUINEO – Rh
 HEMOGRAMA: DESVIACION IZQUIERDA
 HEMATOCRITO: ELEVADO
 EXAMEN DE ORINA COMPLETO:
> DENSIDAD AUMENTADA
> OLIGURIA
> CILINDROS GRANULOSOS – HIALINOS
 UREA: AUMENTADA
 CREATININA: AUMENTADA
 RADIOGRAFIA SIMPLE DE ABDOMEN
 TAC - RMN
Dr. Eugenio Vargas Carbajal
CMP 11161 - RNE 4368
RADIOGRAFIA SIMPLE DE ABDOMEN
DE PIE Y DECUBITO
 Mejor valor diagnóstico.
 Se debe tomar en posición DE PIE
y DECUBITO, incluir diafragma
y pelvis.
 Rx. de PIE: NHA.
 Rx. de DECUBITO:
Gas Intraintestinal
ASAS YEYUNALES:
SIGNO
“PILA DE MONEDAS”
Dr. Eugenio Vargas Carbajal
CMP 11161 - RNE 4368
IMAGEN DE
“COLLAR DE CUENTAS” ó
“SIGNO DEL ROSARIO”
( PRE – OBSTRUCCION )
NIVELES HIDROAEREOS
Dr. Eugenio Vargas Carbajal
CMP 11161 - RNE 4368
Dr. Eugenio Vargas Carbajal
CMP 11161 - RNE 4368
Dr. Eugenio Vargas Carbajal
CMP 11161 - RNE 4368
Dr. Eugenio Vargas Carbajal
CMP 11161 - RNE 4368
TRATAMIENTO:
MEDICO:
 RESTITUCION HIDROELECTROLITICA Y
CORRECIÓN ACIDO BASE (AGA y
ELECTROLITOS)
 CATETER VENOSO CENTRAL (PVC)
 DESCOMPRESION INTESTINAL CON S.N.G.
 SONDA FOLEY y CONTROL DE DIURESIS.
 ANTIBIOTICOTERAPIA
 SHOCK ES CONSECUENCIA DE UN MANEJO
CLINICO PRE OPERATORIO INSATIFECHO
 SONDA RECTAL en caso de OI BAJA
QUIRURGICO
SEGÚN LA ETIOLOGIA QUE
PRODUJO LA O.I.
Dr. Eugenio Vargas Carbajal
CMP 11161 - RNE 4368
SONDA NASOGASTRICA
(LEVINE)
PARA EL CALIBRE DE LAS SONDAS SE
USA LA ESCALA FRANCESA ( F= FRENCH)
UNA UNIDAD EQUIVALE A 0.33 mm
Ej. SONDA DE 18 F = 6 mm DE DIAMETRO
Dr. Eugenio Vargas Carbajal
CMP 11161 - RNE 4368
Dr. Eugenio Vargas Carbajal
CMP 11161 - RNE 4368
TRATAMIENTO QUIRURGICO
•Es el tratamiento definitivo de la obstrucción
mecánica
•Principios: Aliviar obstrucción, descomprimir
intestino delgado, prevenir recurrencias
•Hernia incarcelada o estrangulada:
Hernioplastía con resección del órgano
comprometido
•Bridas y adherencias: Liberación total por
disección roma y cortante.
•Obstrucción endoluminal: Enterotomía para
remoción de causa
Dr. Eugenio Vargas Carbajal
CMP 11161 - RNE 4368
Dr. Eugenio Vargas Carbajal
CMP 11161 - RNE 4368
Dr. Eugenio Vargas Carbajal
CMP 11161 - RNE 4368
Dr. Eugenio Vargas Carbajal
CMP 11161 - RNE
4368
En el tratamiento quirúrgico de la
obstrucción de colon, la cirugía puede ser
más compleja y el cirujano puede
enfrentarse a diferentes alternativas
terapéuticas, en especial en los casos de
obstrucción de colon izquierdo. Debe tener
presente que en la mayoría de los enfermos
debe intervenir sobre un colon no preparado,
factor que en general contraindica una
anastomosis primaria luego de la resección
del segmento comprometido.
Dr. Eugenio Vargas Carbajal
CMP 11161 - RNE 4368
COLOSTOMIA
Una Colostomía es una 
abertura producida 
quirúrgicamente en el 
colon a través del 
abdomen. 
La Colostomía sirve para 
permitir que las heces 
fecales se desvíen de una 
parte enferma o dañada 
del colon 
La Colostomía carece de esfínter, por
lo que la persona no puede controlar
la evacuación de forma voluntaria,
lleva una bolsa desechable .
Dr. Eugenio Vargas Carbajal                            
     CMP 11161 - RNE 4368
Las Colostomías 
pueden ser 
temporales o 
permanentes.
Parte del colon
atraviese la pared
abdominal. La
nueva abertura en
el abdomen se
llama ESTOMA.
Dr. Eugenio Vargas Carbajal
CMP 11161 - RNE 4368
Dr. Eugenio Vargas Carbajal
CMP 11161 - RNE 4368
Dr. Eugenio Vargas Carbajal
CMP 11161 - RNE 4368
Dr. Eugenio Vargas Carbajal
CMP 11161 - RNE 4368
Dr. Eugenio Vargas Carbajal
CMP 11161 - RNE 4368
COLOSTOMÍA TIPO MIKULITZ
(CAÑON DE ESCOPETA)
Dr. Eugenio Vargas Carbajal
CMP 11161 - RNE 4368
COLOSTOMÍA DE HARTMANN
Dr. Eugenio Vargas Carbajal
CMP 11161 - RNE 4368
Dr. Eugenio Vargas Carbajal
CMP 11161 - RNE 4368

OBSTRUCCION INTESTINAL PARTE 1

  • 1.
    Dr. Eugenio VargasCarbajal CMP 11161 - RNE 4368
  • 2.
    ABDOMEN AGUDO QUIRURGICO PERITONEAL ó INFLAMATORIO OBSTRUCTIVO ó BLOQUEO INTESTINAL VASCULARó HEMORRAGICO TRAUMATICO ó MIXTO Dr. Eugenio Vargas Carbajal CMP 11161 - RNE 4368
  • 3.
    Dr. Eugenio VargasCarbajal CMP 11161 - RNE 4368
  • 4.
     MEDICO GRIEGONACIDO EN COS 400 AÑOS A.C.  SE LE CONSIDERA COMO EL INICIADOR DEL TRATAMIENTO QUIRÚRGICO DE LA O. I. AL REALIZAR LA PRIMERA INTERVENCION DESCRITA 350 A.C.  EL PRACTICABA INSTAURACION DE FISTULAS ENTEROCUTANEAS MEDIANTE PUNCION PERCUTANEA DE HERNIAS ESTRANGULADAS.  SU TRATAMIENTO FUE RECONOCIDO EN SU MOMENTO PERO SEGUIDO DE ALTA MORTALIDAD. Dr. Eugenio Vargas Carbajal CMP 11161 - RNE 4368
  • 5.
    FRANCO 1561 DESCRIBE LA PRIMERA OPERACIÓNDE HERNIA ESTRANGULADA LITTRE 1710 DESCRIBE COLOSTOMIA PARA CARCINOMA OBSTRUCTIVO PILLORE 1776 DESCRIBE RESECCION DEL CIEGO POR PRIMERA VEZ Dr. Eugenio Vargas Carbajal CMP 11161 - RNE 4368
  • 6.
    FREDERICK 1884 DESCRIBE BASES FISIOPATOLOGICAS DIAGNOSTICO Y TRATAMIENTODE O.I. 1920 INICIO DE RADIOGRAFIAS 1930 INICIO DE USO DE SONDAS NASOGATRICAS Y NASO YEYUNALES 1940 INICIO DE USO DE ANTIBIOTICOTERAPIA EN O.I. Dr. Eugenio Vargas Carbajal CMP 11161 - RNE 4368
  • 7.
    DEFINICION ES UN TIPODE ABDOMEN QUIRURGICO QUE SE CARACTERIZA PORQUE EXISTE DIFICULTAD EN EL TRANSITO INTESTINAL EN SU PROGRESO NORMAL o ABORAL HACIA EL ANO TERMINO “ABORAL”: EXTREMO OPUESTO A LA BOCA POR ESTE MOTIVO SE PRESENTAN UNA SERIE DE SIGNOS Y SINTOMAS QUE PUEDEN COMPROMETER LA VIDA DEL PACIENTE SINO SE ACTUA EN SU MOMENTO OPORTUNO Dr. Eugenio Vargas Carbajal CMP 11161 - RNE 4368
  • 8.
    ES UNA DELAS PATOLOGIAS QUIRURGICAS BASTANTE FRECUENTE EN CIRUGIA GENERAL DE EMERGENCIA DESPUES DE LA APENDICITIS AGUDA REPRESENTA DEL 3 AL 20 % DE TODAS LAS ADMISIONES AL SERVICIO DE CIRUGIA DE EMERGENCIA Dr. Eugenio Vargas Carbajal CMP 11161 - RNE 4368
  • 9.
    Dr. Eugenio VargasCarbajal CMP 11161 - RNE 4368
  • 10.
    Dr. Eugenio VargasCarbajal CMP 11161 - RNE 4368
  • 11.
    AFECTACION EXCLUSIVA DEL TRANSITO INTESTINAL AFECTACIONDEL TRANSITO INTESTINAL Y COMPROMISO DE LA CIRCULACION SANGUINEA DEL SEGMENTO INTESTINAL AFECTADO Dr. Eugenio Vargas Carbajal CMP 11161 - RNE 4368
  • 12.
    EN LA OBSTRUCCIONSIMPLE EL ASA SE ENCUENTRA BLOQUEADA EN UN SOLO LUGAR. EN LA OBSTRUCCION EN ASA CERRADA EL ASA ESTA BLOQUEADA EN DOS LUGARES. OBSTRUCCION SIMPLE OBSTRUCCION EN ASA CERRADA Dr. Eugenio Vargas Carbajal CMP 11161 - RNE 4368
  • 13.
    OBSTRUCCION INTESTINALOBSTRUCCION INTESTINAL RESOLUCIONCON TRATAMIENTORESOLUCION CON TRATAMIENTO MEDICOMEDICO 12 horas 48 horas Dr. Eugenio Vargas Carbajal CMP 11161 - RNE 4368
  • 14.
    Dr. Eugenio VargasCarbajal CMP 11161 - RNE 4368
  • 15.
    Dr. Eugenio VargasCarbajal CMP 11161 - RNE 4368
  • 16.
    OI ALTA OI MEDIA OIBAJADr. Eugenio Vargas Carbajal CMP 11161 - RNE 4368
  • 17.
    Dr. Eugenio VargasCarbajal CMP 11161 - RNE 4368
  • 18.
    EXISTE VERDADERO OBSTACULOEN LA LUZ INTESTINAL OCASIONADO POR LESIONES PATOLOGICAS DEFINIDAS QUE PUEDEN SER DE ORIGEN: LUMINAL INTRAMURAL COMPRESION EXTRINSECA ó DE ORGANOS VECINOS Dr. Eugenio Vargas Carbajal CMP 11161 - RNE 4368
  • 19.
    Dr. Eugenio VargasCarbajal CMP 11161 - RNE 4368
  • 20.
    Dr. Eugenio VargasCarbajal CMP 11161 - RNE 4368
  • 21.
    SINDROME DE KÖNING CLINICAMENTE SEDESCRIBE ESTE SINDROME HACE VARIAS DECADAS Y SE CARACTERIZA POR: • CRISIS DE COLICOS EN GENERAL POST PRANDIALES Y ALEJADAS • ONDAS PERISTALTICAS VISIBLES (SIGNO DE BOUVERET) •RUIDOS HIDROAEREOS, CHAPOTEO A LA PALPACION DE LAS ASAS INTESTINALES • DESPEÑOS DIARREICOS QUE INDICAN EN GENERAL EL FRANQUEO TRANSITORIO DEL OBSTACULO. Dr. Eugenio Vargas Carbajal CMP 11161 - RNE 4368
  • 22.
    DEFINICION: ES UNAALTERACION DEL TRANSITO INTESTINAL DEBIDO A UNA AUSENCIA TOTAL DEL PERISTALTISMO DEBIDO A: FACTORES NEURONALES FACTORES HUMORALES FACTORES NEUROLOGICOS ADEMAS: EXISTE GRAN DISTENSION DE ASAS INTESTINALES, LO CUAL AGREGA OTRO FACTOR MAS A LA OBSTRUCCIÓN Dr. Eugenio Vargas Carbajal CMP 11161 - RNE 4368
  • 23.
    Dr. Eugenio VargasCarbajal CMP 11161 - RNE 4368
  • 24.
    Dr. Eugenio VargasCarbajal CMP 11161 - RNE 4368
  • 25.
    Dr. Eugenio VargasCarbajal CMP 11161 - RNE 4368
  • 26.
    SE COMPROMETE TODOEL INTESTINO DELGADO LIMITADA SOLO AL ESTOMAGO REGION SEGMENTARIA DEL INTESTINO DELGADO COMPROMETE UNA ZONA DEL COLON COMPROMETE TODO EL COLON PUEDE SERGUIR DESPUES DE OP. ABDOMINALES Y ANESTESIA GENERALDr. Eugenio Vargas Carbajal CMP 11161 - RNE 4368
  • 27.
    DENOMINADO: ILEO ADINAMICO SU SIGNO PRINCIPAL PARA EL DIAGNOSTICO ES LA “DISTENSION ABDOMINAL SILENTE” TODA INTERVENCION QUIRÚRGICA ABDOMINAL PROVOCA PARALISIS ABDOMINAL POSTOPERATORIA CON UN TIEMPO VARIABLE ENTRE 24 A 36 HORAS CUALQUIERA SER LA INTENSIDAD DEL TRAUMA . TAMBIEN PUEDE SER CAUSADO POR: > TRASTORNOS HIDROELECTROLITICOS > LESIONES ABDOMINALES > TRAUMA ABDOMINAL > INFECCIONES ABDOMINALES, NEUMONIA, SEPSIS > USO EXAGERADO DE MEDICAMENTOS > INFARTO AGUDO DE MIOCARDIO …ETC Dr. Eugenio Vargas Carbajal CMP 11161 - RNE 4368
  • 28.
     FORMA DEILEO BASTANTE RARO DESCRITO POR SCHWART Y STORER CONCOMITANTE QUE SE PRESENTA EN ALGUNAS ENFERMEDADES.  LA DIFICULTAD AL TRANSITO INTESTINAL ES PRODUCIDA POR EL “ESPASMO INTESTINAL”  EL ESPASMO ES PRODUCIDO POR FACTORES NEUROGENICOS, POR IRRITACION NERVIOSA Y TRANSMITIDO POR VIA REFLEJA.  RARA VEZ SE OBSERVA EN FORMA PURA.  SE OBSERVA EN ALGUNOS CASOS COMO: - INTOXICACION POR METALES PESADO: Ej. PLOMO - INTOXICACION POR LECHE - INTOXICACION POR HELADOS - INTOXICACION POR PTOMANIAS Dr. Eugenio Vargas Carbajal CMP 11161 - RNE 4368
  • 29.
    MEJOR CONOCIMIENTO DE LAFISIOPATOLOGIA  NUEVOS METODOS DIAGNOSTICOS  NUEVAS TECNICAS QUIRURGICAS - CONVENCIONAL - LAPAROSCOPICA  USO SONDAS DE INTUBACION  EVOLUCION DE ELEMENTOS AUXILIARES DE TODA INTERVENCION QUIRUGICA: - ANESTESIA - TRANSFUSIONES - USO DE COLOIDES etc.  ANTIBIOTICOTERAPIA DISMINUCION DE LA MORTALIDAD ENTRE 6 – 8 % DE LOS CASOS Dr. Eugenio Vargas Carbajal CMP 11161 - RNE 4368
  • 30.
    Dr. Eugenio VargasCarbajal CMP 11161 - RNE 4368
  • 31.
    INTESTINO DELGADO SITIO DE OBSTRUCCIONEN EL 80 % DE CASOS INTESTINO GRUESO SITIO DE OBSTRUCCION EN EL 20 % DE CASOS DIFERENTES ESTUDIOS ESTADÍSTICOS DEMOSTRARON QUE LA MAYORIA DE CASOS DE OBSTRUCCION INTESTINAL SE LOCALIZA EN EL INTESTINO DELGADO Dr. Eugenio Vargas Carbajal CMP 11161 - RNE 4368
  • 32.
    Dr. Eugenio VargasCarbajal CMP 11161 - RNE 4368
  • 33.
    Dr. Eugenio VargasCarbajal CMP 11161 - RNE 4368
  • 34.
    Dr. Eugenio VargasCarbajal CMP 11161 - RNE 4368
  • 35.
    SON LA PRIMERACAUSA DE OBSTRUCCION INTESTINAL EN EL INTESTINO DELGADO. ESTAS PUEDES SER:  CONGENITAS  NEOPLASICAS  INFLAMATORIAS Dr. Eugenio Vargas Carbajal CMP 11161 - RNE 4368
  • 36.
    Dr. Eugenio VargasCarbajal CMP 11161 - RNE 4368
  • 37.
    Dr. Eugenio VargasCarbajal CMP 11161 - RNE 4368
  • 38.
    Dr. Eugenio VargasCarbajal CMP 11161 - RNE 4368
  • 39.
     EL 90% DE LAS INTERVENCIONES QUIRÚRGICAS HACEN BRIDAS Y ADHERENCIAS.  SOLO UN 5 % DE ESTAS HACEN OBSTRUCCIÓN INTESTINAL.  OTRO 5 % PRODUCE SÍNDROME ADHERENCIAL. Dr. Eugenio Vargas Carbajal CMP 11161 - RNE 4368
  • 40.
    Dr. Eugenio VargasCarbajal CMP 11161 - RNE 4368
  • 41.
    Dr. Eugenio VargasCarbajal CMP 11161 - RNE 4368
  • 42.
    Dr. Eugenio VargasCarbajal CMP 11161 - RNE 4368
  • 43.
    Dr. Eugenio VargasCarbajal CMP 11161 - RNE 4368
  • 44.
    Dr. Eugenio VargasCarbajal CMP 11161 - RNE 4368
  • 45.
    Dr. Eugenio VargasCarbajal CMP 11161 - RNE 4368
  • 46.
    SEGUNDA CAUSA DEOBSTRUCCION DEL INTESTINO DELGADO. SUCEDE EN HERNIAS COMPLICADAS CON INCARCELACION o CON ESTRANGULACION. Dr. Eugenio Vargas Carbajal CMP 11161 - RNE 4368
  • 47.
    Dr. Eugenio VargasCarbajal CMP 11161 - RNE 4368
  • 48.
    TAC de OBSTRUCCIONINTESTINAL POR HERNIA EXTERNA COMPLICADA Dr. Eugenio Vargas Carbajal CMP 11161 - RNE 4368
  • 49.
    Dr. Eugenio VargasCarbajal CMP 11161 - RNE 4368
  • 50.
    Dr. Eugenio VargasCarbajal CMP 11161 - RNE 4368
  • 51.
    Dr. Eugenio VargasCarbajal CMP 11161 - RNE 4368
  • 52.
    Dr. Eugenio VargasCarbajal CMP 11161 - RNE 4368
  • 53.
    EL MECANISMO DETORSION ó VOLVULO DE YEYUNO – ILEON DA LUGAR A UN SINDROME DE OCLUSION AGUDA CON PRODUCCION DE LESIONES VASCULARES, LINFATICAS y NERVIOSAS; DEL TIPO IRREVERSIBLE EN EL INTESTINO Y EL MESENTERIO. Dr. Eugenio Vargas Carbajal CMP 11161 - RNE 4368
  • 54.
    EL GRADO DETORSION DEL ASA VARIA ENTRE LOS 90º - 360º Y LAS LESIONES ESTARAN EN RELACION CON LA IMPORTANCIA DE LA INTERRUPCION CIRCULATORIA DEL VOLVULO Y EL TIEMPO TRASCURRIDO DESDE SU INSTAURACION. (MAYOR DE 6 HORAS PROBABILIDAD DE NECROSIS DEL ASA INTESTINAL) Dr. Eugenio Vargas Carbajal CMP 11161 - RNE 4368
  • 55.
    SE PRODUCE LAROTACION DE LAS ASAS INTESTINALES ALREDEDOR DE UN PUNTO FIJO COMO CONSECUENCIA DE ANOMALIAS CONGENITAS ó ADHERENCIAS ADQUIRIDAS. LA INICIACION DE LA OBSTRUCCION ES BRUSCA Y LA ESTRANGULACION SE DESARROLLA CON SUMA RAPIDEZ Dr. Eugenio Vargas Carbajal CMP 11161 - RNE 4368
  • 56.
    Dr. Eugenio VargasCarbajal CMP 11161 - RNE 4368
  • 57.
    LA MAL RORACIONINTESTINAL CONSTITUYE UNA CALSA DE VOLVULO EN LOS LACTANTES Dr. Eugenio Vargas Carbajal CMP 11161 - RNE 4368
  • 58.
    Dr. Eugenio VargasCarbajal CMP 11161 - RNE 4368
  • 59.
    DEFINICION: PENETRACION DEUN SEGMENTO INTESTINAL EN OTRO ADYACENTE Dr. Eugenio Vargas Carbajal CMP 11161 - RNE 4368
  • 60.
    COMPONENTES DEL SEGMENTO INVAGINADO Dr.Eugenio Vargas Carbajal CMP 11161 - RNE 4368
  • 61.
    Dr. Eugenio VargasCarbajal CMP 11161 - RNE 4368
  • 62.
    Dr. Eugenio VargasCarbajal CMP 11161 - RNE 4368
  • 63.
    TAC: INVAGINACION –INTUSUSCEPCION SIGNO DE “SALCHICHA” Dr. Eugenio Vargas Carbajal CMP 11161 - RNE 4368
  • 64.
    Dr. Eugenio VargasCarbajal CMP 11161 - RNE 4368
  • 65.
    TAC: INVAGINACION –INTUSUSCEPCION SIGNO DEL “TIRO AL BLANCO” Dr. Eugenio Vargas Carbajal CMP 11161 - RNE 4368
  • 66.
    RARA VEZ SEENCUENTRA EN ADULTOS PERO CUANDO SE PRESENTA LA CAUSA ES UN “POLIPO” ó ALGUNA LESION INTRALUMINAL PORCENTAJE DE CASOS DE INTUSUSCEPCION: ADULTOS: 5 % NIÑOS: 95 % Dr. Eugenio Vargas Carbajal CMP 11161 - RNE 4368
  • 67.
    EN LOS NIÑOSNO REQUIERE DE LESION ORGANICA ALGUNA. SINDROME CARACTERISTICO:  DOLOR COLICO  SANGRE POR EL RECTO (EVACUACIONES EN GROSELLA)  MASA PALPABLE (SIGNO DE MORCILLA) Dr. Eugenio Vargas Carbajal CMP 11161 - RNE 4368
  • 68.
    Dr. Eugenio VargasCarbajal CMP 11161 - RNE 4368
  • 69.
    HERNIA DEL FORAMEN DEWINSLOW Dr. Eugenio Vargas Carbajal CMP 11161 - RNE 4368
  • 70.
    Dr. Eugenio VargasCarbajal CMP 11161 - RNE 4368
  • 71.
    HERNIA DE LA FOSITACECAL Dr. Eugenio Vargas Carbajal CMP 11161 - RNE 4368
  • 72.
    HERNIA TRAVES DE ORIFICIOS CONGENITOSDEL EPIPLON MAYOR Dr. Eugenio Vargas Carbajal CMP 11161 - RNE 4368
  • 73.
    HERNIA INTERNA FOSITA DETREITZ Dr. Eugenio Vargas Carbajal CMP 11161 - RNE 4368
  • 74.
    Dr. Eugenio VargasCarbajal CMP 11161 - RNE 4368
  • 75.
    Dr. Eugenio VargasCarbajal CMP 11161 - RNE 4368
  • 76.
    Dr. Eugenio VargasCarbajal CMP 11161 - RNE 4368
  • 77.
    VARIEDAD GRAVE DEOBSTRUCCION ú OCLUSION POR OBTURACION, PROVOCADAS POR LA PROGRESIÓN EN LA LUZ INTESTINAL DE UN CALCULO BILIAR Dr. Eugenio Vargas Carbajal CMP 11161 - RNE 4368
  • 78.
    Dr. Eugenio VargasCarbajal CMP 11161 - RNE 4368
  • 79.
    Dr. Eugenio VargasCarbajal CMP 11161 - RNE 4368
  • 80.
    Dr. Eugenio VargasCarbajal CMP 11161 - RNE 4368
  • 81.
    TAC: CALCULO IMPACTADO ENEL ILEON Dr. Eugenio Vargas Carbajal CMP 11161 - RNE 4368
  • 82.
    ESTADISTICAS SON FRECUENTES EN PERSONASDE EDAD AVANZADA PREDOMINIO SEXO FEMENINO APROX 6M x 1V Dr. Eugenio Vargas Carbajal CMP 11161 - RNE 4368
  • 83.
    Dr. Eugenio VargasCarbajal CMP 11161 - RNE 4368
  • 84.
    Dr. Eugenio VargasCarbajal CMP 11161 - RNE 4368
  • 85.
    Dr. Eugenio VargasCarbajal CMP 11161 - RNE 4368
  • 86.
    Dr. Eugenio VargasCarbajal CMP 11161 - RNE 4368
  • 87.
    Dr. Eugenio VargasCarbajal CMP 11161 - RNE 4368
  • 88.
    Dr. Eugenio VargasCarbajal CMP 11161 - RNE 4368
  • 89.
    BURRIER Dr. Eugenio VargasCarbajal CMP 11161 - RNE 4368
  • 90.
    ASCARIS LUMBRICOIDES Dr. EugenioVargas Carbajal CMP 11161 - RNE 4368
  • 91.
    Dr. Eugenio VargasCarbajal CMP 11161 - RNE 4368
  • 92.
    Dr. Eugenio VargasCarbajal CMP 11161 - RNE 4368
  • 93.
    TAC: TBC ILEOCECAL (ENGROSAMIENTO DE LA PARED DEL ILEO DISTAL y CIEGO – ADENOPATIAS) Dr. Eugenio Vargas Carbajal CMP 11161 - RNE 4368
  • 94.
    ENFERMEDAD DE CROHN SELE CONOCE CON EL NOMBRE DE ILEITIS REGIONAL. ES UN PROCESO INESPECIFICO DE ETIOLOGIA DESCONOCIDA. SE UBICA PREFERENTEMENTE EN LA PORCION TEMINAL DEL INTESTINO DELGADO. Dr. Eugenio Vargas Carbajal CMP 11161 - RNE 4368
  • 95.
     SE PRESENTAEN SUJETOS JOVENES.  SIGUE SU EVOLUCION EN TRES ETAPAS: AGUDA – SUB AGUDA - CRONICA ETAPA AGUDA LOS SIGNOS Y SINTOMAS QUE SE PRESENTAN LA HACEN CONFUNDIR CON DIFERENTES PATOLOGIAS ESPECIALMENTE CON LA APENDICITIS AGUDA. Dr. Eugenio Vargas Carbajal CMP 11161 - RNE 4368
  • 96.
    ETAPA SUBAGUDA SE PRESENTACON DOLOR ABDOMINAL, ESTADO DIARREICO, ANEMIA HIPOCROMICA, PERDIDA DE PESO, Y SE PALPA UN TUMOR QUE CORRESPONDE A LA PORCION ENFERMA DEL INTESTINO ESTA ETAPA CURSA CON O.I. Dr. Eugenio Vargas Carbajal CMP 11161 - RNE 4368
  • 97.
    TRANSITO INTESTINAL SE VISUALIZAIMAGEN SOSPECHOSA DE ENFERMEDAD INFLAMATORIA INTESTINAL Dr. Eugenio Vargas Carbajal CMP 11161 - RNE 4368
  • 98.
    TAC: ENFERMEDAD DECROHN COMPROMISO DE ILEON DISTAL Dr. Eugenio Vargas Carbajal CMP 11161 - RNE 4368
  • 99.
    ETAPA CRONICA CARACTERISTICAS: - ESLA FASE DE FISTULIZACION. - EXISTE TENDENCIA A LA FORMACION DE TRAYECTOS FISTULOSOS VISCERO VISCERALES, FISTULAS EXTERNAS VISCERO PARIETALES EN LA PARED ABDOMINAL ANTERIOR etc. Dr. Eugenio Vargas Carbajal CMP 11161 - RNE 4368
  • 100.
    TUMORES TUMORES BENIGNOS:  ADENOMAS,POLIPOS Y PAPILOMAS  LIPOMAS  LEIOMIOMAS TUMORES MALIGNOS:  LINFOSARCOMAS  LEIOMIOSARCOMAS  ADENOCARCINOMAS Dr. Eugenio Vargas Carbajal CMP 11161 - RNE 4368
  • 101.
    Dr. Eugenio VargasCarbajal CMP 11161 - RNE 4368
  • 102.
    TODOS ESTOS TUMORES MENCIONADOSPUEDEN DAR LUGAR A SINDROMES OBSTRUCTIVOS POR DIFERENTES MECANISMOS COMO OBSTRUCCION EN LA LUZ INTESTINAL ,TORCION , INVAGINACION , COMPRESION EXTRINSECA...ETC. Dr. Eugenio Vargas Carbajal CMP 11161 - RNE 4368
  • 103.
    Dr. Eugenio VargasCarbajal CMP 11161 - RNE 4368
  • 104.
    Dr. Eugenio VargasCarbajal CMP 11161 - RNE 4368
  • 105.
     ES LAIMPACTACION DE MATERIAL FECAL (98% EN EL RECTO)  SE PRESENTA EN PACIENTES POSTRADOS ó CON PROBLEMAS NEUROLOGICOS.  TAMBIEN PUEDE PRESENTAR SE PACIENTES CON AGANGLIONOSIS COLONICA ó ENFERMEDAD DE HIRSCH PRUNG ÉXISTE DOLOR Y PUJO PERMANENTE. Dr. Eugenio Vargas Carbajal CMP 11161 - RNE 4368
  • 106.
    Dr. Eugenio VargasCarbajal CMP 11161 - RNE 4368
  • 107.
    RARA VEZ CIRUGIA. USODE: LAXANTES: LACTULOSA, POLIETILENGLICOL, ENEMAS etc. Dr. Eugenio Vargas Carbajal CMP 11161 - RNE 4368
  • 108.
    Dr. Eugenio VargasCarbajal CMP 11161 - RNE 4368
  • 109.
     Requiere queel Ciego y el Colon Ascendente dispongan de Mesenterio largo.  Se le relaciona con factores mecánicos o alteraciones de la movilidad.  Las Adherencias inflamatorias o post operatorias sirven como punto de fijación alrededor del cual el ciego rota. Dr. Eugenio Vargas Carbajal CMP 11161 - RNE 4368
  • 110.
    Dr. Eugenio VargasCarbajal CMP 11161 - RNE 4368
  • 111.
     FORMA FULMINANTE:DE INICIO BRUSCO, DOLOR INTENSO, NAUSEAS, VOMITOS. ES UNA CATASTROFE ABDOMINAL.  FORMA OBSTRUCTIVA AGUDA: SE PRESENTA CON TODAS LAS CARACTERISTICAS DE UNA O.I.  FORMA RARA: SINTOMAS INTERMITENTES, CRONICOS DE DOLOR, DE RESOLUCION ESPONTANEA Dr. Eugenio Vargas Carbajal CMP 11161 - RNE 4368
  • 112.
    Dr. Eugenio VargasCarbajal CMP 11161 - RNE 4368
  • 113.
    CLASIFICACION GRADO I: Vólvulode menos 180 º, asintomático, descubierto accidentalmente en el examen radiológico y de evolución progresiva. GRADO II: Vólvulo de mas de 180º, con obstrucción parcial que se reduce espontáneamente ó con maniobras endoscópicas. GRADO III: Vólvulo de mas de 180 º, con obstrucción completa en asa cerrada y alteración circulatoria reversible, permaneciendo el asa viable. Grado IV: Vólvulo de más de 180ª, con obstrucción completa en asa cerrada y alteración circulatoria irreversible. Dr. Eugenio Vargas Carbajal CMP 11161 - RNE 4368
  • 114.
    1.- Es latorsión en este segmento alrededor del eje longitudinal del Meso Sigma. 2.- Se le considera como una causa predisponente el MEGA COLON ó DOLICO COLON, a lo que se agrega longitud exagerada del Meso – Sigma y su gran movilidad asociada a anomalías de rotación. 3.- Tiene gran influencia la MESOSIGMOIDITIS RETRACTIL que acerca las bases del asa omega. Dr. Eugenio Vargas Carbajal CMP 11161 - RNE 4368
  • 115.
    Dr. Eugenio VargasCarbajal CMP 11161 - RNE 4368 VOLVULO DE SIGMOIDES
  • 116.
    Dr. Eugenio VargasCarbajal CMP 11161 - RNE 4368
  • 117.
    Dr. Eugenio VargasCarbajal CMP 11161 - RNE 4368
  • 118.
    Dr. Eugenio VargasCarbajal CMP 11161 - RNE 4368
  • 119.
    Dr. Eugenio VargasCarbajal CMP 11161 - RNE 4368
  • 120.
    Dr. Eugenio VargasCarbajal CMP 11161 - RNE 4368 MESENTERITIS RETRACTIL
  • 121.
    Dr. Eugenio VargasCarbajal CMP 11161 - RNE 4368 MESENTERITIS RETRACTIL MASA CON DENSIDAD DE PARTES BLANDAS DE ASPECTO INFILTRATIVO
  • 122.
    Dr. Eugenio VargasCarbajal CMP 11161 - RNE 4368
  • 123.
    Dr. Eugenio VargasCarbajal CMP 11161 - RNE 4368 CARCINOMA
  • 124.
    Dr. Eugenio VargasCarbajal CMP 11161 - RNE 4368
  • 125.
    1.- ES LACAUSA MAS FRECUENTE DE OBSTRUCCION DE COLON. ( 20 %). 2.- SIGNOS MAS FRECUENTES: CAMBIO EN EL HABITO EVACUATORIO Y SANGRADO. 3.- LA OBSTRUCCION SE PRESENTA EN LOS TUMORES DEL COLON IZQUIERDO Y EL RECTO. 4.- TRATAMIENTO: COLOSTOMIA HARTMANN - COLOSTOMIA PROXIMAL EN ASA –HEMICOLECTOMIA + COLOSTOMIA Dr. Eugenio Vargas Carbajal CMP 11161 - RNE 4368
  • 126.
    Dr. Eugenio VargasCarbajal CMP 11161 - RNE 4368
  • 127.
     Grados variablesde Obstrucción Colónica ocurren en el 50 % de los pacientes.  Causa inflamación, edema y espasmo de la pared colónica.  Obstrucción completa en el 10 %  Se asocia con abscesos pericolónicos.  Cuadros repetidos de Diverticulitis producen fibrosis – estenosis. Dr. Eugenio Vargas Carbajal CMP 11161 - RNE 4368
  • 128.
    Dr. Eugenio VargasCarbajal CMP 11161 - RNE 4368
  • 129.
    Dr. Eugenio VargasCarbajal CMP 11161 - RNE 4368 SINDROME DE OGILVIE Pseudo - Obstrucción aguda del colon, con signos, síntomas, y aspecto radiográfico de una obstrucción del intestino grueso sin evidencia de obstrucción en el colon distal. La mayor parte de los casos se relaciona con traumatismos, cirugía ortopédica, procedimientos obstétricos, cirugía pelviana y abdominal o una enfermedad neurológica.
  • 130.
    Dr. Eugenio VargasCarbajal CMP 11161 - RNE 4368
  • 131.
    Dr. Eugenio VargasCarbajal CMP 11161 - RNE 4368
  • 132.
    Dr. Eugenio VargasCarbajal CMP 11161 - RNE 4368
  • 133.
    Dr. Eugenio VargasCarbajal CMP 11161 - RNE 4368
  • 134.
    Dr. Eugenio VargasCarbajal CMP 11161 - RNE 4368
  • 135.
    Dr. Eugenio VargasCarbajal CMP 11161 - RNE 4368
  • 136.
    Dr. Eugenio VargasCarbajal CMP 11161 - RNE 4368
  • 137.
    Dr. Eugenio VargasCarbajal CMP 11161 - RNE 4368
  • 138.
    Dr. Eugenio VargasCarbajal CMP 11161 - RNE 4368
  • 139.
    LIQUIDO FECALOIDEO PERISTALTISMO NORMAL Dr. EugenioVargas Carbajal CMP 11161 - RNE 4368
  • 140.
  • 141.
    RETORNO VENOSO LA DISTENSION ABDOMINAL PUEDE PRODUCIR: Dr.Eugenio Vargas Carbajal CMP 11161 - RNE 4368
  • 142.
    Dr. Eugenio VargasCarbajal CMP 11161 - RNE 4368
  • 143.
    OBSTRUCCION INTESTINAL ALTA MEDIA BAJA VOMITOSPRECOZ + ó + TARDIOS DISTENSION TARDIA + ó – PRECOZ VOMITOS Y DISTENSION + + + + + + + DOLOR ABDOMINAL TODOS TODOS TODOS FALTA DE ELIMINACION DE FLATOS Y HECES TODOS TODOS TODOS Dr. Eugenio Vargas Carbajal CMP 11161 - RNE 4368
  • 144.
      OCLUSION DE INTESTINO DELGADO OCLUSION DE INTESTINO GRUESO INICIOSUBITO LENTO DOLOR COLICO INTENSO - EN EPIGASTRIO Y SOPORTABLE - EN HEMIABDOMEN   ZONA UMBILICAL INFERIOR VOMITOS PRECOCES - FRECUENTES - INEXISTENTES ó MUY ESCASOS   ABUNDANTES   FALTA HECES PUEDE HABER INICIALMENTE NO HAY Y FLATOS     DISTENSION NO HAY - PRESENCIA TARDIA PRECOZ Y PERIFERICA ABDOMINAL     ESTADO SE DETERIORA RAPIDAMENTE DETERIORO TARDIO GENERAL     Rx ABDOMEN ASAS DISTENDIDAS NUMEROSAS ASAS DISTENDIDAS ENEMA OPACO COLON NO DISTENDIDO DE CALIBRE SE LOCALIZA EL OBSTACULO Y SU   CONSTANTE - NO HAY OBSTACULO NATURALEZA Dr. Eugenio Vargas Carbajal CMP 11161 - RNE 4368
  • 145.
    TACTO RECTAL Dr. EugenioVargas Carbajal CMP 11161 - RNE 4368
  • 146.
    Dr. Eugenio VargasCarbajal CMP 11161 - RNE 4368
  • 147.
     GRUPO SANGUINEO– Rh  HEMOGRAMA: DESVIACION IZQUIERDA  HEMATOCRITO: ELEVADO  EXAMEN DE ORINA COMPLETO: > DENSIDAD AUMENTADA > OLIGURIA > CILINDROS GRANULOSOS – HIALINOS  UREA: AUMENTADA  CREATININA: AUMENTADA  RADIOGRAFIA SIMPLE DE ABDOMEN  TAC - RMN Dr. Eugenio Vargas Carbajal CMP 11161 - RNE 4368
  • 148.
    RADIOGRAFIA SIMPLE DEABDOMEN DE PIE Y DECUBITO  Mejor valor diagnóstico.  Se debe tomar en posición DE PIE y DECUBITO, incluir diafragma y pelvis.  Rx. de PIE: NHA.  Rx. de DECUBITO: Gas Intraintestinal ASAS YEYUNALES: SIGNO “PILA DE MONEDAS” Dr. Eugenio Vargas Carbajal CMP 11161 - RNE 4368
  • 149.
  • 150.
    Dr. Eugenio VargasCarbajal CMP 11161 - RNE 4368
  • 151.
    Dr. Eugenio VargasCarbajal CMP 11161 - RNE 4368
  • 152.
    Dr. Eugenio VargasCarbajal CMP 11161 - RNE 4368
  • 153.
    TRATAMIENTO: MEDICO:  RESTITUCION HIDROELECTROLITICAY CORRECIÓN ACIDO BASE (AGA y ELECTROLITOS)  CATETER VENOSO CENTRAL (PVC)  DESCOMPRESION INTESTINAL CON S.N.G.  SONDA FOLEY y CONTROL DE DIURESIS.  ANTIBIOTICOTERAPIA  SHOCK ES CONSECUENCIA DE UN MANEJO CLINICO PRE OPERATORIO INSATIFECHO  SONDA RECTAL en caso de OI BAJA QUIRURGICO SEGÚN LA ETIOLOGIA QUE PRODUJO LA O.I. Dr. Eugenio Vargas Carbajal CMP 11161 - RNE 4368
  • 154.
    SONDA NASOGASTRICA (LEVINE) PARA ELCALIBRE DE LAS SONDAS SE USA LA ESCALA FRANCESA ( F= FRENCH) UNA UNIDAD EQUIVALE A 0.33 mm Ej. SONDA DE 18 F = 6 mm DE DIAMETRO Dr. Eugenio Vargas Carbajal CMP 11161 - RNE 4368
  • 155.
    Dr. Eugenio VargasCarbajal CMP 11161 - RNE 4368
  • 156.
    TRATAMIENTO QUIRURGICO •Es eltratamiento definitivo de la obstrucción mecánica •Principios: Aliviar obstrucción, descomprimir intestino delgado, prevenir recurrencias •Hernia incarcelada o estrangulada: Hernioplastía con resección del órgano comprometido •Bridas y adherencias: Liberación total por disección roma y cortante. •Obstrucción endoluminal: Enterotomía para remoción de causa Dr. Eugenio Vargas Carbajal CMP 11161 - RNE 4368
  • 157.
    Dr. Eugenio VargasCarbajal CMP 11161 - RNE 4368
  • 158.
    Dr. Eugenio VargasCarbajal CMP 11161 - RNE 4368
  • 159.
    Dr. Eugenio VargasCarbajal CMP 11161 - RNE 4368 En el tratamiento quirúrgico de la obstrucción de colon, la cirugía puede ser más compleja y el cirujano puede enfrentarse a diferentes alternativas terapéuticas, en especial en los casos de obstrucción de colon izquierdo. Debe tener presente que en la mayoría de los enfermos debe intervenir sobre un colon no preparado, factor que en general contraindica una anastomosis primaria luego de la resección del segmento comprometido.
  • 160.
    Dr. Eugenio VargasCarbajal CMP 11161 - RNE 4368 COLOSTOMIA Una Colostomía es una  abertura producida  quirúrgicamente en el  colon a través del  abdomen.  La Colostomía sirve para  permitir que las heces  fecales se desvíen de una  parte enferma o dañada  del colon  La Colostomía carece de esfínter, por lo que la persona no puede controlar la evacuación de forma voluntaria, lleva una bolsa desechable .
  • 161.
  • 162.
    Dr. Eugenio VargasCarbajal CMP 11161 - RNE 4368
  • 163.
    Dr. Eugenio VargasCarbajal CMP 11161 - RNE 4368
  • 164.
    Dr. Eugenio VargasCarbajal CMP 11161 - RNE 4368
  • 165.
    Dr. Eugenio VargasCarbajal CMP 11161 - RNE 4368
  • 166.
    Dr. Eugenio VargasCarbajal CMP 11161 - RNE 4368 COLOSTOMÍA TIPO MIKULITZ (CAÑON DE ESCOPETA)
  • 167.
    Dr. Eugenio VargasCarbajal CMP 11161 - RNE 4368 COLOSTOMÍA DE HARTMANN
  • 168.
    Dr. Eugenio VargasCarbajal CMP 11161 - RNE 4368
  • 169.
    Dr. Eugenio VargasCarbajal CMP 11161 - RNE 4368