Manejo perioperatorio del
paciente con marcapasos
Dr.Alejandro Paredes C.
Cardiológo
Residente Arritmología y Electrofisiología
Hoja de ruta
}  Introducción
}  Definiciones
}  MP /Tipos / Electrodos
}  Nomenclatura
}  Programación
}  Problemas /
Complicaciones
}  Evaluación
}  Manejo perioperatorio
Introducción
}  Aumento en el número de pacientes con dispositivos
cardiacos electrónicos implantables.
}  Uso de imán y “falsa seguridad”
}  DesconocimientoV/STemor al manejar un paciente
con MP
}  “Guías” 2011: Enfoque individualizado con el paciente.
Definiciones
Marcapasos (MP) son dispositivos capaces de
generar estímulos eléctricos lo suficientemente
intensos como para favorecer la despolarización
del miocardio cercano a su electrodo.
Generalidades
}  Usado para el manejo de las bradiarritmias sintomáticas
por más de 50 años à utilidad en Insuficiencia Cardiaca
(CRT)
}  Primeros marcapasos estimulaban a frecuencia fija, regular
àAsincrónicos
}  MP “de demanda” se inhiben al detectar despolarización
espontánea.
}  Más de 200.000 MP son implantados anualmente en USA.
}  Generador de pulso: fuente
de poder o batería.
}  Electrodos o cables.
}  Cátodo (electrodo negativo).
}  Ánodo (electrodo positivo).
}  Tejidos corporales.
IPG
Electrodo
Anodo
Cátodo
Los Componentes del Marcapasos
Modos
Asincrónico Demanda
Modos asincrónicos
AOO
VOO
DOO
Marcapasos definitivos
Ø Unicamerales
Ø Bicamerales
Ø Tricamerales
(CRT)
Marcapasos transitorios
Ø Unicamerales
Ø Bicamerales
Electrodos endocavitarios
Ø Definitivos
Ø Fijación activa
Ø Fijación pasiva
Ø Transitorios
Electrodos epicárdicos
Ø Definitivos
Ø Transitorios
Circuito unipolar
El polo negativo está en
contacto con el corazón y
el polo positivo (tierra)
está a nivel del generador
Electrodos bipolares
Los polos negativo y
positivo están en contacto
con el corazón.
Nomenclatura
Modos de estimulación más habituales
Unicamerales:
}  AAI: de demanda auricular. Útil en ENS con
conducción AV intacta.
}  VVI: Útil en arritmias auriculares con frecuencia
ventricular lenta.
Modos de estimulación más habituales
Bicamerales:
}  VDD: Útil en el bloqueo AV con función sinusal
normal
}  DVI: Útil en taquicardias mediadas por marcapasos
VDD o DDD.
}  DDD: Útil en bloqueos AV y en ENS, en ausencia de
arritmias auriculares crónicas.
Parámetros de Programación
Marcapaso unicameral:
—  Frecuencia de estimulación
—  Output de estimulación
—  Sensibilidad
Marcapaso bicameral:
—  Frecuencia básica de estimulación (frecuencia a la que el MP estimula
cuando no detecta actividad eléctrica intrínseca)
—  Frecuencia máxima de estimulación (frecuencia máxima de
sincronización AV permitida en los MP bicamerales, evita conducción
1:1 ante frecuencia atrial excesivamente alta)
—  Output de estimulación
—  Sensibilidad
—  Intervalo AV
—  PRAVP (período refractario auricular post-ventricular)
Intervalos de Tiempo
Funcionamiento del MP DDD se basa en 4 intervalos de tiempo:
}  1.VV (intervalo de frecuencia inferior): Comienza con un evento
ventricular (espontáneo o estimulado) y termina con el siguiente
evento ventricular.
}  2.VA (intervalo de escape auricular): Comienza con un evento
ventricular (espontáneo o estimulado) y termina con el estímulo
auricular inducido por el MP.
}  3.AV (intervalo AV): Comienza con un evento auricular (espontáneo
o estimulado) y termina con el estímulo ventricular inducido por el
MP.
}  4.VRP (período refractario ventricular): Comienza con un evento
ventricular (espontáneo o estimulado) y es el período durante el cual
el electrodo ventricular no sensa (evita el sensado de la ondaT).
Límite Inferior de Frecuencia (LRL)
}  Es la frecuencia mínima a la cual el dispositivo marcapasea, a menos que sea
inhibido por un latido intrínseco de mayor frecuencia (habitualmente 60 x’).
La FC puede caer por debajo del LRL por 2 razones:
}  1. Histéresis: Función que permite a la FC caer por debajo del LRL. Ej; si
el LRL es 60 y la histéresis es 50 el MP permite a la FC caer hasta 50 y en
este punto comienza a marcapasear a una FC de 60x’*.
}  2. Función de sueño: Función que permite marcapasear a una frecuencia
más lenta durante el período de tiempo en que se espera que el paciente
esté dormido.
}  * Útil en pacientes con MP ventriculares que tienen poca necesidad del MP
minimizando la pérdida de la sincronía AV
Límite Superior de Frecuencia (URL)
}  Es la frecuencia máxima de tracking (habitualmente 120 lpm).
}  Si la frecuencia auricular supera el límite superior de frecuencia
ocurre BAV tipo Wenckebach o BAV 2:1
Sensibilidad
}  Amplitud mínima que debe tener una despolarización
auricular o ventricular para ser sensada por el electrodo
auricular o ventricular.
}  Se mide aumentando progresivamente la sensibilidad hasta
que el MP deja de inhibirse y se gatilla una espiga. Se mide en
AAI para aurícula (DDD si no tiene escape ventricular) yVVI
para ventrículo a una frecuencia baja, de aprox. 30 lpm).
}  La amplitud de los eventos sensados debe ser al menos el
doble del valor estándar para el dispositivo implantado ó p >
2.0 mV y R > 5.0 mV.
Umbral de estimulación
}  Cantidad mínima de energía necesaria para generar una
depolarización.
}  Se mide disminuyendo progresivamente el output hasta
perder captura en aurículas o ventrículos (espiga auricular o
ventricular no seguido de una onda p o QRS
respectivamente). Se mide en AAI para aurícula (DDD si no
tiene escape ventricular) yVVI para ventrículo a una
frecuencia mayor a la basal, de aprox. 80 lpm).
}  Output se programa al valor doble del umbral (en general no
< 2.0V a 0.4 ms, y si el paciente no tiene escape ventricular
dejar el output ventricular en 2.5V). Durante los primeros 3
m se mantiene en 4.0V. Al implante es aceptable un umbral <
1.0V.
Captura No Captura
3 mV 2 mV 1 mV
Impedancia
}  Resistencia al flujo de corriente en cada uno de los electrodos
(es una combinación de la resistencia en el cable y la
resistencia en los tejidos).
}  Impedancia muy alta (> 2.000 Ω) indica fractura del cable o
desplazamiento del electrodo, mientras que una resistencia
muy baja (< 250 Ω) puede indicar pérdida del aislamiento.
}  Cambios abruptos en la impedancia, incluso dentro de rangos
normales, habitualmente indican un problema con el
electrodo.
Respuesta de frecuencia
}  Capacidad del MP de ajustar la frecuencia de marcapaseo según
la actividad del paciente.
}  Responde a sensores de movimiento, temperatura, respiración,
etc.
}  Habitualmente se deja activa cuando los histogramas muestran
altas tasas de pacing atrial (> 50%, enfermedad del nodo).
Intervalo AV
Se distinguen 2 intervalos AV:
a. Intervalo AV estimulado: Intervalo entre la emisión de un estímulo
auricular y la emisión de un estímulo ventricular.
b. Intervalo AV sensado: Intervalo entre un evento auricular sensado y la
emisión de un estímulo ventricular.
}  El AVI estimulado (habitualmente 200 ms) es más largo que el AVI sensado
(ej. 170 ms) ya que el MP demora unos 25-50 ms en sensar la p
espontánea.
Cambio de modo
—  Capacidad de cambiar de modo automáticamente en
respuesta a frecuencias auriculares excesivamente altas (útil
pacientes con taquiarritmias auriculares paroxísticas).
—  En un paciente con modo DDD una FA rápida o taquicardia
auricular producirá tracking por MP a la FC máxima
programada. Lo anterior es válido para pacientes con BAVC,
en pacientes con conducción AV normal la FA se conducirá a
través del nodo AV.
—  Cuando la frecuencia auricular sensada aumenta por sobre
cierto límite (habitualmente 170 lpm) el modo cambia de
DDD (o DDDR) aVVI (oVVIR), es decir un modo que no hace
tracking del ritmo auricular intrínseco.
Función antitaquicardia (PMT)
}  Taquicardia mediada por MP se inicia cuando una depolarización
ventricular sensada o estimulada es conducida retrógradamente
a las aurículas, gatillando una nueva estimulación ventricular.
}  Puede prevenirse mediante el PVARP, que es el intervalo de
tiempo después de un evento ventricular sensado o estimulado
en que el electrodo auricular no sensa (el circuito de sensado
auricular es refractario).
* En general se deja activa.
Problemas / Complicaciones
De dos tipos:
}  Relacionada al implante del dispositivo
}  Relacionada a falla de alguno de los componentes
del sistema de estimulación.
Complicaciones relacionadas al implante
}  Relacionadas al acceso vascular
}  Punción arterial inadvertida
}  Hematoma
}  Embolia aérea
}  Neumotórax
}  Posicionamiento de electrodo en
circulación sistémica
}  Otras
}  Infección
}  Dolor en sitio de implante
}  Desplazamiento de electrodo
}  Perforación cardiaca
}  Perforación del seno coronario
}  Estimulación extracardiaca
}  Arritmias
Complicaciones a largo plazo
}  Mecánicas
}  Exteriorización de dispositivo
}  Fractura de electrodo
}  Falla del dispositivo
}  Perforación
}  Otras
}  Erosiones/Infecciones
}  TVP/Oclusión venosa
}  Migración del electrodo
}  Síndrome del marcapaso
}  Arritmias
Disfunción del MP
}  Sensado
}  Subsensado: cambio en relación al electrodo
(desplazamiento, fractura) o cambios en interfase
electrodo-miocardio (nuevo bloqueo de rama, extrasístoles,
alteraciones electrolíticas, fármacos, fibrosis, infarto)
}  Sobresensado: artefactos, miopotenciales, interferencia
electromagnética, disfunción del generador o del electrodo.
}  Captura
}  Electrodo: desplazamiento o fractura
}  Generador: bateria, pérdida de contacto
}  Interfase dispositivo-tejido: fibrosis alteraciones
electrolíticas, fármacos, infarto.
Falla de captura
}  El estímulo eléctrico entregado por el MP no inicia
una despolarización auricular o ventricular.
}  Causas incluyen fractura/desplazamiento del
electrodo, agotamiento de la batería, umbrales
elevados (aumentar output).
Falla de captura
Falla de captura
Falla de salida
}  El MP falla en emitir el estímulo a los intervalos
programados.
}  Causas incluyen fractura/desplazamiento del
electrodo, agotamiento de la batería, sobresensado ya
sea por IEM o miopotenciales (disminuir la
sensibilidad).
Falla de salida
Subsensibilidad
}  Falla del MP para sensar (y por tanto inhibirse) onda R
y/o p intrínsecas.
}  Causas incluyen fractura/desplazamiento del
electrodo, agotamiento de la batería, programación
inapropiada de la sensibilidad (aumentar), voltaje del
QRS disminuido, latidos de fusión, etc.
Subsensibilidad
Sobresensibilidad
}  Inhibición del MP por eventos que el generador
debería ignorar (IEM, miopotenciales, ondasT)
}  Causas incluyen fractura/desplazamiento del
electrodo, programación inapropiada de la sensibilidad
(reducir), miopotenciales, IEM, sensado de la ondaT
(ondaT fuera del período refractario).
Sobresensibilidad
Inhibición por miopotenciales
Taquicardia mediada por MP (PMT)
}  Sólo ocurre en MP bicamerales con sensado auricular.
}  Causas:
•  Tracking de una taquiarritmia auricular, FA o flutter atrial.
•  Conducción AV retrógrada (endless loop tachycardia). La
conducción AV intacta resulta en ondas p retrógradas, que
gatillan otra estimulación ventricular, generando un loop.
Generalmente es desencadenada por un EV.
}  Se trata alargando el PVARP, que es el intervalo de tiempo
después de un evento ventricular sensado o estimulado en que el
electrodo auricular no sensa.
PMT
Conducción Retrógrada
Pérdida del sincronismo AV debido
a un extrasístole ventricular
(EV)
Activación del sensado retró-
grado
Intérvalo A-V iniciado
Prolongación del intervalo A-V
Estimulación ventricular
sincronizada a las ondas P
retrógradas
Síndrome del Marcapaso
}  Consecuencia de la pérdida de sincronía AV debido al uso de
MCP unicameralesVVI.
}  Síntomas se deben a disminución del GC y a contracción
auricular contra una válvula AV cerrada.
}  Fatiga, mareos, presíncope, síncope y pulsaciones desagradables
en el cuello.
}  Examen físico puede mostrar “ondas a en cañón”.
}  Manejo requiere el implante de un MCP bicameral.
Efectos potenciales de IEM
Ø  Temporales
Ø  Cambio de modo por interferencia
Ø  Inhibición-detección
Ø  Cambio de programación
Ø  Permanentes
Ø  Daño del generador
Ø  Daño tisular en la interfase electrodo-miocardio
Ø  Aumento del umbral de captura
Ø  Aumento del umbral de detección
Ø  Daño del electrodo
Ø  Traumatismo del paciente
Manejo perioperatorio
1.  Interacciones relacionadas a IEM.
2.  Obtener información del dispositivo & programación.
1.  Chequeo de MP dentro del último año
2.  Chequeo de ICD dentro de los últimos 6 meses
3.  Identificar pacientes dependientes de MP à
monitorización invasiva
(1)  Uso de imán
(2)  Programar a modo asincrónico (ej: VOO, DOO)
4.  Contar con MP transitorio en caso de emergencia.
Manejo perioperatorio
5.  Uso de baja energía en electrocauterio y por pulsos
cortos. Preferir configuración bipolar.
6.  Evitar electrocauterio cerca del dispositivo o usar
almohadillas alrededor de éste.
7.  Desactivar el programa de modulación de frecuencia
durante procedimiento.
8.  Interrogar y reprogramar el MP postcirugía.
Pacientes con MP/CRT
}  Empleo de bisturí eléctrico unipolar representa un riesgo, ya
que el estímulo eléctrico del bisturí puede inhibir la respuesta
del marcapasos «a demanda» o reprogramar el marcapasos.
}  Emplear un bisturí bipolar con la placa neutra colocada en la
posición adecuada minimiza los riesgos.
}  Se puede reducir las interferencias manteniendo el bisturí
alejado del marcapasos y empleando descargas cortas con la
menor amplitud posible.
Pacientes con MP/CRT
}  Marcapasos debe programarse en modo asíncrono o sin
sensor en pacientes dependientes de marcapasos.
}  La manera más sencilla es colocar un imán en la piel encima
del marcapasos cuando el paciente se encuentra en el
quirófano.
}  En pacientes cuyo ritmo subyacente no sea fiable, es preciso
comprobar el funcionamiento del marcapasos tras la cirugía
para asegurar que se ha programado correctamente y que los
umbrales de estimulación son los adecuados.
Pacientes con DAI
}  Durante la cirugía no cardiaca también pueden ocurrir
interferencias con la función del DAI.
}  El DAI debe estar desactivado durante la cirugía y se vuelve a
activar durante la fase de reanimación del paciente, antes de
trasladarlo a pieza.
}  La función de desfibrilación de un DAI puede desactivarse
temporalmente colocando un imán en la piel encima del DAI.
}  Mientras el dispositivo está desactivado, es preciso disponer
inmediatamente de un desfibrilador externo.
Utilidad del imán
}  Protección del MP en relación a IEM.
}  Tener en cuenta batería restante del dispositivo. (uso de
ECG)
}  En MP à modo asincrónico
}  EN ICD à inactiva la función de detección y manejo de
arritmias ventriculares. No modifica la función
antibradicardia.
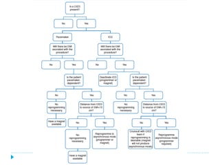
¿Cuándo rechequear?
Alejandro Paredes C.
Cardiólogo - Residente de Electrofisiología
Hospital Clínico
Pontificia Universidad Católica de Chile
Santiago, Septiembre 12, 2015.

Manejo perioperatorio del paciente con marcapasos

  • 1.
    Manejo perioperatorio del pacientecon marcapasos Dr.Alejandro Paredes C. Cardiológo Residente Arritmología y Electrofisiología
  • 2.
    Hoja de ruta } Introducción }  Definiciones }  MP /Tipos / Electrodos }  Nomenclatura }  Programación }  Problemas / Complicaciones }  Evaluación }  Manejo perioperatorio
  • 7.
    Introducción }  Aumento enel número de pacientes con dispositivos cardiacos electrónicos implantables. }  Uso de imán y “falsa seguridad” }  DesconocimientoV/STemor al manejar un paciente con MP }  “Guías” 2011: Enfoque individualizado con el paciente.
  • 10.
    Definiciones Marcapasos (MP) sondispositivos capaces de generar estímulos eléctricos lo suficientemente intensos como para favorecer la despolarización del miocardio cercano a su electrodo.
  • 11.
    Generalidades }  Usado parael manejo de las bradiarritmias sintomáticas por más de 50 años à utilidad en Insuficiencia Cardiaca (CRT) }  Primeros marcapasos estimulaban a frecuencia fija, regular àAsincrónicos }  MP “de demanda” se inhiben al detectar despolarización espontánea. }  Más de 200.000 MP son implantados anualmente en USA.
  • 12.
    }  Generador depulso: fuente de poder o batería. }  Electrodos o cables. }  Cátodo (electrodo negativo). }  Ánodo (electrodo positivo). }  Tejidos corporales. IPG Electrodo Anodo Cátodo Los Componentes del Marcapasos
  • 13.
  • 14.
  • 15.
  • 16.
  • 17.
  • 18.
  • 19.
    Circuito unipolar El polonegativo está en contacto con el corazón y el polo positivo (tierra) está a nivel del generador
  • 21.
    Electrodos bipolares Los polosnegativo y positivo están en contacto con el corazón.
  • 24.
  • 25.
    Modos de estimulaciónmás habituales Unicamerales: }  AAI: de demanda auricular. Útil en ENS con conducción AV intacta. }  VVI: Útil en arritmias auriculares con frecuencia ventricular lenta.
  • 26.
    Modos de estimulaciónmás habituales Bicamerales: }  VDD: Útil en el bloqueo AV con función sinusal normal }  DVI: Útil en taquicardias mediadas por marcapasos VDD o DDD. }  DDD: Útil en bloqueos AV y en ENS, en ausencia de arritmias auriculares crónicas.
  • 28.
    Parámetros de Programación Marcapasounicameral: —  Frecuencia de estimulación —  Output de estimulación —  Sensibilidad Marcapaso bicameral: —  Frecuencia básica de estimulación (frecuencia a la que el MP estimula cuando no detecta actividad eléctrica intrínseca) —  Frecuencia máxima de estimulación (frecuencia máxima de sincronización AV permitida en los MP bicamerales, evita conducción 1:1 ante frecuencia atrial excesivamente alta) —  Output de estimulación —  Sensibilidad —  Intervalo AV —  PRAVP (período refractario auricular post-ventricular)
  • 29.
    Intervalos de Tiempo Funcionamientodel MP DDD se basa en 4 intervalos de tiempo: }  1.VV (intervalo de frecuencia inferior): Comienza con un evento ventricular (espontáneo o estimulado) y termina con el siguiente evento ventricular. }  2.VA (intervalo de escape auricular): Comienza con un evento ventricular (espontáneo o estimulado) y termina con el estímulo auricular inducido por el MP. }  3.AV (intervalo AV): Comienza con un evento auricular (espontáneo o estimulado) y termina con el estímulo ventricular inducido por el MP. }  4.VRP (período refractario ventricular): Comienza con un evento ventricular (espontáneo o estimulado) y es el período durante el cual el electrodo ventricular no sensa (evita el sensado de la ondaT).
  • 30.
    Límite Inferior deFrecuencia (LRL) }  Es la frecuencia mínima a la cual el dispositivo marcapasea, a menos que sea inhibido por un latido intrínseco de mayor frecuencia (habitualmente 60 x’). La FC puede caer por debajo del LRL por 2 razones: }  1. Histéresis: Función que permite a la FC caer por debajo del LRL. Ej; si el LRL es 60 y la histéresis es 50 el MP permite a la FC caer hasta 50 y en este punto comienza a marcapasear a una FC de 60x’*. }  2. Función de sueño: Función que permite marcapasear a una frecuencia más lenta durante el período de tiempo en que se espera que el paciente esté dormido. }  * Útil en pacientes con MP ventriculares que tienen poca necesidad del MP minimizando la pérdida de la sincronía AV
  • 31.
    Límite Superior deFrecuencia (URL) }  Es la frecuencia máxima de tracking (habitualmente 120 lpm). }  Si la frecuencia auricular supera el límite superior de frecuencia ocurre BAV tipo Wenckebach o BAV 2:1
  • 32.
    Sensibilidad }  Amplitud mínimaque debe tener una despolarización auricular o ventricular para ser sensada por el electrodo auricular o ventricular. }  Se mide aumentando progresivamente la sensibilidad hasta que el MP deja de inhibirse y se gatilla una espiga. Se mide en AAI para aurícula (DDD si no tiene escape ventricular) yVVI para ventrículo a una frecuencia baja, de aprox. 30 lpm). }  La amplitud de los eventos sensados debe ser al menos el doble del valor estándar para el dispositivo implantado ó p > 2.0 mV y R > 5.0 mV.
  • 34.
    Umbral de estimulación } Cantidad mínima de energía necesaria para generar una depolarización. }  Se mide disminuyendo progresivamente el output hasta perder captura en aurículas o ventrículos (espiga auricular o ventricular no seguido de una onda p o QRS respectivamente). Se mide en AAI para aurícula (DDD si no tiene escape ventricular) yVVI para ventrículo a una frecuencia mayor a la basal, de aprox. 80 lpm). }  Output se programa al valor doble del umbral (en general no < 2.0V a 0.4 ms, y si el paciente no tiene escape ventricular dejar el output ventricular en 2.5V). Durante los primeros 3 m se mantiene en 4.0V. Al implante es aceptable un umbral < 1.0V.
  • 35.
  • 36.
    Impedancia }  Resistencia alflujo de corriente en cada uno de los electrodos (es una combinación de la resistencia en el cable y la resistencia en los tejidos). }  Impedancia muy alta (> 2.000 Ω) indica fractura del cable o desplazamiento del electrodo, mientras que una resistencia muy baja (< 250 Ω) puede indicar pérdida del aislamiento. }  Cambios abruptos en la impedancia, incluso dentro de rangos normales, habitualmente indican un problema con el electrodo.
  • 37.
    Respuesta de frecuencia } Capacidad del MP de ajustar la frecuencia de marcapaseo según la actividad del paciente. }  Responde a sensores de movimiento, temperatura, respiración, etc. }  Habitualmente se deja activa cuando los histogramas muestran altas tasas de pacing atrial (> 50%, enfermedad del nodo).
  • 38.
    Intervalo AV Se distinguen2 intervalos AV: a. Intervalo AV estimulado: Intervalo entre la emisión de un estímulo auricular y la emisión de un estímulo ventricular. b. Intervalo AV sensado: Intervalo entre un evento auricular sensado y la emisión de un estímulo ventricular. }  El AVI estimulado (habitualmente 200 ms) es más largo que el AVI sensado (ej. 170 ms) ya que el MP demora unos 25-50 ms en sensar la p espontánea.
  • 39.
    Cambio de modo — Capacidad de cambiar de modo automáticamente en respuesta a frecuencias auriculares excesivamente altas (útil pacientes con taquiarritmias auriculares paroxísticas). —  En un paciente con modo DDD una FA rápida o taquicardia auricular producirá tracking por MP a la FC máxima programada. Lo anterior es válido para pacientes con BAVC, en pacientes con conducción AV normal la FA se conducirá a través del nodo AV. —  Cuando la frecuencia auricular sensada aumenta por sobre cierto límite (habitualmente 170 lpm) el modo cambia de DDD (o DDDR) aVVI (oVVIR), es decir un modo que no hace tracking del ritmo auricular intrínseco.
  • 40.
    Función antitaquicardia (PMT) } Taquicardia mediada por MP se inicia cuando una depolarización ventricular sensada o estimulada es conducida retrógradamente a las aurículas, gatillando una nueva estimulación ventricular. }  Puede prevenirse mediante el PVARP, que es el intervalo de tiempo después de un evento ventricular sensado o estimulado en que el electrodo auricular no sensa (el circuito de sensado auricular es refractario). * En general se deja activa.
  • 41.
    Problemas / Complicaciones Dedos tipos: }  Relacionada al implante del dispositivo }  Relacionada a falla de alguno de los componentes del sistema de estimulación.
  • 42.
    Complicaciones relacionadas alimplante }  Relacionadas al acceso vascular }  Punción arterial inadvertida }  Hematoma }  Embolia aérea }  Neumotórax }  Posicionamiento de electrodo en circulación sistémica }  Otras }  Infección }  Dolor en sitio de implante }  Desplazamiento de electrodo }  Perforación cardiaca }  Perforación del seno coronario }  Estimulación extracardiaca }  Arritmias Complicaciones a largo plazo }  Mecánicas }  Exteriorización de dispositivo }  Fractura de electrodo }  Falla del dispositivo }  Perforación }  Otras }  Erosiones/Infecciones }  TVP/Oclusión venosa }  Migración del electrodo }  Síndrome del marcapaso }  Arritmias
  • 46.
    Disfunción del MP } Sensado }  Subsensado: cambio en relación al electrodo (desplazamiento, fractura) o cambios en interfase electrodo-miocardio (nuevo bloqueo de rama, extrasístoles, alteraciones electrolíticas, fármacos, fibrosis, infarto) }  Sobresensado: artefactos, miopotenciales, interferencia electromagnética, disfunción del generador o del electrodo. }  Captura }  Electrodo: desplazamiento o fractura }  Generador: bateria, pérdida de contacto }  Interfase dispositivo-tejido: fibrosis alteraciones electrolíticas, fármacos, infarto.
  • 47.
    Falla de captura } El estímulo eléctrico entregado por el MP no inicia una despolarización auricular o ventricular. }  Causas incluyen fractura/desplazamiento del electrodo, agotamiento de la batería, umbrales elevados (aumentar output).
  • 48.
  • 49.
  • 50.
    Falla de salida } El MP falla en emitir el estímulo a los intervalos programados. }  Causas incluyen fractura/desplazamiento del electrodo, agotamiento de la batería, sobresensado ya sea por IEM o miopotenciales (disminuir la sensibilidad).
  • 51.
  • 52.
    Subsensibilidad }  Falla delMP para sensar (y por tanto inhibirse) onda R y/o p intrínsecas. }  Causas incluyen fractura/desplazamiento del electrodo, agotamiento de la batería, programación inapropiada de la sensibilidad (aumentar), voltaje del QRS disminuido, latidos de fusión, etc.
  • 53.
  • 54.
    Sobresensibilidad }  Inhibición delMP por eventos que el generador debería ignorar (IEM, miopotenciales, ondasT) }  Causas incluyen fractura/desplazamiento del electrodo, programación inapropiada de la sensibilidad (reducir), miopotenciales, IEM, sensado de la ondaT (ondaT fuera del período refractario).
  • 55.
  • 56.
  • 57.
    Taquicardia mediada porMP (PMT) }  Sólo ocurre en MP bicamerales con sensado auricular. }  Causas: •  Tracking de una taquiarritmia auricular, FA o flutter atrial. •  Conducción AV retrógrada (endless loop tachycardia). La conducción AV intacta resulta en ondas p retrógradas, que gatillan otra estimulación ventricular, generando un loop. Generalmente es desencadenada por un EV. }  Se trata alargando el PVARP, que es el intervalo de tiempo después de un evento ventricular sensado o estimulado en que el electrodo auricular no sensa.
  • 58.
  • 59.
    Conducción Retrógrada Pérdida delsincronismo AV debido a un extrasístole ventricular (EV) Activación del sensado retró- grado Intérvalo A-V iniciado Prolongación del intervalo A-V Estimulación ventricular sincronizada a las ondas P retrógradas
  • 60.
    Síndrome del Marcapaso } Consecuencia de la pérdida de sincronía AV debido al uso de MCP unicameralesVVI. }  Síntomas se deben a disminución del GC y a contracción auricular contra una válvula AV cerrada. }  Fatiga, mareos, presíncope, síncope y pulsaciones desagradables en el cuello. }  Examen físico puede mostrar “ondas a en cañón”. }  Manejo requiere el implante de un MCP bicameral.
  • 64.
    Efectos potenciales deIEM Ø  Temporales Ø  Cambio de modo por interferencia Ø  Inhibición-detección Ø  Cambio de programación Ø  Permanentes Ø  Daño del generador Ø  Daño tisular en la interfase electrodo-miocardio Ø  Aumento del umbral de captura Ø  Aumento del umbral de detección Ø  Daño del electrodo Ø  Traumatismo del paciente
  • 66.
    Manejo perioperatorio 1.  Interaccionesrelacionadas a IEM. 2.  Obtener información del dispositivo & programación. 1.  Chequeo de MP dentro del último año 2.  Chequeo de ICD dentro de los últimos 6 meses 3.  Identificar pacientes dependientes de MP à monitorización invasiva (1)  Uso de imán (2)  Programar a modo asincrónico (ej: VOO, DOO) 4.  Contar con MP transitorio en caso de emergencia.
  • 67.
    Manejo perioperatorio 5.  Usode baja energía en electrocauterio y por pulsos cortos. Preferir configuración bipolar. 6.  Evitar electrocauterio cerca del dispositivo o usar almohadillas alrededor de éste. 7.  Desactivar el programa de modulación de frecuencia durante procedimiento. 8.  Interrogar y reprogramar el MP postcirugía.
  • 71.
    Pacientes con MP/CRT } Empleo de bisturí eléctrico unipolar representa un riesgo, ya que el estímulo eléctrico del bisturí puede inhibir la respuesta del marcapasos «a demanda» o reprogramar el marcapasos. }  Emplear un bisturí bipolar con la placa neutra colocada en la posición adecuada minimiza los riesgos. }  Se puede reducir las interferencias manteniendo el bisturí alejado del marcapasos y empleando descargas cortas con la menor amplitud posible.
  • 72.
    Pacientes con MP/CRT } Marcapasos debe programarse en modo asíncrono o sin sensor en pacientes dependientes de marcapasos. }  La manera más sencilla es colocar un imán en la piel encima del marcapasos cuando el paciente se encuentra en el quirófano. }  En pacientes cuyo ritmo subyacente no sea fiable, es preciso comprobar el funcionamiento del marcapasos tras la cirugía para asegurar que se ha programado correctamente y que los umbrales de estimulación son los adecuados.
  • 73.
    Pacientes con DAI } Durante la cirugía no cardiaca también pueden ocurrir interferencias con la función del DAI. }  El DAI debe estar desactivado durante la cirugía y se vuelve a activar durante la fase de reanimación del paciente, antes de trasladarlo a pieza. }  La función de desfibrilación de un DAI puede desactivarse temporalmente colocando un imán en la piel encima del DAI. }  Mientras el dispositivo está desactivado, es preciso disponer inmediatamente de un desfibrilador externo.
  • 74.
    Utilidad del imán } Protección del MP en relación a IEM. }  Tener en cuenta batería restante del dispositivo. (uso de ECG) }  En MP à modo asincrónico }  EN ICD à inactiva la función de detección y manejo de arritmias ventriculares. No modifica la función antibradicardia.
  • 76.
  • 80.
    Alejandro Paredes C. Cardiólogo- Residente de Electrofisiología Hospital Clínico Pontificia Universidad Católica de Chile Santiago, Septiembre 12, 2015.