CASO CLINICOCASO CLINICO
Ernesto Álvarez JordiErnesto Álvarez Jordi
Hombre de 70 años.Hombre de 70 años.
Ex-fumador .Ex-fumador .
Bebedor habitual .Bebedor habitual .
Obesidad .Obesidad .
HTA.HTA.
DLPDLP
Cardiopatía Isquémica NYHA I/IVCardiopatía Isquémica NYHA I/IV
En seguimiento x Urología x Síndrome ProstáticoEn seguimiento x Urología x Síndrome Prostático
Tratamiento Actual:Tratamiento Actual: Clopidogrel , Masdil retard ,Clopidogrel , Masdil retard ,
Nitroglicerina 0.4 mg sublingual(si angor). Simvastatina,Nitroglicerina 0.4 mg sublingual(si angor). Simvastatina,
Tamsulosina.Tamsulosina.
SB:SB: DependenciaDependencia leve a las AVD. Índice de Barthel 75ptos.leve a las AVD. Índice de Barthel 75ptos.
Historia Actual.Historia Actual.
Alteraciones de la marcha con caídasAlteraciones de la marcha con caídas
frecuentesfrecuentes..
Pérdida de memoria progresiva.Pérdida de memoria progresiva.
Incontinencia urinaria.Incontinencia urinaria.
CUATRO MESES DE EVOLUCION.CUATRO MESES DE EVOLUCION.
Examen Físico Neurológico.Examen Físico Neurológico.
Conciente.Conciente.
Orientación: En las tres esferas.Orientación: En las tres esferas.
Cognición: Test de Pfeifer normal,Cognición: Test de Pfeifer normal, Minimental Test 21 puntos, conMinimental Test 21 puntos, con
fallos en cálculo), Test de Reloj: 8 puntos (no coloca bienfallos en cálculo), Test de Reloj: 8 puntos (no coloca bien
numeraciónnumeración).).
No alteración del lenguaje.No alteración del lenguaje.
No alteraciones de pares craneales.No alteraciones de pares craneales.
No rigidez ni presencia de REFLEJOS DE LINEA MEDIA.No rigidez ni presencia de REFLEJOS DE LINEA MEDIA.
Taxia : Romberg y Tanden: (negativos).Taxia : Romberg y Tanden: (negativos).
Marcha acelerada, arrastra los pies y con aumento de la base deMarcha acelerada, arrastra los pies y con aumento de la base de
sustentaciónsustentación..
ROT: Aumentados , simétricos con ausencia de signo de HOFFMAN.ROT: Aumentados , simétricos con ausencia de signo de HOFFMAN.
Cutáneos plantares: INDIFERENTES .Cutáneos plantares: INDIFERENTES .
Sensibilidad burda y Profunda (PALESTESIA): Normal.Sensibilidad burda y Profunda (PALESTESIA): Normal.
Signos meníngeos:(-).Signos meníngeos:(-).
FO: No Papiledema.FO: No Papiledema.
Examen Físico SistémicoExamen Físico Sistémico
TA: 130/70, Tª: 36 ºC. Sat O2: 98 %.TA: 130/70, Tª: 36 ºC. Sat O2: 98 %.
Eupneico. Buena hidratación y coloración de piel yEupneico. Buena hidratación y coloración de piel y
mucosas.mucosas.
Carótidas RyS, no soplos. No IY. No adenopatías. NoCarótidas RyS, no soplos. No IY. No adenopatías. No
bocio.bocio.
ACP: Ruidos cardiacos rítmicos y sin soplos.ACP: Ruidos cardiacos rítmicos y sin soplos.
AREAP: MV audible y sin ruidos respiratorios.AREAP: MV audible y sin ruidos respiratorios.
Abdomen: Blando, depresible. Globuloso, simétrico y enAbdomen: Blando, depresible. Globuloso, simétrico y en
forma de batracio, no circulación colateral, No masas.forma de batracio, no circulación colateral, No masas.
No vísceromegalias.No onda liquida. RHA(+).No vísceromegalias.No onda liquida. RHA(+).
Extremidades: No edemas, pulsos presentes.. Signos deExtremidades: No edemas, pulsos presentes.. Signos de
vasculopatía crónica, varices, no cordones flebíticos.vasculopatía crónica, varices, no cordones flebíticos.
Analíticas.Analíticas.BIOQUÍMICA SÉRICABIOQUÍMICA SÉRICA : Urea (suero) 24 mg/dL. Creatinina (suero) 0,84 mg/dL Sodio (suero) 141: Urea (suero) 24 mg/dL. Creatinina (suero) 0,84 mg/dL Sodio (suero) 141
meq/l .Potasio (suero) 4,0 meq/l. Cloro (suero) 107 meq/l Calcio (suero) 9,4 mg/dL. Fósforomeq/l .Potasio (suero) 4,0 meq/l. Cloro (suero) 107 meq/l Calcio (suero) 9,4 mg/dL. Fósforo
(suero) 2,7 mg/dL .Acido úrico (suero) 5,7 mg/dL. Proteínas totales (suero) 6,6g/dL. Albúmina(suero) 2,7 mg/dL .Acido úrico (suero) 5,7 mg/dL. Proteínas totales (suero) 6,6g/dL. Albúmina
(suero) 4,0 g/dL Triglicéridos (suero). 96 mg/dL. Colesterol (suero) 150 mg/dL. HDLColesterol(suero) 4,0 g/dL Triglicéridos (suero). 96 mg/dL. Colesterol (suero) 150 mg/dL. HDLColesterol
(suero) 39 mg/dL. Colesterol no HDL (suero) 111 LDL.Colesterol .(suero) 91 mg/dL .Bilirrubina(suero) 39 mg/dL. Colesterol no HDL (suero) 111 LDL.Colesterol .(suero) 91 mg/dL .Bilirrubina
total (suero) 0,50 mg/dL ( 0,20 - 1,20 ). AST/GOT (suero) 17 U/l. ALT/GPT (suero) 26 U/l. GGTtotal (suero) 0,50 mg/dL ( 0,20 - 1,20 ). AST/GOT (suero) 17 U/l. ALT/GPT (suero) 26 U/l. GGT
(suero) 30 U/l Fosfatasa alcalina (suero) 64 U/l. LDH (suero) 140 U/l.(suero) 30 U/l Fosfatasa alcalina (suero) 64 U/l. LDH (suero) 140 U/l. CK. NORMALCK. NORMAL HierroHierro
(suero) 85 μg/dl .Transferrina (suero) 222 mg/dL Ferritina (suero) 146,07 ng/ml. Saturación de(suero) 85 μg/dl .Transferrina (suero) 222 mg/dL Ferritina (suero) 146,07 ng/ml. Saturación de
transferrina (suero) 27,1.transferrina (suero) 27,1.
SEROLOGIA BACTERIANA.SEROLOGIA BACTERIANA. Screening de Lues (suero) NegativoScreening de Lues (suero) Negativo ..
SEROLOGÍA VIRICA:SEROLOGÍA VIRICA: Serologia de Hepatitis (negativo). Screening HIV 1 y 2 (suero) Negativo.Serologia de Hepatitis (negativo). Screening HIV 1 y 2 (suero) Negativo.
INMUNOLOGÍA.INMUNOLOGÍA. Proteína C Reactiva (suero) 0,32 mg/dLProteína C Reactiva (suero) 0,32 mg/dL ..Factor reumatoide (suero) <5,0Factor reumatoide (suero) <5,0
Inmunoglobulinas (normales).Inmunoglobulinas (normales).
ENDOCRINOLOGÍA.ENDOCRINOLOGÍA. TSH (suero)TSH (suero) 2,65 .T4 libre (suero) 1,03 ng/dl2,65 .T4 libre (suero) 1,03 ng/dl ..Hemoglobina glicosiladaHemoglobina glicosilada
A1c (sangre total) 5,30A1c (sangre total) 5,30
HEMOGRAMA:HEMOGRAMA: Leucocitos 4,40. Neutrófilos 48,00 .Linfocitos 40,40 % Monocitos 4,80 %.Leucocitos 4,40. Neutrófilos 48,00 .Linfocitos 40,40 % Monocitos 4,80 %.
Eosinófilos 6,00 %. Basófilos 0,80 %. Neutrófilos 2,09 K/μL Linfocitos 1,76 .Monocitos 0,21.Eosinófilos 6,00 %. Basófilos 0,80 %. Neutrófilos 2,09 K/μL Linfocitos 1,76 .Monocitos 0,21.
Eosinofilos 0,26 K/μL. Basofilos 0,03 K/μL .Hematíes 4,44 M/μL. Hemoglobina 14,00 g/dLEosinofilos 0,26 K/μL. Basofilos 0,03 K/μL .Hematíes 4,44 M/μL. Hemoglobina 14,00 g/dL
.Hematocrito 39,10 % VCM 88,00 fL. HCM 31,60 pg. CHCM 35,90 g/dL. RDW 12,30.Hematocrito 39,10 % VCM 88,00 fL. HCM 31,60 pg. CHCM 35,90 g/dL. RDW 12,30
%Plaquetas 225 VPM 7,60 fL. V.S.G. 6 mm/h%Plaquetas 225 VPM 7,60 fL. V.S.G. 6 mm/h
VITAMINAS.VITAMINAS. Acido fólico (suero),Acido fólico (suero), Vitamina B12Vitamina B12 (suero):Normales.(suero):Normales.
AUTOINMUNIDADAUTOINMUNIDAD Anticuerpos anti Nucleares (ANAElisa) (suero) Negativo.Anticuerpos anti Nucleares (ANAElisa) (suero) Negativo.
COAGULACIÓN.COAGULACIÓN. Tiempo de Protrombina (segundos) 10,70 Tiempo de Protrombina (%) 98,00Tiempo de Protrombina (segundos) 10,70 Tiempo de Protrombina (%) 98,00
% .INR 1,02 Tiempo de Tromboplastina 38,90 .Control TPTA 30, Tiempo de Tromboplastina% .INR 1,02 Tiempo de Tromboplastina 38,90 .Control TPTA 30, Tiempo de Tromboplastina
(ratio) 1,22 .Fibrinogeno (plasma) 399,0 mg/dL.(ratio) 1,22 .Fibrinogeno (plasma) 399,0 mg/dL.
Evolución.Evolución.
Se realiza PL, no traumática con presión deSe realiza PL, no traumática con presión de
apertura de 17 cm de H20 y al cierre 1cmapertura de 17 cm de H20 y al cierre 1cm
de H20 y se evacuan 50 cc de LCR clarode H20 y se evacuan 50 cc de LCR claro
y transparente como agua de roca,y transparente como agua de roca,
evaluándose marcha antes y después deevaluándose marcha antes y después de
PL, observándose una clara mejoría,PL, observándose una clara mejoría,
siendo esta mas ligera, no arrastrando lossiendo esta mas ligera, no arrastrando los
pies y con mayor braceo.pies y con mayor braceo.
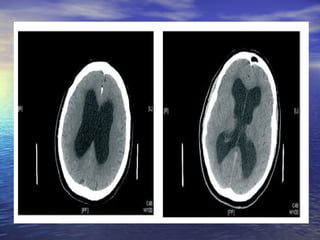
Hidrocefalia normotensiva.Hidrocefalia normotensiva.
Discusión DiagnosticaDiscusión Diagnostica
En 1964, Salomón Hakim publicó la descripciónEn 1964, Salomón Hakim publicó la descripción
clínica de una serie de tresclínica de una serie de tres
pacientes que presentaban un cuadro depacientes que presentaban un cuadro de
Demencia progresiva, Alteraciones de laDemencia progresiva, Alteraciones de la
marcha y una Dilatación variable delmarcha y una Dilatación variable del
sistema ventricularsistema ventricular que se acompañaba deque se acompañaba de
una presión del LCR, evaluada medianteuna presión del LCR, evaluada mediante
manométrica lumbar, normal.manométrica lumbar, normal.
ETIOLOGIA
IDIOPATICA SECUNDARIA
Hemorragia SubaracnoideaHemorragia Subaracnoidea
MeningitisMeningitis
Traumatismos CraneoencefálicosTraumatismos Craneoencefálicos
Cirugías IntracranealesCirugías Intracraneales
Anomalías congénitasAnomalías congénitas
como la Estenosis del acueducto de Silvio.como la Estenosis del acueducto de Silvio.
Enfermedad de PagetEnfermedad de Paget
Los quistes Coloides del Tercer VentrículoLos quistes Coloides del Tercer Ventrículo
Las malformaciones vascularesLas malformaciones vasculares
CisticercosisCisticercosis
Dilatación ventricular yDilatación ventricular y
presión intracraneal normal.presión intracraneal normal.
La ley de PascalLa ley de Pascal
Fuerza= Presión x SuperficieFuerza= Presión x Superficie
LCR
AUMENTO DE PIC .
VENTRICULOS DILATADOS
DISMINUYE PIC
VENTRICULOS DILATADOS
DISMINUYE REABSORCION DE LCR.
Déficit Cognitivo
Síndromes
fronto-subcortical
Atención
Concentración,
Desorientación
(Escritura y Dibujo),
Enlentecimiento
funciones frontales
Y ejecutivas
MARCHA
Alteraciones
metabólicas
Edema cerebral
Hidrostático.
FASESFASES
• INICIAL.INICIAL.
Lentitud de marcha.Lentitud de marcha.
• TARDIATARDIA
Ampliación de la base de
sustentación.
Pasos cortos.
Menor elevación de los pies
Flexión anterior del tronco
Disminución del balanceo
Tendencia a las caídas
Incontinencia deIncontinencia de
esfínteresesfínteres
Iniciarse con una micción imperiosa,Iniciarse con una micción imperiosa,
seguida de una incontinencia vesicalseguida de una incontinencia vesical
esporádica.esporádica.
Síntomas suelen ser atribuidos aSíntomas suelen ser atribuidos a
problemas prostáticosproblemas prostáticos en el hombre oen el hombre o
ginecológicos en las mujeres.ginecológicos en las mujeres.
DiagnosticoDiagnostico
INDICE DE EVANS >0,3.INDICE DE EVANS >0,3.
-2- Diagnóstico
1. Hª clínica:
2º Valoración cognitiva
3º Valoración de las
discapacidades
-APP y Farmacia.
-Anamnesis.
-Exploración física.
-Exp. Neuropsicología.
-Valoración funcional.
-Índice de Barthel.
-Índice de Katz.
-Cuestionario AIVD
-Cuestionario ABVD
-Minimental state Examination.
-Minimental-test
-Escala de demencia de Blessed
-Test del reloj
a) Desarrollo de déficit cognoscitivos múltiples que se manifiestan por:
1. Alteración de la memoria: alteración en la capacidad de aprender nuev
información o recordar información
previamente aprendida.
2. Una o más de las siguientes alteraciones cognoscitivas:
a) Afasia.
b) Apraxia.
c) Agnosia.
d) Alteración de la función ejecutiva (capacidad para el pensamiento abstracto
para planificar, iniciar, secuenciar, monitorizar y detener un comportamiento complejo).
b) Los defectos cognoscitivos de los criterios A1 y A2 han de ser de la suficiente intensida
como para provocar un deterioro significativo de la actividad
social o laboral.
DEMENCIAS
Demencias degenerativas
primarias
Demencias Vasculares
Demencias Secundarias
Demencias Secundarias
GRUPOS
Por infecciones
HIDROCEFALIA NORMOTENSIVA
Metabólicas
endocrinas
Carenciales
LOES y Elevación de PIC (Hematomas y
Tumores)
Esclerosis múltiple
-SIDA.
--LUES
-Encefalitis herpética.
-E. prionicas ( C.Jackob)
(Déficit de B12, Fólico,
Niacina, B1)
OH, co2, Hipoxia, Drogas de
abuso
Etiología muy diversa.
Tratables.
El cuadro puede ser reversible.
Cushing, Adinson
Hígado y ERC.
-Tiroides(hipo e híper).
Bibliografía.Bibliografía.
Actualizaciones en el diagnóstico yActualizaciones en el diagnóstico y
tratamiento de la Hidrocefaliatratamiento de la Hidrocefalia
Normotensiva.Normotensiva. Servicio de NeurocirugíaServicio de Neurocirugía
y Neuropsicología .Hospital Universitarioy Neuropsicología .Hospital Universitario
Vall d’Hebron. 2009.Vall d’Hebron. 2009.

Hidrocefalia normotensiva(sclin)

  • 1.
    CASO CLINICOCASO CLINICO ErnestoÁlvarez JordiErnesto Álvarez Jordi
  • 2.
    Hombre de 70años.Hombre de 70 años. Ex-fumador .Ex-fumador . Bebedor habitual .Bebedor habitual . Obesidad .Obesidad . HTA.HTA. DLPDLP Cardiopatía Isquémica NYHA I/IVCardiopatía Isquémica NYHA I/IV En seguimiento x Urología x Síndrome ProstáticoEn seguimiento x Urología x Síndrome Prostático Tratamiento Actual:Tratamiento Actual: Clopidogrel , Masdil retard ,Clopidogrel , Masdil retard , Nitroglicerina 0.4 mg sublingual(si angor). Simvastatina,Nitroglicerina 0.4 mg sublingual(si angor). Simvastatina, Tamsulosina.Tamsulosina. SB:SB: DependenciaDependencia leve a las AVD. Índice de Barthel 75ptos.leve a las AVD. Índice de Barthel 75ptos.
  • 3.
    Historia Actual.Historia Actual. Alteracionesde la marcha con caídasAlteraciones de la marcha con caídas frecuentesfrecuentes.. Pérdida de memoria progresiva.Pérdida de memoria progresiva. Incontinencia urinaria.Incontinencia urinaria. CUATRO MESES DE EVOLUCION.CUATRO MESES DE EVOLUCION.
  • 4.
    Examen Físico Neurológico.ExamenFísico Neurológico. Conciente.Conciente. Orientación: En las tres esferas.Orientación: En las tres esferas. Cognición: Test de Pfeifer normal,Cognición: Test de Pfeifer normal, Minimental Test 21 puntos, conMinimental Test 21 puntos, con fallos en cálculo), Test de Reloj: 8 puntos (no coloca bienfallos en cálculo), Test de Reloj: 8 puntos (no coloca bien numeraciónnumeración).). No alteración del lenguaje.No alteración del lenguaje. No alteraciones de pares craneales.No alteraciones de pares craneales. No rigidez ni presencia de REFLEJOS DE LINEA MEDIA.No rigidez ni presencia de REFLEJOS DE LINEA MEDIA. Taxia : Romberg y Tanden: (negativos).Taxia : Romberg y Tanden: (negativos). Marcha acelerada, arrastra los pies y con aumento de la base deMarcha acelerada, arrastra los pies y con aumento de la base de sustentaciónsustentación.. ROT: Aumentados , simétricos con ausencia de signo de HOFFMAN.ROT: Aumentados , simétricos con ausencia de signo de HOFFMAN. Cutáneos plantares: INDIFERENTES .Cutáneos plantares: INDIFERENTES . Sensibilidad burda y Profunda (PALESTESIA): Normal.Sensibilidad burda y Profunda (PALESTESIA): Normal. Signos meníngeos:(-).Signos meníngeos:(-). FO: No Papiledema.FO: No Papiledema.
  • 5.
    Examen Físico SistémicoExamenFísico Sistémico TA: 130/70, Tª: 36 ºC. Sat O2: 98 %.TA: 130/70, Tª: 36 ºC. Sat O2: 98 %. Eupneico. Buena hidratación y coloración de piel yEupneico. Buena hidratación y coloración de piel y mucosas.mucosas. Carótidas RyS, no soplos. No IY. No adenopatías. NoCarótidas RyS, no soplos. No IY. No adenopatías. No bocio.bocio. ACP: Ruidos cardiacos rítmicos y sin soplos.ACP: Ruidos cardiacos rítmicos y sin soplos. AREAP: MV audible y sin ruidos respiratorios.AREAP: MV audible y sin ruidos respiratorios. Abdomen: Blando, depresible. Globuloso, simétrico y enAbdomen: Blando, depresible. Globuloso, simétrico y en forma de batracio, no circulación colateral, No masas.forma de batracio, no circulación colateral, No masas. No vísceromegalias.No onda liquida. RHA(+).No vísceromegalias.No onda liquida. RHA(+). Extremidades: No edemas, pulsos presentes.. Signos deExtremidades: No edemas, pulsos presentes.. Signos de vasculopatía crónica, varices, no cordones flebíticos.vasculopatía crónica, varices, no cordones flebíticos.
  • 6.
    Analíticas.Analíticas.BIOQUÍMICA SÉRICABIOQUÍMICA SÉRICA: Urea (suero) 24 mg/dL. Creatinina (suero) 0,84 mg/dL Sodio (suero) 141: Urea (suero) 24 mg/dL. Creatinina (suero) 0,84 mg/dL Sodio (suero) 141 meq/l .Potasio (suero) 4,0 meq/l. Cloro (suero) 107 meq/l Calcio (suero) 9,4 mg/dL. Fósforomeq/l .Potasio (suero) 4,0 meq/l. Cloro (suero) 107 meq/l Calcio (suero) 9,4 mg/dL. Fósforo (suero) 2,7 mg/dL .Acido úrico (suero) 5,7 mg/dL. Proteínas totales (suero) 6,6g/dL. Albúmina(suero) 2,7 mg/dL .Acido úrico (suero) 5,7 mg/dL. Proteínas totales (suero) 6,6g/dL. Albúmina (suero) 4,0 g/dL Triglicéridos (suero). 96 mg/dL. Colesterol (suero) 150 mg/dL. HDLColesterol(suero) 4,0 g/dL Triglicéridos (suero). 96 mg/dL. Colesterol (suero) 150 mg/dL. HDLColesterol (suero) 39 mg/dL. Colesterol no HDL (suero) 111 LDL.Colesterol .(suero) 91 mg/dL .Bilirrubina(suero) 39 mg/dL. Colesterol no HDL (suero) 111 LDL.Colesterol .(suero) 91 mg/dL .Bilirrubina total (suero) 0,50 mg/dL ( 0,20 - 1,20 ). AST/GOT (suero) 17 U/l. ALT/GPT (suero) 26 U/l. GGTtotal (suero) 0,50 mg/dL ( 0,20 - 1,20 ). AST/GOT (suero) 17 U/l. ALT/GPT (suero) 26 U/l. GGT (suero) 30 U/l Fosfatasa alcalina (suero) 64 U/l. LDH (suero) 140 U/l.(suero) 30 U/l Fosfatasa alcalina (suero) 64 U/l. LDH (suero) 140 U/l. CK. NORMALCK. NORMAL HierroHierro (suero) 85 μg/dl .Transferrina (suero) 222 mg/dL Ferritina (suero) 146,07 ng/ml. Saturación de(suero) 85 μg/dl .Transferrina (suero) 222 mg/dL Ferritina (suero) 146,07 ng/ml. Saturación de transferrina (suero) 27,1.transferrina (suero) 27,1. SEROLOGIA BACTERIANA.SEROLOGIA BACTERIANA. Screening de Lues (suero) NegativoScreening de Lues (suero) Negativo .. SEROLOGÍA VIRICA:SEROLOGÍA VIRICA: Serologia de Hepatitis (negativo). Screening HIV 1 y 2 (suero) Negativo.Serologia de Hepatitis (negativo). Screening HIV 1 y 2 (suero) Negativo. INMUNOLOGÍA.INMUNOLOGÍA. Proteína C Reactiva (suero) 0,32 mg/dLProteína C Reactiva (suero) 0,32 mg/dL ..Factor reumatoide (suero) <5,0Factor reumatoide (suero) <5,0 Inmunoglobulinas (normales).Inmunoglobulinas (normales). ENDOCRINOLOGÍA.ENDOCRINOLOGÍA. TSH (suero)TSH (suero) 2,65 .T4 libre (suero) 1,03 ng/dl2,65 .T4 libre (suero) 1,03 ng/dl ..Hemoglobina glicosiladaHemoglobina glicosilada A1c (sangre total) 5,30A1c (sangre total) 5,30 HEMOGRAMA:HEMOGRAMA: Leucocitos 4,40. Neutrófilos 48,00 .Linfocitos 40,40 % Monocitos 4,80 %.Leucocitos 4,40. Neutrófilos 48,00 .Linfocitos 40,40 % Monocitos 4,80 %. Eosinófilos 6,00 %. Basófilos 0,80 %. Neutrófilos 2,09 K/μL Linfocitos 1,76 .Monocitos 0,21.Eosinófilos 6,00 %. Basófilos 0,80 %. Neutrófilos 2,09 K/μL Linfocitos 1,76 .Monocitos 0,21. Eosinofilos 0,26 K/μL. Basofilos 0,03 K/μL .Hematíes 4,44 M/μL. Hemoglobina 14,00 g/dLEosinofilos 0,26 K/μL. Basofilos 0,03 K/μL .Hematíes 4,44 M/μL. Hemoglobina 14,00 g/dL .Hematocrito 39,10 % VCM 88,00 fL. HCM 31,60 pg. CHCM 35,90 g/dL. RDW 12,30.Hematocrito 39,10 % VCM 88,00 fL. HCM 31,60 pg. CHCM 35,90 g/dL. RDW 12,30 %Plaquetas 225 VPM 7,60 fL. V.S.G. 6 mm/h%Plaquetas 225 VPM 7,60 fL. V.S.G. 6 mm/h VITAMINAS.VITAMINAS. Acido fólico (suero),Acido fólico (suero), Vitamina B12Vitamina B12 (suero):Normales.(suero):Normales. AUTOINMUNIDADAUTOINMUNIDAD Anticuerpos anti Nucleares (ANAElisa) (suero) Negativo.Anticuerpos anti Nucleares (ANAElisa) (suero) Negativo. COAGULACIÓN.COAGULACIÓN. Tiempo de Protrombina (segundos) 10,70 Tiempo de Protrombina (%) 98,00Tiempo de Protrombina (segundos) 10,70 Tiempo de Protrombina (%) 98,00 % .INR 1,02 Tiempo de Tromboplastina 38,90 .Control TPTA 30, Tiempo de Tromboplastina% .INR 1,02 Tiempo de Tromboplastina 38,90 .Control TPTA 30, Tiempo de Tromboplastina (ratio) 1,22 .Fibrinogeno (plasma) 399,0 mg/dL.(ratio) 1,22 .Fibrinogeno (plasma) 399,0 mg/dL.
  • 8.
    Evolución.Evolución. Se realiza PL,no traumática con presión deSe realiza PL, no traumática con presión de apertura de 17 cm de H20 y al cierre 1cmapertura de 17 cm de H20 y al cierre 1cm de H20 y se evacuan 50 cc de LCR clarode H20 y se evacuan 50 cc de LCR claro y transparente como agua de roca,y transparente como agua de roca, evaluándose marcha antes y después deevaluándose marcha antes y después de PL, observándose una clara mejoría,PL, observándose una clara mejoría, siendo esta mas ligera, no arrastrando lossiendo esta mas ligera, no arrastrando los pies y con mayor braceo.pies y con mayor braceo.
  • 9.
  • 10.
    Discusión DiagnosticaDiscusión Diagnostica En1964, Salomón Hakim publicó la descripciónEn 1964, Salomón Hakim publicó la descripción clínica de una serie de tresclínica de una serie de tres pacientes que presentaban un cuadro depacientes que presentaban un cuadro de Demencia progresiva, Alteraciones de laDemencia progresiva, Alteraciones de la marcha y una Dilatación variable delmarcha y una Dilatación variable del sistema ventricularsistema ventricular que se acompañaba deque se acompañaba de una presión del LCR, evaluada medianteuna presión del LCR, evaluada mediante manométrica lumbar, normal.manométrica lumbar, normal.
  • 11.
  • 12.
    Hemorragia SubaracnoideaHemorragia Subaracnoidea MeningitisMeningitis TraumatismosCraneoencefálicosTraumatismos Craneoencefálicos Cirugías IntracranealesCirugías Intracraneales Anomalías congénitasAnomalías congénitas como la Estenosis del acueducto de Silvio.como la Estenosis del acueducto de Silvio. Enfermedad de PagetEnfermedad de Paget Los quistes Coloides del Tercer VentrículoLos quistes Coloides del Tercer Ventrículo Las malformaciones vascularesLas malformaciones vasculares CisticercosisCisticercosis
  • 13.
    Dilatación ventricular yDilataciónventricular y presión intracraneal normal.presión intracraneal normal. La ley de PascalLa ley de Pascal
  • 14.
    Fuerza= Presión xSuperficieFuerza= Presión x Superficie
  • 15.
    LCR AUMENTO DE PIC. VENTRICULOS DILATADOS DISMINUYE PIC VENTRICULOS DILATADOS DISMINUYE REABSORCION DE LCR.
  • 16.
  • 17.
  • 18.
    FASESFASES • INICIAL.INICIAL. Lentitud demarcha.Lentitud de marcha. • TARDIATARDIA Ampliación de la base de sustentación. Pasos cortos. Menor elevación de los pies Flexión anterior del tronco Disminución del balanceo Tendencia a las caídas
  • 19.
    Incontinencia deIncontinencia de esfínteresesfínteres Iniciarsecon una micción imperiosa,Iniciarse con una micción imperiosa, seguida de una incontinencia vesicalseguida de una incontinencia vesical esporádica.esporádica. Síntomas suelen ser atribuidos aSíntomas suelen ser atribuidos a problemas prostáticosproblemas prostáticos en el hombre oen el hombre o ginecológicos en las mujeres.ginecológicos en las mujeres.
  • 20.
  • 21.
    INDICE DE EVANS>0,3.INDICE DE EVANS >0,3.
  • 25.
    -2- Diagnóstico 1. Hªclínica: 2º Valoración cognitiva 3º Valoración de las discapacidades -APP y Farmacia. -Anamnesis. -Exploración física. -Exp. Neuropsicología. -Valoración funcional. -Índice de Barthel. -Índice de Katz. -Cuestionario AIVD -Cuestionario ABVD -Minimental state Examination. -Minimental-test -Escala de demencia de Blessed -Test del reloj
  • 26.
    a) Desarrollo dedéficit cognoscitivos múltiples que se manifiestan por: 1. Alteración de la memoria: alteración en la capacidad de aprender nuev información o recordar información previamente aprendida. 2. Una o más de las siguientes alteraciones cognoscitivas: a) Afasia. b) Apraxia. c) Agnosia. d) Alteración de la función ejecutiva (capacidad para el pensamiento abstracto para planificar, iniciar, secuenciar, monitorizar y detener un comportamiento complejo). b) Los defectos cognoscitivos de los criterios A1 y A2 han de ser de la suficiente intensida como para provocar un deterioro significativo de la actividad social o laboral.
  • 27.
  • 28.
    Demencias Secundarias GRUPOS Por infecciones HIDROCEFALIANORMOTENSIVA Metabólicas endocrinas Carenciales LOES y Elevación de PIC (Hematomas y Tumores) Esclerosis múltiple -SIDA. --LUES -Encefalitis herpética. -E. prionicas ( C.Jackob) (Déficit de B12, Fólico, Niacina, B1) OH, co2, Hipoxia, Drogas de abuso Etiología muy diversa. Tratables. El cuadro puede ser reversible. Cushing, Adinson Hígado y ERC. -Tiroides(hipo e híper).
  • 29.
    Bibliografía.Bibliografía. Actualizaciones en eldiagnóstico yActualizaciones en el diagnóstico y tratamiento de la Hidrocefaliatratamiento de la Hidrocefalia Normotensiva.Normotensiva. Servicio de NeurocirugíaServicio de Neurocirugía y Neuropsicología .Hospital Universitarioy Neuropsicología .Hospital Universitario Vall d’Hebron. 2009.Vall d’Hebron. 2009.