Caso Clínico
CASO CLÌNICO
MC: Fiebre
EA : Mujer de 33 años de edad, que acude a urgencias
  por fiebre desde hace 3 semanas,con cefalea frontal ,
  congestiòn nasal , artralgias generalizadas a
  predominio de hombros, tos ocasional .En
  tratamiento con Moxifloxacino 3 dìas antes de su
  ingreso.

AP: No alergias ,no HTA, no DM ,no fumadora.
     Consultas frecuentes por sinusitis
     Profesiòn peluquera.
     No contactos con animales
CASO CLÌNICO

EF: Consciente y orientada. Palidez cutánea,
Congestiòn nasal e inflamaciòn mucosa nasal,lesiones
Purpúricas en encías, Cuello: no adenopatías
cervicales ni supraclaviculares .Dolor a la
palpación de hombro derecho y región interescapular.
AC: Rítmica sin soplos. AP: MVC sin ruidos
patológicos.Eupneica. Abdomen:blando
depresible ,sin masas,sin megalias .MMII sin
Edema.Temp :38 ºc.
Analìtica
 Glucosa:141 mg/dl
 Urea:13 mg/dl. CR: 0,64 mg/dl , Potasio: 4,2
 GOT:49 ,GPT:131,GGT:178, FA:228,LDH:169
ProT:6 ALB:3,3 ,FG:129,8ml/min
 PCR:19,56
 HB:12 gr/dl ,Hto:36 ,VCM: 87 .
 Leuc: 12740, (Neut:71%,Linf:10%,Monoc:7%
 Plaquetas:367000. VSG: 120 mm/h
 INR:0,9 Fibrinògeno:788. Gasometría Arterial
  PO2:108 ,PCO2: 31, HCO3:25, PH:7,49
  Orina: eritrocitos
Rx de Torax
Rx de torax
Diagnósticos diferenciales
 Por cuadro clìnico radiologico
 1-Infección respiratoria :
    -Neumonia (bact ,viral)
    -fiebre Q
    -TBC
    -Absceso pulmonar

  2- Enfermedad inmunològica.
     -Colageno-vascular (LES)
     -Vasculitis granulomatosa
                  * G.Wegener

  3- Neoplasia pulmonar.
EVOLUCIÒN

 La paciente ingresa al servicio de Medicina
  Interna,(14 días de Hospitalizaciòn) se inicia
  tratamiento empìrico con Doxiciclina y
  levofloxacino. Se solicitan TAC de senos
  paranasales ,TAC pulmonar y pruebas
  inmunológicas.
 Analitica: GGT :166, FA:171 , PCR:12,82
  Fibrinògeno:449, VSG:48
Pruebas


 Antigeniuría para neumococo y legionella:
  negativo.

 Fibrobroncoscopia :mucosa bronquial
  inflamatoria, citologìa de lavado
  broncoalveolar negativa para celulas
  malignas.
Pruebas

Baciloscopia de esputo seriada :negativo
Prueba de tuberculina negativa.
Hemocultivos :aerobios, hongos ,mycobacterias :
  negativos
Serologia CMV: negativa
PCR C. Burnetii: negativo
HIV:negativo
ANCA PR3 5,20 (elevado) Anca MPO:2
C3:144,C4:27 , ANA- ,Anti DNA -
TAC DE SENOS PARANASALES

 Desviaciòn de tabique nasal hacia la izda
 Se aprecia una masa de partes blandas de
  aspecto amamelonado con base en el
  cartilago septal que oblitera parcialmente
  ambas fosas nasales.
 Ocupaciòn de celdillas etmoidales bilaterales,
  con engrosamiento de la mucosa del seno
  esfenoidal derecho,y del seno frontal izdo.
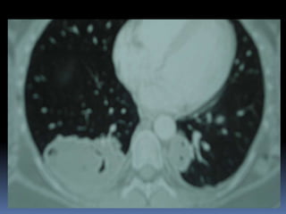
TAC DE TORAX

 Adenopatìa de 5,6 mm en cadena
  paratraqueal izda y otras dos de 12 y 11 mm
  en ventana aorto pulmonar
 Segmento apico posterior de LSI ,se aprecia
  masa de 60x52x29 mm homogenea de
  contorno irregular,no calcificada.
 Lesiòn subpleural posterior de LID de
  55x52x40 mm,con pequeñas burbujas en su
  interior( cavitacion incipiente)
TAC DE TORAX

 Existen otras lesiones de menor tamaño,en
  regiòn subpleural.
 Todas las lesiones se encuentran rodeadas
  por areas de densidad en vidrio deslutrado
  (signo del Halo).
Impresiòn diagnòstica

 Los hallazgos nasosinusales y pulmonares ,
  obligan a descartar una:
  Granulomatosis de Wegener

BIOPSIA NASAL: Abundante necrosis,con
  aspecto granulomatoso . Presencia de
  infiltrado celular compatible con Enfermedad
  de Wegener.
Biopsia cutánea:necrosis del tejido celular
  subcutaneo compatible con Enf.de wegener.
Tratamiento

 Metilprednisolona: 3 bolos IV de 500
    mg,seguidos de Prednisona a 1mg/kg peso.
   Ciclofosfamida mensual 1g/m2.
   Adalimumab (Humira) 40 mg
    subcutaneo,quincenal
   Metrotexate 2,5 mg L-M-V
   Trimetropin sulfametoxazol 1comp L-M-V
   Acfol 5 mg 1 comp
ENFERMEDAD DE
WEGENER

  Dra Cauther Omaera Abou Saadh
Introduccion

 La granulomatosis de Wegener (GW) es una vasculitis
  sistémica, necrosante y granulomatosa, que afecta el
  tracto respiratorio superior e inferior, así como el riñón.

 La GW, el síndrome de Churg-Strauss y la poliangeítis
  microscópica son vasculitis que afectan vasos pequeños;
  por su asociación con los anticuerpos anticitoplasma del
  neutrófilo (ANCA) son llamadas vasculitis ANCA positivas
  y de ellas la GW es la más frecuente
Manifestaciones clínicas

 Las manifestaciones clínicas de la GW son
  diversas; no obstante, la tríada clásica es la
  afección del tracto respiratorio superior e
  inferior, así como del riñón.

 Las manifestaciones del pulmón y del riñón al
  momento del diagnóstico nos indican una
  forma generalizada de la enfermedad y se
  asocian a un peor pronóstico
Manifestaciones Clìnicas

 Afecta a la raza blanca
 Relación Hombre/mujer 1:1
 Edad aproximada 30-40 años
 Etiologìa :probable viral:parvovirus B19
 Histopatològicamente :vasculitis necrosante de
  las arterias de venas de pequeño calibre y
  formaciòn de granulomas.
 Clìnicamente:dolor en senos paranasales,con
  ulceras o no en mucosa nasal. Nariz en silla de
  montar.
 Malestar general,artralgias,mialgias y fiebre
Manifestaciones clínicas
Diagnóstico y clasificación
 LABORATORIO


 El hemograma muestra anemia, trombocitosis o leucocitosis en
  30 a 40% de los pacientes.


 .Los niveles del complemento generalmente son normales.


 La velocidad de sedimentación globular y la proteína C reactiva
  están aumentadas durante la actividad de la GW.


 El examen general de orina muestra sedimento urinario activo
  (leucocituria o cilindros leucocitarios, eritrocitrocitos
  principalmente dismórficos o cilindros hemáticos o granulosos).
Diagnóstico y clasificación
 b) Anticuerpos anticiptoplasma del neutrófilo:

 Los ANCA son autoanticuerpos dirigidos contra
  constituyentes de los gránulos de los neutrófilos con una
  alta especificidad (98%).

 Los de patrón citoplasmático (ANCA-c) son de utilidad en
  el diagnóstico inicial y en el monitoreo de la respuesta
  terapéutica.

 Los niveles de ANCA-c elevados (90 a 95%) se encuentran
  en la GW generalizada y en la enfermedad localizada en
  40 a 70%.
ANCAS
                   LEUCOCITOS
   VASCULITIS                          ACTIVACIÓN
                ALREDEDOR DE LOS
   SISTÉMICA                          DE CITOCINAS
                VASOS SANGUÍNEOS



                                   CASCADA DE LA
                                    INFLAMACIÓN
ANCAS                    C-ANCA: Granulomatosis de Wegeners
                         P-ANCA: Poliangeitis microscópica.
                                  Poliarteritis nodosa
                                  Churg-Straus
                                  Glomerulonefritis aguda con medias lunas.




 LES                                                 FALSOS POSITIVOS

 ARTRITIS REUMATOIDE                                  INFECCIONES

 ENF. INFLAMATORIA INTESTINAL                         HIV

 ENFERMEDAD HEPÁTICA AUTOINMUNE                       FIBROSIS QUÍSTICA
                                                       HEMODIÁLISIS




         UNA PRUEBA POSITIVA DE ANCAS NO ES SUFICIENTE PARA
            HACER EL DIAGNÓSTICO DE VASCULITIS, DEBE SER
        INTERPRETADO EN EL CONTEXTO DE LA HISTORIA CLÍNICA.
ANCAS


                              P-ANCA: contra mieoloperoxidasa




 C-ANCA: contra proteinasa.
Diagnóstico y clasificación
 c) Estudios de imagen

 En las radiografías simples y tomografías computarizadas
  de los senos paranasales se puede corroborar el
  diagnóstico de sinusitis.

 En las radiografías de tórax se observan nódulos únicos o
  múltiples de diferentes tamaños en los lóbulos
  inferiores,de márgenes irregulares,asimetricas; las
  cavitaciones también son frecuentes.

 Estas alteraciones radiológicas son características de la
  GW y se consideran en los criterios de clasificación del
  American College of Rheumatology
Diagnóstico y clasificación
Tratamiento

 El tratamiento actual de la GW se ha dividido en
  dos fases, una inicial o de inducción a la remisión,
  implica el uso de terapia inmunosupresora
  intensiva con la finalidad de controlar la actividad
  de la enfermedad, en la mayoría de los casos se
  alcanza de tres a seis meses.
 Y la fase de mantenimiento menos intensa, cuyo
  objetivo es mantener la remisión y disminuir los
  efectos adversos asociados a los
  inmunosupresores, como la ciclofosfamida.
Situación actual
GRACIAS

Caso clìnico wegener

  • 1.
  • 2.
    CASO CLÌNICO MC: Fiebre EA: Mujer de 33 años de edad, que acude a urgencias por fiebre desde hace 3 semanas,con cefalea frontal , congestiòn nasal , artralgias generalizadas a predominio de hombros, tos ocasional .En tratamiento con Moxifloxacino 3 dìas antes de su ingreso. AP: No alergias ,no HTA, no DM ,no fumadora. Consultas frecuentes por sinusitis Profesiòn peluquera. No contactos con animales
  • 3.
    CASO CLÌNICO EF: Conscientey orientada. Palidez cutánea, Congestiòn nasal e inflamaciòn mucosa nasal,lesiones Purpúricas en encías, Cuello: no adenopatías cervicales ni supraclaviculares .Dolor a la palpación de hombro derecho y región interescapular. AC: Rítmica sin soplos. AP: MVC sin ruidos patológicos.Eupneica. Abdomen:blando depresible ,sin masas,sin megalias .MMII sin Edema.Temp :38 ºc.
  • 4.
    Analìtica  Glucosa:141 mg/dl Urea:13 mg/dl. CR: 0,64 mg/dl , Potasio: 4,2  GOT:49 ,GPT:131,GGT:178, FA:228,LDH:169 ProT:6 ALB:3,3 ,FG:129,8ml/min  PCR:19,56  HB:12 gr/dl ,Hto:36 ,VCM: 87 .  Leuc: 12740, (Neut:71%,Linf:10%,Monoc:7%  Plaquetas:367000. VSG: 120 mm/h  INR:0,9 Fibrinògeno:788. Gasometría Arterial PO2:108 ,PCO2: 31, HCO3:25, PH:7,49 Orina: eritrocitos
  • 5.
  • 6.
  • 7.
    Diagnósticos diferenciales  Porcuadro clìnico radiologico 1-Infección respiratoria : -Neumonia (bact ,viral) -fiebre Q -TBC -Absceso pulmonar 2- Enfermedad inmunològica. -Colageno-vascular (LES) -Vasculitis granulomatosa * G.Wegener 3- Neoplasia pulmonar.
  • 8.
    EVOLUCIÒN  La pacienteingresa al servicio de Medicina Interna,(14 días de Hospitalizaciòn) se inicia tratamiento empìrico con Doxiciclina y levofloxacino. Se solicitan TAC de senos paranasales ,TAC pulmonar y pruebas inmunológicas.  Analitica: GGT :166, FA:171 , PCR:12,82 Fibrinògeno:449, VSG:48
  • 9.
    Pruebas  Antigeniuría paraneumococo y legionella: negativo.  Fibrobroncoscopia :mucosa bronquial inflamatoria, citologìa de lavado broncoalveolar negativa para celulas malignas.
  • 10.
    Pruebas Baciloscopia de esputoseriada :negativo Prueba de tuberculina negativa. Hemocultivos :aerobios, hongos ,mycobacterias : negativos Serologia CMV: negativa PCR C. Burnetii: negativo HIV:negativo ANCA PR3 5,20 (elevado) Anca MPO:2 C3:144,C4:27 , ANA- ,Anti DNA -
  • 11.
    TAC DE SENOSPARANASALES  Desviaciòn de tabique nasal hacia la izda  Se aprecia una masa de partes blandas de aspecto amamelonado con base en el cartilago septal que oblitera parcialmente ambas fosas nasales.  Ocupaciòn de celdillas etmoidales bilaterales, con engrosamiento de la mucosa del seno esfenoidal derecho,y del seno frontal izdo.
  • 12.
    TAC DE TORAX Adenopatìa de 5,6 mm en cadena paratraqueal izda y otras dos de 12 y 11 mm en ventana aorto pulmonar  Segmento apico posterior de LSI ,se aprecia masa de 60x52x29 mm homogenea de contorno irregular,no calcificada.  Lesiòn subpleural posterior de LID de 55x52x40 mm,con pequeñas burbujas en su interior( cavitacion incipiente)
  • 13.
    TAC DE TORAX Existen otras lesiones de menor tamaño,en regiòn subpleural.  Todas las lesiones se encuentran rodeadas por areas de densidad en vidrio deslutrado (signo del Halo).
  • 16.
    Impresiòn diagnòstica  Loshallazgos nasosinusales y pulmonares , obligan a descartar una: Granulomatosis de Wegener BIOPSIA NASAL: Abundante necrosis,con aspecto granulomatoso . Presencia de infiltrado celular compatible con Enfermedad de Wegener. Biopsia cutánea:necrosis del tejido celular subcutaneo compatible con Enf.de wegener.
  • 17.
    Tratamiento  Metilprednisolona: 3bolos IV de 500 mg,seguidos de Prednisona a 1mg/kg peso.  Ciclofosfamida mensual 1g/m2.  Adalimumab (Humira) 40 mg subcutaneo,quincenal  Metrotexate 2,5 mg L-M-V  Trimetropin sulfametoxazol 1comp L-M-V  Acfol 5 mg 1 comp
  • 18.
    ENFERMEDAD DE WEGENER Dra Cauther Omaera Abou Saadh
  • 19.
    Introduccion  La granulomatosisde Wegener (GW) es una vasculitis sistémica, necrosante y granulomatosa, que afecta el tracto respiratorio superior e inferior, así como el riñón.  La GW, el síndrome de Churg-Strauss y la poliangeítis microscópica son vasculitis que afectan vasos pequeños; por su asociación con los anticuerpos anticitoplasma del neutrófilo (ANCA) son llamadas vasculitis ANCA positivas y de ellas la GW es la más frecuente
  • 20.
    Manifestaciones clínicas  Lasmanifestaciones clínicas de la GW son diversas; no obstante, la tríada clásica es la afección del tracto respiratorio superior e inferior, así como del riñón.  Las manifestaciones del pulmón y del riñón al momento del diagnóstico nos indican una forma generalizada de la enfermedad y se asocian a un peor pronóstico
  • 21.
    Manifestaciones Clìnicas  Afectaa la raza blanca  Relación Hombre/mujer 1:1  Edad aproximada 30-40 años  Etiologìa :probable viral:parvovirus B19  Histopatològicamente :vasculitis necrosante de las arterias de venas de pequeño calibre y formaciòn de granulomas.  Clìnicamente:dolor en senos paranasales,con ulceras o no en mucosa nasal. Nariz en silla de montar.  Malestar general,artralgias,mialgias y fiebre
  • 23.
  • 24.
    Diagnóstico y clasificación LABORATORIO  El hemograma muestra anemia, trombocitosis o leucocitosis en 30 a 40% de los pacientes.  .Los niveles del complemento generalmente son normales.  La velocidad de sedimentación globular y la proteína C reactiva están aumentadas durante la actividad de la GW.  El examen general de orina muestra sedimento urinario activo (leucocituria o cilindros leucocitarios, eritrocitrocitos principalmente dismórficos o cilindros hemáticos o granulosos).
  • 25.
    Diagnóstico y clasificación b) Anticuerpos anticiptoplasma del neutrófilo:  Los ANCA son autoanticuerpos dirigidos contra constituyentes de los gránulos de los neutrófilos con una alta especificidad (98%).  Los de patrón citoplasmático (ANCA-c) son de utilidad en el diagnóstico inicial y en el monitoreo de la respuesta terapéutica.  Los niveles de ANCA-c elevados (90 a 95%) se encuentran en la GW generalizada y en la enfermedad localizada en 40 a 70%.
  • 26.
    ANCAS LEUCOCITOS VASCULITIS ACTIVACIÓN ALREDEDOR DE LOS SISTÉMICA DE CITOCINAS VASOS SANGUÍNEOS CASCADA DE LA INFLAMACIÓN
  • 27.
    ANCAS  C-ANCA: Granulomatosis de Wegeners  P-ANCA: Poliangeitis microscópica.  Poliarteritis nodosa  Churg-Straus  Glomerulonefritis aguda con medias lunas.  LES FALSOS POSITIVOS  ARTRITIS REUMATOIDE  INFECCIONES  ENF. INFLAMATORIA INTESTINAL  HIV  ENFERMEDAD HEPÁTICA AUTOINMUNE  FIBROSIS QUÍSTICA  HEMODIÁLISIS UNA PRUEBA POSITIVA DE ANCAS NO ES SUFICIENTE PARA HACER EL DIAGNÓSTICO DE VASCULITIS, DEBE SER INTERPRETADO EN EL CONTEXTO DE LA HISTORIA CLÍNICA.
  • 28.
    ANCAS P-ANCA: contra mieoloperoxidasa C-ANCA: contra proteinasa.
  • 29.
    Diagnóstico y clasificación c) Estudios de imagen  En las radiografías simples y tomografías computarizadas de los senos paranasales se puede corroborar el diagnóstico de sinusitis.  En las radiografías de tórax se observan nódulos únicos o múltiples de diferentes tamaños en los lóbulos inferiores,de márgenes irregulares,asimetricas; las cavitaciones también son frecuentes.  Estas alteraciones radiológicas son características de la GW y se consideran en los criterios de clasificación del American College of Rheumatology
  • 30.
  • 31.
    Tratamiento  El tratamientoactual de la GW se ha dividido en dos fases, una inicial o de inducción a la remisión, implica el uso de terapia inmunosupresora intensiva con la finalidad de controlar la actividad de la enfermedad, en la mayoría de los casos se alcanza de tres a seis meses.  Y la fase de mantenimiento menos intensa, cuyo objetivo es mantener la remisión y disminuir los efectos adversos asociados a los inmunosupresores, como la ciclofosfamida.
  • 32.
  • 33.