Dra. Blázquez Sáez 
Residente 1 de Radiodianóstico
Historia Clínica 
 Varón, 68 años 
 AP:DM tipo 2, DL. Bronquitis crónica. 
 IQ: rodilla izquierda. 
 Tto: metfomina ,simvastatina, condroitin sulfato 
 Exfumador desde hace 40 años 
 Motivo de consulta: Dolor torácico opresivo desde hace 4 horas irradiado a hombro derecho y 
brazo del mismo lado asociado a disnea. No cortejo vegetativo previo. El dolor no varía con la 
posición , ni disminuye. Disfagia. Sensación de mareo. 
 TA:145/91 FC:70 Sat 02:93% 
 Exploración: 
General: Consciente, orientado. Hidratado y perfundido. Normal coloración cutánea y de mucosas. 
Eupneico. 
Tórax: AC: Tonos rítmicos. No soplos. No roce ni extratonos. AP: MVC en ambos campos, no 
ruídos agregados 
Abdomen: Globuloso, distendido. No doloroso a la palpación.RHA: normal. No masas ni 
visceromegalias. PPL bilateral negativa. 
Extremidades: edemas con fóvea +/+++ hasta rodilla, no signos de TVP
 Pruebas complementarias: 
HEMOGRAMA: Hematíes 5.1 x 10^6/μL, Hemoglobina 15.3 g/dL, Hematocrito 44.4 %, MCV 87.1 
fL, MCH 30pg, MCHC 34.5 g/dL, RDW 12.6 %, Leucocitos 7.32 x 10³/μL, NE % 59.2 %, 
Neutrófilos 4.33 x 10³/μL, Li % 33.7%, Linfocitos 2.47 x 10³/μL, MO % 5.1 %, Monocitos 0.37 x 
10³/μL, EO % 1.6 %, Eosinófilos 0.12 x 10³/μL, BA %0.4 %, Basófilos 0.03 x 10³/μL, Plaquetas 
147 x 10³/μL, MPV 11.2 fL 
COAGULACIÓN: Actividad de Protrombina 100 %, TP INR 1 INR, TTPA 33.5 seg, Dímeros D 
0.53 μg/ml 
BIOQUÍMICA EN SUERO: Índice AST / ALT 0.8, Glucosa 120 mg/dL, Urea 41 mg/dL, Creatininio 
0.69 mg/dL,Bilirrubina Total 0.24 mg/dL, Aspartato aminotransferasa AST 14 U/L, Alanina 
aminotransferasa ALT 18 U/L,Fosfatasa Alcalina 94 U/L, Gamma-Glutamiltransferasa 27 U/L, 
Creatina-cinasa 84 U/L, CK-MB Masa 2.6 ng/mL,Ion Sodio 138 mmol/L, Ion Potasio 4.3 
mmol/L, Cloruros 100 mmol/L, Osmolalidad (calculada) 270.2 mOsm/kg, 
BIOQUÍMICA EN SUERO: Creatina-cinasa 75 U/L, CK-MB Masa 2.3 ng/mL, Troponina T 
Ultrasensible 7.57 
ECG: RS a 70 lpm, AQRS 60º, sin trastorno de la repolarizacion 
Rx de tórax
Rx Tórax
Dx Diferencial 
 Tecnica radiográfica (magnificación , posición lordótica) 
 Estructuras vasculares(no traumáticas):elongación arteriosclerotica de la aorta, 
aneurisma, disección de aorta, coartación de aorta,malformaciones. 
 Traumatismos- hematoma- (disección de aorta, fisuras arteriales y venosas, 
fracturas esternales, fracturas vertebrales, postoperatorio, mal emplazamiento 
de los cateteteres, 
 Neoplasias (linfoma carcinoma broncogénico primario, metástasis) 
 Inflamación -mediastinitis-(perforación esofágica, rotura 
traqueobronquial,yatrogénica (postoperatorio, endoscopia), neumonías, 
tuberculosis,coccidiomicosis, histoplasmosis, actinomicosis, mediastinitis 
fibrosante o esclerosante. 
 Adenopatías(micobacterium avium intracellulare, tuberculosis, coccidiomicosis, 
antrax) 
 Extensión de infecciónes extratorácicas (abcesos faringeos,abcesos 
abdominales,pancreatitis o pseudoquistes pancreáticos) 
 Lipomatosis (sindrome de Cushing, tratamiento con corticoides,obesidad, 
variante de la normalidad)
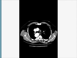
TAC
Arco Aórtico Derecho 
1)CON ARTERIA SUBCLAVIA IZQUIERDA ABERRANTE 
• Prevalencia:1/100. No predominio por sexo o 
raza. 
• Embriología: ruptura entre la arteria carótida 
común izquierda y la arteria subclavia 
izquierda que se origina sobre un divertículo 
de Kommerell. 
• Clínica: no sintomatología, hallazgo 
incidental. Si presenta síntomas 
relacionados con : 
- Compresión esófago y tráquea por el 
diverticulo o la arteria subclavia izquierda. 
• -Persistencia de un ligamento arterioso 
entre arteria subclavia aberrante y arteria 
pulmonar. 
• No relación con cardiopatía congénita
Arco Aórtico Derecho 
2)CON IMAGEN DE RAMAS EN ESPEJO 
• Segundo en frecuencia. 
• Embriología: ruptura entre el cuarto arco 
aórtico izquierdo y entre el ductus 
arterioso y la aorta descendente, con 
regresión total del arco dorsal izquierdo. 
Arco aórtico con imagen en espejo de la 
original (arco aórtico a la derecha con tres 
ramas: arteria innominada izquierda, 
arteria carótida derecha y subclavia 
derecha 
• Clínica: Asociado en el 75% de los 
pacientes a: 
-Tetralogía de Fallot (90%) 
-Ductus arterioso (2,5%) 
-Transposición de los grandes 
vasos(1,5%) 
No existen vasos retroesofágicos.
Arco Aórtico Derecho 
3)CON ARTERIA SUBCLAVIA IZQUIERDA AISLADA 
• Muy raro. 
• Embriología: ruptura en el arco proximal y distal de la arteria subclavia izquierda. La arteria 
subclavia izquierda no tiene conexión con la aorta pero si con la arteria pulmonar a través de un 
ductus persistente. 
• Puede originar un síndrome de robo subclavio o insuficiencia vertebrobasilar, por lo cual la 
extremidad superior izquierda tiene menor presión arterial. 
• Suele asociarse a enfermedad cardíaca congénita, ductus arterioso persistente o bilateral y 
coartación de aorta entre otros.
Otras anomalías del Arco Aórtico 
ARCO AÓRTICO A LA IZQUIERDA CON 
SUBCLAVIA DERECHA ABERRANTE 
DOBLE ARCO AÓRTICO
Otras anomalías del Arco Aórtico 
AORTA CERVICAL
Volviendo al caso… 
Tras acudir varias veces a urgencias por dolor torácico atípico (con constantes, 
exploración,ECG, Bioquimica, hemograma y coagulación (incluido enzimas cardiacas) 
completamente normales , se pidió interconsulta con Cardiología que citó en 2014 para 
completar estudio con ecocardiograma y prueba de esfuerzo:Normales 
Tto: Se le pauto Adiro 100 mg (0-1-0) 
No seguimiento de síntomas disfágicos.
El ensanchamiento mediastinico superior en una rx es un 
signo muy inespecífico y por ello ha de ser valorado 
adecuadamente en el contexto clínico de cada paciente. 
El conocimiento de estas variables anatómicas resulta de gran 
interés a la hora de interpretar y orientar el diagnostico de las 
posibles causas de un ensanchamiento mediastínico superior 
detectado de manera incidental en las rx de tórax tanto en 
asintomáticos como en sintomáticos.

Lectura de caso: Arco aórtico derecho

  • 1.
    Dra. Blázquez Sáez Residente 1 de Radiodianóstico
  • 2.
    Historia Clínica Varón, 68 años  AP:DM tipo 2, DL. Bronquitis crónica.  IQ: rodilla izquierda.  Tto: metfomina ,simvastatina, condroitin sulfato  Exfumador desde hace 40 años  Motivo de consulta: Dolor torácico opresivo desde hace 4 horas irradiado a hombro derecho y brazo del mismo lado asociado a disnea. No cortejo vegetativo previo. El dolor no varía con la posición , ni disminuye. Disfagia. Sensación de mareo.  TA:145/91 FC:70 Sat 02:93%  Exploración: General: Consciente, orientado. Hidratado y perfundido. Normal coloración cutánea y de mucosas. Eupneico. Tórax: AC: Tonos rítmicos. No soplos. No roce ni extratonos. AP: MVC en ambos campos, no ruídos agregados Abdomen: Globuloso, distendido. No doloroso a la palpación.RHA: normal. No masas ni visceromegalias. PPL bilateral negativa. Extremidades: edemas con fóvea +/+++ hasta rodilla, no signos de TVP
  • 3.
     Pruebas complementarias: HEMOGRAMA: Hematíes 5.1 x 10^6/μL, Hemoglobina 15.3 g/dL, Hematocrito 44.4 %, MCV 87.1 fL, MCH 30pg, MCHC 34.5 g/dL, RDW 12.6 %, Leucocitos 7.32 x 10³/μL, NE % 59.2 %, Neutrófilos 4.33 x 10³/μL, Li % 33.7%, Linfocitos 2.47 x 10³/μL, MO % 5.1 %, Monocitos 0.37 x 10³/μL, EO % 1.6 %, Eosinófilos 0.12 x 10³/μL, BA %0.4 %, Basófilos 0.03 x 10³/μL, Plaquetas 147 x 10³/μL, MPV 11.2 fL COAGULACIÓN: Actividad de Protrombina 100 %, TP INR 1 INR, TTPA 33.5 seg, Dímeros D 0.53 μg/ml BIOQUÍMICA EN SUERO: Índice AST / ALT 0.8, Glucosa 120 mg/dL, Urea 41 mg/dL, Creatininio 0.69 mg/dL,Bilirrubina Total 0.24 mg/dL, Aspartato aminotransferasa AST 14 U/L, Alanina aminotransferasa ALT 18 U/L,Fosfatasa Alcalina 94 U/L, Gamma-Glutamiltransferasa 27 U/L, Creatina-cinasa 84 U/L, CK-MB Masa 2.6 ng/mL,Ion Sodio 138 mmol/L, Ion Potasio 4.3 mmol/L, Cloruros 100 mmol/L, Osmolalidad (calculada) 270.2 mOsm/kg, BIOQUÍMICA EN SUERO: Creatina-cinasa 75 U/L, CK-MB Masa 2.3 ng/mL, Troponina T Ultrasensible 7.57 ECG: RS a 70 lpm, AQRS 60º, sin trastorno de la repolarizacion Rx de tórax
  • 4.
  • 5.
    Dx Diferencial Tecnica radiográfica (magnificación , posición lordótica)  Estructuras vasculares(no traumáticas):elongación arteriosclerotica de la aorta, aneurisma, disección de aorta, coartación de aorta,malformaciones.  Traumatismos- hematoma- (disección de aorta, fisuras arteriales y venosas, fracturas esternales, fracturas vertebrales, postoperatorio, mal emplazamiento de los cateteteres,  Neoplasias (linfoma carcinoma broncogénico primario, metástasis)  Inflamación -mediastinitis-(perforación esofágica, rotura traqueobronquial,yatrogénica (postoperatorio, endoscopia), neumonías, tuberculosis,coccidiomicosis, histoplasmosis, actinomicosis, mediastinitis fibrosante o esclerosante.  Adenopatías(micobacterium avium intracellulare, tuberculosis, coccidiomicosis, antrax)  Extensión de infecciónes extratorácicas (abcesos faringeos,abcesos abdominales,pancreatitis o pseudoquistes pancreáticos)  Lipomatosis (sindrome de Cushing, tratamiento con corticoides,obesidad, variante de la normalidad)
  • 6.
  • 53.
    Arco Aórtico Derecho 1)CON ARTERIA SUBCLAVIA IZQUIERDA ABERRANTE • Prevalencia:1/100. No predominio por sexo o raza. • Embriología: ruptura entre la arteria carótida común izquierda y la arteria subclavia izquierda que se origina sobre un divertículo de Kommerell. • Clínica: no sintomatología, hallazgo incidental. Si presenta síntomas relacionados con : - Compresión esófago y tráquea por el diverticulo o la arteria subclavia izquierda. • -Persistencia de un ligamento arterioso entre arteria subclavia aberrante y arteria pulmonar. • No relación con cardiopatía congénita
  • 54.
    Arco Aórtico Derecho 2)CON IMAGEN DE RAMAS EN ESPEJO • Segundo en frecuencia. • Embriología: ruptura entre el cuarto arco aórtico izquierdo y entre el ductus arterioso y la aorta descendente, con regresión total del arco dorsal izquierdo. Arco aórtico con imagen en espejo de la original (arco aórtico a la derecha con tres ramas: arteria innominada izquierda, arteria carótida derecha y subclavia derecha • Clínica: Asociado en el 75% de los pacientes a: -Tetralogía de Fallot (90%) -Ductus arterioso (2,5%) -Transposición de los grandes vasos(1,5%) No existen vasos retroesofágicos.
  • 55.
    Arco Aórtico Derecho 3)CON ARTERIA SUBCLAVIA IZQUIERDA AISLADA • Muy raro. • Embriología: ruptura en el arco proximal y distal de la arteria subclavia izquierda. La arteria subclavia izquierda no tiene conexión con la aorta pero si con la arteria pulmonar a través de un ductus persistente. • Puede originar un síndrome de robo subclavio o insuficiencia vertebrobasilar, por lo cual la extremidad superior izquierda tiene menor presión arterial. • Suele asociarse a enfermedad cardíaca congénita, ductus arterioso persistente o bilateral y coartación de aorta entre otros.
  • 56.
    Otras anomalías delArco Aórtico ARCO AÓRTICO A LA IZQUIERDA CON SUBCLAVIA DERECHA ABERRANTE DOBLE ARCO AÓRTICO
  • 57.
    Otras anomalías delArco Aórtico AORTA CERVICAL
  • 58.
    Volviendo al caso… Tras acudir varias veces a urgencias por dolor torácico atípico (con constantes, exploración,ECG, Bioquimica, hemograma y coagulación (incluido enzimas cardiacas) completamente normales , se pidió interconsulta con Cardiología que citó en 2014 para completar estudio con ecocardiograma y prueba de esfuerzo:Normales Tto: Se le pauto Adiro 100 mg (0-1-0) No seguimiento de síntomas disfágicos.
  • 59.
    El ensanchamiento mediastinicosuperior en una rx es un signo muy inespecífico y por ello ha de ser valorado adecuadamente en el contexto clínico de cada paciente. El conocimiento de estas variables anatómicas resulta de gran interés a la hora de interpretar y orientar el diagnostico de las posibles causas de un ensanchamiento mediastínico superior detectado de manera incidental en las rx de tórax tanto en asintomáticos como en sintomáticos.